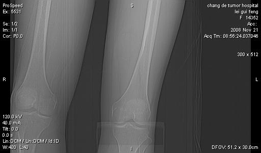
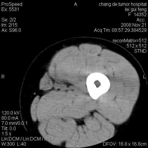
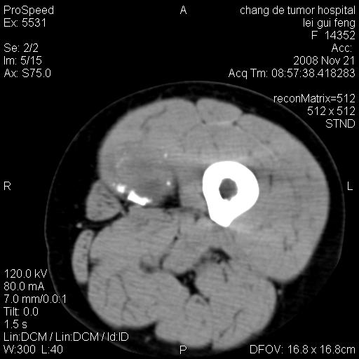
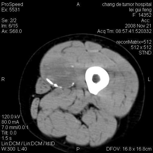
医影在线
标题: CT16807:女 41 无不适 [打印本页]
作者: yangyingjun18 时间: 2008-11-27 05:07
标题: CT16807:女 41 无不适
















[本贴已被 jiajie 于 2008-11-26 21:36:49 修改过]
作者: zsl6918 时间: 2008-11-27 05:09
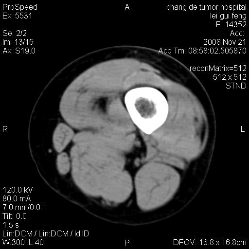
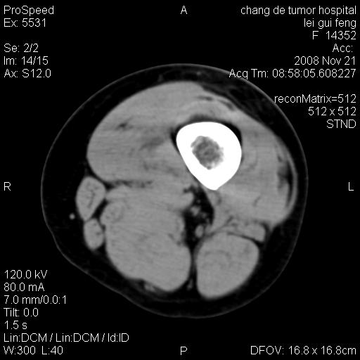
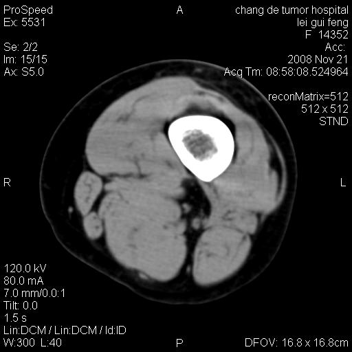
考虑皮样囊肿可能性大
作者: 朱亮 时间: 2008-11-27 06:27
血管瘤可能
作者: cyr88888 时间: 2008-11-27 06:38
血管瘤
作者: 卜一 时间: 2008-11-27 13:32
血管瘤可能性大!
作者: 联众之王 时间: 2008-11-27 14:18
黏液瘤或表皮杨囊肿
作者: 吴承学 时间: 2008-11-27 14:40
标题: 回复:ct16807:女 41 无不适
血管瘤可能性大!
作者: gaoshengjiang 时间: 2008-11-27 16:11
建议增强或mri检查。
作者: 随光逐影 时间: 2008-11-27 16:11
不排除横纹肌肉瘤可能。
作者: huenhao 时间: 2008-11-27 17:08
血管瘤可能性大,建议增强
作者: zjzjr 时间: 2008-11-27 17:11
血管瘤可能性大或畸胎瘤
作者: wangyihuan33 时间: 2008-11-27 17:40
血管瘤可能,血肿机化可能吗?
作者: 深泽交通 时间: 2008-11-27 17:48
考虑脂肪肉瘤
作者: sdzyy 时间: 2008-11-27 18:17
建议增强或mri检查。
作者: 同 时间: 2008-11-27 20:39
血管瘤可能性大.
作者: jinguoji 时间: 2008-11-27 23:26
考虑血管瘤可能性大。
作者: 黑白光影 时间: 2008-11-28 01:09
标题: 。。
“无不适” 也能插上一腿搞出个这么大的砣?最起码也应该是:自觉腿部包块,质硬或软,有或无移动,再无其它不适。
[本贴已被 黑白光影 于 2008-11-27 17:24:55 修改过]
作者: huqi8888 时间: 2008-11-28 02:35
考虑血管瘤可能性大;不排除肉瘤可能。建议行活检。
作者: zhangling 时间: 2008-11-28 02:40
脂肪肉瘤?
作者: 余辉 时间: 2008-11-28 03:06
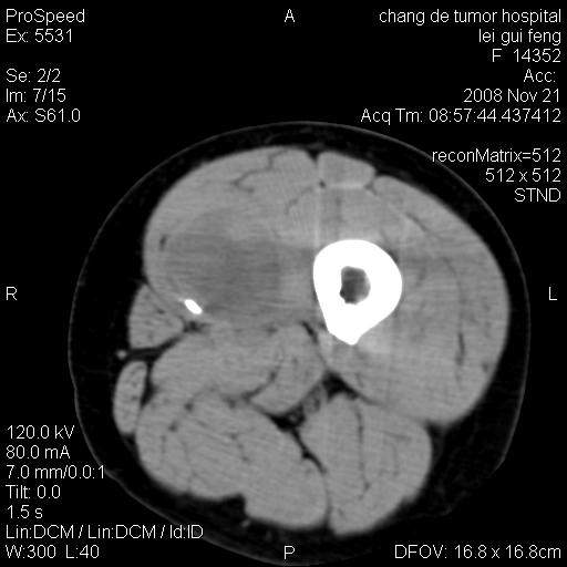
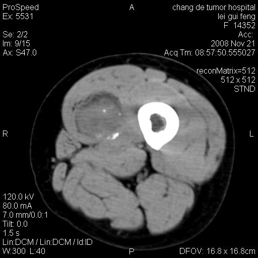
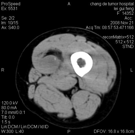
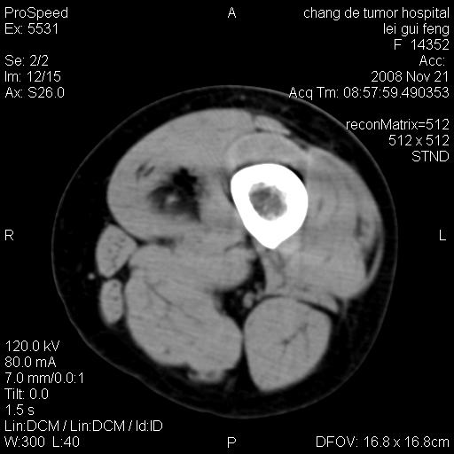
双是软组织肿瘤,病灶内多发钙化,另可见多量脂肪密度影,考虑畸胎瘤,血管瘤,不除外其他
作者: xulianj 时间: 2008-11-28 03:41
血管瘤可能性大,建议增强。
| 欢迎光临 医影在线 (http://bbs.radida.com/bbs/) |
Powered by Discuz! X3.2 |