医影在线
标题: CT16778:F64Y,颅内囊性占位 [打印本页]
作者: zhangyang66 时间: 2008-11-25 04:11
标题: CT16778:F64Y,颅内囊性占位









[本贴已被 jiajie 于 2008-11-24 20:45:26 修改过]
作者: wxq2008 时间: 2008-11-25 04:20
胶质瘤
作者: 卜一 时间: 2008-11-25 04:25
蛛网膜囊肿?胶质瘤?建议增强!
作者: zhangsb 时间: 2008-11-25 04:31
胶质瘤?建议增强!
作者: zjzjr 时间: 2008-11-25 04:34
应该是囊实性占位。考虑胶质瘤可能性大,囊性脑膜瘤不除外,建议增强,请提供病史
作者: 王仕学 时间: 2008-11-25 04:41
是囊实性占位。考虑间变性胶质瘤可能性大,建议增强
作者: cyr88888 时间: 2008-11-25 04:49
间变性胶质瘤
作者: wangyong1977 时间: 2008-11-25 05:37
右侧囊实性占位,胶质瘤可能性大
作者: zsl6918 时间: 2008-11-25 05:57
颅内占位,考虑脑膜瘤坏死囊变.
作者: 余辉 时间: 2008-11-25 06:12
里面还有液平的,多考虑表皮样囊肿,其次考虑胶母及脑膜瘤等,
作者: 晓杰 时间: 2008-11-25 06:16
右侧囊实性占位,胶质瘤可能性大
作者: liujf 时间: 2008-11-25 06:28
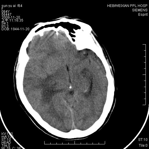
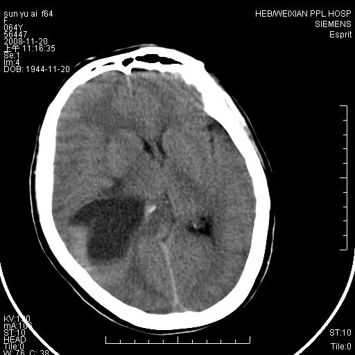
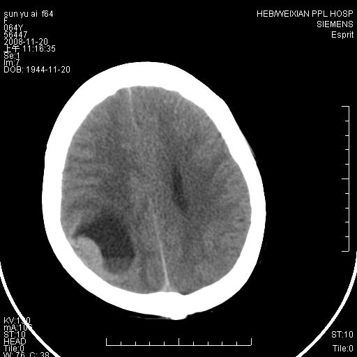
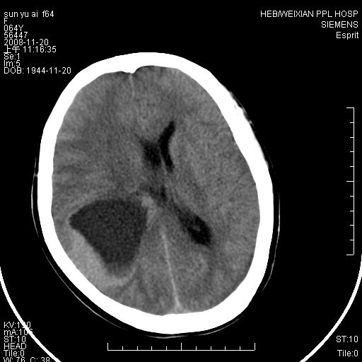
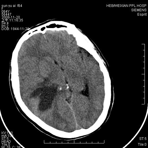
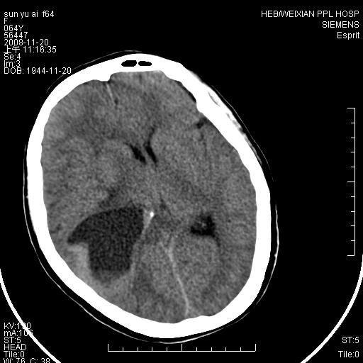
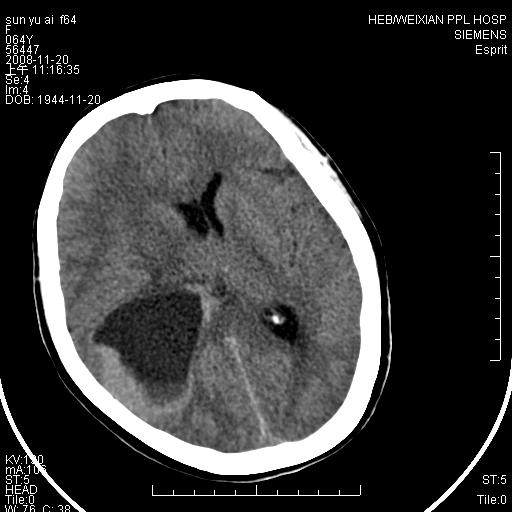
影像表现:侧脑室三角区附近可见以形态不规则的囊实性肿块,其中以囊性成分为主,实性成分为辅,边缘清晰,未见水肿,轻度占位效应,脉络丛钙化向内上移位,右侧脑室轻度扩大(也许体位所致),
影像诊断:1室管膜瘤
2胆脂瘤 建议增强吧
作者: 影像孺子牛 时间: 2008-11-25 06:56
1、右侧大脑半球囊实性占位病变,以囊性变为主,实性部分位于病变外后侧,周围无明显水肿,占位征象明显。
2、多考虑胶质瘤可能性大。
