医影在线

标题: CT16837:M63Y,右臀部巨大软组织包块 [打印本页]

作者: 邓    时间: 2008-11-30 00:04
标题: CT16837:M63Y,右臀部巨大软组织包块
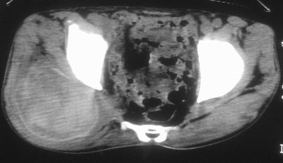
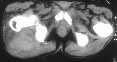
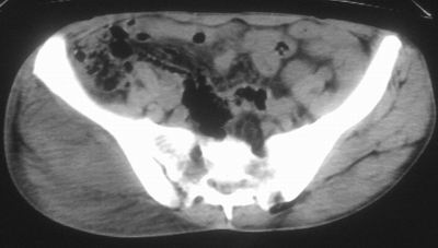
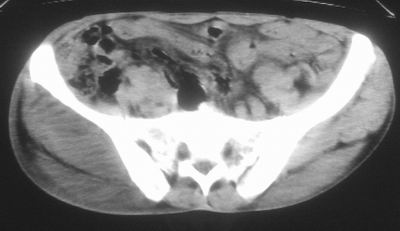
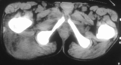
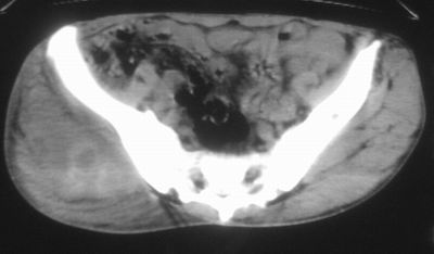
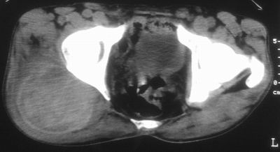
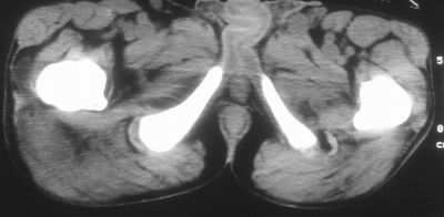
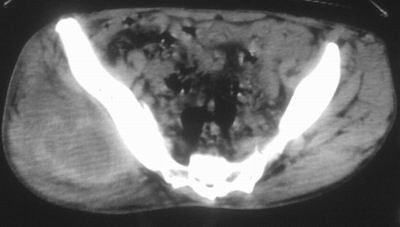
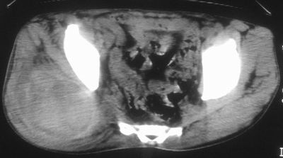
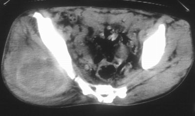
患者,男,63岁,自诉3个月前发现右臀部包块,触及疼痛,治疗后缩小。前天突然增大。无高热病史。





















[本贴已被 jiajie 于 2008-11-29 16:08:01 修改过]

作者: 杀毒软件    时间: 2008-11-30 00:20
考虑-----右臀大肌,臀中肌---感染性病变可能性大。

恶性软组织肿瘤可能性不大
作者: zsl6918    时间: 2008-11-30 00:21
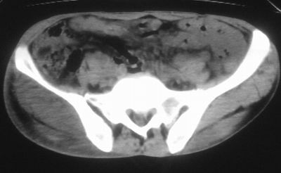
病灶内部可见出血,首先考虑急性出血性病变.血肿?
作者: 卜一    时间: 2008-11-30 00:31
感染性病变!
作者: 随光逐影    时间: 2008-11-30 01:03
标题: 回复:ct16837:m63y,右臀部巨大软组织包块
以下是引用zsl6918在2008-11-29 16:21:00的发言:[br]病灶内部可见出血,首先考虑急性出血性病变.血肿?

作者: syfszcw    时间: 2008-11-30 01:19
恶性软组织肿瘤,脂肪肉瘤可能性不大
作者: 齐原    时间: 2008-11-30 01:34
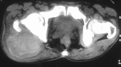
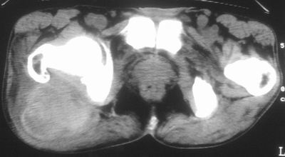
给个骨窗,判断一下肿块是否与髂骨有关,肿块内出血是肯定的,至于是感染形成的脓肿还是起源于肌肉或纤维组织的肉瘤则难以确定,不过从影像上看,包膜完整,且环形增厚,病灶下部见斑片状底密度坏死,个人倾向感染可能性大
作者: zhangyuanmr    时间: 2008-11-30 01:49
考虑脓肿,建议增强扫描
作者: 同    时间: 2008-11-30 02:06
考虑感染性病变并血肿.
作者: 余辉    时间: 2008-11-30 02:29
肌间隙明显混浊,三个月前治疗有缩小,支持考虑臀大肌下脓肿伴出血,肿瘤如果出现瘤内出血的话瘤外边界应该较清楚,现在表现为一种恶性征像,但骨质无明显异常,且臀小肌边界清楚,不符合恶性表现.
作者: zjzjr    时间: 2008-11-30 04:19
病灶内部可见出血,首先考虑急性出血性病变.血肿?  建议查凝血。
作者: 影象小泰斗    时间: 2008-11-30 05:01
考虑感染性病变并出血!!!
作者: adams    时间: 2008-11-30 05:06
是恶性征象,感染性病变可能性较大
作者: 13081830109    时间: 2008-11-30 05:24
考虑感染性病变并出血!!!
作者: 晓杰    时间: 2008-11-30 05:27
支持:考虑感染性病变并血肿.
作者: xulianj    时间: 2008-11-30 05:37
考虑感染性病变
作者: 影像孺子牛    时间: 2008-11-30 08:00
支持:考虑感染性病变并出血。
作者: 黑白光影    时间: 2008-11-30 19:02
标题: 回复:ct16837:m63y,右臀部巨大软组织包块
以下是引用zsl6918在2008-11-29 16:21:00的发言:[br]病灶内部可见出血,首先考虑急性出血性病变.血肿?





欢迎光临 医影在线 (http://bbs.radida.com/bbs/) Powered by Discuz! X3.2