医影在线
标题: CT16812:M74Y,无法进一步检查的病例,困惑啊 [打印本页]
作者: zwjyr 时间: 2008-11-27 17:53
标题: CT16812:M74Y,无法进一步检查的病例,困惑啊
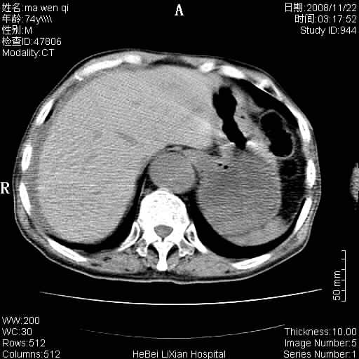
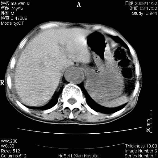
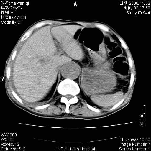
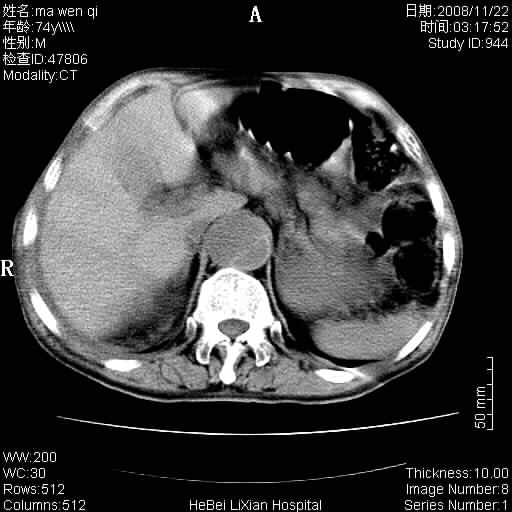
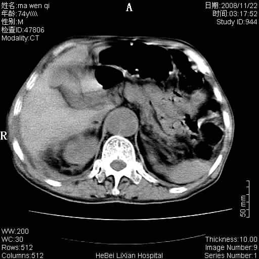
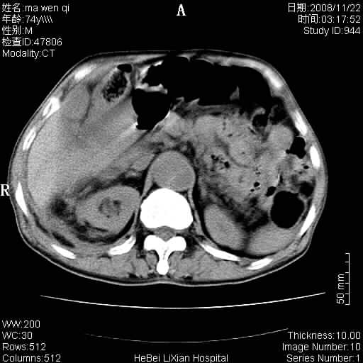
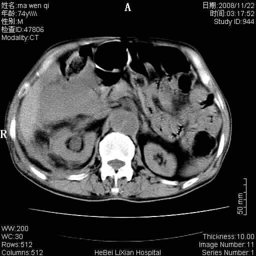
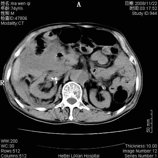
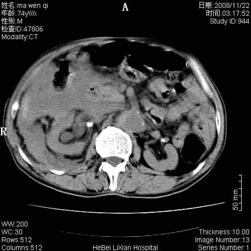
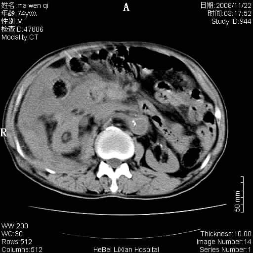
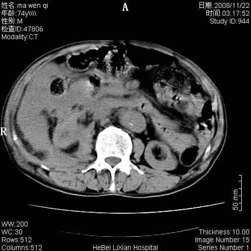
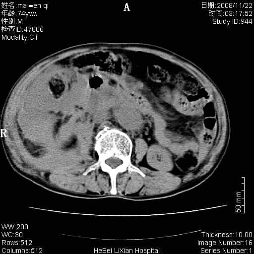
