医影在线

标题: CT16696:M53Y,左股骨上段骨折。 [打印本页]

作者: 石门之剑    时间: 2008-11-19 23:02
标题: CT16696:M53Y,左股骨上段骨折。
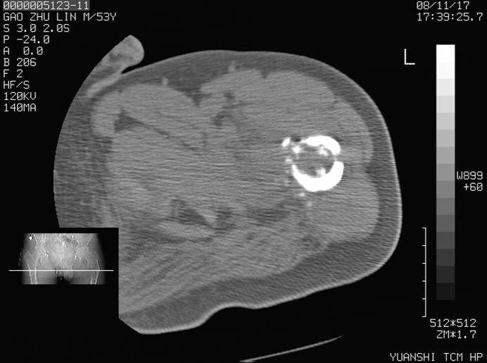
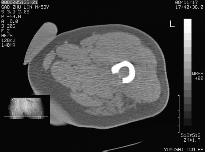
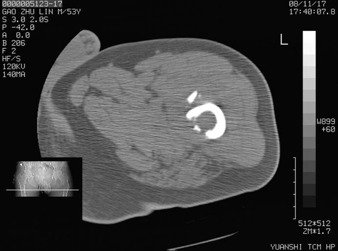
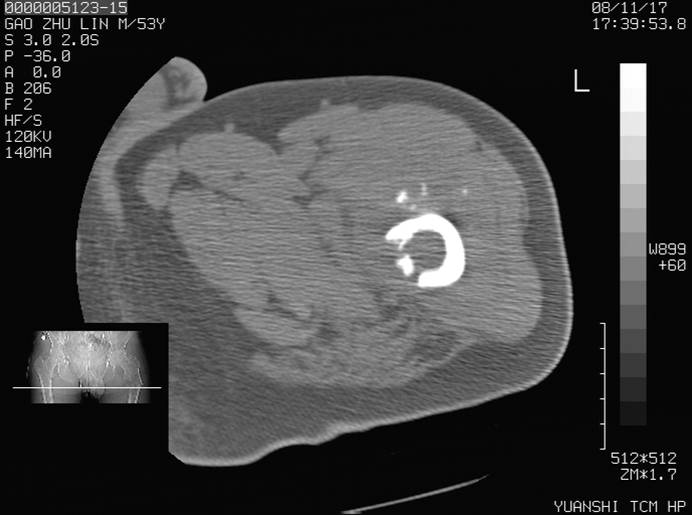
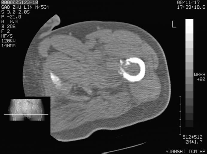
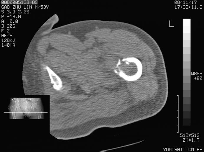
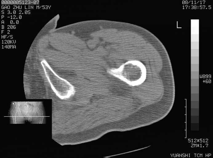
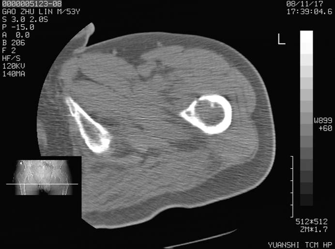
左股骨上段外伤1个小时,左股骨上段疼痛。村医以腰椎间盘病变给以按摩及理疗数天。






































[本贴已被 jiajie 于 2008-11-19 18:19:57 修改过]

作者: yxrcpa    时间: 2008-11-19 23:15
图像不太清楚,左股骨上段外伤性骨折?病理性骨折?
作者: aomeilazuo    时间: 2008-11-19 23:16
干吗做ct?浪费
作者: sdzyy    时间: 2008-11-19 23:20
左股骨上段粉碎性骨折
作者: 卜一    时间: 2008-11-19 23:28
建议上传骨窗!
作者: ziyoufeixiang    时间: 2008-11-19 23:32
左股骨上段粉碎性骨折
作者: 王仕学    时间: 2008-11-19 23:43
左股骨上段粉碎性骨折;建议上传骨窗看看是不是病理性的啊!
作者: 随光逐影    时间: 2008-11-19 23:49
左股骨上段粉碎性骨折,不排除病理性骨折可能。
作者: 深泽交通    时间: 2008-11-20 00:08
考虑骨肉瘤伴病理骨折
作者: zjzjr    时间: 2008-11-20 00:30
左股骨上段粉碎性骨折,不排除病理性骨折可能。
作者: 光影相伴    时间: 2008-11-20 01:40
考虑:骨肉瘤伴病理骨折.
作者: 同    时间: 2008-11-20 03:54
左股骨上段粉碎性骨折.
作者: zsl6918    时间: 2008-11-20 03:57
病理性骨折,考虑转移所致.
作者: wangyong1977    时间: 2008-11-20 03:59
左股骨上段粉碎性骨折,不排除病理性骨折可能
作者: 余辉    时间: 2008-11-20 04:09
左股骨上段粉碎性骨折,不排除病理性骨折可能
病史写得有点乱
作者: xulianj    时间: 2008-11-20 04:52
左股骨上段粉碎性骨折
作者: 黑白光影    时间: 2008-11-20 05:10
左股骨上段粉碎性骨折,不排除病理性骨折可能。
患者很是麻木,村医很会来事。




欢迎光临 医影在线 (http://bbs.radida.com/bbs/) Powered by Discuz! X3.2