医影在线
标题: CT16691:m 67 胃镜确诊食管下段及贲门癌 [打印本页]
作者: zhangling 时间: 2008-11-19 21:33
标题: CT16691:m 67 胃镜确诊食管下段及贲门癌
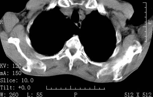
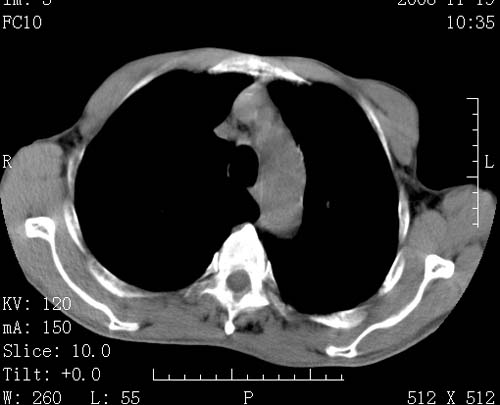
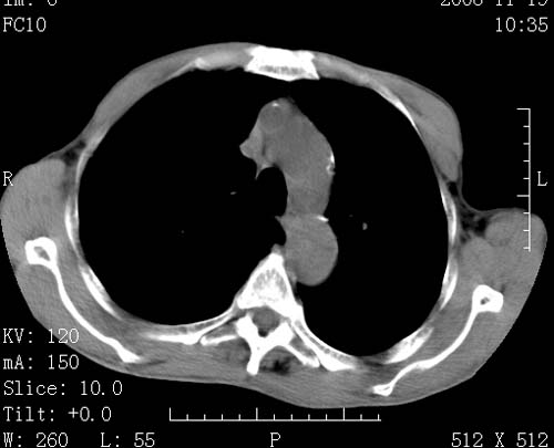
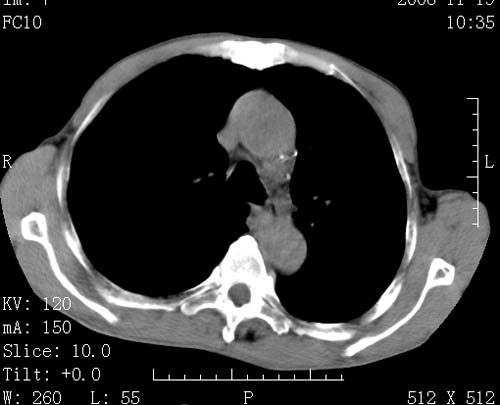
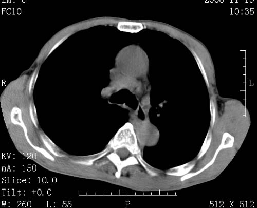
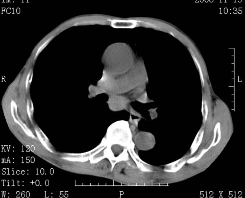
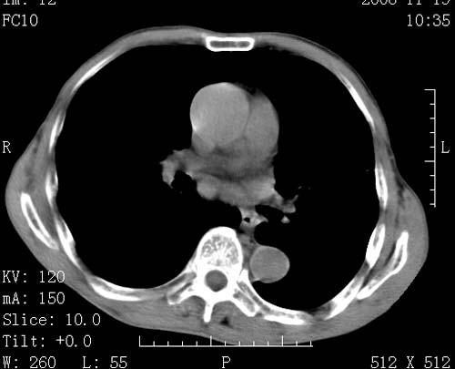
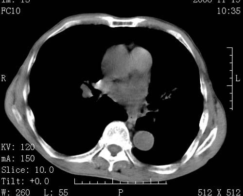
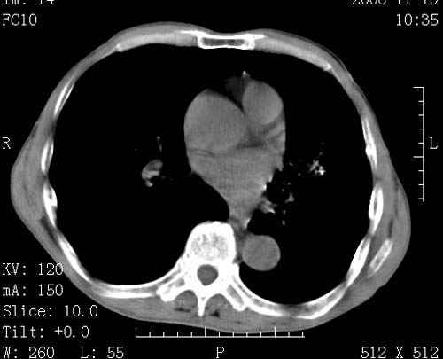
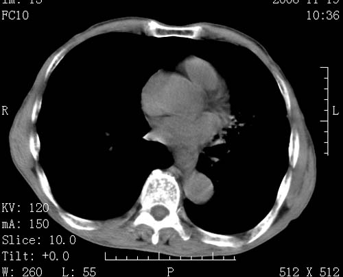
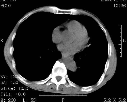
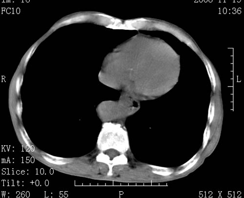
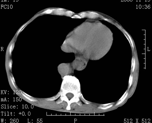
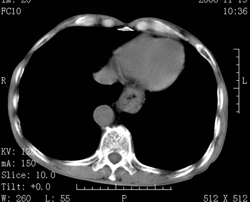
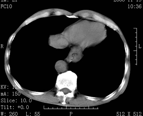
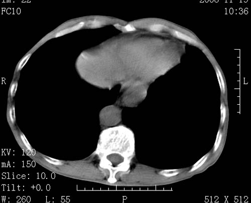
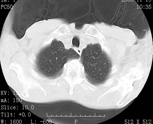
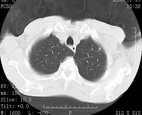
