医影在线
标题: CT16752:F,27Y。发热咳嗽20余天,伴盗汗。 [打印本页]
作者: 光影★小胖 时间: 2008-11-23 01:56
标题: CT16752:F,27Y。发热咳嗽20余天,伴盗汗。







































[本贴已被 jiajie 于 2008-11-22 18:02:11 修改过]
作者: hyhxn 时间: 2008-11-23 02:02
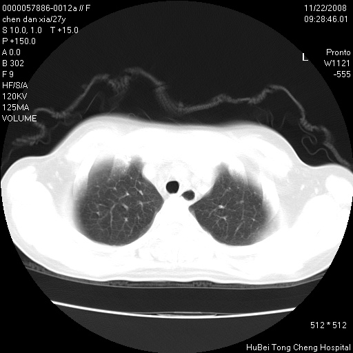
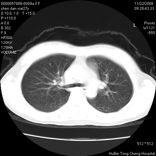
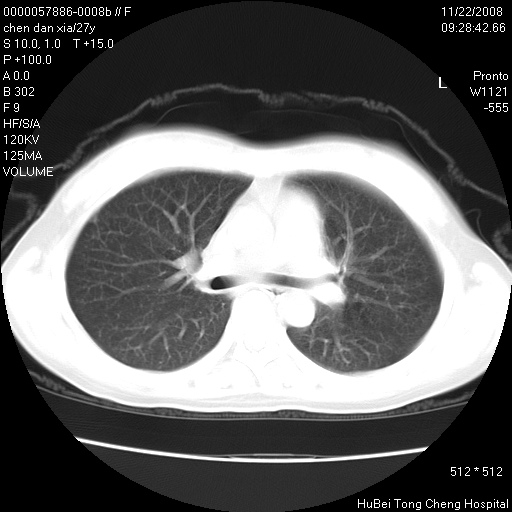
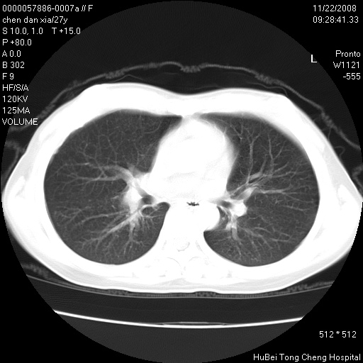
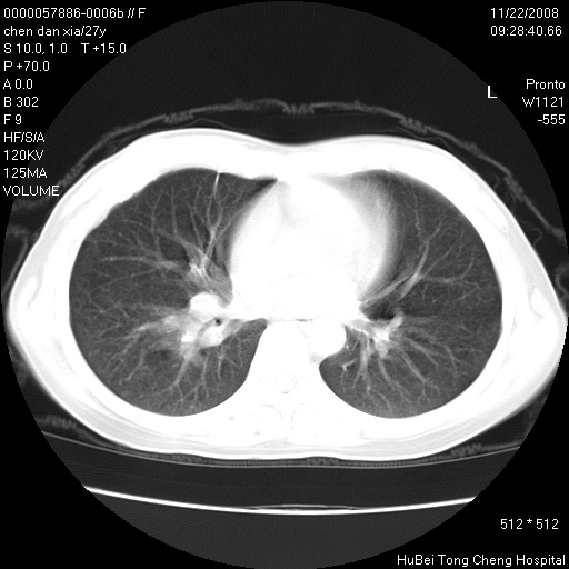
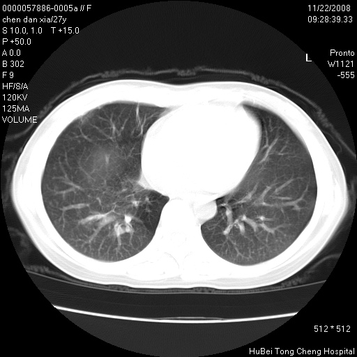
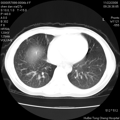
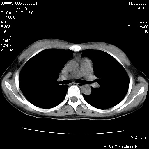
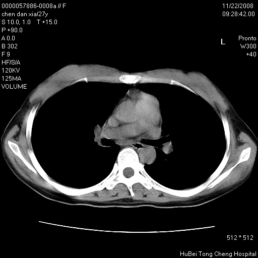
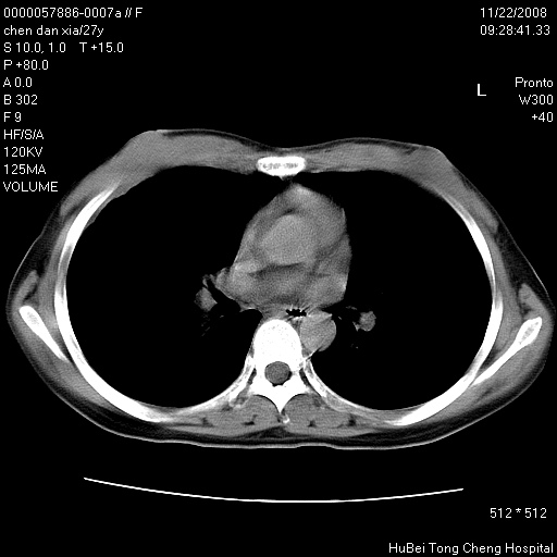
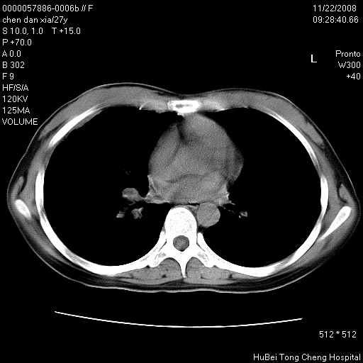
