医影在线

标题: CT16688:第一次试着上传图片,请就解! [打印本页]

作者: 光辉冰然    时间: 2008-11-19 19:57
标题: CT16688:第一次试着上传图片,请就解!







[本贴已被 jiajie 于 2008-11-19 18:11:18 修改过]

作者: jiangjing    时间: 2008-11-19 20:25
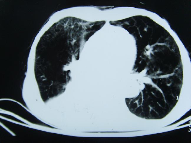
考虑  右肺新生物伴右下肺阻塞性肺炎,肺不张.右侧胸腔积液
作者: liuyue    时间: 2008-11-19 20:51
考虑:右侧中心型肺癌伴下肺肺不张。
作者: dr.yang    时间: 2008-11-19 20:55
用数码相机要用黑白的档,支持右下肺阻塞性肺炎,肺不张.右侧胸腔积液,建议增强。
作者: 358450m    时间: 2008-11-19 20:55
标题: 回复:第一次试着上传图片,请就解!
以下是引用jiangjing在2008-11-19 12:25:00的发言:[br]考虑  右肺新生物伴右下肺阻塞性肺炎,肺不张.右侧胸腔积液

作者: zjzjr    时间: 2008-11-19 21:24
不错,继续努力.
作者: 随光逐影    时间: 2008-11-19 23:25
1)右肺中央型肺癌伴右肺下叶肺不张。2)慢性支气管炎,肺气肿。3)右侧胸腔积液。
作者: xulianj    时间: 2008-11-20 03:38
1)右肺中央型肺癌伴右肺下叶肺不张。2)慢性支气管炎,肺气肿。3)右侧胸腔积液



继续努力.
作者: zsl6918    时间: 2008-11-20 03:42
不知楼主何意?是为了传片还是读片?
作者: 余辉    时间: 2008-11-20 03:42
标题: 回复:ct16688:第一次试着上传图片,请就解!
以下是引用jiangjing在2008-11-19 12:25:00的发言:[br]考虑  右肺新生物伴右下肺阻塞性肺炎,肺不张.右侧胸腔积液

支持
第一次发得很好,支持,谢谢分享
作者: 黑白光影    时间: 2008-11-20 05:33
右肺中央型肺癌伴右肺下叶肺不张。慢支肺气肿。右侧胸腔积液。




欢迎光临 医影在线 (http://bbs.radida.com/bbs/) Powered by Discuz! X3.2