医影在线

标题: CT16840:女-63岁,下腹部疼痛, [打印本页]

作者: lrj    时间: 2008-11-30 03:11
标题: CT16840:女-63岁,下腹部疼痛,


























[本贴已被 翁志蓬 于 2008-11-29 23:42:30 修改过]

作者: lrj    时间: 2008-11-30 03:13
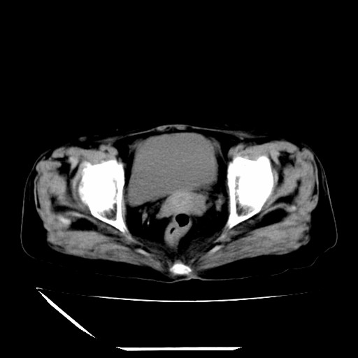
补充资料:血象是13.5,临床拟诊阑尾炎
作者: lrj    时间: 2008-11-30 03:14
本人诊断是右肾周围炎,阑尾炎,盆腔少许积液!
作者: liuqiang    时间: 2008-11-30 04:19
我觉得你的诊断欠妥;1)右肾周围炎症?是个什么诊断?2)明显的阑尾炎也没看到,最好不要这样写,就是道格拉斯窝内少量积液。
作者: xulianj    时间: 2008-11-30 05:22
盆腔少量积液   支持
作者: lrj    时间: 2008-11-30 05:39
诊断右肾周围炎是因为我图像没有发完,诊断阑尾炎是因为相当于阑尾区连续两个层面可以看到增粗的阑尾显影。
作者: zsl6918    时间: 2008-11-30 05:45
支持阑尾炎!局部腹膜增厚,脂肪密度增高。应该手术治疗。
作者: 随光逐影    时间: 2008-11-30 05:49
支持 阑尾炎。
作者: 吴承学    时间: 2008-11-30 15:46
标题: 回复:ct16840:女-63岁,下腹部疼痛,
道格拉斯窝内少量积液。
作者: 王仕学    时间: 2008-11-30 16:31
盆腔少量积液   支持
作者: zjzjr    时间: 2008-11-30 18:04
盆腔少量积液   支持
作者: 358450m    时间: 2008-11-30 18:21
盆腔少量积液   支持
作者: 深泽交通    时间: 2008-11-30 18:47
考虑阑尾炎可能性
作者: 黑白光影    时间: 2008-11-30 18:55
支持 阑尾炎,盆腔少量积液。
作者: jiangjing    时间: 2008-11-30 18:57
盆腔少量积液   支持




欢迎光临 医影在线 (http://bbs.radida.com/bbs/) Powered by Discuz! X3.2