医影在线
标题: CT16829:女,36,近20天偶有口眼歪斜短暂发作史,近日头痛。 [打印本页]
作者: gaoshengjiang 时间: 2008-11-29 04:49
标题: CT16829:女,36,近20天偶有口眼歪斜短暂发作史,近日头痛。
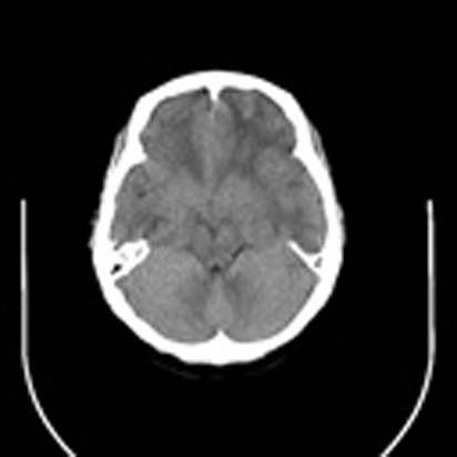
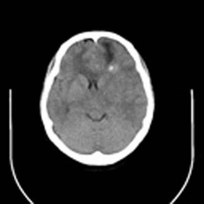
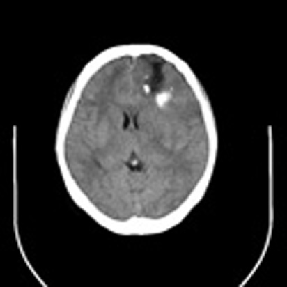
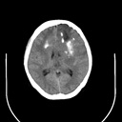
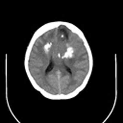
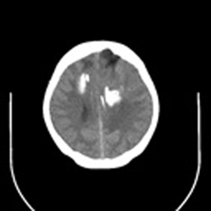
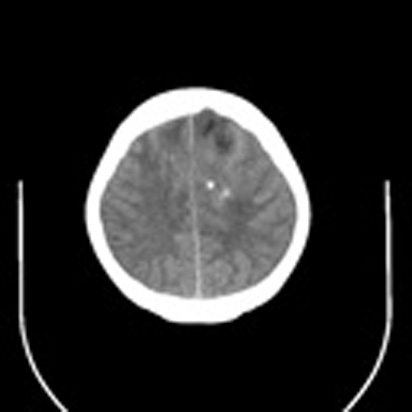
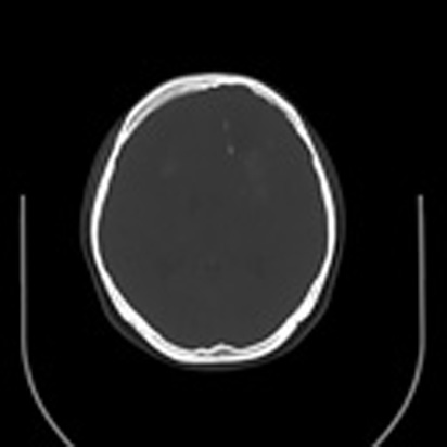
近20天偶有口眼歪斜短暂发作史,近日头痛。患者先做ct发现病变后又做了mri检查,前日上传2次ct图像均未成功,今日补上。










[本贴已被 jiajie 于 2008-11-29 13:29:35 修改过]
作者: qyfsk 时间: 2008-11-29 05:23
考虑结节性硬化
作者: liuyue 时间: 2008-11-29 05:28
少支胶质细胞瘤可能性大.
作者: zsl6918 时间: 2008-11-29 05:42
考虑代谢障碍所致的改变。暂不考虑肿瘤或血管畸形
作者: w_jianhua 时间: 2008-11-29 05:54
要考虑肿瘤,建议增强,
作者: czzj 时间: 2008-11-29 06:05
病灶有明显的占位效应,考虑肿瘤吧
作者: zgjldq 时间: 2008-11-29 06:15
少支胶质细胞瘤可能性大
作者: 齐原 时间: 2008-11-29 06:45
少支胶质细胞瘤,胼胝体受累
作者: ytz123 时间: 2008-11-29 10:20
考虑少支胶质细胞瘤
作者: 吴承学 时间: 2008-11-29 13:44
标题: 回复:女,36,近20天偶有口眼歪斜短暂发作史,近日头痛
以下是引用liuyue在2008-11-28 21:28:00的发言:[br]少支胶质细胞瘤可能性大.
作者: 随光逐影 时间: 2008-11-29 16:05
少枝胶质细胞瘤可能性大。
作者: 杀毒软件 时间: 2008-11-29 16:09
考虑代谢障碍所致的改变可能性大
作者: 心愿 时间: 2008-11-29 16:11
少支胶质细胞瘤可能性大
作者: 王仕学 时间: 2008-11-29 16:24
少支胶质细胞瘤可能性大.
作者: shiqingfa 时间: 2008-11-29 16:46
少支胶质细胞瘤可能性大
作者: 深泽交通 时间: 2008-11-29 17:05
考虑上皮样囊肿
作者: zjzjr 时间: 2008-11-29 17:17
大脑中线部位肿瘤向两侧生长,可见明显钙化影,考虑少枝胶质瘤,建议增强除外脑膜瘤
作者: qingjing 时间: 2008-11-29 17:28
少支
作者: 眼睛 时间: 2008-11-29 17:30
少支胶质细胞瘤可能性大
作者: 朱亮 时间: 2008-11-29 17:32
少支胶质细胞瘤可能性大
强化扫描 上传磁共振
作者: 358450m 时间: 2008-11-29 19:05
标题: 回复:女,36,近20天偶有口眼歪斜短暂发作史,近日头痛
以下是引用liuyue在2008-11-28 21:28:00的发言:[br]少支胶质细胞瘤可能性大.
作者: 随缘的人 时间: 2008-11-29 19:15
考虑肿瘤可能性大,期待结果
作者: eplgj71 时间: 2008-11-29 21:19
左额混杂密度肿块,经胼胝体跨越中线向右额叶生长,多考虑少支胶质细胞瘤,建议mr增强扫描,待排除血管畸形。
作者: guanaishengming 时间: 2008-11-29 22:13
少支胶质细胞瘤可能性大
作者: 玉真 时间: 2008-11-29 23:21
少支胶质细胞瘤,
作者: 黑白光影 时间: 2008-11-30 19:24
少支胶质细胞瘤可能性大
作者: 李兴 时间: 2008-11-30 22:46
3-4级星形细胞瘤,对侧及胼胝体受侵
作者: 一个人 时间: 2008-12-2 04:46
少支胶质细胞瘤,胼胝体受累
| 欢迎光临 医影在线 (http://bbs.radida.com/bbs/) |
Powered by Discuz! X3.2 |