医影在线

标题: MRI1910:M 687Y。近日因外伤疼痛,而就诊。 [打印本页]

作者: 眼睛    时间: 2008-11-29 02:12
标题: MRI1910:M 687Y。近日因外伤疼痛,而就诊。
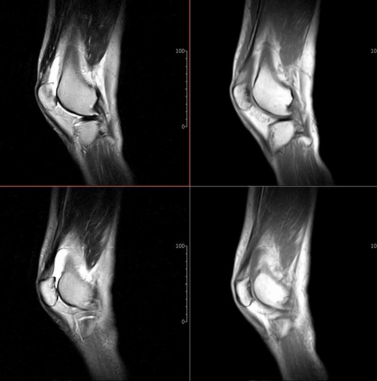
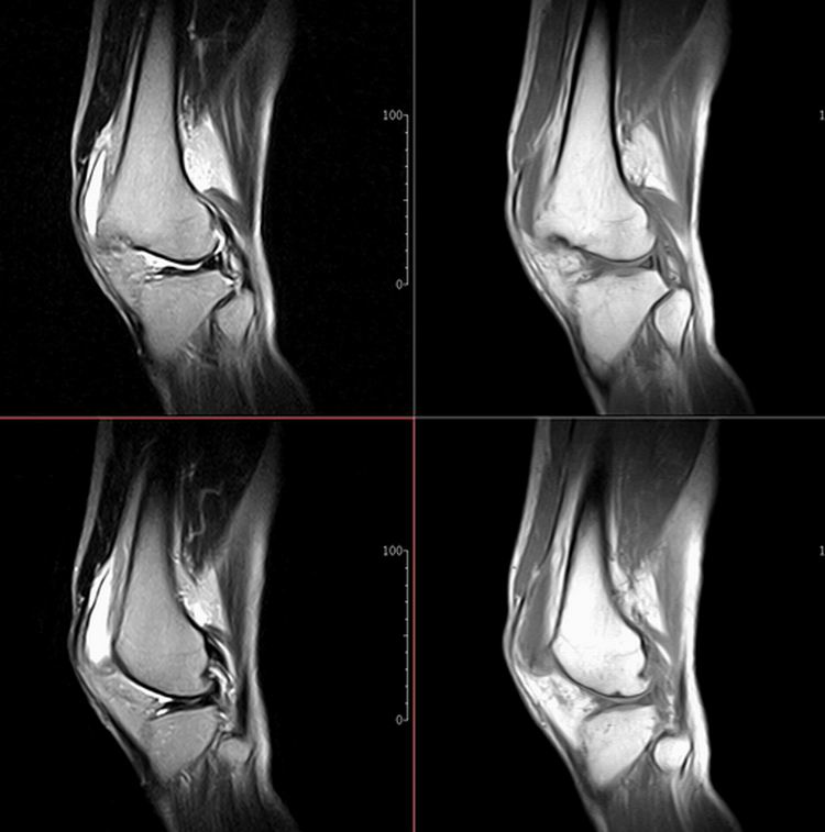
m 687y。近日因外伤疼痛,而就诊。有外侧副韧带损伤吗??因片子较差各位请包涵。











[本贴已被 jiajie 于 2008-11-29 13:45:04 修改过]

作者: qc80012345    时间: 2008-11-29 02:36
退变。
作者: guanaishengming    时间: 2008-11-29 03:49
有韧带损伤
作者: 尚峰    时间: 2008-11-29 04:05
这算什么位置呢?矢状位?冠状位?
作者: 余辉    时间: 2008-11-29 04:10
关节退行性变伴股骨外髁关节面下囊肿,不除外剥脱性骨软骨炎.关节积液,髌骨软化症
作者: xulianj    时间: 2008-11-29 04:52
体位不标准。关节退变伴关节积液。
作者: guzhongliangddd    时间: 2008-11-29 06:12
1)膝关节骨质退行性改变。
2)由于体位的关系不能确定有外侧副韧带的损伤。
作者: jiangjing    时间: 2008-11-30 17:03
关节退变伴关节积液,外侧副韧带的损伤
作者: 358450m    时间: 2008-11-30 18:46
标题: 回复:mri1910:m 687y。近日因外伤疼痛,而就诊。
以下是引用guzhongliangddd在2008-11-28 22:12:00的发言:[br]1)膝关节骨质退行性改变。[br]2)由于体位的关系不能确定有外侧副韧带的损伤。

作者: 宋定川    时间: 2008-12-1 05:25
学习·
作者: zyx168    时间: 2008-12-7 02:45
关节积液,外侧副韧带的损伤




欢迎光临 医影在线 (http://bbs.radida.com/bbs/) Powered by Discuz! X3.2