医影在线

标题: CT16839:胸部CT平扫 [打印本页]

作者: 同    时间: 2008-11-30 01:54
标题: CT16839:胸部CT平扫
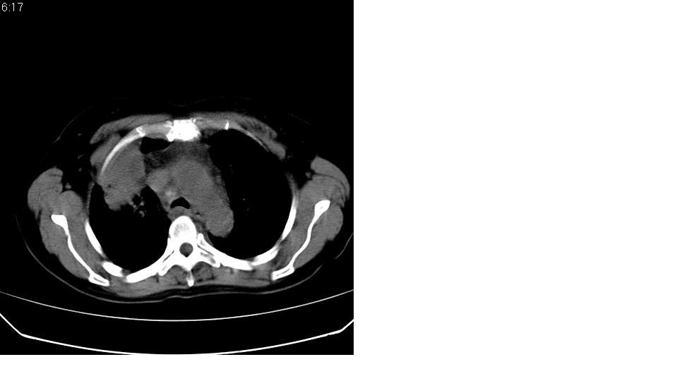
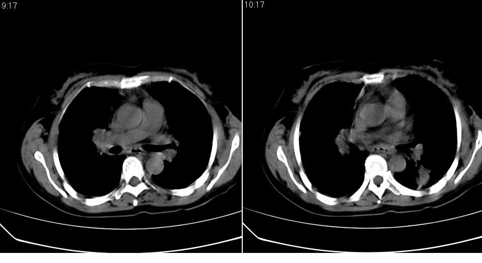
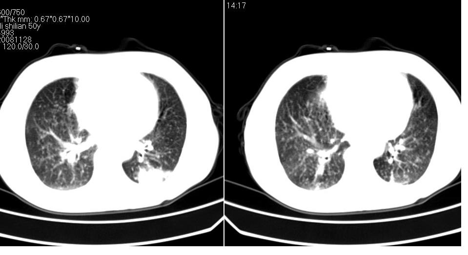
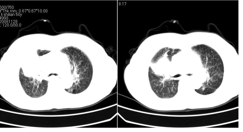
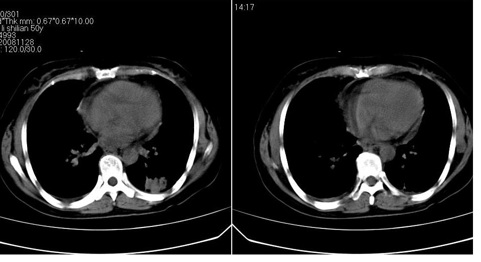
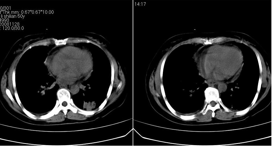
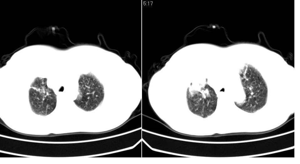
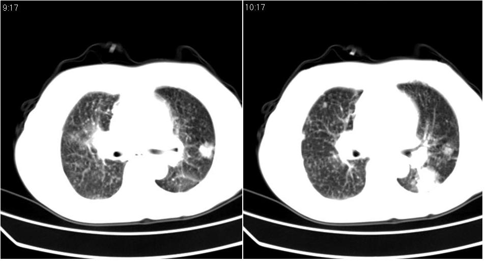
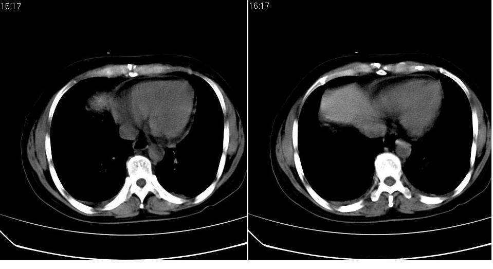
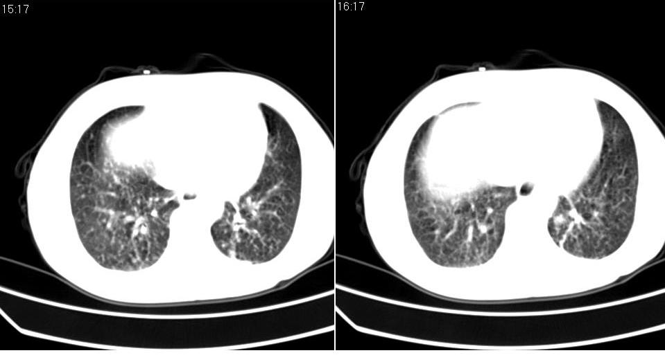