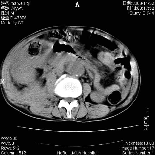
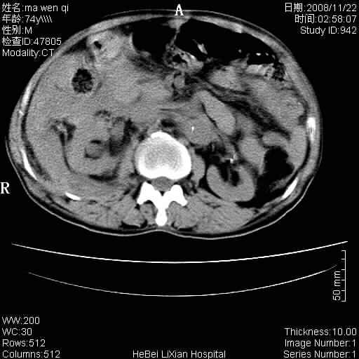
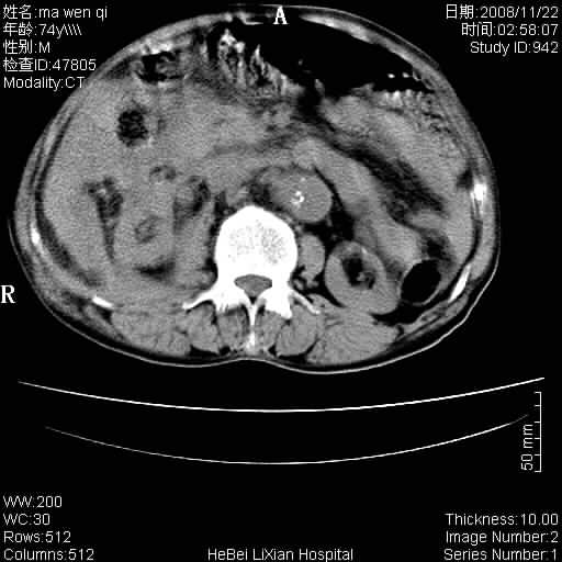
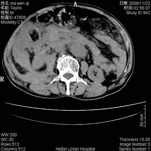
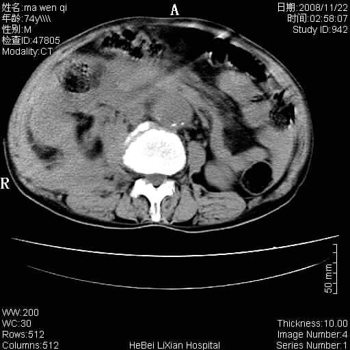
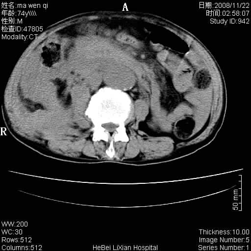
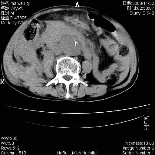
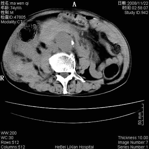
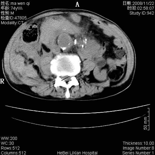
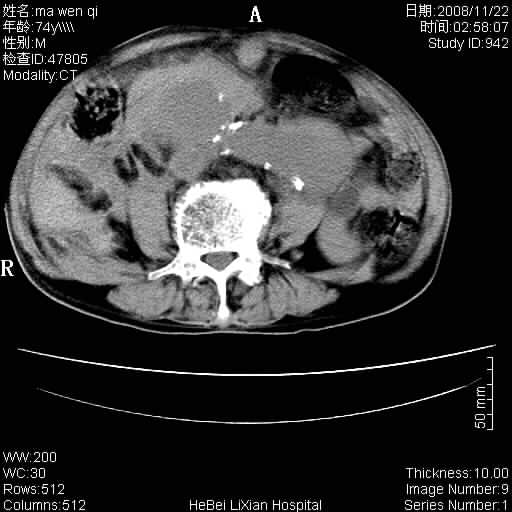
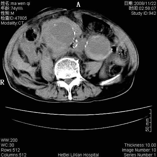
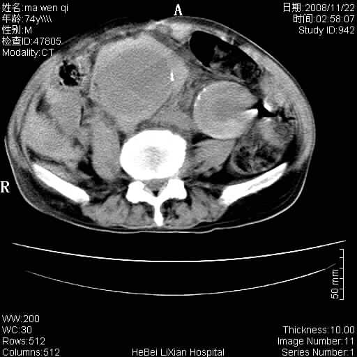
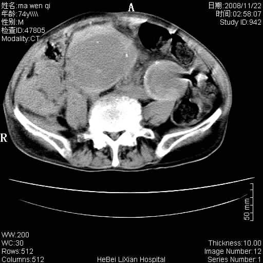
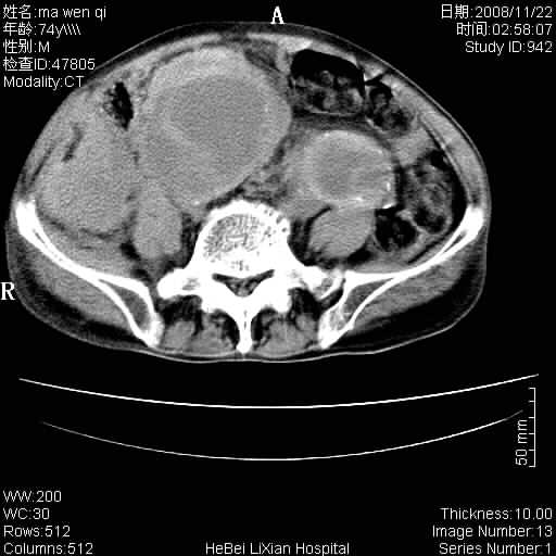
