医影在线

标题: PED1649:女,4Y,低烧4天。 [打印本页]

作者: hwenke    时间: 2008-11-23 05:01
标题: PED1649:女,4Y,低烧4天。
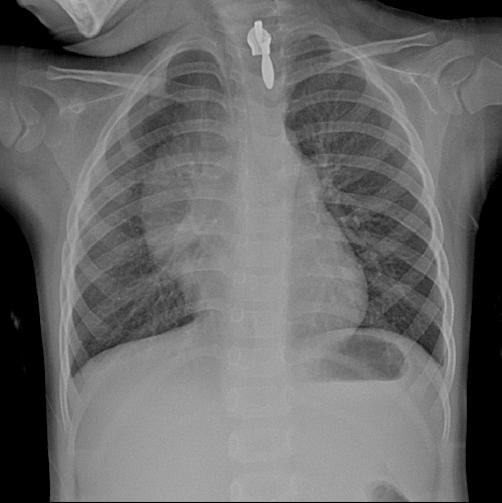
女,4岁,低烧四天,无咳嗽。请各位点评。



[本贴已被 jiajie 于 2008-11-22 21:09:03 修改过]

作者: wangyong1977    时间: 2008-11-23 05:58
纵隔增宽,胸腺瘤可能性大,建议加照侧位。
作者: hwenke    时间: 2008-11-23 06:20
想问一下小孩胸腺的发育特点,有哪位对此理解较深的请赐教。
作者: 平安是福    时间: 2008-11-23 18:12
纵隔像有占位性病变,建议做胸部ct检查。
作者: 余辉    时间: 2008-11-23 20:20
右中上纵隔增宽,气管未见变形移位,可能是后纵隔及脊柱旁的,建议进一步检查。
作者: zsl6918    时间: 2008-11-23 22:52
建议ct检查除外纵隔或心脏病变.
作者: jinguoji    时间: 2008-11-23 23:22
右中上纵隔增宽,建议ct进一步检查。
作者: 杀毒软件    时间: 2008-11-24 01:05
建议加照侧位
作者: 同    时间: 2008-11-24 02:47
标题: 回复:ped1649:女,4y,低烧4天。
以下是引用jinguoji在2008-11-23 15:22:00的发言:[br]右中上纵隔增宽,建议ct进一步检查。

作者: 随光逐影    时间: 2008-11-24 03:22
右中上纵隔占位性病变,不排除畸胎瘤可能;建议行ct扫描检查。
作者: zjzjr    时间: 2008-11-24 21:02
右中上纵隔增宽,建议ct进一步检查。
作者: hwenke    时间: 2008-11-24 21:06
有结果了,经中山大学一附院诊断为正常胸腺增大。有点惊讶!小孩胸腺增大本属正常,但如此大也在正常范围?算是长见识了!
作者: 王仕学    时间: 2008-11-25 18:45
右中上纵隔增宽,建议ct进一步检查。




欢迎光临 医影在线 (http://bbs.radida.com/bbs/) Powered by Discuz! X3.2