医影在线

标题: CT16698:M67Y,看看直肠下端是不是病变 [打印本页]

作者: mlfx123321    时间: 2008-11-20 00:12
标题: CT16698:M67Y,看看直肠下端是不是病变


















[本贴已被 jiajie 于 2008-11-19 18:22:17 修改过]

作者: zjzjr    时间: 2008-11-20 00:38
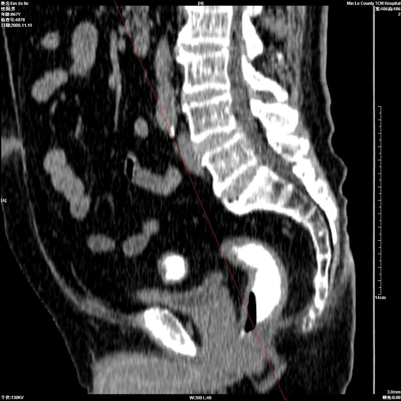
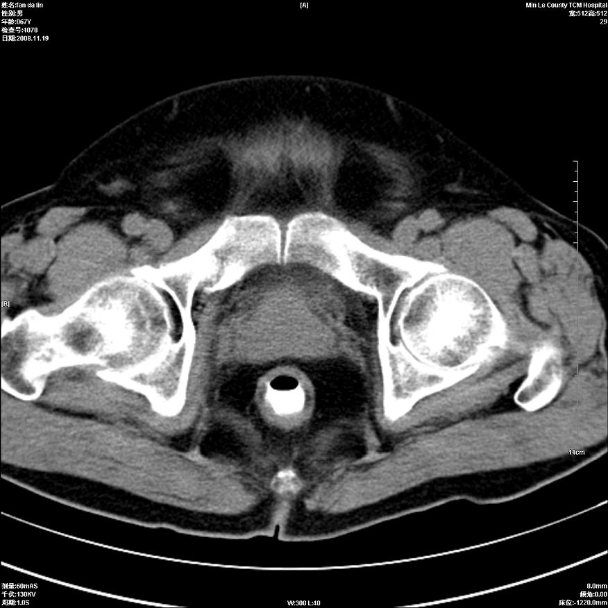
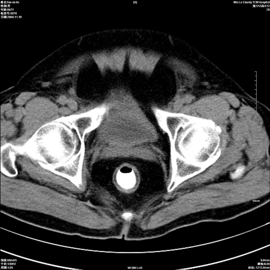
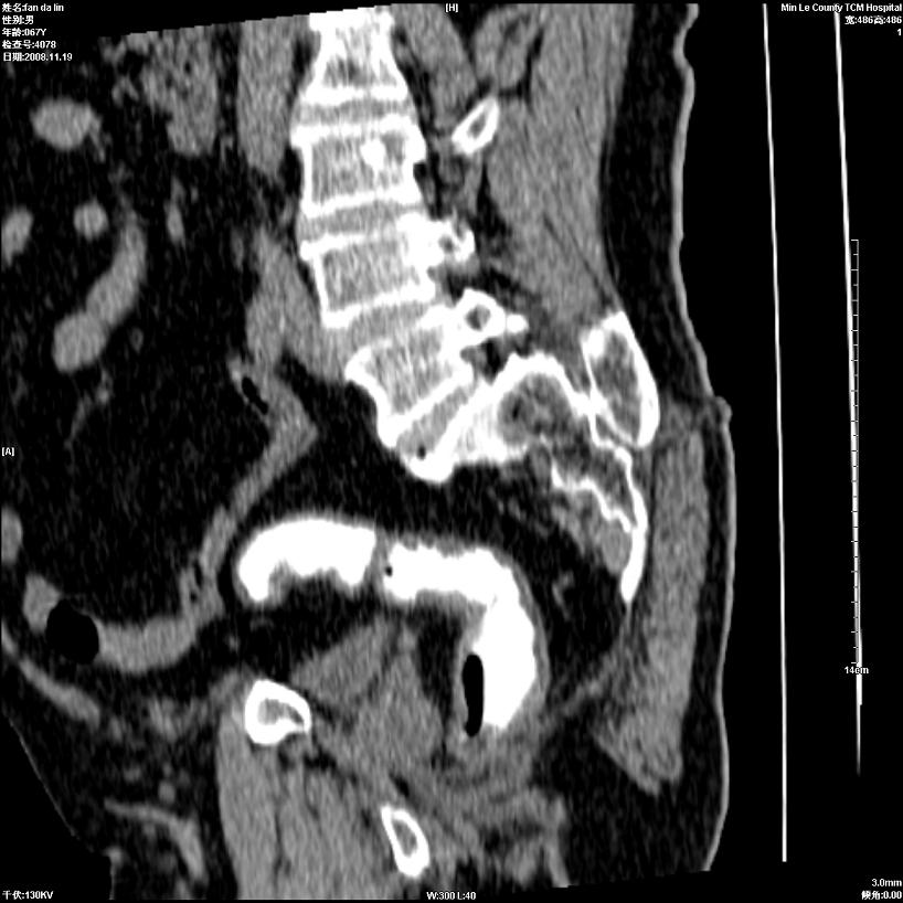
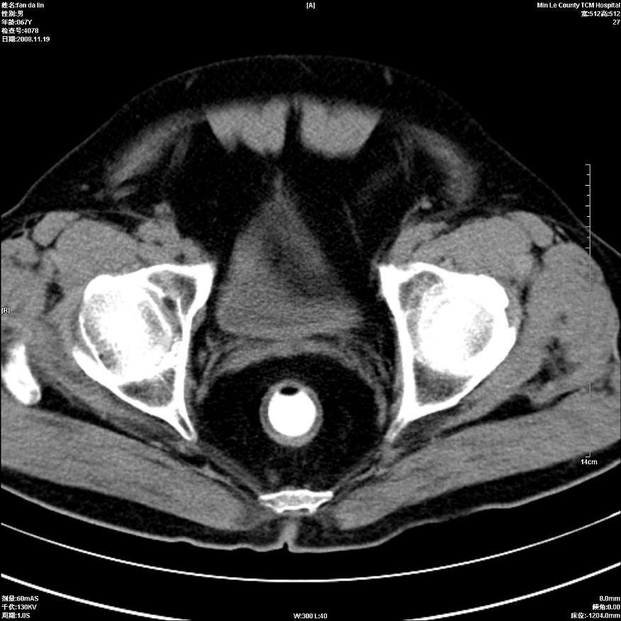
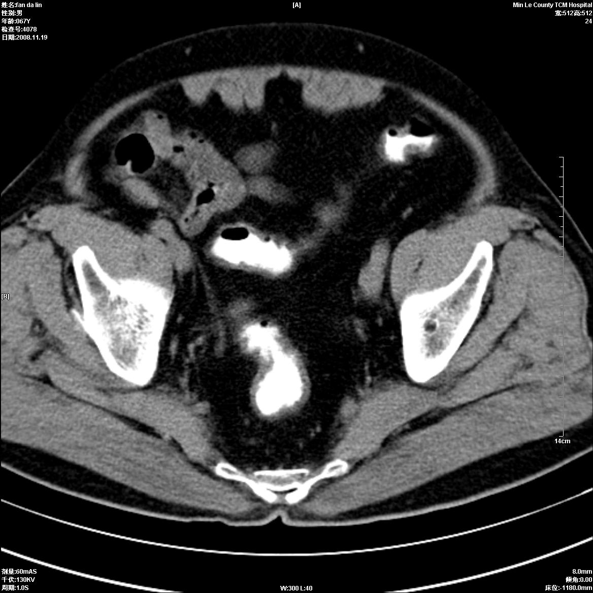
粘膜皱壁,不除外内痔
作者: 随光逐影    时间: 2008-11-20 00:41
支持楼上意见。
作者: 王仕学    时间: 2008-11-20 00:41
像正常的啊
作者: sdzyy    时间: 2008-11-20 00:51
正常
作者: zsl6918    时间: 2008-11-20 01:30
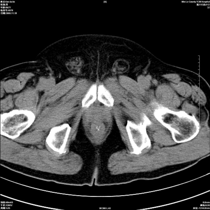
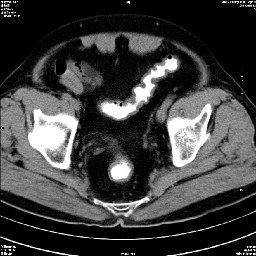
直肠及乙状结肠管壁均增厚,考虑炎症.
作者: 光影相伴    时间: 2008-11-20 01:34
未见明确异常.建议:必要时行指诊.
作者: 道哥    时间: 2008-11-20 01:46
建议肛诊。
作者: 医影常客    时间: 2008-11-20 02:09
直乙交界处肠壁不规则增厚,还是做个肠镜吧
作者: 杀毒软件    时间: 2008-11-20 02:40
有何症状吗
作者: 余辉    时间: 2008-11-20 03:03
标题: 回复:ct16698:m67y,看看直肠下端是不是病变
以下是引用zjzjr在2008-11-19 16:38:00的发言:[br]粘膜皱壁,不除外内痔

