医影在线

标题: PED1650:男 8岁 间断抽搐2年 两岁是在外院诊断脑瘫 当时CT示 [打印本页]

作者: liweijun    时间: 2008-11-24 18:11
标题: PED1650:男 8岁 间断抽搐2年 两岁是在外院诊断脑瘫 当时CT示














[本贴已被 jiajie 于 2008-11-24 10:49:14 修改过]

作者: 深泽交通    时间: 2008-11-24 18:35
建议除外肾上腺恼白质营养不良病
作者: 余辉    时间: 2008-11-24 20:45
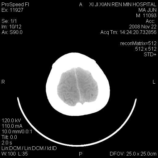
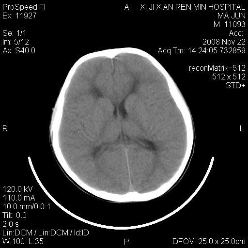
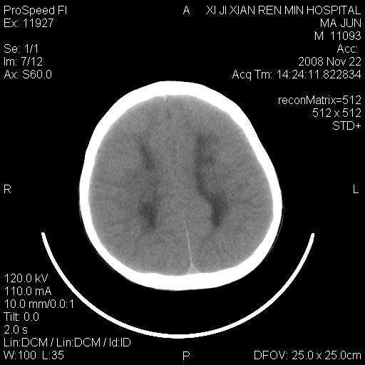
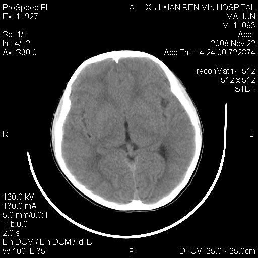
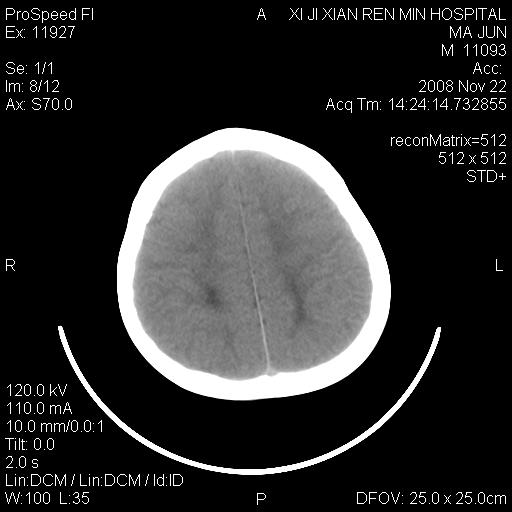
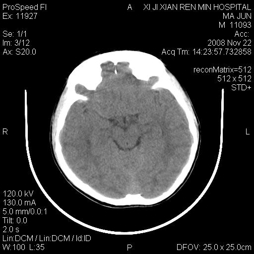
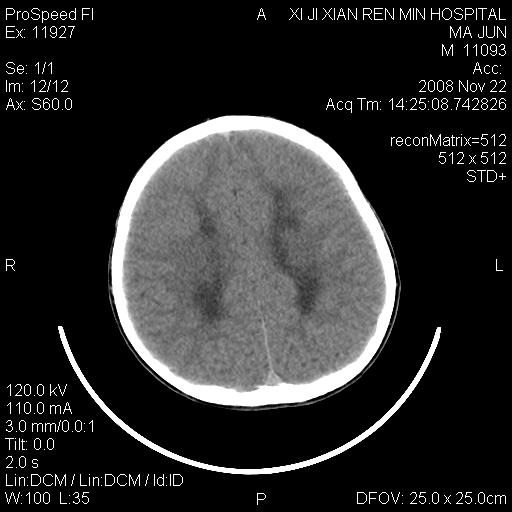
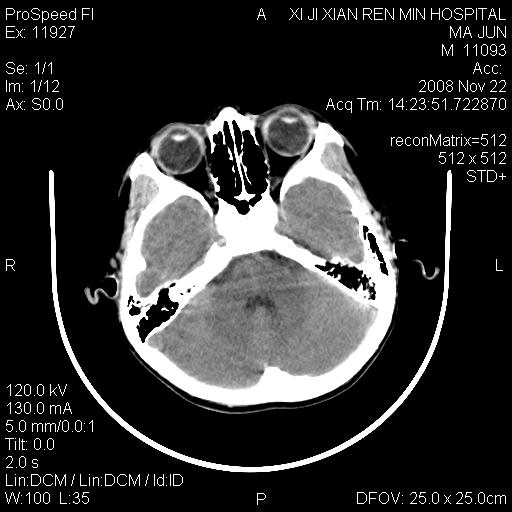
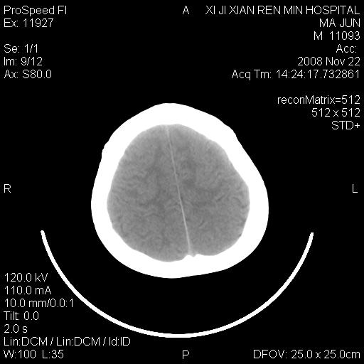
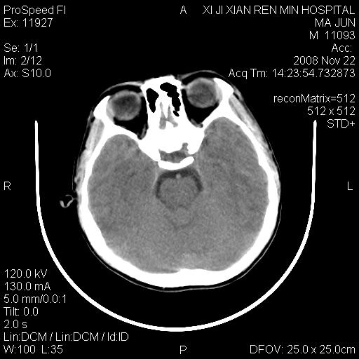
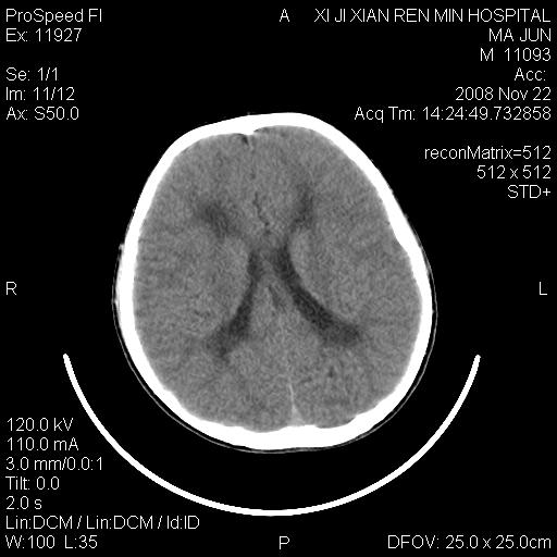
