医影在线

标题: CT16711:男、52、前纵隔病灶前会诊。 [打印本页]

作者: frzh    时间: 2008-11-20 19:14
标题: CT16711:男、52、前纵隔病灶前会诊。
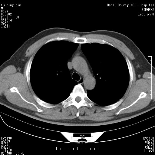
男、52、胸闷不适。前纵隔可见结节影,ct值16hu左右。大家帮忙看看如何诊断






[本贴已被 jiajie 于 2008-11-20 12:45:42 修改过]

作者: 深泽交通    时间: 2008-11-20 19:27
考虑未完全萎缩的胸腺
作者: 王仕学    时间: 2008-11-20 20:41
建议定期复查。
作者: 358450m    时间: 2008-11-20 20:59
标题: 回复:ct16711:男、52、前纵隔病灶前会诊。
以下是引用深泽交通医院在2008-11-20 11:27:00的发言:[br]考虑未完全萎缩的胸腺

作者: 随光逐影    时间: 2008-11-20 21:02
不排除胸腺瘤可能。
作者: scdlc2008    时间: 2008-11-20 23:17
未完全退化的胸腺。
作者: sdzyy    时间: 2008-11-21 00:27
不排除胸腺瘤可能,随诊.
作者: zjzjr    时间: 2008-11-21 01:01
肿大淋巴结也有可能
作者: drzhang8888    时间: 2008-11-21 01:32
一般的胸腺完全萎缩脂肪化,我考虑淋巴结可能性大,随诊观察吧
作者: smhk    时间: 2008-11-21 02:16
一般的胸腺完全萎缩脂肪化,我考虑淋巴结可能性大,随诊观察吧
作者: zsl6918    时间: 2008-11-21 02:17
考虑小胸腺瘤
作者: yuhongjun    时间: 2008-11-21 02:18
考虑未完全萎缩的胸腺
作者: 余辉    时间: 2008-11-21 02:26
升主动脉前方之新月形影,边缘光滑,密度较低,ct值较低,考虑心包上隐窝
作者: 风中百合    时间: 2008-11-21 02:53
不排除胸腺瘤可能,肿大淋巴结也有可能
作者: huqi8888    时间: 2008-11-21 02:54
不排除胸腺瘤可能
作者: 黑白光影    时间: 2008-11-21 03:29
考虑淋巴结是不太长了点?
作者: xulianj    时间: 2008-11-21 04:07
标题: 回复:ct16711:男、52、前纵隔病灶前会诊。
以下是引用drzhang8888在2008-11-20 17:32:00的发言:[br]一般的胸腺完全萎缩脂肪化,我考虑淋巴结可能性大,随诊观察吧



增强也有一定的价值!
作者: jzhang21    时间: 2009-1-15 00:00
淋巴结可能性大




欢迎光临 医影在线 (http://bbs.radida.com/bbs/) Powered by Discuz! X3.2