医影在线

标题: PED1647:男,10岁,发热咳嗽5天就诊,请会诊。 [打印本页]

作者: 刘国良    时间: 2008-11-21 17:50
标题: PED1647:男,10岁,发热咳嗽5天就诊,请会诊。
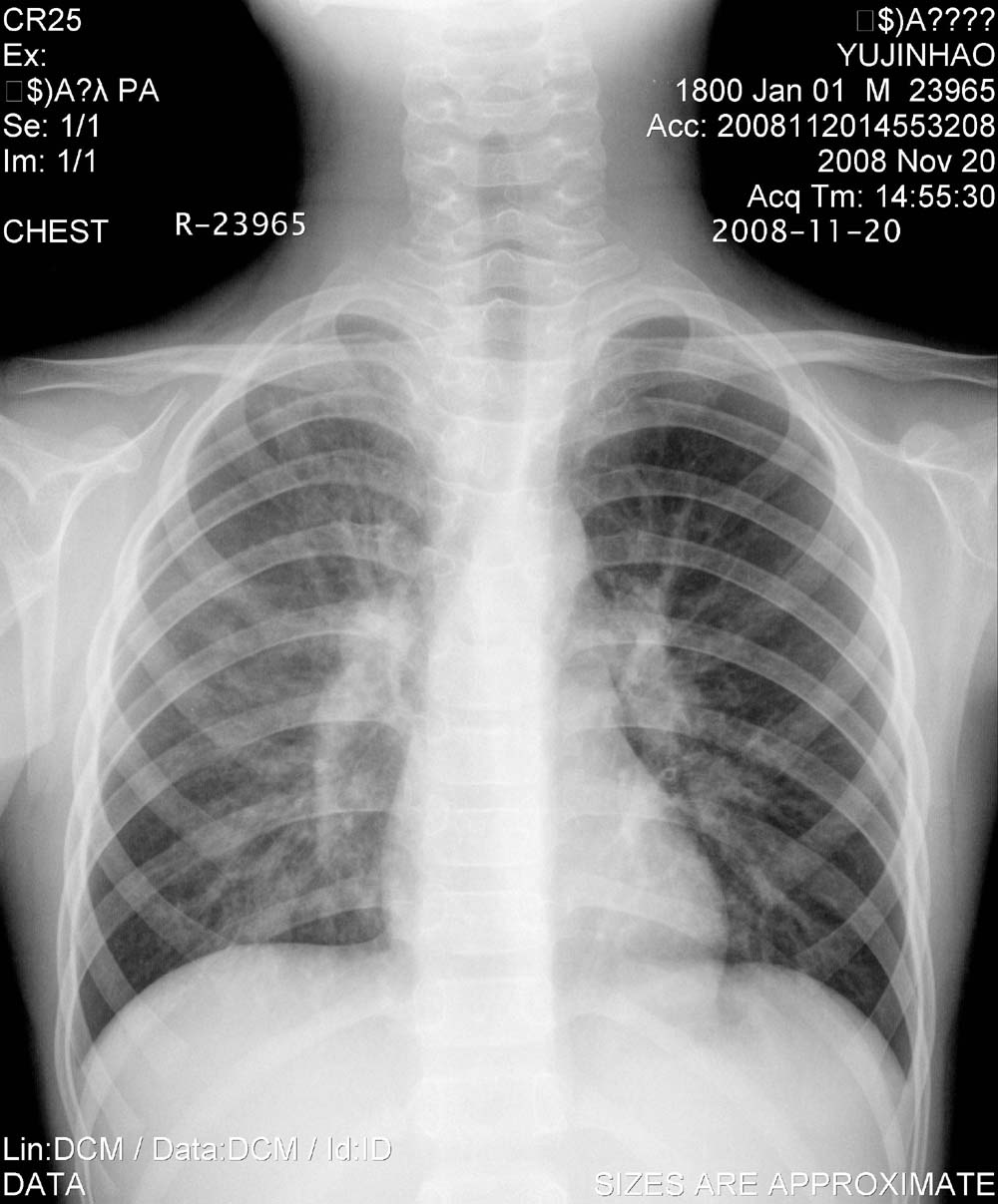
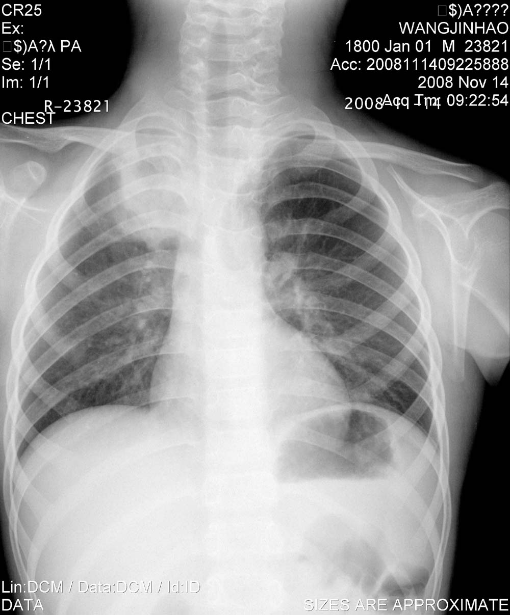
男,10岁,发热咳嗽5天就诊,38-39度,血沉90    wbc12000,ttp(—)治疗6天无好转,复查胸片肺似有播散。





[本贴已被 jiajie 于 2008-11-21 12:45:07 修改过]

作者: zyzboy008    时间: 2008-11-21 18:39
锁骨上下区,片状阴影,边界尚清,中等密度,治疗后胸片,右肺透光度下降,肺纹理增多增粗,象结核,参考。
作者: 随光逐影    时间: 2008-11-21 18:46
考虑肺部炎症改变;建议抗炎治疗后复查。
作者: 987654zwf    时间: 2008-11-21 18:48
   支原体肺炎?
作者: 北方的狼    时间: 2008-11-21 19:20
右肺短期内有游走改变,考虑过敏性肺炎。
作者: zsl6918    时间: 2008-11-21 20:01
肺炎表现,结核不会如此之快吸收.
作者: 王仕学    时间: 2008-11-21 20:01
考虑肺部炎症改变;建议抗炎治疗后复查。
作者: 323    时间: 2008-11-21 20:07
肺部炎症
作者: ZHANGZHONGSHOU    时间: 2008-11-21 20:25
肺炎。
作者: 黑白光影    时间: 2008-11-21 20:43
继续抗炎再复查。
作者: smhk    时间: 2008-11-21 20:44
考虑肺部炎症改变;建议抗炎治疗后复查。
作者: 余辉    时间: 2008-11-22 00:52
原发性的肺结核之肺发灶有消散快且自消散的特点,本例前后两张片对比后片右肺门较前片有所增大,考虑淋巴结肿大可能.所以不除外原发三联征及肺门淋巴结核转变.
另不知ttp与此有何关,可能是ppd吧,初发的肺结核ppd是可以阴性的,支持复查ppd
作者: 杀毒软件    时间: 2008-11-22 01:29
继续抗炎再复查
作者: 流浪星    时间: 2008-11-22 03:07
肺炎。
作者: wangyong1977    时间: 2008-11-23 02:38
右肺短期内有游走改变,考虑过敏性肺炎,建议查痰内噬酸粒细胞。
作者: 一捅阴影    时间: 2008-11-23 04:21
寄生虫类所致的过敏性肺炎可能性大,化验室查嗜酸性粒c及虫卵。




欢迎光临 医影在线 (http://bbs.radida.com/bbs/) Powered by Discuz! X3.2