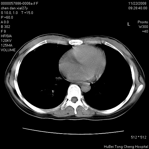
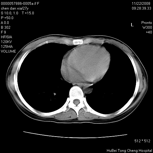
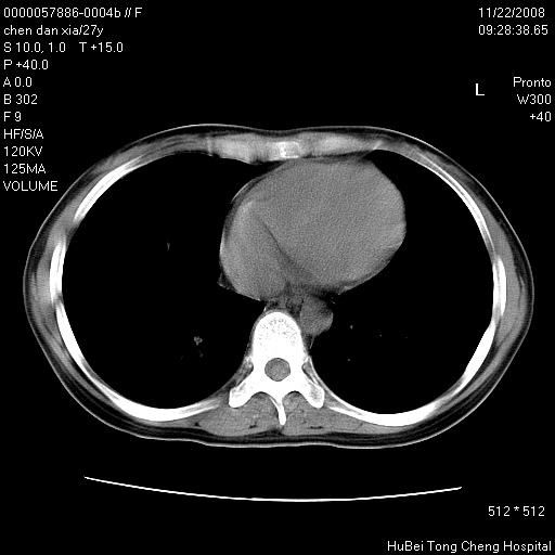
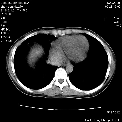
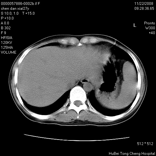
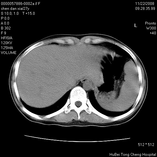
考虑双肺粟粒性肺tb,右侧胸膜增厚.
作者: zsl6918 时间: 2008-11-23 02:11
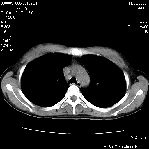
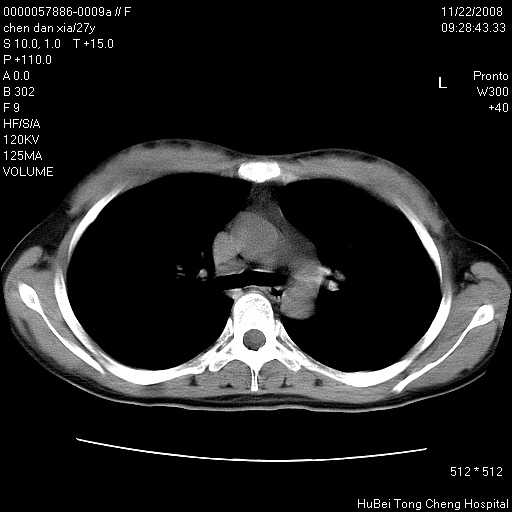
建议强化观察,考虑肺门及纵隔淋巴结结核。另外还需结合实验室检查。
作者: dsl555 时间: 2008-11-23 02:21
建议强化观察,考虑肺门及纵隔淋巴结结核。另外还需结合实验室检查。
作者: 流浪星 时间: 2008-11-23 02:58
未见明显异常,建议增强
作者: 宋定川 时间: 2008-11-23 03:37
未见明显异常,建议增强
作者: zjzjr 时间: 2008-11-23 04:00
建议强化观察,考虑肺门及纵隔淋巴结结核。另外还需结合实验室检查
作者: zhangling 时间: 2008-11-23 04:14
气管前腔静脉后淋巴结肿大 右肺门纹理模糊
淋巴结核?
