医影在线
标题: CT16803:M,36Y。头部烧伤36年伴溃烂,经久不愈。 [打印本页]
作者: 随光逐影 时间: 2008-11-26 19:28
标题: CT16803:M,36Y。头部烧伤36年伴溃烂,经久不愈。
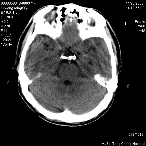
患者 男,36岁。头部烧伤36年伴溃烂,经久不愈。患者几个月大时,倒入火炉不幸烧伤头部,后长期溃烂,经久不愈。
临床诊断:1)头皮烧伤并感染。2)颅骨病损?
颅脑ct轴位平扫(层厚、层距均匀10mm),图像如下:





































[本贴已被 jiajie 于 2008-11-26 13:43:43 修改过]
作者: 前行 时间: 2008-11-26 20:05
以骨质破坏为为,边缘呈虫噬样改变,多砂粒样钙钙化或死骨,伴软组织及硬膜外积脓,考虑为结核感染可能性大,建议细菌培养。
作者: xinliheng001 时间: 2008-11-26 20:24
额顶局部骨质破坏缺损
作者: drzhang8888 时间: 2008-11-26 20:29
患者有明确的病史,且经久不愈,更该考虑软组织化脓性感染,颅骨损害伴硬膜下下积脓
作者: 余辉 时间: 2008-11-26 20:32
结合病史考虑颅骨慢性骨髓炎
作者: QINGJING 时间: 2008-11-26 21:13
顶楼上
作者: dengkai 时间: 2008-11-26 23:09
皮肤ca额顶局部骨质破坏缺损
作者: LIAOQIANG 时间: 2008-11-26 23:46
结合病史考虑颅骨慢性骨髓炎伴硬膜外积脓。
作者: 卜一 时间: 2008-11-26 23:49
结合病史考虑颅骨慢性骨髓炎 !支持!
作者: CT-LU 时间: 2008-11-27 00:03
结合临床考虑慢性骨髓炎伴硬膜外脓肿
作者: dyqct 时间: 2008-11-27 00:11
标题: 回复:ct16803:m,36y。头部烧伤36年伴溃烂,经久不愈。
以下是引用drzhang8888在2008-11-26 12:29:00的发言:[br]患者有明确的病史,且经久不愈,更该考虑软组织化脓性感染,颅骨损害伴硬膜下下积脓
支持!
作者: 深泽交通 时间: 2008-11-27 00:38
标题: 回复:ct16803:m,36y。头部烧伤36年伴溃烂,经久不愈。
以下是引用ct-lu在2008-11-26 16:03:00的发言:[br]结合临床考虑慢性骨髓炎伴硬膜外脓肿
作者: zjzjr 时间: 2008-11-27 01:14
患者有明确的病史,且经久不愈,更该考虑软组织化脓性感染,颅骨损害伴硬膜外积脓
作者: 玉真 时间: 2008-11-27 01:32
结合病史考虑颅骨慢性骨髓炎伴硬膜外积脓
作者: ziyoufeixiang 时间: 2008-11-27 02:28
考虑颅骨慢性骨髓炎伴硬膜外积脓
作者: 张XYZ 时间: 2008-11-27 03:15
支持楼上意见
作者: 同 时间: 2008-11-27 03:21
标题: 回复:ct16803:m,36y。头部烧伤36年伴溃烂,经久不愈。
以下是引用余辉在2008-11-26 12:32:00的发言:[br]结合病史考虑颅骨慢性骨髓炎
作者: 光影相伴 时间: 2008-11-27 04:00
皮肤ca额顶局部骨质破坏缺损。支持。
作者: xulianj 时间: 2008-11-27 04:18
结合病史考虑颅骨慢性骨髓炎;但局部见一软组织肿块,用炎症不好解释,应增强除外肿瘤。
作者: 影象小泰斗 时间: 2008-11-27 04:19
结合临床考虑慢性骨髓炎伴硬膜外脓肿!
作者: 李兴 时间: 2008-11-27 04:33
l颅骨慢性化脓性骨髓炎,颅内脓肿形成
作者: huenhao 时间: 2008-11-27 04:48
患者有明确的病史,且经久不愈,更该考虑软组织化脓性感染,颅骨损害伴硬膜下下积脓 支持!
作者: zimiu 时间: 2008-11-27 05:10
骨质破坏,边缘呈虫噬样改变,结合患者明确烧伤史,经久不愈,考虑软组织化脓性感染,颅骨损害伴硬膜下积脓。
作者: zsl6918 时间: 2008-11-27 05:14
结合病史符合慢性感染所致的骨质破坏。
作者: 摘星空竹子 时间: 2008-11-27 05:34
标题: 回复:ct16803:m,36y。头部烧伤36年伴溃烂,经久不愈。
以下是引用余辉在2008-11-26 12:32:00的发言:[br]结合病史考虑颅骨慢性骨髓炎
作者: 蓝星 时间: 2008-11-27 05:44
结合病史考虑颅骨慢性骨髓炎 !支持!
作者: 影像孺子牛 时间: 2008-11-27 07:11
患者有明确的病史,且经久不愈,更该考虑软组织化脓性感染,颅骨损害伴硬膜外积脓。
作者: x-man 时间: 2008-11-27 07:23
考虑软组织化脓性感染,颅骨损害伴慢性硬膜下积脓,支持
作者: 吴承学 时间: 2008-11-27 14:23
标题: 回复:ct16803:m,36y。头部烧伤36年伴溃烂,经久不愈。
结合病史考虑颅骨慢性骨髓炎 !支持!
作者: jinguoji 时间: 2008-11-27 23:15
结合病史考虑颅骨慢性骨髓炎。
作者: 黑白光影 时间: 2008-11-28 00:57
结合病史考虑颅骨慢性骨髓炎伴硬膜外积脓,软组织溃烂恶变不排除,建议活检。
作者: huqi8888 时间: 2008-11-28 02:29
结合病史考虑颅骨慢性骨髓炎伴硬膜外积脓,软组织溃烂恶变不排除
| 欢迎光临 医影在线 (http://bbs.radida.com/bbs/) |
Powered by Discuz! X3.2 |