医影在线
标题: CT16692:男,70Y,胃占位,大家给看看 [打印本页]
作者: wz_221 时间: 2008-11-19 21:39
标题: CT16692:男,70Y,胃占位,大家给看看
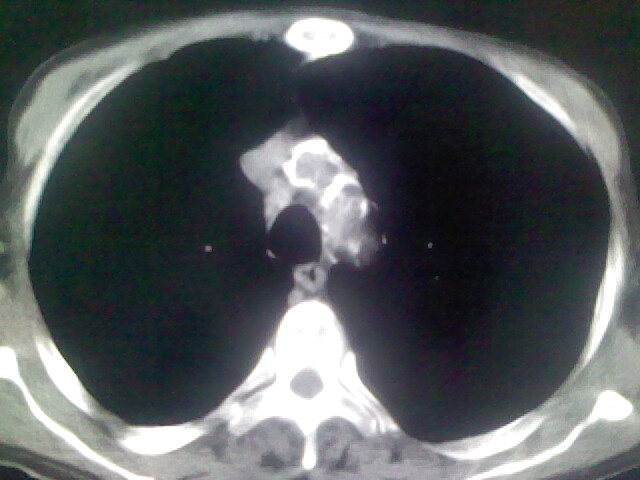
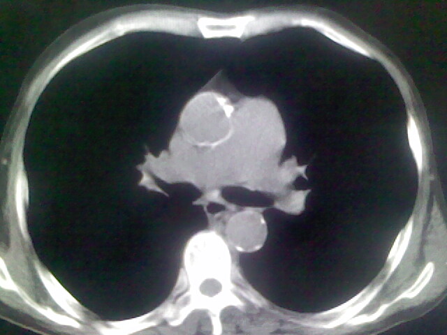
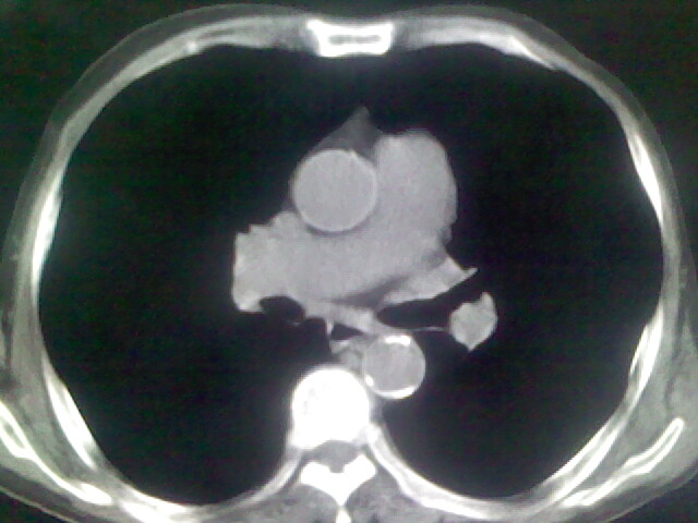
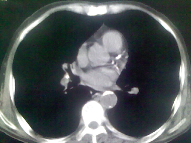
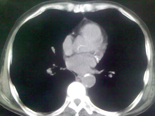
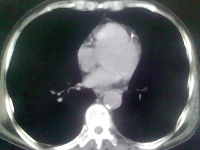
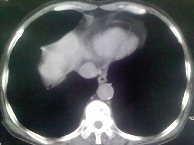
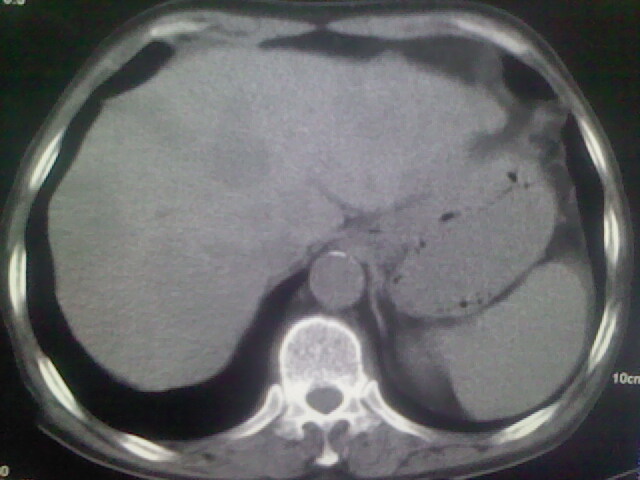
男,70y,胃占位,重度贫血,黑便3月余,伴恶心,纳差,乏力



































































[本贴已被 jiajie 于 2008-11-19 18:15:10 修改过]
