医影在线

标题: X5107 :舟骨骨折 [打印本页]

作者: 眼睛    时间: 2008-11-29 02:21
标题: X5107 :舟骨骨折
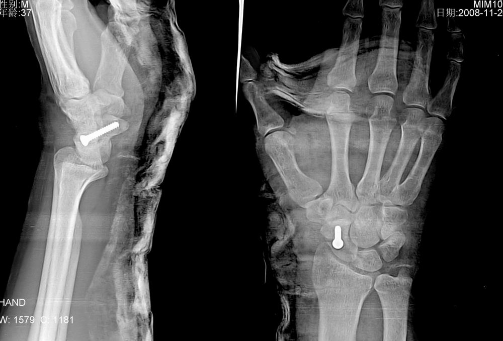
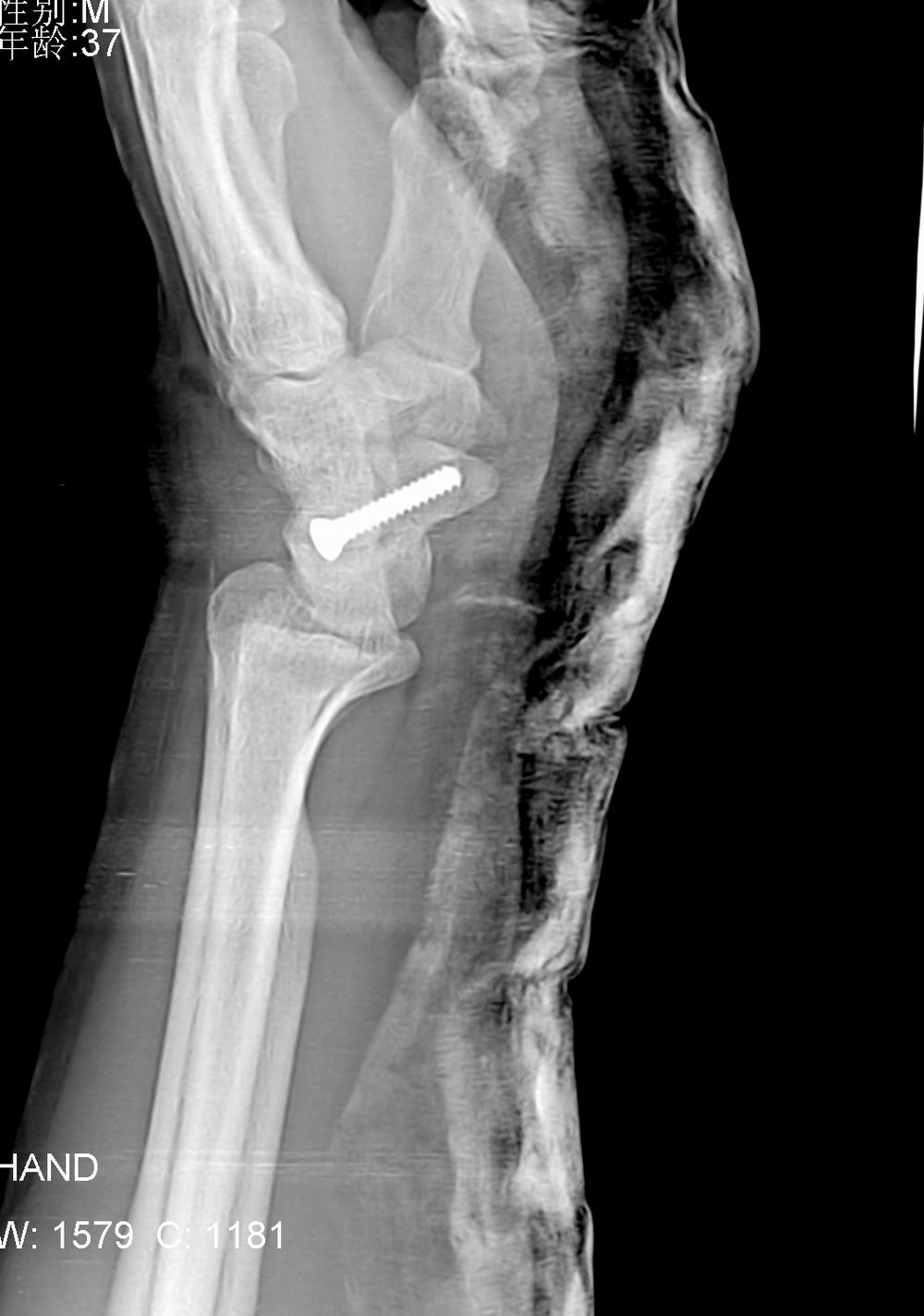
病人来的时候由于韧带砍断了,体位不正,在接韧带时发现舟骨有骨折,做了手术。
术后片如下:



(点击阅片:)http://www.radida.com/bbs/forum.php?mod=viewthread&tid=46892


[本贴已被 jiajie 于 2008-11-29 13:47:12 修改过]

作者: 余辉    时间: 2008-11-29 03:27
舟骨骨折,学习了
作者: jinguoji    时间: 2008-11-29 04:31
学习了
作者: 黑白光影    时间: 2008-11-29 07:04
学习了
作者: 杀毒软件    时间: 2008-11-29 15:42
学习了
作者: 随光逐影    时间: 2008-11-29 16:47
学习了,谢楼主。
作者: sdzyy    时间: 2008-11-29 17:45
感谢楼主反馈结果。位置不正,易漏诊.




欢迎光临 医影在线 (http://bbs.radida.com/bbs/) Powered by Discuz! X3.2