医影在线
标题: CT16700:M73Y,肝右叶病变 [打印本页]
作者: xiaoqvnmin 时间: 2008-11-20 01:37
标题: CT16700:M73Y,肝右叶病变
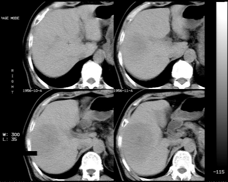
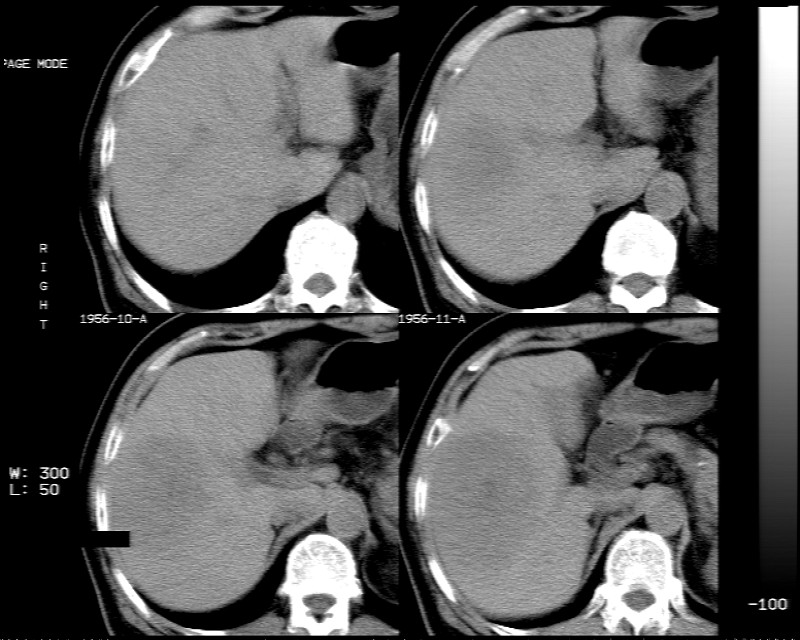
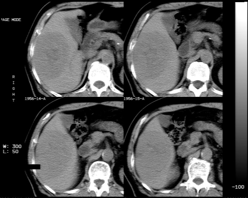
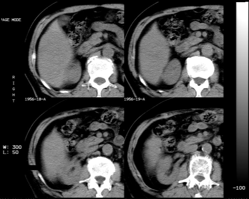
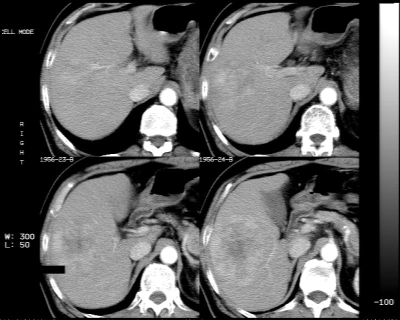
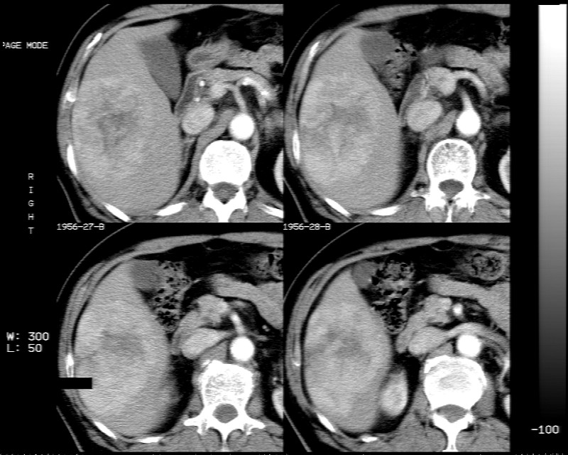
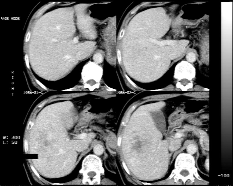
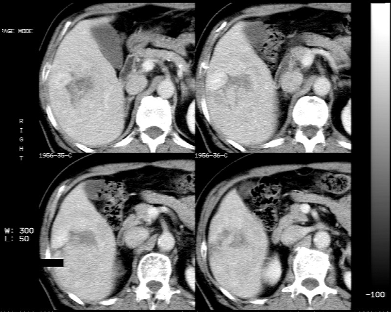
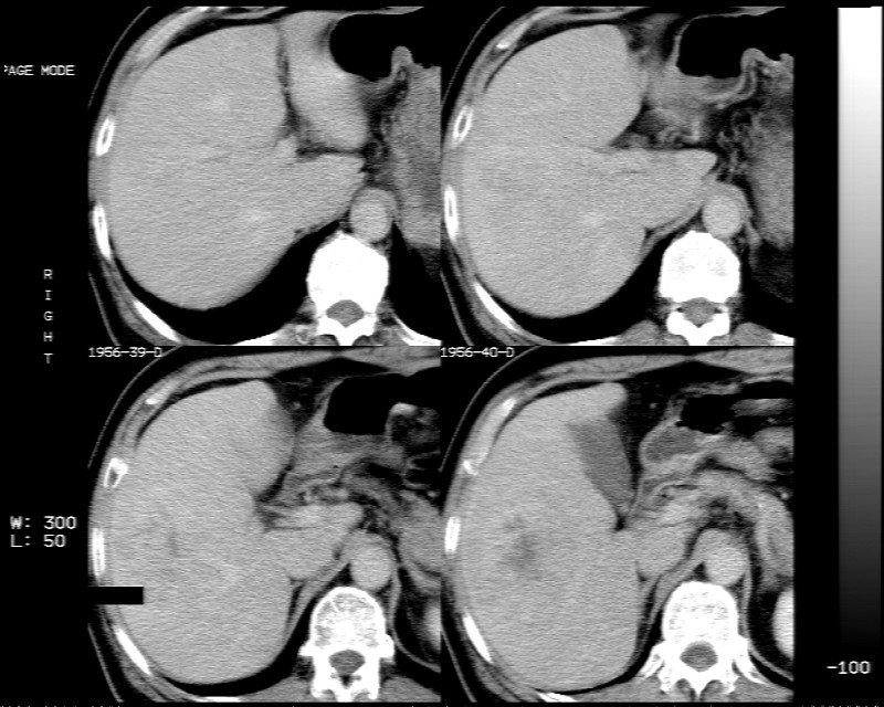
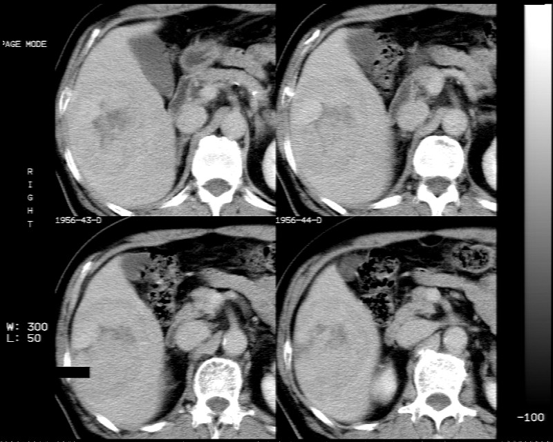
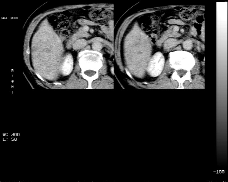
男 73岁 b超检肝右叶占位病变,afp阴性. 随访中.











