医影在线

标题: CT16831:男 55岁 [打印本页]

作者: zjb    时间: 2008-11-29 17:00
标题: CT16831:男 55岁
















[本贴已被 jiajie 于 2008-11-29 13:35:13 修改过]

作者: aomeilazuo    时间: 2008-11-29 17:04
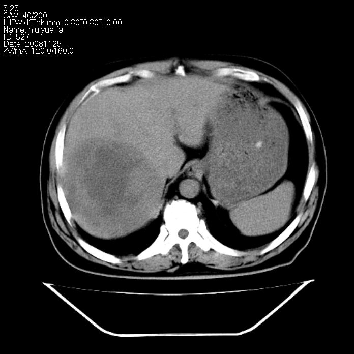
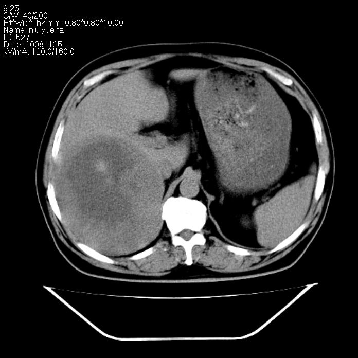
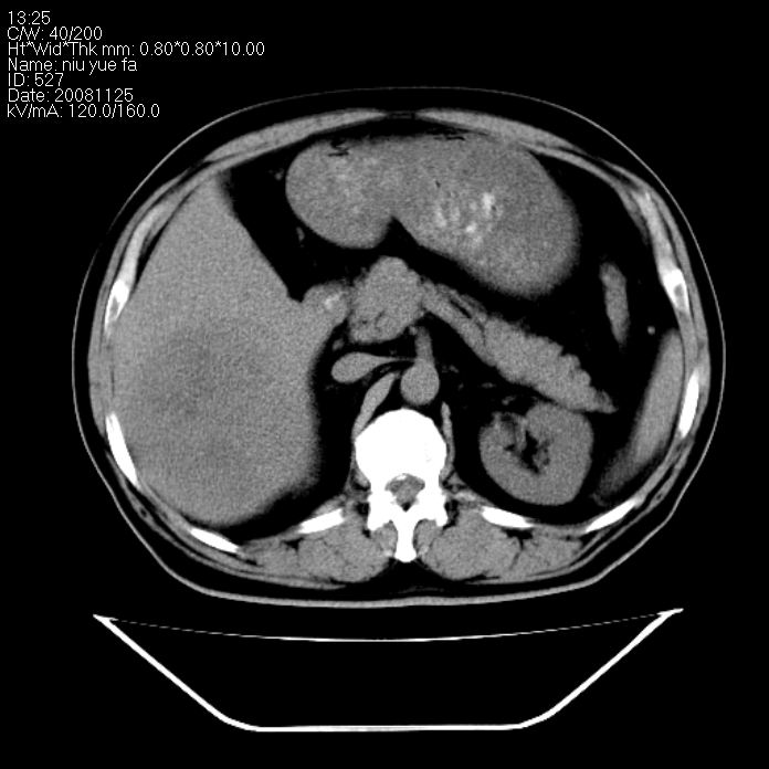
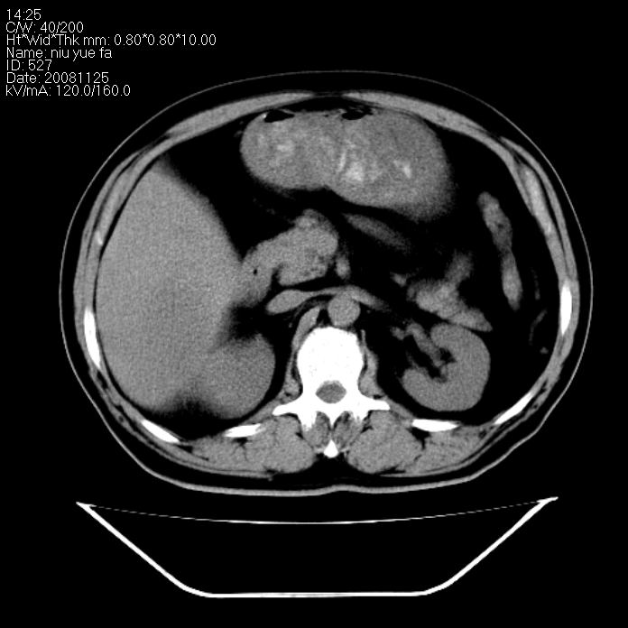
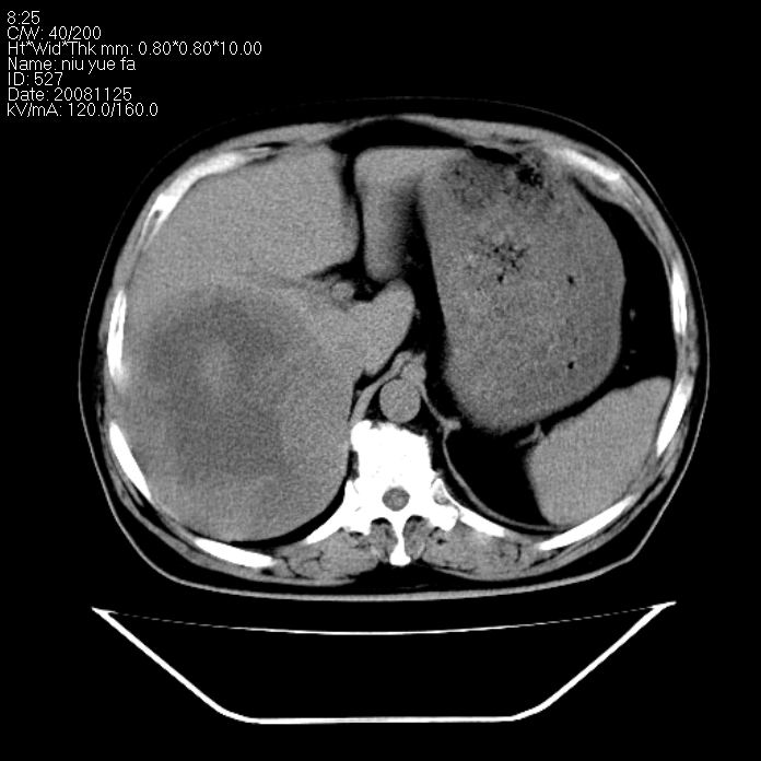
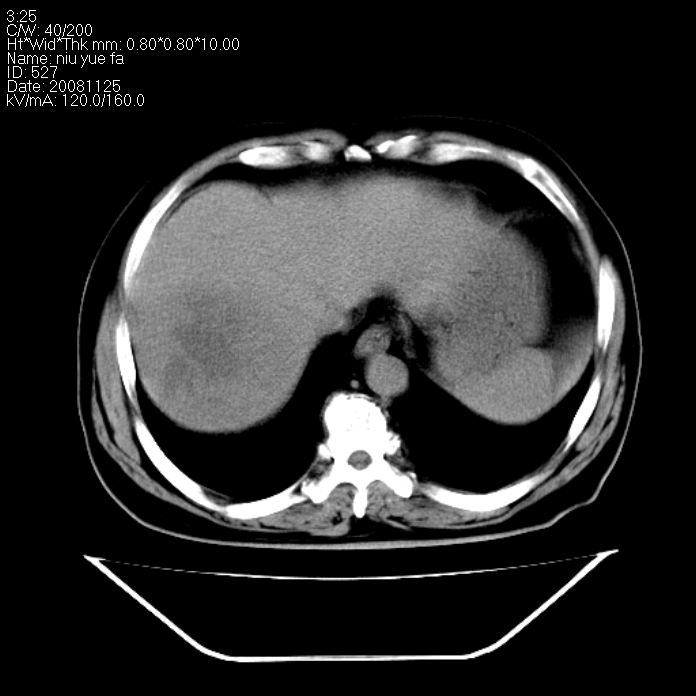
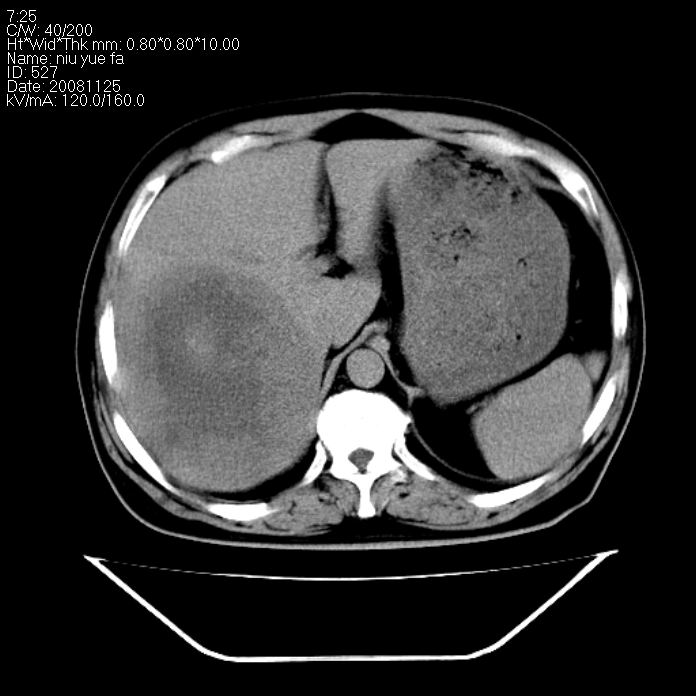
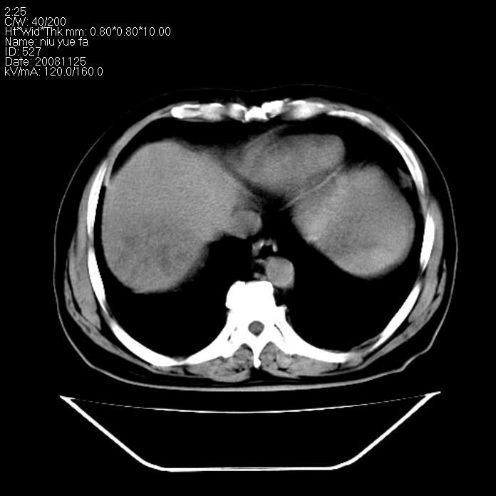
