医影在线
标题: CT16838:男58岁,意识不清2小时,请会诊出血部位该如何写。 [打印本页]
作者: 654    时间: 2008-11-30 01:01
标题: CT16838:男58岁,意识不清2小时,请会诊出血部位该如何写。










[本贴已被 jiajie 于 2008-11-29 17:07:14 修改过]
作者: syfszcw    时间: 2008-11-30 01:17
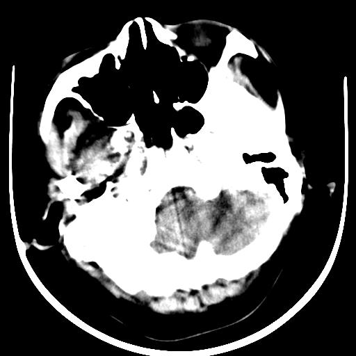
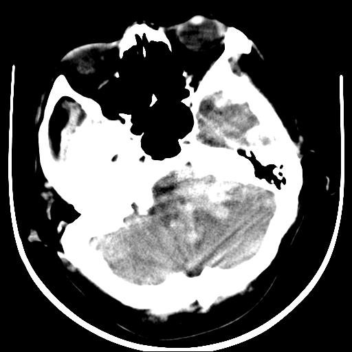
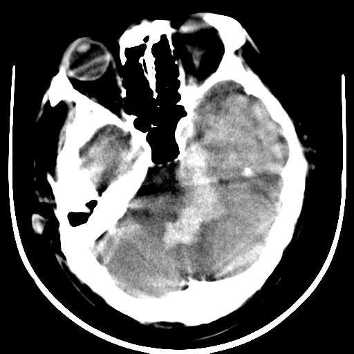
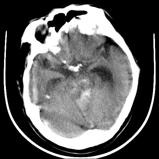
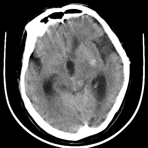
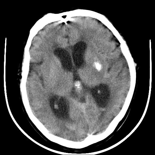
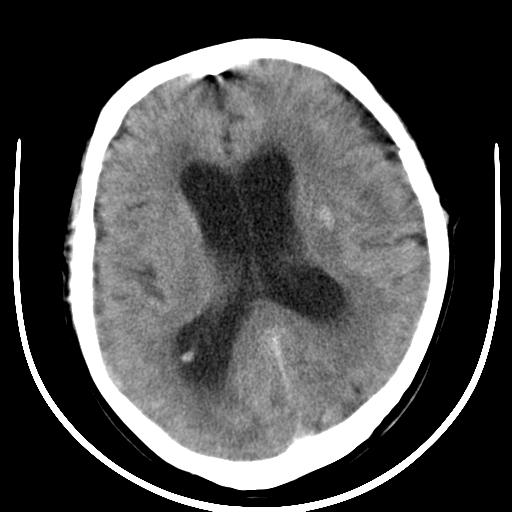
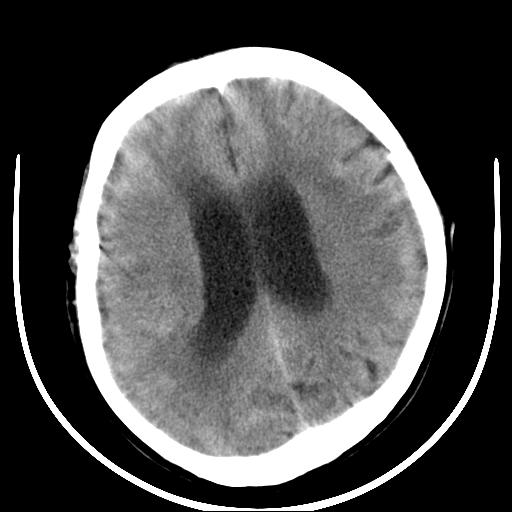
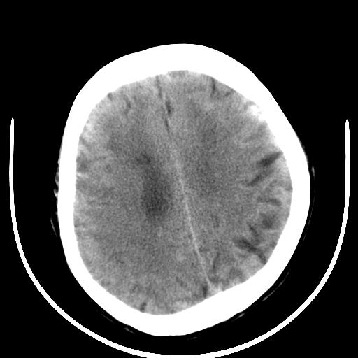
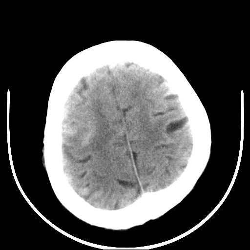
呵呵  这样的做ct效果也太差了吧1首先 看见脑室扩大 1、左侧壳核出血。不足以解释临床的昏迷。
2、脑干区血肿。建议摆正位置 再来一次
作者: 齐原    时间: 2008-11-30 01:21
图像质量太差,真不好确定,左基底结出血应该没有问题,再有就是蛛网膜下腔和脑干是否有出血,请老兄建议你们领导换机器吧
作者: 随光逐影    时间: 2008-11-30 01:46
1)脑干、左侧桥小脑臂及小脑蚓部出血破入蛛网膜下腔。2)左侧基底节区灶性出血,不排除钙化灶。3)脑室系统少量积血。4)脑积水。
(患者病情危重,出现不自主运动——是引起图像质量不佳的主要原因)
作者: 同    时间: 2008-11-30 02:08
标题: 回复:ct16838:男58岁,意识不清2小时,请会诊出血部位该如
以下是引用随光逐影在2008-11-29 17:46:00的发言:[br]1)脑干、左侧桥小脑臂及小脑蚓部出血破入蛛网膜下腔。2)左侧基底节区灶性出血,不排除钙化灶。3)脑室系统少量积血。4)脑积水。[br][br](患者病情危重,出现不自主运动——是引起图像质量不佳的主要原因)
作者: 余辉    时间: 2008-11-30 02:11
标题: 回复:ct16838:男58岁,意识不清2小时,请会诊出血部位该如
以下是引用随光逐影在2008-11-29 17:46:00的发言:[br]1)脑干、左侧桥小脑臂及小脑蚓部出血破入蛛网膜下腔。2)左侧基底节区灶性出血,不排除钙化灶。3)脑室系统少量积血。4)脑积水。[br][br](患者病情危重,出现不自主运动——是引起图像质量不佳的主要原因)
作者: 光影★小胖    时间: 2008-11-30 03:46
标题: 回复:ct16838:男58岁,意识不清2小时,请会诊出血部位该如