[本贴已被 jiajie 于 2008-11-19 18:25:47 修改过]
作者: zsl6918 时间: 2008-11-20 01:39
典型肝细胞肝癌.
作者: 尚峰 时间: 2008-11-20 01:46
很像巨大局灶性结节增生,随访吧!
作者: 光影相伴 时间: 2008-11-20 02:06
考虑:血管瘤.
作者: 王仕学 时间: 2008-11-20 02:08
支持局灶性结节增生。
作者: wujun426 时间: 2008-11-20 02:11
肝脏右叶块状低密度影,增强后动脉期明显强化,门脉期强化减低,延迟期病灶又成低密度。考虑肝细胞癌。我认为比较典型。
作者: 医影常客 时间: 2008-11-20 02:19
考虑肝腺瘤 血管瘤不排除
作者: 杀毒软件 时间: 2008-11-20 02:39
还是考虑肝癌可能性大
作者: 余辉 时间: 2008-11-20 02:44
低密度肿块,动脉期明显强化,可见星状低强化区,门脉期强化向中心扩展,但病灶动脉期强化最明显,门脉期及平延迟期强化减低,结合病只考虑巨大局灶性结节增生,血管瘤不除外
作者: wdysh 时间: 2008-11-20 02:49
考虑肝癌可能性大
作者: 蓝天1号 时间: 2008-11-20 02:59
肝细胞癌。
作者: 流浪星 时间: 2008-11-20 03:00
肝癌可能性大.