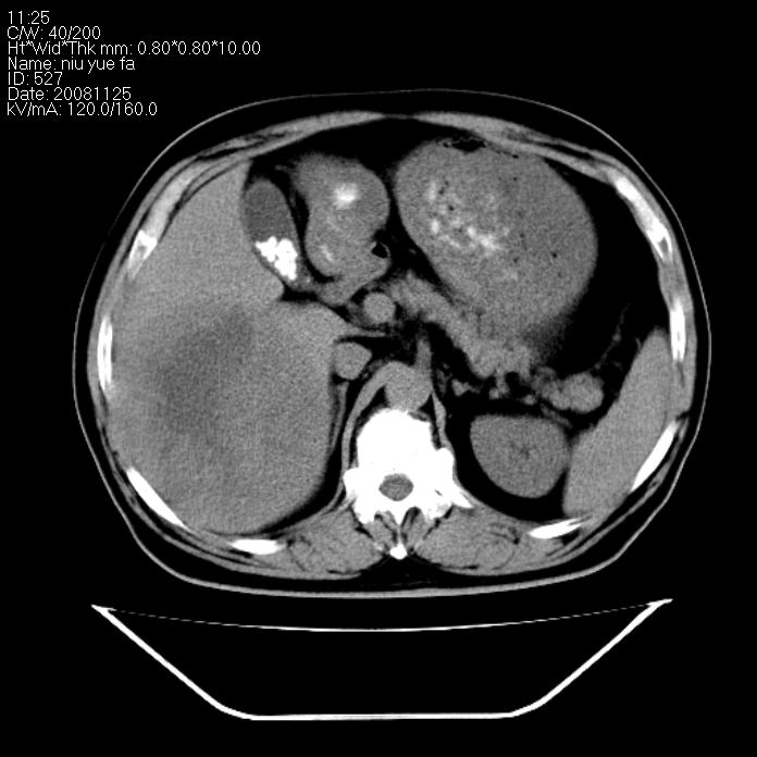
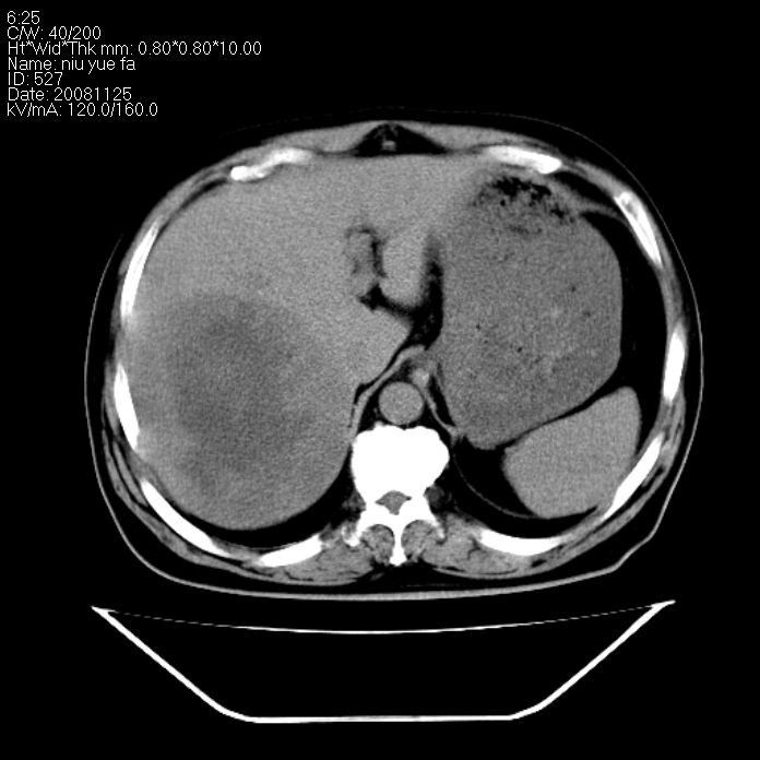
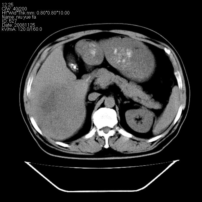
巨块型肝癌,坏死,出血;胆囊结石
作者: 深泽交通    时间: 2008-11-29 17:20
标题: 回复:患者 男 55岁
以下是引用aomeilazuo在2008-11-29 9:04:00的发言:[br]巨块型肝癌,坏死,出血;胆囊结石

