医影在线

标题: CT16763:女45Y多次碎石,结果不理想! [打印本页]

作者: lirenxiong    时间: 2008-11-24 01:53
标题: CT16763:女45Y多次碎石,结果不理想!
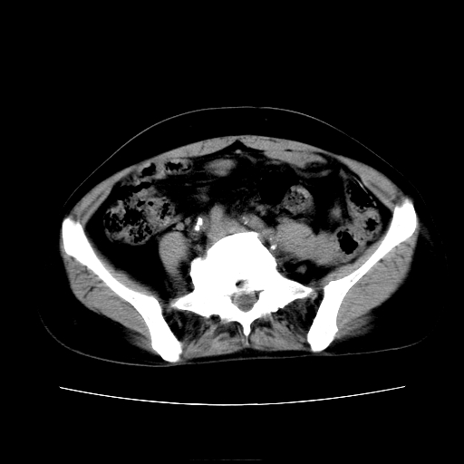
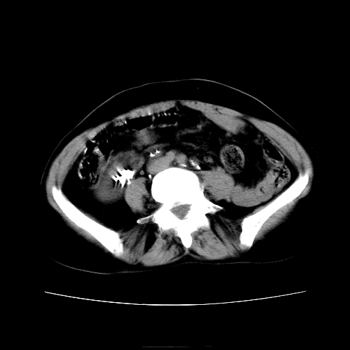
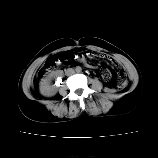
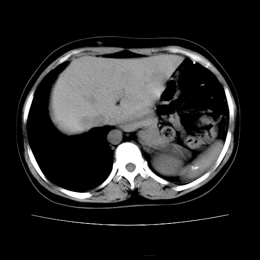
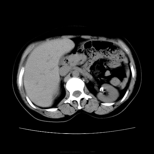
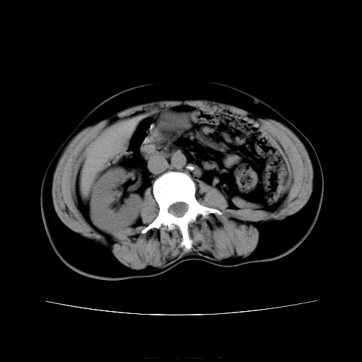
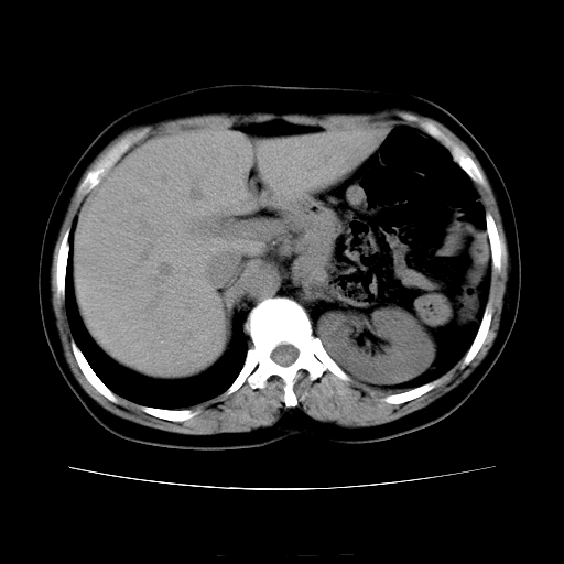
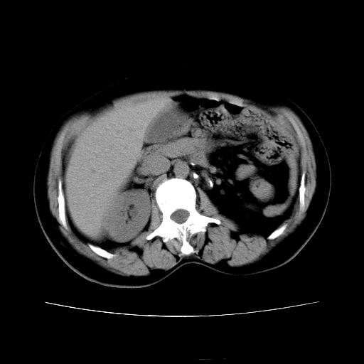
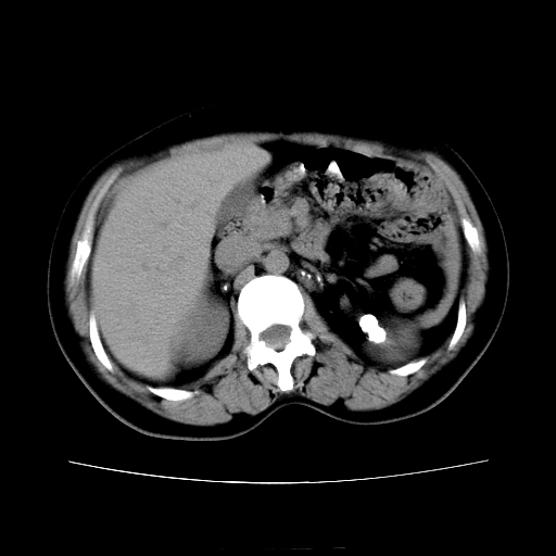
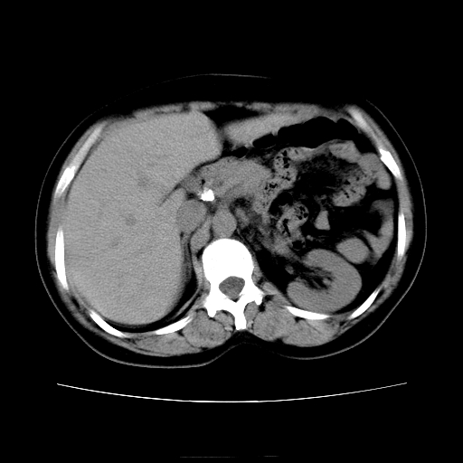
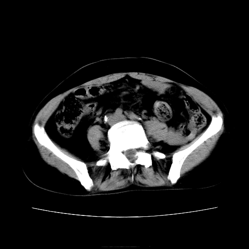
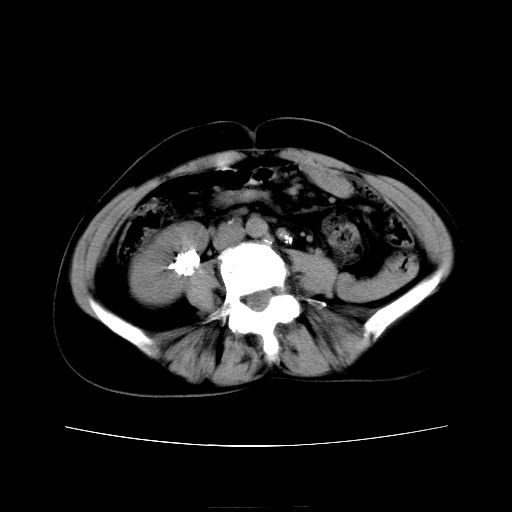
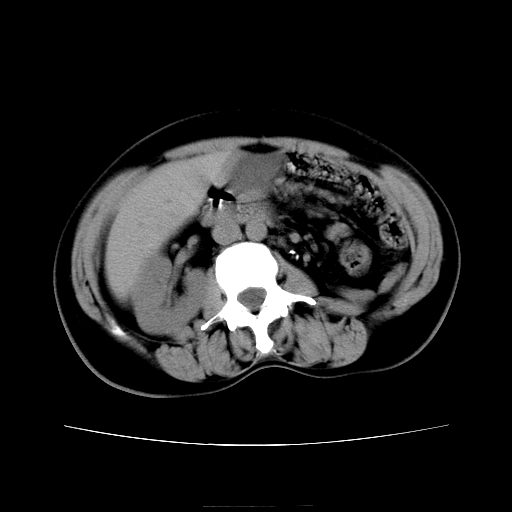
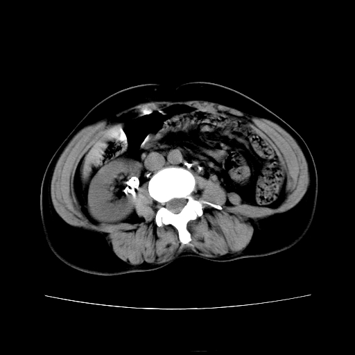
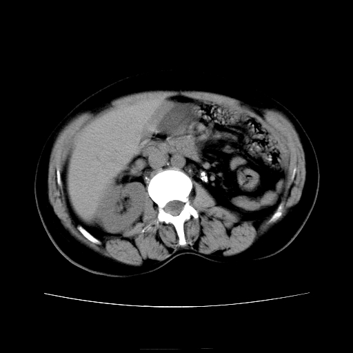
女45y多次(7次)碎石,结果不理想!曾碎石后尿出小碎石,仍腰痛,要求ct,其它不详.本人更倾向于钙化斑!无肾实质破坏,积水等提示集合系统无梗阻.另外腹腔多处钙化.是否结核后改变!谢谢赐教!




