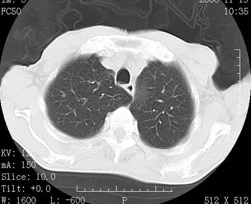
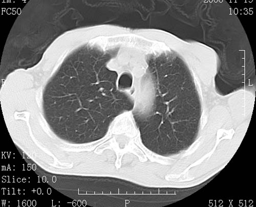
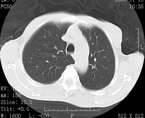
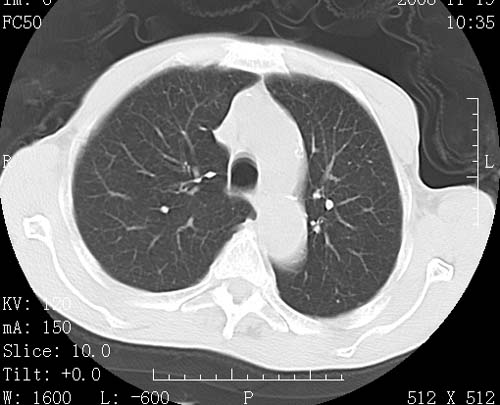
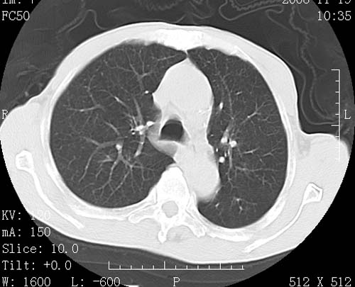
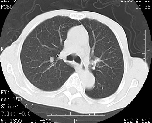
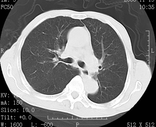
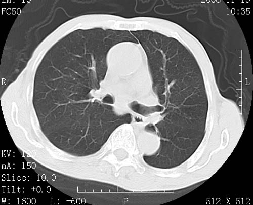
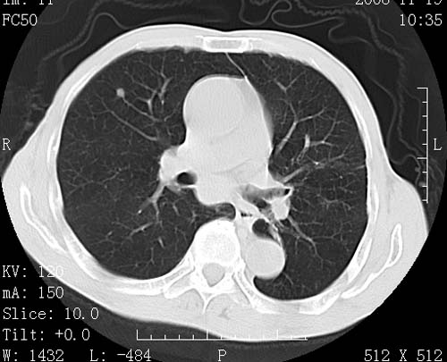
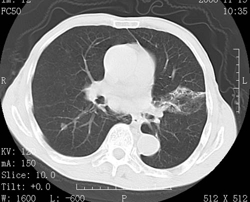
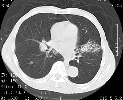
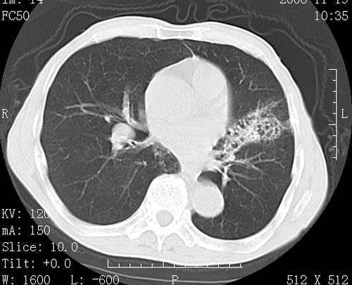
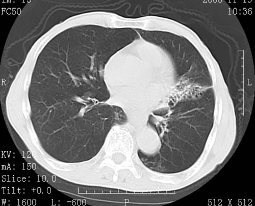
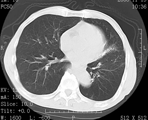
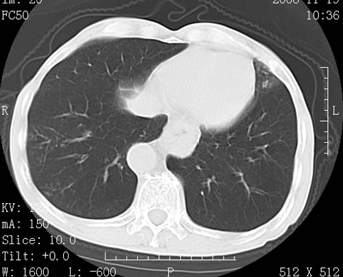
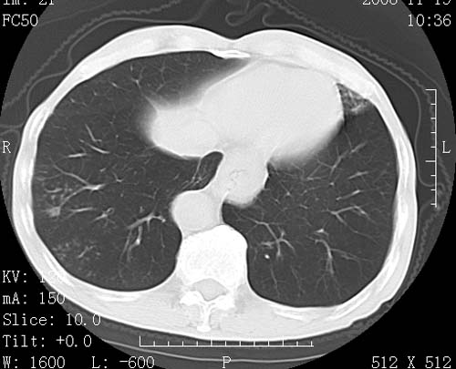
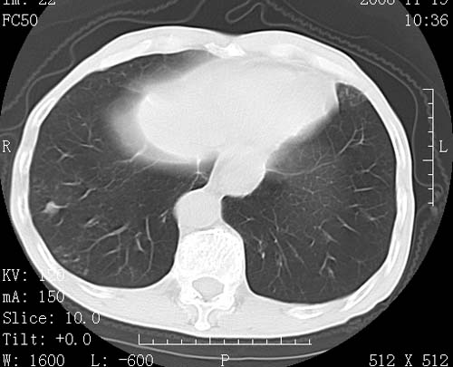
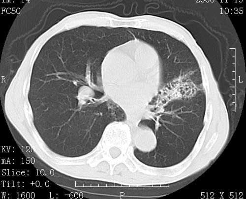
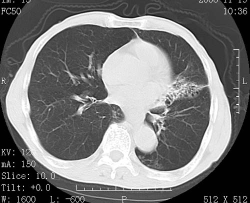
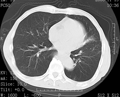
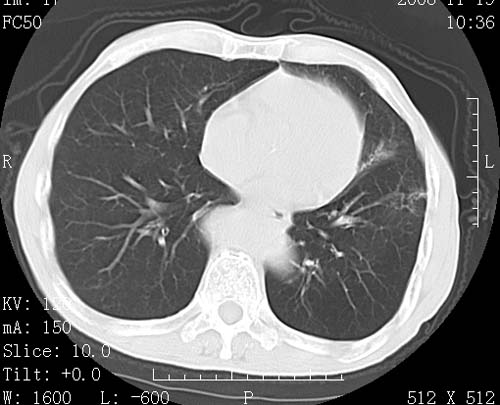
