医影在线

标题: CT16833:F34Y,左侧积水型无脑畸形?请指教. [打印本页]

作者: 江广1996    时间: 2008-11-29 22:12
标题: CT16833:F34Y,左侧积水型无脑畸形?请指教.
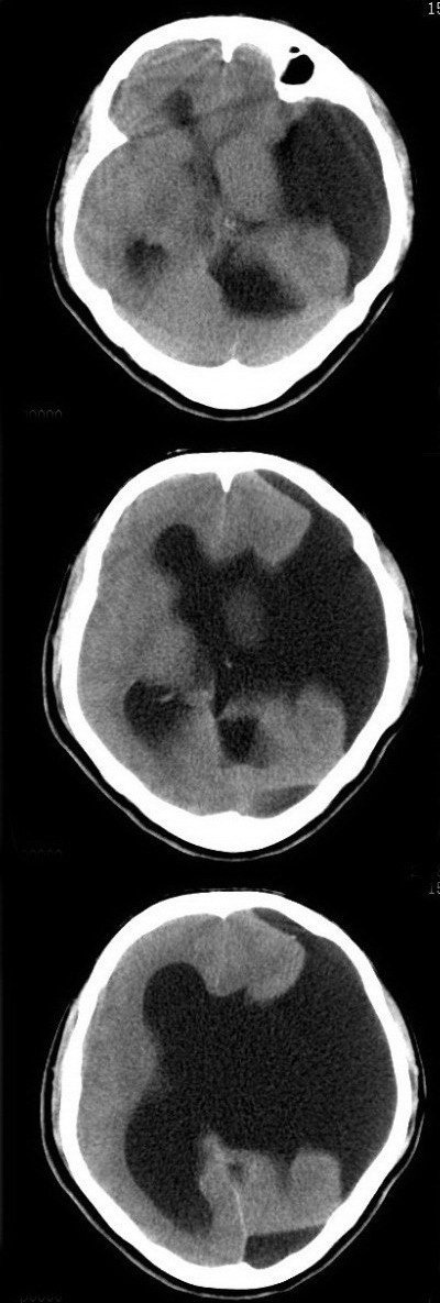
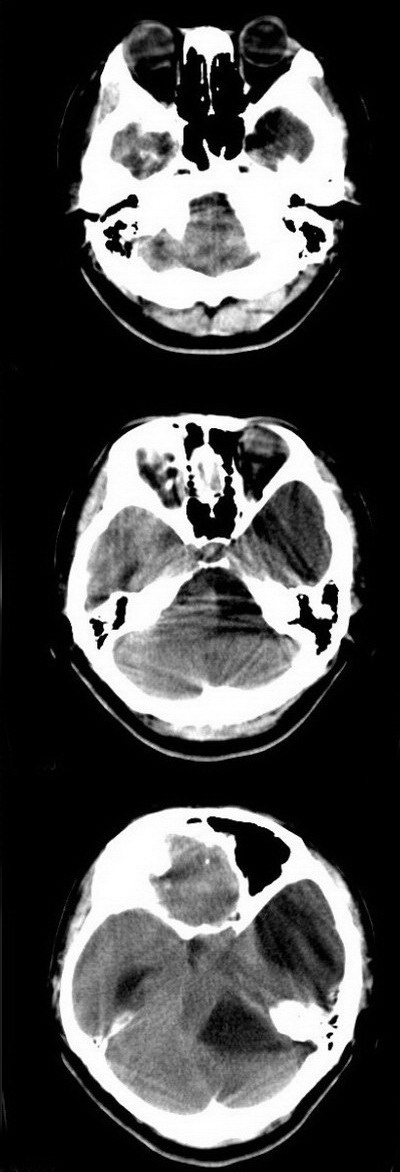
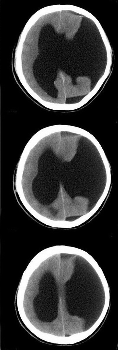
女.34.自幼右下肢跛行.智力正常,未发现其它不适。






[本贴已被 jiajie 于 2008-11-29 15:59:24 修改过]

作者: 余辉    时间: 2008-11-29 22:26
本例视间隔缺如,基底灰质核团移位,左侧大脑实质较多,能活到这么大还智力正常,多考虑大脑发育不良伴脑积水,积水型无脑畸形一般实质较少而且活不大,智力低下
作者: zsl6918    时间: 2008-11-29 22:27
支持脑积水,不支持无脑畸形!无脑畸形还能智力正常?
作者: 深泽交通    时间: 2008-11-29 22:30
支持
作者: wawaquan    时间: 2008-11-29 22:34
标题: 左侧脑裂畸形
左侧脑裂畸形(完全型、分离型)。
脑裂畸形是一种大脑发育畸形,发生于妊娠的前两个月,系因局部脑组织生长、分化受阻所致。与无脑回畸形、多微脑回畸形、巨脑回畸形、灰质异位症同属神经元移行异常。
  胎儿期第8周,成神经细胞开始从中线移行至外周以形成脑皮层,如任何原因所致移行障碍或停止,则神经元停留在皮层下不同水平,如移行停止仅位于局部,则脑皮层灶性缺乏,可形成残余软脑膜室管膜缝,这种异常称为脑裂畸形,可分为分离型及融合型两型。但其病因目前尚不甚清楚,可能与缺血、感染或某些理化因素有关。同一病因,作用于迁移运动的不同阶段,或病因轻重不同,可导致不同类型的神经元移行异常。
  脑裂畸形基本改变为横贯大脑半球的裂隙,其外端的软脑膜与内端的室管膜通过裂隙相连接,形成软脑膜—室管膜缝(p-e缝)。分离型裂隙在ct上可清晰显现,不难诊断。融合型裂隙,在ct上则易漏诊。但如发现横贯大脑半球的与灰质密度相同的带状影,其外端脑表面出现凹陷,内端脑室呈现天幕状憩室,即可作出正确诊断。
  脑裂畸形常合并多微脑回畸形、透明隔和胼胝体畸形。
  脑裂畸形鉴别诊断不难,主要与脑穿通畸形等大脑发育成熟后的损害相鉴别。裂隙壁的异位灰质的密度无论是平扫还是增强扫描都与脑皮层相同或相似,是鉴别的关键。