作者: 试着 时间: 2008-11-20 03:27
考虑肝癌可能
作者: zjzjr 时间: 2008-11-20 03:29
支持局灶性结节增生。延迟期中央低密度影缩小,说明有强化,应为星状瘢痕组织而不坏死,应适当再延长时间扫描。
作者: xinliheng001 时间: 2008-11-20 04:02
良、恶性都有可能,结节增生放前面,因这么大的肿块而确实具备良性特征,虽和肝癌一样强化方式,但与正常组织分界清楚又没有血管癌栓什么的......
作者: 同 时间: 2008-11-20 04:07
考虑肝细胞肝癌.
作者: guojiayong 时间: 2008-11-20 04:33
肝右叶占位性病变,肝癌.
作者: wangyong1977 时间: 2008-11-20 04:42
肝脏右叶块状低密度影,增强后动脉期明显强化,门脉期强化减低,延迟期病灶又成低密度,但结合afp阴性,首先考虑肝腺瘤,肝癌待排。
作者: 黑白光影 时间: 2008-11-20 04:54
考虑肝癌可能性大
作者: xulianj 时间: 2008-11-20 05:10
局灶性结节增生。支持
作者: yangjyan 时间: 2008-11-20 05:22
考虑原发性肝癌,中央有坏死
作者: xyh2806 时间: 2008-11-20 05:23
肝右叶块状低密度影,增强后动脉期病灶明显强化,门脉期及延迟期强化减低。
考虑血管瘤可能性大。
作者: hg7503847 时间: 2008-11-20 05:34
肝右后叶体积增大。病灶密度不均。我支持肝癌
作者: 影像孺子牛 时间: 2008-11-20 05:49
肝右叶巨大占位性病变,平扫呈低密度改变,增强扫描动脉期病灶周围强化,门脉期强化未退出,延时期病灶周边强化与肝实质接近,病灶中心在各期均可见星状不强化区;首先考虑局灶性结节增生可能性大,其次为血管瘤。肝癌不能完全排外(不首先考虑肝癌是因为强化不支持快进快出特点)。
作者: jinning 时间: 2008-11-20 05:51
我看延迟期还不够,再延迟扫描排除血管瘤
作者: yangwq 时间: 2008-11-20 05:55
肝癌不支持 血管瘤不像 炎性假瘤商榷
作者: xysheng 时间: 2008-11-20 07:00
病变总体呈快进快出改变,动脉期强化后密度不够高,肝腺瘤和fnh都接近血管密度,并且以女性多见,所以还是支持肝细胞癌。
作者: x-man 时间: 2008-11-20 07:11
考虑以肝癌可能性大。
作者: liuyue 时间: 2008-11-20 07:34
支持局灶性结节增生。延迟期中央低密度影缩小,说明有强化,应为星状瘢痕组织而不坏死,应适当再延长时间扫描。
作者: 木木641 时间: 2008-11-20 07:36
支持肝癌 局灶性结节增生待排。
作者: xiaoqvnmin 时间: 2008-11-20 08:58
感谢各位的分析,觉得病例特殊,高度怀疑局灶性结节增生,拿来与大家共赏。有随访结果,一定通报...
附贴己发出的ct报告:
平扫示:肝右后叶下段内见类圆形略低密度占位病灶,边界尚清楚,最大径约为102×71mm,ct值31~41hu。
动态增强扫描示:动脉期病灶显著不均性强化,病灶强化密度高于肝实质;平衡期病灶呈等密度;延迟扫描病灶密度略低于肝实质;三期均见占位病灶内有裂隙状无强化影。肝内胆管无扩张,腹膜后未见肿大淋巴结。
拟诊:肝右后叶下段内占位性病变,考虑为肝结节样增生。
建议进一步检查(mri/或穿刺活检),不排外肝ca。
作者: 随光逐影 时间: 2008-11-20 16:20
考虑肝右叶巨块型肝癌可能性大。
作者: 江广1996 时间: 2008-11-20 18:22
还是考虑肝癌可能性大
| 欢迎光临 医影在线 (http://bbs.radida.com/bbs/) |
Powered by Discuz! X3.2 |