不支持室管膜瘤原因:
1、发病年龄,部分囊性变室管膜瘤多见于青少年,恶性星形细胞瘤的发病年龄较大常见于40-50岁。
2、室管膜瘤肿瘤实性部分有条状或点状钙化,而恶性星形细胞瘤钙化罕见。
建议增强进一步检查。
作者: qc80012345 时间: 2008-11-25 07:55
增强进一步检查。胶质瘤可能性大。
作者: dengkai 时间: 2008-11-25 08:12
有液平的,多考虑表皮样囊肿,胶质瘤可能?
作者: 吴承学 时间: 2008-11-25 14:44
标题: 回复:ct16778:f64y,颅内囊性占位
是囊实性占位。考虑间变性胶质瘤可能性大,建议增强[
作者: 随光逐影 时间: 2008-11-25 16:51
考虑胶质瘤可能性大;不排除脑膜瘤。
作者: dyqct 时间: 2008-11-25 17:10
右颞顶叶囊实性占位,有壁结节。考虑间变性胶质瘤可能性大,建议增强进一步检查。
作者: 朱亮 时间: 2008-11-25 18:08
囊性脑膜瘤首先考虑 胶质瘤待排
作者: jiangjing 时间: 2008-11-25 18:25
囊实性占位,实性部分为等密度或稍高密度,无明显水肿征考虑 -----脑膜瘤或室管膜瘤.其他待排,建议mri 增强检查
作者: 深泽交通 时间: 2008-11-25 18:36
标题: 回复:ct16778:f64y,颅内囊性占位
以下是引用zsl6918在2008-11-24 21:57:00的发言:[br]颅内占位,考虑脑膜瘤坏死囊变.
作者: WYD2008 时间: 2008-11-25 19:28
胶质瘤(间变)可能大,建议增强.
作者: xulianj 时间: 2008-11-26 03:15
右侧囊实性占位,胶质瘤可能性大。增强进一步检查。
作者: 黑白光影 时间: 2008-11-26 18:04
考虑胶质瘤,不排除脑膜瘤可能。
作者: jinguoji 时间: 2008-11-28 19:18
右颞顶叶囊实性占位,有壁结节,考虑胶质瘤可能性大,建议增强进一步检查。
作者: 红树林 时间: 2008-12-1 07:51
胶质瘤
作者: LIAOQIANG 时间: 2008-12-2 00:01
考虑胶质瘤(间变性少支胶质瘤?)?室管膜瘤?
作者: 987654zwf 时间: 2008-12-2 04:12
右颞顶叶囊实性占位,有壁结节,考虑胶质瘤可能性大,建议增强进一步检查。
作者: 一个人 时间: 2008-12-2 04:16
里面还有液平的,多考虑表皮样囊肿,其次考虑胶母及脑膜瘤等,
| 欢迎光临 医影在线 (http://bbs.radida.com/bbs/) |
Powered by Discuz! X3.2 |