[本贴已被 wawaquan 于 2008-11-29 14:41:45 修改过]

作者: 杀毒软件    时间: 2008-11-29 22:44
幕上大脑实质存在,密度正常,智力正常--------不支持无脑畸形

考虑----脑裂畸形或脑积水
作者: 王仕学    时间: 2008-11-29 23:06
标题: 回复:左侧积水型无脑畸形?请指教.
以下是引用杀毒软件在2008-11-29 14:44:00的发言:[br]幕上大脑实质存在,密度正常,智力正常--------不支持无脑畸形[br][br]考虑----脑裂畸形或脑积水

作者: 卜一    时间: 2008-11-30 00:39
左侧脑裂畸形
   
左侧脑裂畸形(完全型、分离型)。
脑裂畸形是一种大脑发育畸形,发生于妊娠的前两个月,系因局部脑组织生长、分化受阻所致。与无脑回畸形、多微脑回畸形、巨脑回畸形、灰质异位症同属神经元移行异常。
  胎儿期第8周,成神经细胞开始从中线移行至外周以形成脑皮层,如任何原因所致移行障碍或停止,则神经元停留在皮层下不同水平,如移行停止仅位于局部,则脑皮层灶性缺乏,可形成残余软脑膜室管膜缝,这种异常称为脑裂畸形,可分为分离型及融合型两型。但其病因目前尚不甚清楚,可能与缺血、感染或某些理化因素有关。同一病因,作用于迁移运动的不同阶段,或病因轻重不同,可导致不同类型的神经元移行异常。
  脑裂畸形基本改变为横贯大脑半球的裂隙,其外端的软脑膜与内端的室管膜通过裂隙相连接,形成软脑膜—室管膜缝(p-e缝)。分离型裂隙在ct上可清晰显现,不难诊断。融合型裂隙,在ct上则易漏诊。但如发现横贯大脑半球的与灰质密度相同的带状影,其外端脑表面出现凹陷,内端脑室呈现天幕状憩室,即可作出正确诊断。
  脑裂畸形常合并多微脑回畸形、透明隔和胼胝体畸形。
  脑裂畸形鉴别诊断不难,主要与脑穿通畸形等大脑发育成熟后的损害相鉴别。裂隙壁的异位灰质的密度无论是平扫还是增强扫描都与脑皮层相同或相似,是鉴别的关键。

支持!并学习!
作者: 随光逐影    时间: 2008-11-30 01:50
1)支持 左侧积水型无脑畸形。2)脑积水。
作者: 同    时间: 2008-11-30 01:57
标题: 回复:ct16833:f34y,左侧积水型无脑畸形?请指教.
以下是引用wawaquan在2008-11-29 14:34:00的发言:[br]左侧脑裂畸形(完全型、分离型)。[br]脑裂畸形是一种大脑发育畸形,发生于妊娠的前两个月,系因局部脑组织生长、分化受阻所致。与无脑回畸形、多微脑回畸形、巨脑回畸形、灰质异位症同属神经元移行异常。[br]  胎儿期第8周,成神经细胞开始从中线移行至外周以形成脑皮层,如任何原因所致移行障碍或停止,则神经元停留在皮层下不同水平,如移行停止仅位于局部,则脑皮层灶性缺乏,可形成残余软脑膜室管膜缝,这种异常称为脑裂畸形,可分为分离型及融合型两型。但其病因目前尚不甚清楚,可能与缺血、感染或某些理化因素有关。同一病因,作用于迁移运动的不同阶段,或病因轻重不同,可导致不同类型的神经元移行异常。[br]  脑裂畸形基本改变为横贯大脑半球的裂隙,其外端的软脑膜与内端的室管膜通过裂隙相连接,形成软脑膜—室管膜缝(p-e缝)。分离型裂隙在ct上可清晰显现,不难诊断。融合型裂隙,在ct上则易漏诊。但如发现横贯大脑半球的与灰质密度相同的带状影,其外端脑表面出现凹陷,内端脑室呈现天幕状憩室,即可作出正确诊断。[br]  脑裂畸形常合并多微脑回畸形、透明隔和胼胝体畸形。[br]  脑裂畸形鉴别诊断不难,主要与脑穿通畸形等大脑发育成熟后的损害相鉴别。裂隙壁的异位灰质的密度无论是平扫还是增强扫描都与脑皮层相同或相似,是鉴别的关键。[br][br][br]
[本贴已被 wawaquan 于 2008-11-29 14:41:45 修改过]

作者: zjzjr    时间: 2008-11-30 04:04
考虑脑穿通畸形伴脑积水。
作者: xulianj    时间: 2008-11-30 05:12
考虑----脑裂畸形或脑积水
作者: 72xiang.zi    时间: 2008-11-30 05:14
学习了!
作者: 影像孺子牛    时间: 2008-11-30 07:47
考虑----脑裂畸形或脑积水。
作者: 黑白光影    时间: 2008-11-30 19:12
脑裂畸形或脑积水
作者: 李兴    时间: 2008-11-30 22:42
支持脑裂畸形伴积水
作者: 一个人    时间: 2008-12-2 04:49
左侧脑裂畸形




欢迎光临 医影在线 (http://bbs.radida.com/bbs/) Powered by Discuz! X3.2