作者: 医影常客 时间: 2008-11-19 22:16
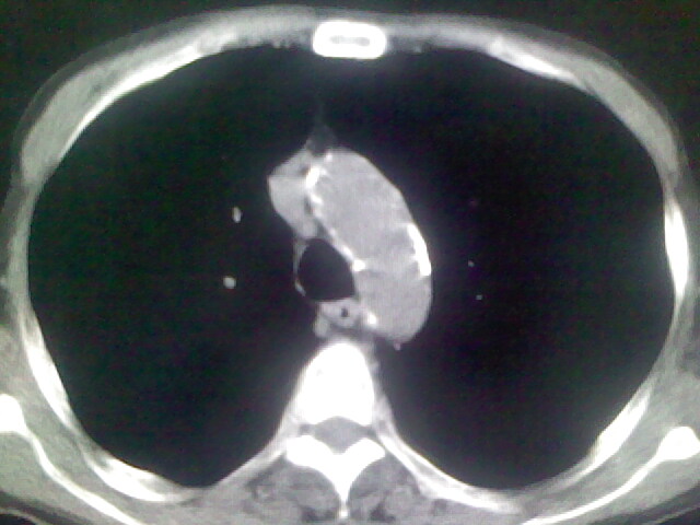
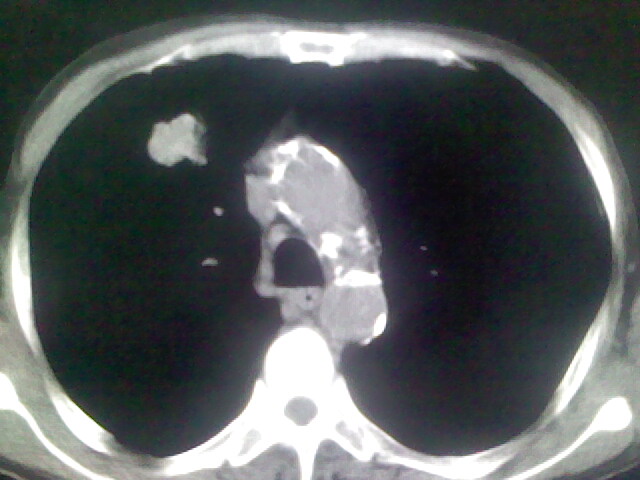
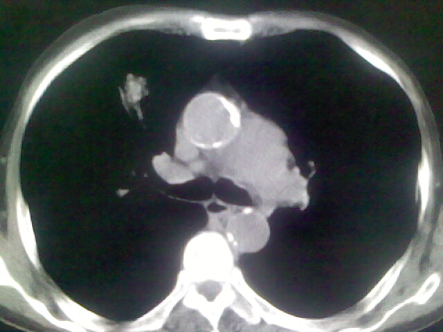
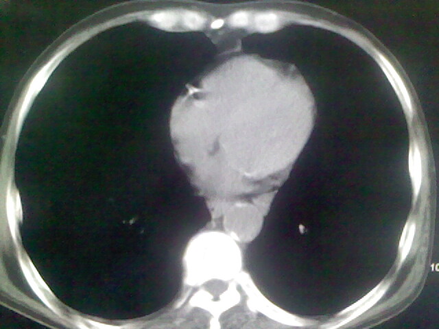
肺内考虑原发(周围型肺癌)
肝内弥漫低密度---转移瘤
作者: 深泽交通 时间: 2008-11-19 22:20
胃癌,并肝,右肺,右径部,纵隔淋巴结转移
作者: sdzyy 时间: 2008-11-19 22:30
右上肺周围型肺癌,肝内多发低密度影---转移瘤?建议增强;胃壁明显增厚.
作者: 平安是福 时间: 2008-11-19 22:40
考虑右上肺周围型肺癌,肝内多发低密度影考虑转移瘤?建议增强;胃腔充盈欠佳。不好确定。
作者: aomeilazuo 时间: 2008-11-19 22:40
胃癌,并肝,右肺,右颈部,纵隔淋巴结转移
作者: 影象小泰斗 时间: 2008-11-19 22:52
右上肺周围型肺癌,肝内多发低密度影---转移瘤.