作者: zjzjr    时间: 2008-11-29 17:24
肝右叶后段占位性病变,(请提供病史及增强),胆囊结石.
作者: qingjing    时间: 2008-11-29 17:25
增强吧
作者: 朱亮    时间: 2008-11-29 17:34
肝脏占位 应首先增强扫描   胆囊结石
作者: zsl6918    时间: 2008-11-29 17:49
先强化再讨论.另外补充相关病史.
作者: 王仕学    时间: 2008-11-29 18:10
肝脏占位:肝癌? 建议增强扫描 ; 胆囊结石
作者: 随光逐影    时间: 2008-11-29 18:43
1)考虑肝右叶巨块型肝癌并坏死、出血;建议行ct增强扫描检查进一步明确诊断。2)胆囊结石,胆囊炎。
作者: 随缘的人    时间: 2008-11-29 19:04
考虑巨块型肝癌,坏死,出血;建议增强。
胆囊结石
作者: sdzyy    时间: 2008-11-29 19:10
考虑肝右叶巨块型肝癌并坏死、出血;建议行ct增强扫描。胆囊结石。
作者: 358450m    时间: 2008-11-29 19:10
标题: 回复:患者 男 55岁
以下是引用aomeilazuo在2008-11-29 9:04:00的发言:[br]巨块型肝癌,坏死,出血;胆囊结石

作者: guanaishengming    时间: 2008-11-29 22:09
巨块型肝癌,坏死,出血;胆囊结石
作者: 杀毒软件    时间: 2008-11-29 22:48
标题: 回复:ct16831:男 55岁
以下是引用zjzjr在2008-11-29 9:24:00的发言:[br]肝右叶后段占位性病变,(请提供病史及增强),胆囊结石.

支持
作者: 卜一    时间: 2008-11-30 00:44
肝脏占位 应首先增强扫描!另:胆囊结石!
作者: xulianj    时间: 2008-11-30 04:52
考虑:巨块型肝癌;建议增强。
      胆囊炎胆结石。
作者: 影像孺子牛    时间: 2008-11-30 07:49
支持: 1)考虑肝右叶巨块型肝癌并坏死、出血;建议行ct增强扫描检查进一步明确诊断。2)胆囊结石,胆囊炎。
作者: 黑白光影    时间: 2008-11-30 19:16
肝右叶巨块型肝癌并坏死、出血;胆囊结石,胆囊炎。




欢迎光临 医影在线 (http://bbs.radida.com/bbs/) Powered by Discuz! X3.2