医影在线
标题: PED1652:男孩5岁,下肢疼痛1年余。小儿多骨破坏(转) [打印本页]
作者: 杏林古木 时间: 2008-11-25 06:30
标题: PED1652:男孩5岁,下肢疼痛1年余。小儿多骨破坏(转)
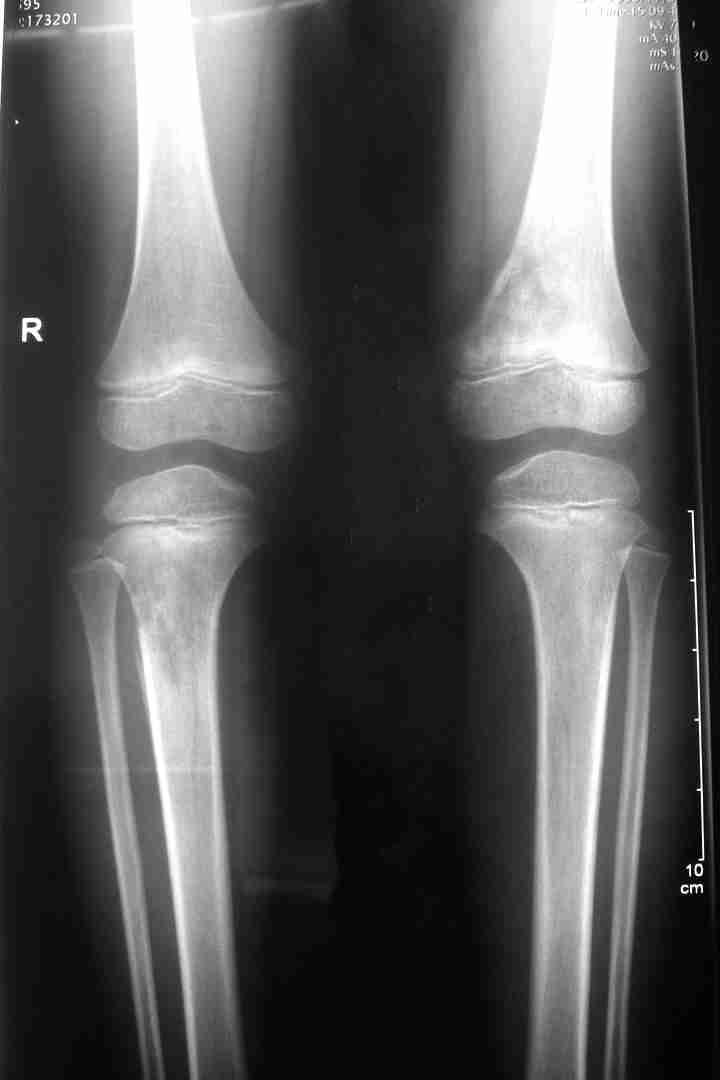
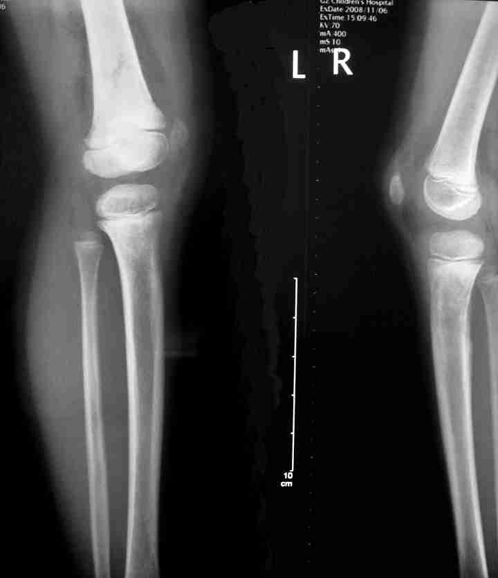
男孩5岁,下肢疼痛1年余。



[本贴已被 jiajie 于 2008-11-25 8:20:15 修改过]
作者: zsl6918 时间: 2008-11-25 07:07
考虑血液系统的疾病,恶性可能性大.
作者: dengkai 时间: 2008-11-25 07:58
恶性肿瘤?
作者: mfszxc 时间: 2008-11-25 08:43
多部位发病,以融骨性破坏为主伴成骨样破坏,考虑恶性肿瘤,以转移性可能性大。
作者: 随光逐影 时间: 2008-11-25 17:32
考虑白血病骨关节改变。
作者: 余辉 时间: 2008-11-25 20:56
标题: 1
多骨溶骨性破坏,累及干骺端,可见骨硬化增生,可见软组织肿块,有明显骨膜反应,患者男性,5岁,病史一年,考虑骨恶性肿瘤,成神经细胞瘤,ewing瘤,骨母细胞肉瘤及转移等可能性大,另不除外黄脂瘤
[本贴已被 余辉 于 2008-11-25 12:56:59 修改过]
作者: 杀毒软件 时间: 2008-11-26 01:25
楼上各位老师的考虑都有道理,我倾向------血液系统的疾病可能性大
作者: drzhang8888 时间: 2008-11-27 04:13
支持恶性的诊断,多提供临床病史及其他辅助检查更能说明问题。象楼上的老师说得白血病等,验血基本可明确的
作者: 影象小泰斗 时间: 2008-11-27 05:08
期待病例结果!
作者: dyqct 时间: 2008-11-27 16:57
要全面检查,期待结果。
作者: zjzjr 时间: 2008-11-27 18:36
期待病例结果!
| 欢迎光临 医影在线 (http://bbs.radida.com/bbs/) |
Powered by Discuz! X3.2 |