医影在线

标题: CT16800:男.68.肢体无力多年请会诊 [打印本页]

作者: huhong1111111    时间: 2008-11-26 17:53
标题: CT16800:男.68.肢体无力多年请会诊
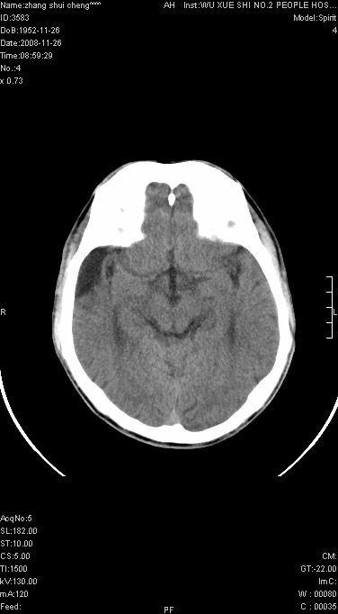
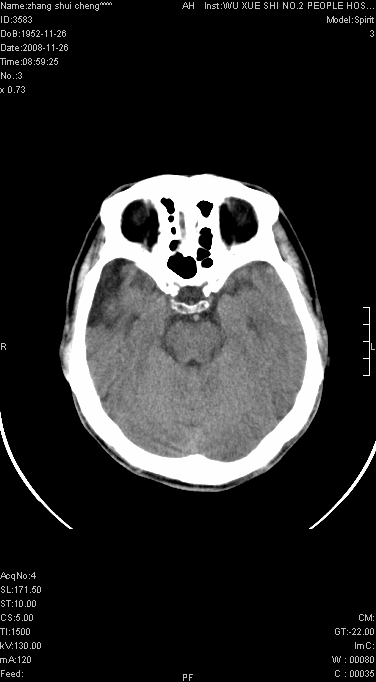
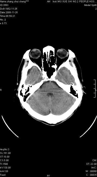
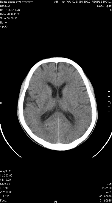
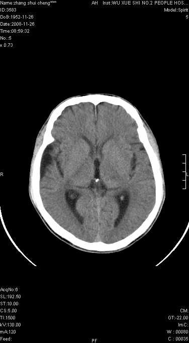
男.68.肢体无力多年








[本贴已被 jiajie 于 2008-11-26 13:42:07 修改过]

作者: huhong1111111    时间: 2008-11-26 17:55
请问是蛛网膜囊肿.还是软化灶.原有中风
作者: 深泽交通    时间: 2008-11-26 18:01
脑外性,蛛网膜囊肿
作者: dyqct    时间: 2008-11-26 18:05
支持右侧颞区蛛网膜囊肿。
作者: wodaidai33    时间: 2008-11-26 18:07
蛛网膜囊肿,软化灶周围脑沟应该受牵拉,扩大
作者: 影像孺子牛    时间: 2008-11-26 18:46
支持右侧颞区蛛网膜囊肿。
作者: 黑白光影    时间: 2008-11-26 18:52
支持右侧颞区蛛网膜囊肿。
作者: LIAOQIANG    时间: 2008-11-26 19:04
考虑右侧颞区蛛网膜囊肿。
作者: 随光逐影    时间: 2008-11-26 19:30
支持 右侧颞部蛛网膜囊肿。
作者: drzhang8888    时间: 2008-11-26 19:50
脑外性,蛛网膜囊肿,软化灶周围脑沟应该受牵拉,扩大
作者: QINGJING    时间: 2008-11-26 21:18
蛛网膜囊肿
作者: 余辉    时间: 2008-11-26 21:34
颞部膨胀,多考虑蛛网膜囊肿
作者: dengkai    时间: 2008-11-26 23:01
蛛网膜囊肿,软化灶周围脑沟应该受牵拉,扩大!
作者: 陈正林    时间: 2008-11-26 23:41
脑外性,蛛网膜囊肿,软化灶周围脑沟应该受牵拉,扩大
作者: zjzjr    时间: 2008-11-26 23:52
支持 右侧颞部蛛网膜囊肿。
作者: huqi8888    时间: 2008-11-27 03:11
支持右侧颞区蛛网膜囊肿。
作者: 张XYZ    时间: 2008-11-27 03:28
支持珠网膜囊肿
作者: 光影相伴    时间: 2008-11-27 03:46
蛛网膜囊肿。
作者: wangyong1977    时间: 2008-11-27 03:58
支持蛛网膜囊肿
作者: xulianj    时间: 2008-11-27 04:12
支持右侧颞区蛛网膜囊肿。
作者: huenhao    时间: 2008-11-27 04:23
支持右侧颞区蛛网膜囊肿。
作者: 影象小泰斗    时间: 2008-11-27 04:30
蛛网膜囊肿
作者: 李兴    时间: 2008-11-27 04:52
右颞区蛛网膜囊肿
作者: zsl6918    时间: 2008-11-27 05:27
蛛网膜囊肿
作者: jinguoji    时间: 2008-11-27 22:59
支持右侧颞区蛛网膜囊肿。
作者: zjb    时间: 2008-11-28 01:51
右侧颞区蛛网膜囊肿
作者: huqi8888    时间: 2008-11-28 02:48
支持 右侧颞部蛛网膜囊肿




欢迎光临 医影在线 (http://bbs.radida.com/bbs/) Powered by Discuz! X3.2