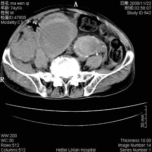
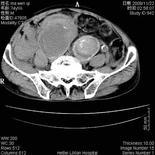
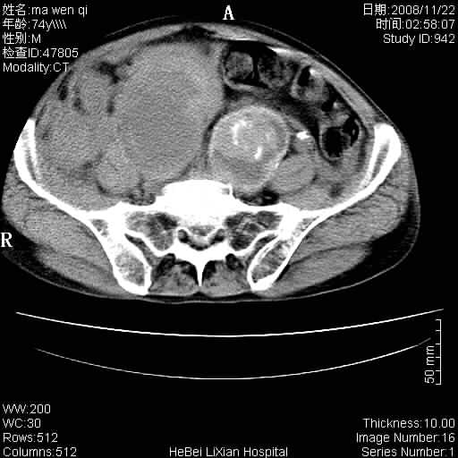
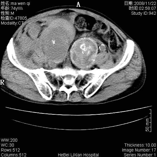
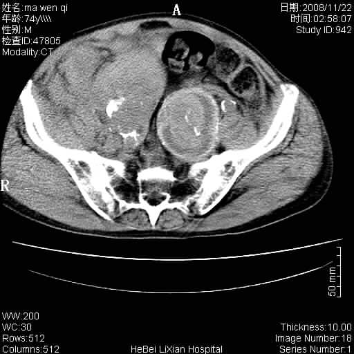
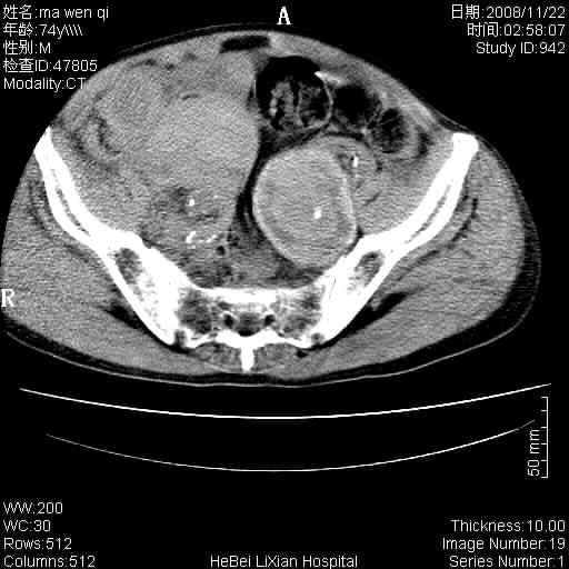
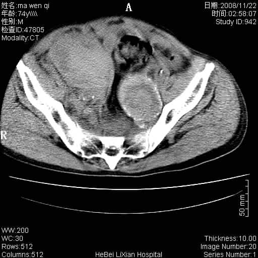
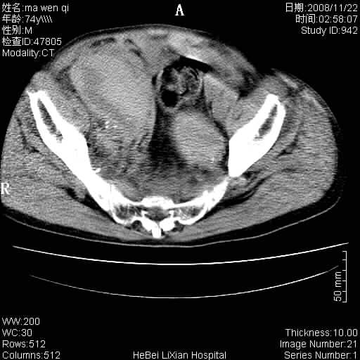
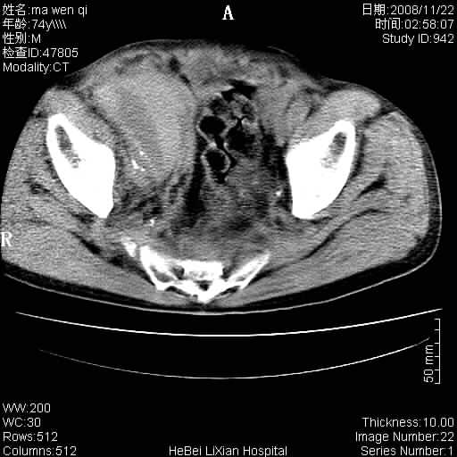
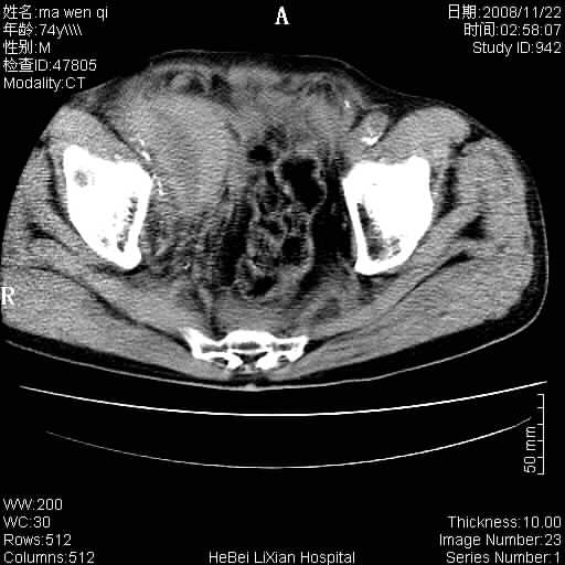
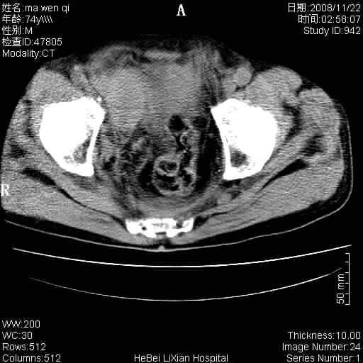
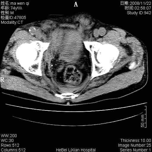
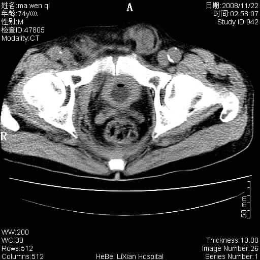
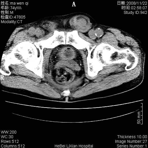
患者男 74岁.突然昏迷,休克6小时.血压70/30,头颅ct未见异常,既往体健.








