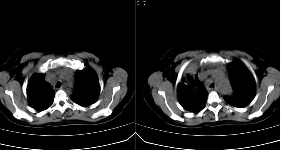
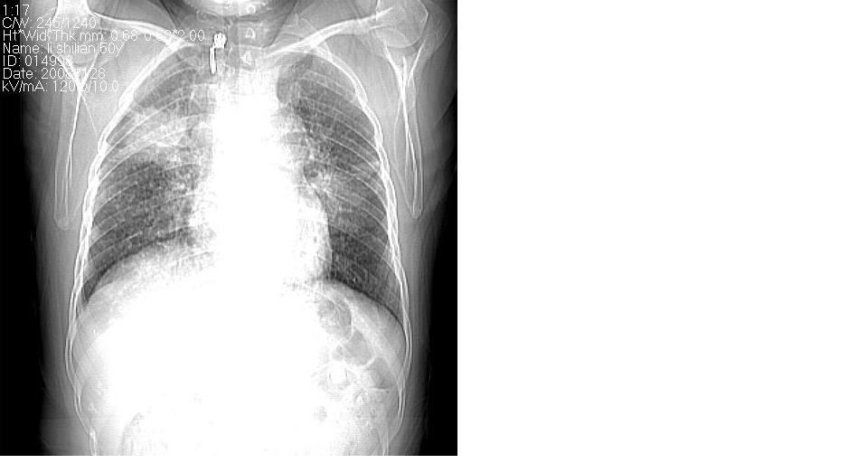
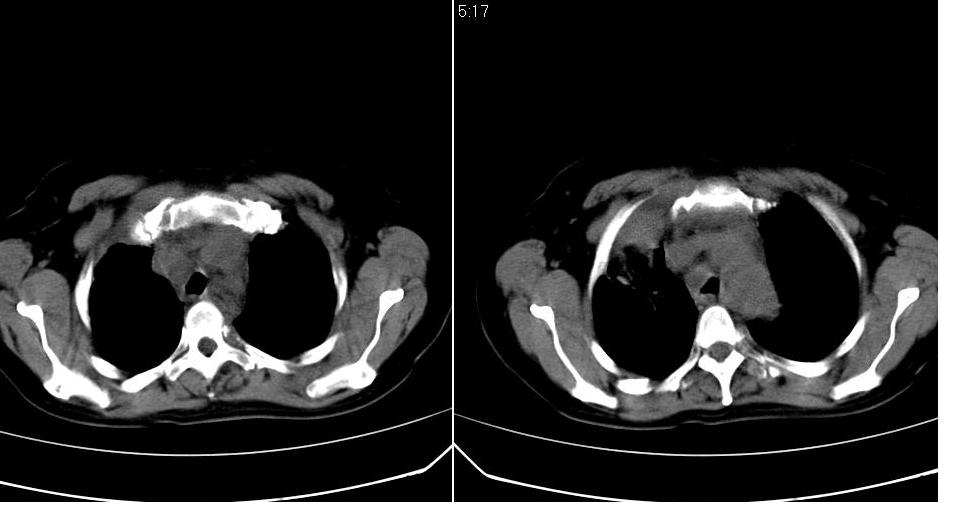
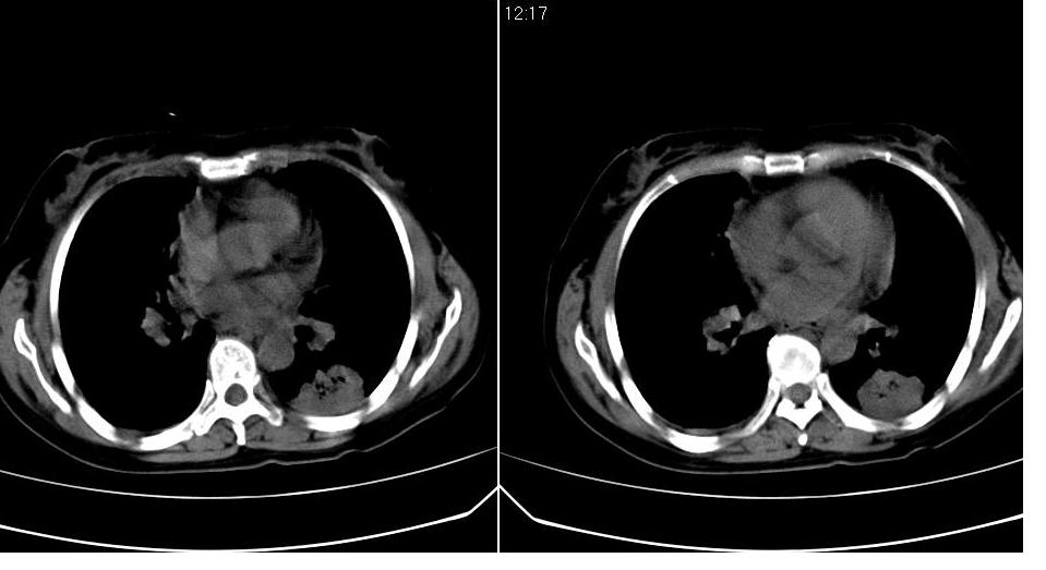
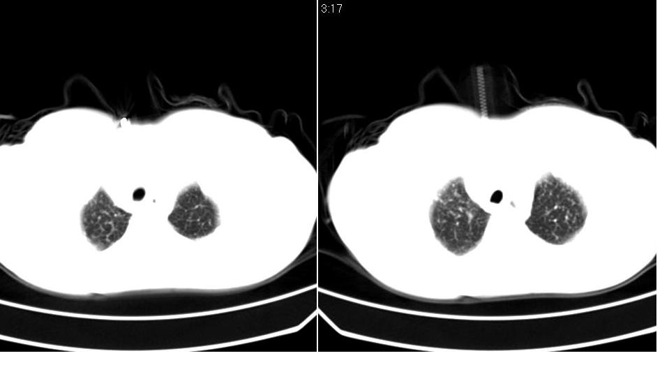
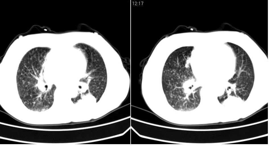
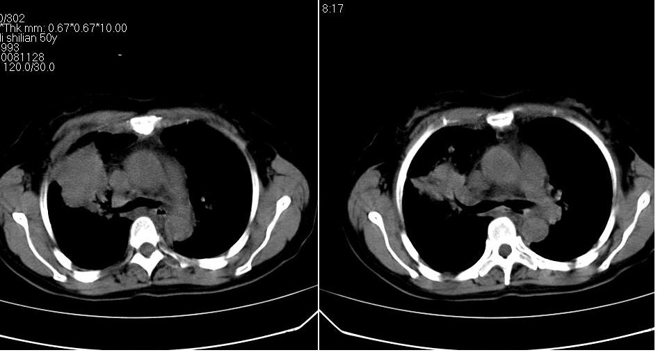
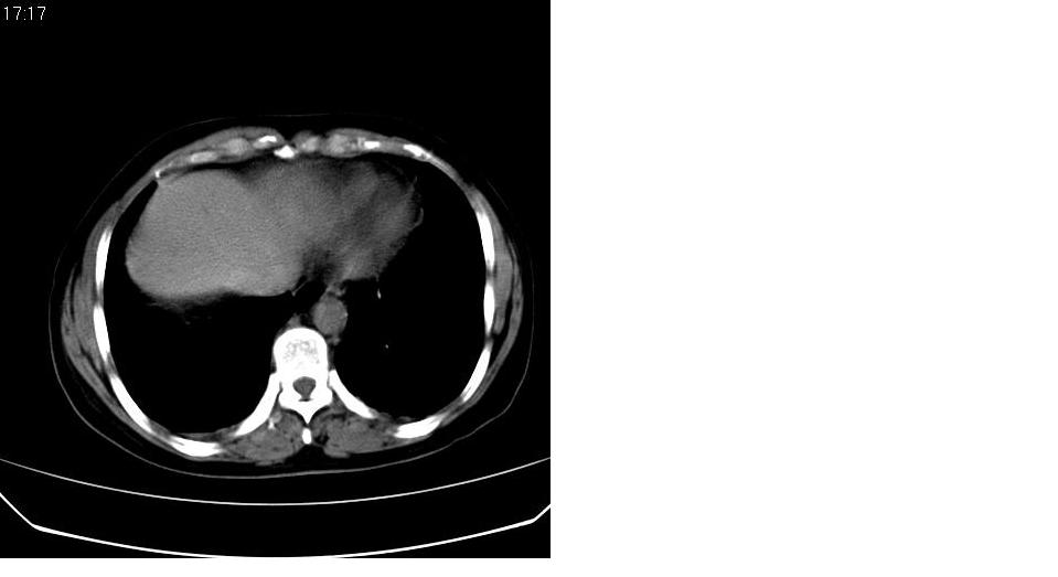
女 50岁,在其他医院确诊肺癌.
























[本贴已被 翁志蓬 于 2008-11-29 23:41:45 修改过]

作者: mzh123    时间: 2008-11-30 02:54
当然了先诊断肺癌是没错的,但还是要结合临床病史的
作者: kanglz123    时间: 2008-11-30 02:55
肺癌,不能排除食管癌转移!