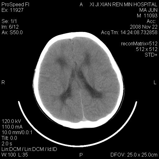
双侧侧脑室前角,三角区旁及半卵圆中心区白质呈低密度改变,半卵圆中心区病灶呈片状融合趋势,无软化征像,脑室无扩张,各神经核团无异常改变,脑皮质无萎缩等征像,结合病史考虑髓鞘发育不良性脑白质病,异染性脑白质营养不良可能性大.不除外多发性硬化等其他改变,建议磁共振检查
作者: zjzjr    时间: 2008-11-24 21:00
脑白质减少,双侧侧脑室额角旁及半卵圆中心可见对称性略低密度影,边缘尚清,考虑脑白质发育不良
作者: 随光逐影    时间: 2008-11-24 21:35
考虑脑白质营养不良。
作者: hguox    时间: 2008-11-24 22:25
考虑脑白质营养不良。
作者: zsl6918    时间: 2008-11-25 01:32
明确诊断需靠mr
作者: 杀毒软件    时间: 2008-11-25 01:36
支持考虑-----脑白质营养不良
作者: 黑白光影    时间: 2008-11-25 04:12
脑白质营养不良。
作者: 影象小泰斗    时间: 2008-11-25 04:40
考虑脑白质发育不良!!!
作者: wangyong1977    时间: 2008-11-25 05:20
肾上腺脑白质营养不良
作者: cyr88888    时间: 2008-11-25 05:51
胼胝体发育不良
作者: 王仕学    时间: 2008-11-25 18:41
考虑脑白质营养不良。




欢迎光临 医影在线 (http://bbs.radida.com/bbs/) Powered by Discuz! X3.2