作者: sdzyy 时间: 2008-11-23 04:31
右下肺见片絮状影,两肺野内分布不均的小结节影,结核并肺内播散可能性大,建议结合实验室检查 .
作者: zhangjixiang 时间: 2008-11-23 04:40
右下肺纹理模糊;纵隔可见肿大淋巴节;右心缘旁结节,边缘光滑,纵隔窗病变范围较肺窗明显小,首先考虑右下肺结核,不排外淋巴瘤
作者: 王加美 时间: 2008-11-23 04:44
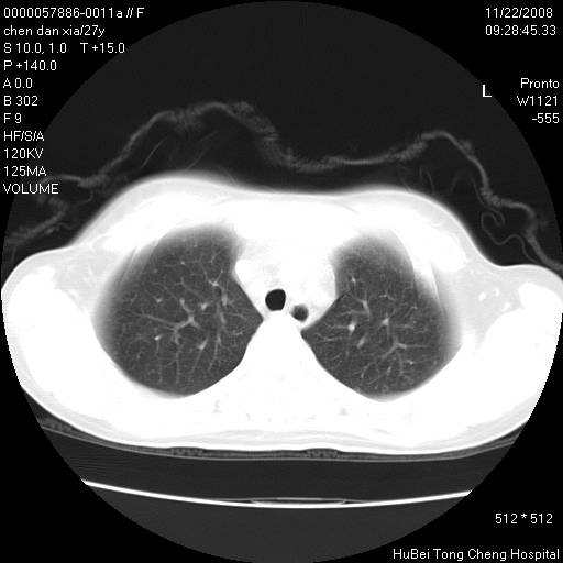
双肺纹影普多,部分呈网状,支炎或淋巴管炎?
纵隔内淋结肿
局部胸膜增厚
作者: lijuanln 时间: 2008-11-23 04:52
右侧前胸壁胸膜局限性肥厚(胸膜炎?)其他的强化观察.
作者: xulianj 时间: 2008-11-23 06:02
首先考虑右下肺结核,不排外淋巴瘤。
作者: CHEN-8822146 时间: 2008-11-23 08:38
下肺结节,结节内钙化,肺门纵隔淋巴肿大 结核可能性大
作者: 吴承学 时间: 2008-11-23 15:26
标题: 回复:ct16752:f,27y。发热咳嗽20余天,伴盗汗。
气管前腔静脉后淋巴结肿大 右肺门纹理模糊[br]淋巴结核?
作者: qc80012345 时间: 2008-11-23 16:28
实验室检查
作者: qiushi 时间: 2008-11-23 17:04
建议增强
作者: 深泽交通 时间: 2008-11-23 17:51
标题: 回复:ct16752:f,27y。发热咳嗽20余天,伴盗汗。
以下是引用hyhxn在2008-11-22 18:02:00的发言:[br]考虑双肺粟粒性肺tb,右侧胸膜增厚.
作者: xinliheng001 时间: 2008-11-23 20:02
要增强才行。
作者: yuhg 时间: 2008-11-23 21:14
好像有微结节,建议薄层以除外结核
作者: LIAOQIANG 时间: 2008-11-23 23:28
似有粟米状结节。考虑粟粒型肺结核?
作者: 随光逐影 时间: 2008-11-24 18:14
1)考虑两肺感染性病变。2)纵隔淋巴结肿大。
建议:抗炎治疗后复查。
作者: ccbbff2002 时间: 2008-11-24 21:23
气管旁,两肺门可疑淋巴结肿大,建议ct增强.
作者: 奥雷良诺 时间: 2008-11-29 20:32
哎,眼睛不好使,又没看出什么来!
| 欢迎光临 医影在线 (http://bbs.radida.com/bbs/) |
Powered by Discuz! X3.2 |