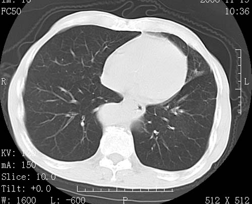
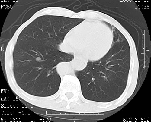
术前查体,双肺部结节是转移?结核?请点评































[本贴已被 jiajie 于 2008-11-19 18:14:32 修改过]
作者: zhangling 时间: 2008-11-19 21:36
标题: 回复:m 67 胃镜确诊食管下段及贲门癌







作者: zhangling 时间: 2008-11-19 21:39
标题: 回复:m 67 胃镜确诊食管下段及贲门癌



作者: zhangling 时间: 2008-11-19 21:45
标题: 回复:m 67 胃镜确诊食管下段及贲门癌






网上编辑不连续,抱歉
作者: 医影常客 时间: 2008-11-19 21:58
转移 隆突下淋巴结亦肿大
作者: sdzyy 时间: 2008-11-19 22:40
首先考虑转移,纵隔内淋巴结亦肿大;
作者: aomeilazuo 时间: 2008-11-19 22:44
转移,纵隔内淋巴结亦肿大
作者: 平安是福 时间: 2008-11-19 22:46
考虑转移。
作者: 随光逐影 时间: 2008-11-19 22:53
1)符合食管癌表现。2)两肺及纵隔淋巴结多发性转移瘤。3)左肺上叶舌段及两肺下叶炎症感染。
作者: aomeilazuo 时间: 2008-11-19 23:20
标题: 回复:m 67 胃镜确诊食管下段及贲门癌
以下是引用随光逐影在2008-11-19 14:53:00的发言:[br]1)符合食管癌表现。2)两肺及纵隔淋巴结多发性转移瘤。3)左肺上叶舌段及两肺下叶炎症感染。
也有可能是转移啊,碰到过这样的转移
作者: 卜一 时间: 2008-11-19 23:45
1)符合食管癌表现。2)两肺及纵隔淋巴结多发性转移瘤。3)左肺上叶舌段及两肺下叶炎症感染。支持!