作者: wangyong1977    时间: 2008-11-30 04:02
肺癌
作者: xizhong    时间: 2008-11-30 04:19
肺癌并肺及纵隔转移
作者: liuqiang    时间: 2008-11-30 04:21
肺癌并肺及纵隔转移
作者: 影象小泰斗    时间: 2008-11-30 04:51
肺癌并肺及纵隔转移!
作者: adams    时间: 2008-11-30 05:04
支持肺癌并肺及纵隔转移
作者: xulianj    时间: 2008-11-30 05:27
肺癌并肺及纵隔转移
作者: zsl6918    时间: 2008-11-30 05:56
都已发生广泛转移了,意义不大。
作者: 随光逐影    时间: 2008-11-30 06:07
支持 右肺上叶肺癌并两肺及纵隔转移。
作者: liuyue    时间: 2008-11-30 14:12
先考虑:肺癌伴肺转移。
建议:结合临床资料,或穿刺活检,除外继发性肺结核之可能。
作者: 吴承学    时间: 2008-11-30 15:34
标题: 回复:ct16839:胸部ct平扫
肺癌并肺及纵隔转移
作者: laolang    时间: 2008-11-30 15:56
肺癌并肺内及纵隔淋巴结转移
作者: ljchenshiying    时间: 2008-11-30 16:32
肺癌并肺及纵隔转移.
作者: 王仕学    时间: 2008-11-30 16:35
支持肺癌并肺及纵隔转移
作者: huangyinshan    时间: 2008-11-30 17:04
先考虑肺癌,淋巴瘤不排除
作者: zjzjr    时间: 2008-11-30 18:05
肺癌并肺及纵隔转移
作者: 黑白光影    时间: 2008-11-30 18:57
肺癌并肺及纵隔转移。
作者: jiangjing    时间: 2008-11-30 19:01
考虑 肺癌伴肺及纵隔转移,心包膜增厚
作者: wzr    时间: 2008-12-2 03:30
肺癌并肺及纵隔转移!
作者: 一个人    时间: 2008-12-2 04:32
肺癌并肺及纵隔转移




欢迎光临 医影在线 (http://bbs.radida.com/bbs/) Powered by Discuz! X3.2