作者: 随光逐影 时间: 2008-11-19 23:15
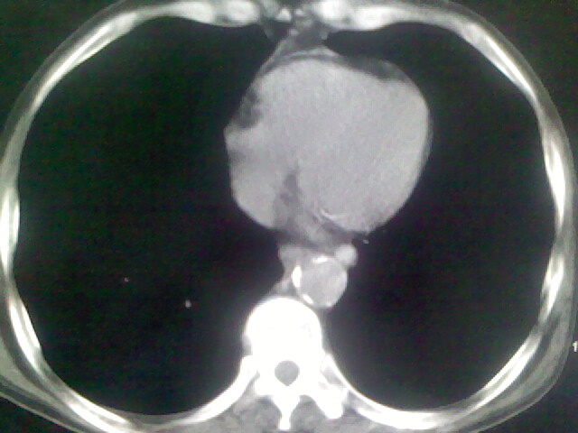
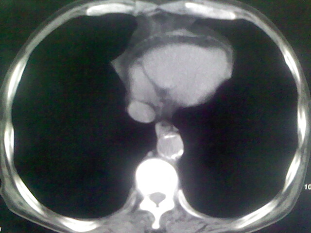
1)考虑右肺上叶周围型肺癌并纵隔及右颈部淋巴结转移,肝脏多发性转移。2)肺气肿。3)冠状动脉及主动脉钙化。
作者: 卜一 时间: 2008-11-19 23:44
1)考虑右肺上叶周围型肺癌并纵隔及右颈部淋巴结转移,肝脏多发性转移。2)肺气肿。3)冠状动脉及主动脉钙化。支持!另:胃内病变不好确定,建议行胃镜!
作者: yxrcpa 时间: 2008-11-19 23:55
1、右肺上叶周围型肺癌并纵隔、颈部淋巴结转移,肝多发转移灶。
2、胃充盈欠佳,不能确定。
作者: 王仕学 时间: 2008-11-20 00:00
1)考虑右肺上叶周围型肺癌并纵隔及右颈部淋巴结转移,肝脏多发性转移。2)肺气肿。3)冠状动脉及主动脉钙化。
支持!
作者: zjzjr 时间: 2008-11-20 00:18
支持右肺上叶周围型肺癌伴肝内多发转移.胃建议充盈后重扫描.慢性支气管炎伴肺气肿.
作者: 光影相伴 时间: 2008-11-20 01:29
1)考虑右肺上叶周围型肺癌并纵隔及右颈部淋巴结转移,肝脏多发性转移。2)肺气肿。3)冠状动脉及主动脉钙化。支持!
作者: zsl6918 时间: 2008-11-20 01:36
资料不清晰啊,肺内病灶内可见多发钙化影,结核不能除外.肝内符合转移瘤表现.既然楼主提供胃内占位,那原发灶还是考虑来源于胃腔.
作者: lxq2000 时间: 2008-11-20 02:09
标题: 回复:大家给看看
以下是引用yxrcpa在2008-11-19 15:55:00的发言:[br]1、右肺上叶周围型肺癌并纵隔、颈部淋巴结转移,肝多发转移灶。[br]2、胃充盈欠佳,不能确定。
作者: xulianj 时间: 2008-11-20 04:06
右上肺周围型肺癌;肝内多发转移瘤?建议增强;
作者: 余辉 时间: 2008-11-20 04:30
1)考虑右肺上叶周围型肺癌并纵隔及右颈部淋巴结转移,肝脏多发性转移。2)肺气肿。3)冠状动脉及主动脉钙化。胃未充盈而且影像不太清楚,不好确定
作者: 两片云 时间: 2008-11-20 04:35
1、右肺上叶周围型肺癌并纵隔、颈部淋巴结转移,肝多发转移灶。
2、胃充盈欠佳,不能确定。
作者: 黑白光影 时间: 2008-11-20 05:44
1)考虑右肺上叶周围型肺癌并纵隔及右颈部淋巴结转移,肝脏多发性转移。2)肺气肿。3)冠状动脉及主动脉钙化。
作者: 谨言慎行 时间: 2008-11-20 05:51
标题: 回复:ct16692:男,70y,胃占位,大家给看看
以下是引用卜一在2008-11-19 15:44:00的发言:[br][br] [br] 1)考虑右肺上叶周围型肺癌并纵隔及右颈部淋巴结转移,肝脏多发性转移。2)肺气肿。3)冠状动脉及主动脉钙化。支持!另:胃内病变不好确定,建议行胃镜! [br] [br]
作者: x-man 时间: 2008-11-20 07:13
标题: 回复:ct16692:男,70y,胃占位,大家给看看
考虑右肺上叶周围型肺癌并纵隔及右颈部淋巴结转移,肝脏多发性转移。2)肺气肿。3)冠状动脉及主动脉钙化。[br]支持![/quote]
| 欢迎光临 医影在线 (http://bbs.radida.com/bbs/) |
Powered by Discuz! X3.2 |