医影在线
标题: CT16785:F,76Y。左颈部包块20余天。 [打印本页]
作者: 随光逐影 时间: 2008-11-25 17:57
标题: CT16785:F,76Y。左颈部包块20余天。
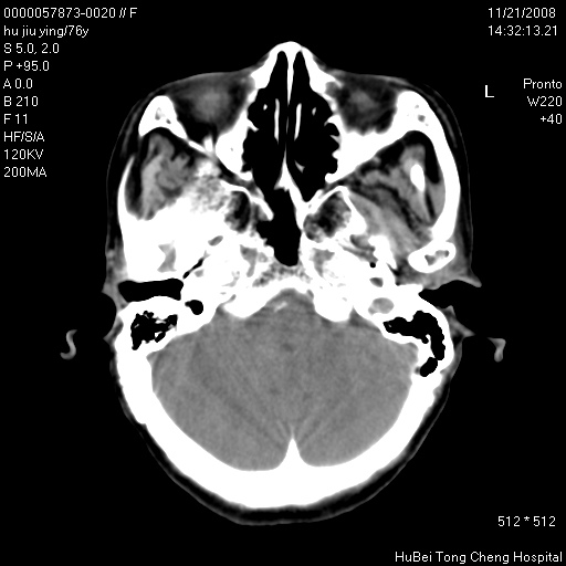
患者 女,76岁。左颈部包块20余天。pe:左侧扁桃体ⅲ度肿大,表面不平,有新生血管,右咽柱红肿,无溃疡。左颈上部包块约3cm×4cm大小,质中等,压痛,边界不清,不能移动。
临床诊断:左侧扁桃体肿瘤?
咽部及颈部ct轴位平扫(层厚、层距均为5mm),图像如下:




















[本贴已被 jiajie 于 2008-11-25 10:14:49 修改过]
作者: lkkzll 时间: 2008-11-25 18:16
有增强好点吧?
作者: 深泽交通 时间: 2008-11-25 18:18
支持肿瘤
作者: zjzjr 时间: 2008-11-25 19:30
考虑小涎腺多形性腺瘤可能性大,建议增强.
作者: 前行 时间: 2008-11-25 20:11
ct增强或mr检查。
作者: 晓杰 时间: 2008-11-25 20:33
支持:左侧扁桃体肿瘤;建议做mri检查
作者: zsl6918 时间: 2008-11-25 20:44
首先考虑淋巴瘤
作者: sdzyy 时间: 2008-11-25 23:34
左侧咽旁软组织密度肿块影,形态不规则,与周围结构分界欠清,性质待定,建议增强;另双侧上颌窦炎.
作者: tanjiuzhe313 时间: 2008-11-25 23:41
标题: 回复:ct16785:f,76y。左颈部包块20余天。
以下是引用sdzyy在2008-11-25 15:34:00的发言:[br]左侧咽旁软组织密度肿块影,形态不规则,与周围结构分界欠清,性质待定,建议增强;另双侧上颌窦炎.
作者: dyqct 时间: 2008-11-25 23:55
支持:1)左侧扁桃体肿瘤;
2)双侧上颌窦炎症.
作者: 王仕学 时间: 2008-11-26 00:29
标题: 回复:ct16785:f,76y。左颈部包块20余天。
以下是引用dyqct在2008-11-25 15:55:00的发言:[br]支持:1)左侧扁桃体肿瘤;[br] 2)双侧上颌窦炎症.
作者: jiangboCT 时间: 2008-11-26 00:53
建议增强 支持扁桃体肿瘤
作者: 朱亮 时间: 2008-11-26 00:57
支持肿瘤 应强化
作者: hguox 时间: 2008-11-26 01:24
支持:1)左侧扁桃体肿瘤;
2)双侧上颌窦炎症.
作者: 杀毒软件 时间: 2008-11-26 01:32
标题: 回复:ct16785:f,76y。左颈部包块20余天。
以下是引用dyqct在2008-11-25 15:55:00的发言:[br]支持:1)左侧扁桃体肿瘤;[br] 2)双侧上颌窦炎症.
支持
作者: 张XYZ 时间: 2008-11-26 02:32
支持肿瘤建议增强及穿刺活检
作者: xulianj 时间: 2008-11-26 03:30
支持:1)左侧扁桃体肿瘤;
2)双侧上颌窦炎症.
作者: 余辉 时间: 2008-11-26 04:10
标题: 回复:ct16785:f,76y。左颈部包块20余天。
以下是引用dyqct在2008-11-25 15:55:00的发言:[br]支持:1)左侧扁桃体肿瘤;[br] 2)双侧上颌窦炎症.
作者: dengkai 时间: 2008-11-26 05:32
左侧咽旁软组织密度肿块影,形态不规则,
与周围结构分界欠清,性质待定,建议增强;
另双侧上颌窦炎.
作者: yuhg 时间: 2008-11-26 06:54
肿瘤增强扫描
作者: jinguoji 时间: 2008-11-26 17:29
支持:1)左侧扁桃体肿瘤;
2)双侧上颌窦炎症。
作者: 黑白光影 时间: 2008-11-26 18:19
支持:1)左侧扁桃体肿瘤;2)双侧上颌窦炎症.
作者: 风中百合 时间: 2008-11-28 02:40
支持:1)左侧扁桃体肿瘤;
2)双侧上颌窦炎症.
| 欢迎光临 医影在线 (http://bbs.radida.com/bbs/) |
Powered by Discuz! X3.2 |