[本贴已被 翁志蓬 于 2008-11-23 22:38:08 修改过]

作者: 358450m    时间: 2008-11-24 02:36
结石
作者: 同    时间: 2008-11-24 02:43
双肾结石.
作者: xulianj    时间: 2008-11-24 03:11
结合小便化验或ivp检查。
作者: wangyong1977    时间: 2008-11-24 03:25
支持楼上
作者: dsl555    时间: 2008-11-24 04:51
结合小便化验或ivp检查。
作者: 余辉    时间: 2008-11-24 05:28
考虑双侧肾结石,碎石一般只用于输尿管,膀胱及尿道结石,肾结石特别是无梗阻的肾结石不主张采用碎石的,有可能会搞得收不了场,再者也效果不好,无甚必要,大可以手术
作者: qc80012345    时间: 2008-11-24 06:41
结石,可作超声检查。
作者: zsl6918    时间: 2008-11-24 07:22
有结石也有钙化
作者: zjzjr    时间: 2008-11-24 16:26
双肾结石.
作者: wansheng    时间: 2008-11-24 16:38
有结石也有钙化
作者: 随光逐影    时间: 2008-11-24 18:17
1)双肾结石。2)脾脏钙化灶。3)腹膜后多发淋巴结钙化。
作者: 黑白光影    时间: 2008-11-25 03:18
尿路结石与腹部淋巴结钙化共存,建议v尿路造影检查,免得钙化灶冤枉为结石受罚。
作者: jinguoji    时间: 2008-11-28 22:06
双肾结石。
作者: dr.yang    时间: 2012-5-6 21:09
引用第6楼余辉于2008-11-24 05:28发表的  :
考虑双侧肾结石,碎石一般只用于输尿管,膀胱及尿道结石,肾结石特别是无梗阻的肾结石不主张采用碎石的,有可能会搞得收不了场,再者也效果不好,无甚必要,大可以手术

作者: yxhymx    时间: 2012-5-6 22:33
考虑双肾结石,肾脏实质无破坏表现,没有结核病史,不考虑肾结核,




欢迎光临 医影在线 (http://bbs.radida.com/bbs/) Powered by Discuz! X3.2