作者: 同    时间: 2008-11-20 04:02
标题: 回复:ct16698:m67y,看看直肠下端是不是病变
以下是引用zjzjr在2008-11-19 16:38:00的发言:[br]粘膜皱壁,不除外内痔

作者: xulianj    时间: 2008-11-20 04:47
未见明确异常.建议:必要时行指诊.
作者: lirenxiong    时间: 2008-11-20 04:57
充盈可,尚增厚高度怀疑,建议肛诊!
作者: 黑白光影    时间: 2008-11-20 05:01
为何作检查?支持二楼意见,痔瘘科做个检查看看先。
作者: 影像孺子牛    时间: 2008-11-20 05:33
标题: 回复:ct16698:m67y,看看直肠下端是不是病变
以下是引用黑白光影在2008-11-19 21:01:00的发言:[br]为何作检查?支持二楼意见,痔瘘科做个检查看看先。

作者: yangwq    时间: 2008-11-20 06:00

作者: x-man    时间: 2008-11-20 07:10
只是肠壁局限性增厚,但难说明问题。
作者: LLXXLL    时间: 2008-11-20 07:35
粘膜皱壁,不除外内痔
作者: 江广1996    时间: 2008-11-20 17:53
像正常的啊
作者: 平安是福    时间: 2008-11-20 18:04
未见明显异常。




欢迎光临 医影在线 (http://bbs.radida.com/bbs/) Powered by Discuz! X3.2