作者: 王仕学 时间: 2008-11-20 00:03
标题: 回复:m 67 胃镜确诊食管下段及贲门癌
以下是引用随光逐影在2008-11-19 14:53:00的发言:[br]1)符合食管癌表现。2)两肺及纵隔淋巴结多发性转移瘤。3)左肺上叶舌段及两肺下叶炎症感染。
作者: zjzjr 时间: 2008-11-20 00:08
1)符合食管癌表现。2)两肺及纵隔淋巴结多发性转移瘤。3)左肺上叶舌段支气管扩张伴感染.
作者: 深泽交通 时间: 2008-11-20 00:25
食管癌伴双肺转移,评述:肺部毛细血管网丰富,全身血液均快速流经肺部,癌细胞容易过滤定植,形成转移瘤,影象特点为以毛细血管末梢为中心的结节灶,边缘光滑锐利,少见有中心空洞着,不同来源的转移瘤可有各自特点,如甲状腺癌为双肺弥漫性微结节,本例有原发灶,双肺影象灶典型,左肺舌段条带状网格样伴胸膜天幕征,可视为癌性淋巴管炎。
作者: 光影相伴 时间: 2008-11-20 01:39
支持:1)符合食管癌表现。2)两肺及纵隔淋巴结多发性转移瘤。3)左肺上叶舌段及两肺下叶炎症感染。
作者: xulianj 时间: 2008-11-20 04:03
考虑转移,纵隔内淋巴结亦肿大。
作者: zsl6918 时间: 2008-11-20 04:28
标题: 回复:ct16691:m 67 胃镜确诊食管下段及贲门癌
符合食管癌表现。两肺及纵隔淋巴结多发性转移瘤。双肺还有支扩表现.
作者: 黑白光影 时间: 2008-11-20 05:42
支持胃镜食管癌诊断。两肺及纵隔淋巴结多发性转移瘤。左肺上叶舌段及两肺下叶炎症感染。
作者: x-man 时间: 2008-11-20 07:21
1)符合食管癌表现。2)两肺及纵隔淋巴结多发性转移瘤。3)左肺上叶舌段支气管扩张伴感染
作者: liuyue 时间: 2008-11-20 08:09
1)符合食管癌表现。2)两肺及纵隔淋巴结多发性转移瘤。3)左肺上叶舌段及两肺下叶炎症感染。
支持。
作者: 江广1996 时间: 2008-11-20 17:58
1)符合食管癌表现。2)两肺及纵隔淋巴结多发性转移瘤。3)左肺上叶舌段感染并支扩。
作者: zhangling 时间: 2008-11-20 18:43
左肺舌段有斑点钙化灶,能否说明是结核而不是转移?如果是转移将放弃手术改成化疗,如果是结核将考虑择期手术
作者: duanhui007 时间: 2008-11-20 20:04
支持食管癌转移
| 欢迎光临 医影在线 (http://bbs.radida.com/bbs/) |
Powered by Discuz! X3.2 |