[本贴已被 jiajie 于 2008-11-27 12:43:16 修改过]
作者: zwjyr 时间: 2008-11-27 17:58
补充病史,保留导尿10小时,尿袋内只有少许尿液,患者于住院后15小时后去世.
作者: 北方的狼 时间: 2008-11-27 18:18
腹主动脉、双侧髂动脉夹层动脉瘤破裂出血进入腹腔。
作者: 深泽交通 时间: 2008-11-27 18:49
考虑双侧髂a瘤,伴破裂出血
作者: jiangjing 时间: 2008-11-27 18:56
腹主动脉、双侧髂动脉夹层或动脉瘤破裂出血进入腹腔
作者: 随光逐影 时间: 2008-11-27 19:02
1)考虑双侧髂动脉瘤并右侧动脉瘤破裂出血,右侧腹膜后及腹腔积血。2)双侧腹股沟疝。
作者: yangaidong 时间: 2008-11-27 20:29
腹主动脉、双侧髂动脉夹层或动脉瘤破裂出血进入腹腔
作者: hejie 时间: 2008-11-27 20:32
支持(1)双侧髂动脉瘤并右侧动脉瘤破裂出血,右侧腹膜后及腹腔积血。(2)双侧腹股沟疝。
作者: zjzjr 时间: 2008-11-27 20:36
1)考虑,腹主动脉、双侧髂动脉夹层动脉瘤破裂伴右侧腹膜后及腹腔积血。2)双侧腹股沟疝。
作者: 同 时间: 2008-11-27 21:17
标题: 回复:ct16812:m74y,无法进一步检查的病例,困惑啊
以下是引用jiangjing在2008-11-27 10:56:00的发言:[br]腹主动脉、双侧髂动脉夹层或动脉瘤破裂出血进入腹腔
作者: yangyudong333 时间: 2008-11-27 22:15
1)考虑,腹主动脉、双侧髂动脉夹层动脉瘤破裂伴右侧腹膜后及腹腔积血。2)双侧腹股沟疝。
作者: ydx_74 时间: 2008-11-27 23:06
1)考虑,腹主动脉、双侧髂动脉夹层动脉瘤破裂伴右侧腹膜后及腹腔积血。2)双侧腹股沟疝。
作者: jinguoji 时间: 2008-11-27 23:53
腹主动脉、双侧髂动脉夹层或动脉瘤破裂出血进入腹腔
作者: dyqct 时间: 2008-11-28 00:06
1)考虑胸、腹主动脉、双侧髂动脉瘤并右侧动脉瘤破裂出血,右侧腹膜后及腹腔积血。2)双侧腹股沟疝。
作者: 黑白光影 时间: 2008-11-28 01:28
支持6楼意见。
作者: zp515616 时间: 2008-11-28 01:54
支持6楼
作者: zsl6918 时间: 2008-11-28 01:56
标题: 回复:ct16812:m74y,无法进一步检查的病例,困惑啊
腹主动脉、双侧髂动脉夹层动脉瘤破裂伴右侧腹膜后及腹腔积血。2)双侧腹股沟疝。
作者: zwjyr 时间: 2008-11-28 02:04
支持医影在线的各位战友们.看的很仔细
作者: huqi8888 时间: 2008-11-28 02:53
考虑双侧髂动脉瘤并右侧动脉瘤破裂出血,右侧腹膜后及腹腔积血;难见病例。谢谢
作者: 光影相伴 时间: 2008-11-28 02:57
考虑双侧髂动脉瘤并右侧动脉瘤破裂出血,右侧腹膜后及腹腔积血。2)双侧腹股沟疝。
作者: zhangling 时间: 2008-11-28 03:03
支持
作者: xulianj 时间: 2008-11-28 03:38
腹主动脉、双侧髂动脉夹层动脉瘤破裂。
| 欢迎光临 医影在线 (http://bbs.radida.com/bbs/) |
Powered by Discuz! X3.2 |