以下是引用随光逐影在2008-11-29 17:46:00的发言:[br]1)脑干、左侧桥小脑臂及小脑蚓部出血破入蛛网膜下腔。2)左侧基底节区灶性出血,不排除钙化灶。3)脑室系统少量积血。4)脑积水。[br][br](患者病情危重,出现不自主运动——是引起图像质量不佳的主要原因)
支持!
作者: zjzjr    时间: 2008-11-30 04:22
脑干左侧原发性脑出血破入脑室系统及蛛网膜下腔出血伴梗阻性脑积水。左侧基底节区原发性脑出血。脑萎缩。
作者: 影象小泰斗    时间: 2008-11-30 04:56
脑干左侧原发性脑出血破入脑室系统及蛛网膜下腔出血伴梗阻性脑积水。左侧基底节区像是钙化灶。轻度脑萎缩。
作者: adams    时间: 2008-11-30 05:08
支持随光逐影的观点
作者: xulianj    时间: 2008-11-30 05:32
支持随光逐影的观点
作者: zsl6918    时间: 2008-11-30 05:42
图像不清,机器是一方面,病人不配合是另一方面。感觉脑干不是原发出血灶。
作者: liuyue    时间: 2008-11-30 14:06
脑干左侧原发性脑出血破入脑室系统及蛛网膜下腔出血伴梗阻性脑积水。左侧基底节区原发性脑出血可能性大,钙化不除外。
作者: 吴承学    时间: 2008-11-30 15:30
标题: 回复:ct16838:男58岁,意识不清2小时,请会诊出血部位该如
脑干左侧原发性脑出血破入脑室系统及蛛网膜下腔出血伴梗阻性脑积水。左侧基底节区原发性脑出血。脑萎缩。
作者: laolang    时间: 2008-11-30 15:52
1)脑干、左侧桥小脑臂及小脑蚓部出血破入蛛网膜下腔。2)左侧基底节区灶性出血,不排除钙化灶。3)脑室系统少量积血。4)脑积水。
(患者病情危重,出现不自主运动——是引起图像质量不佳的主要原因)  
  
   同意随光逐影观点
作者: 王仕学    时间: 2008-11-30 16:37
标题: 回复:ct16838:男58岁,意识不清2小时,请会诊出血部位该如
以下是引用随光逐影在2008-11-29 17:46:00的发言:[br]1)脑干、左侧桥小脑臂及小脑蚓部出血破入蛛网膜下腔。2)左侧基底节区灶性出血,不排除钙化灶。3)脑室系统少量积血。4)脑积水。[br][br](患者病情危重,出现不自主运动——是引起图像质量不佳的主要原因)
作者: huangyinshan    时间: 2008-11-30 17:11
脑干左侧原发性脑出血破入脑室系统及蛛网膜下腔出血伴梗阻性脑积水。左侧基底节区像是钙化灶。轻度脑萎缩
作者: 黑白光影    时间: 2008-11-30 18:59
同意四楼。
作者: jiangjing    时间: 2008-11-30 19:03
脑干、左侧桥小脑臂及小脑蚓部出血破入蛛网膜下腔。2)左侧基底节区灶性出血。3)脑室系统少量积血。4)脑积水。
作者: 一个人    时间: 2008-12-2 04:58
脑干左侧原发性脑出血破入脑室系统及蛛网膜下腔出血伴梗阻性脑积水。左侧基底节区原发性脑出血。脑萎缩。
| 欢迎光临 医影在线 (http://bbs.radida.com/bbs/) | 
Powered by Discuz! X3.2 |