





































以下是引用zsl6918在2008-11-29 21:47:00的发言:[br]恶性肿瘤病史,转移瘤首先考虑。脂肪肝,胆囊结石。
以下是引用zsl6918在2008-11-29 21:47:00的发言:[br]恶性肿瘤病史,转移瘤首先考虑。脂肪肝,胆囊结石。
以下是引用zsl6918在2008-11-29 21:47:00的发言:[br]恶性肿瘤病史,转移瘤首先考虑。脂肪肝,胆囊结石。
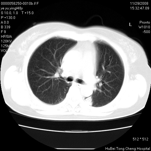
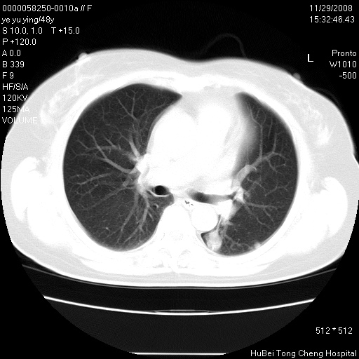
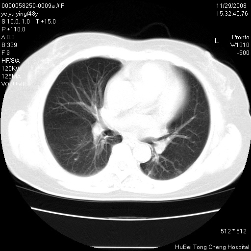
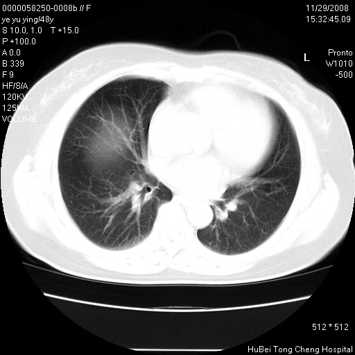
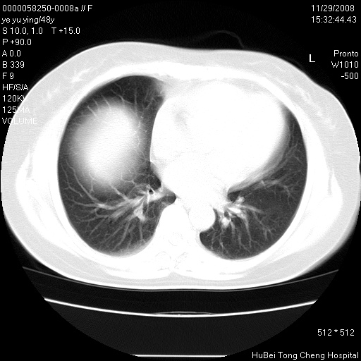
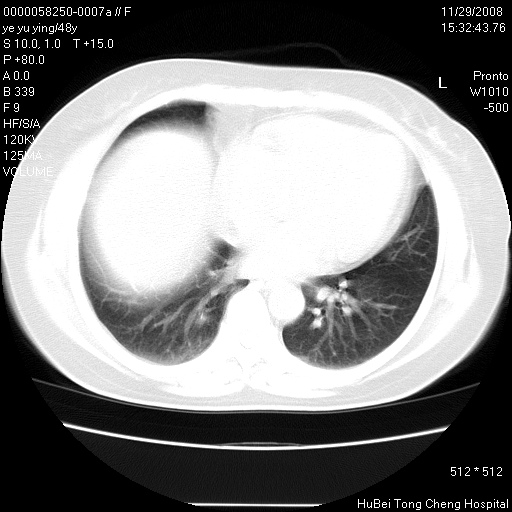
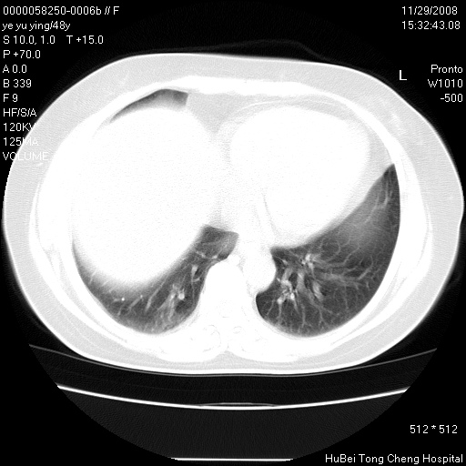
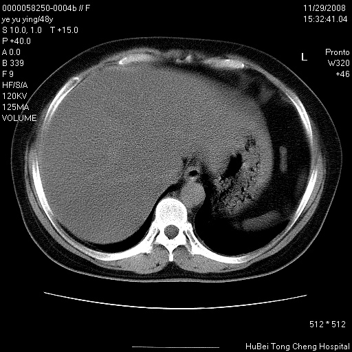
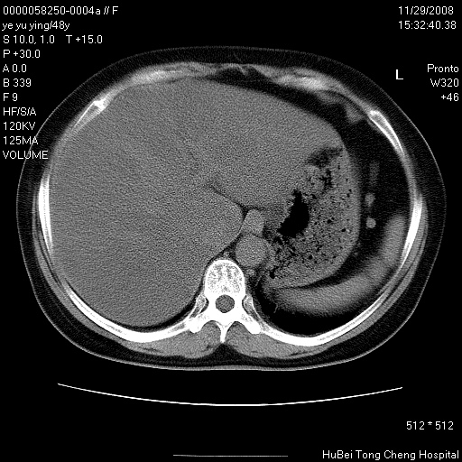
以下是引用huenhao在2008-11-29 22:11:00的发言:[br]脂肪肝,胆囊结石。左肺病灶建议定期复查。
以下是引用zsl6918在2008-11-29 21:47:00的发言:[br]恶性肿瘤病史,转移瘤首先考虑。脂肪肝,胆囊结石。
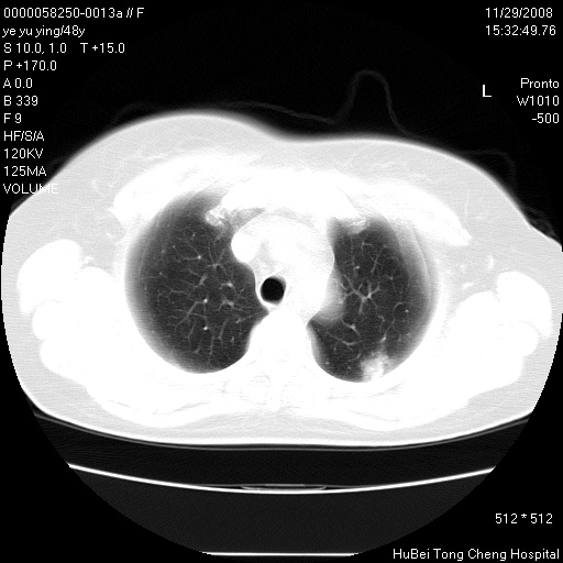
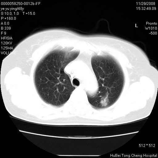
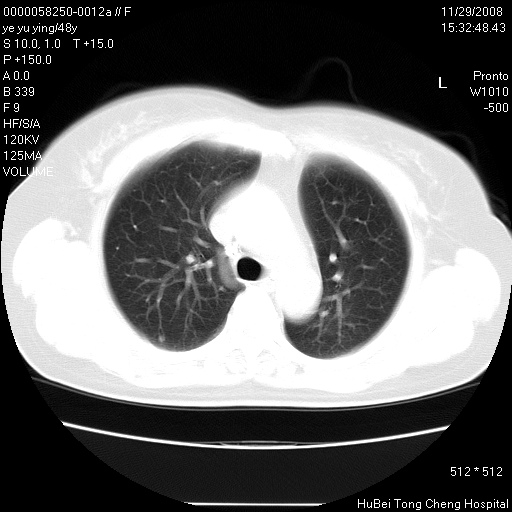
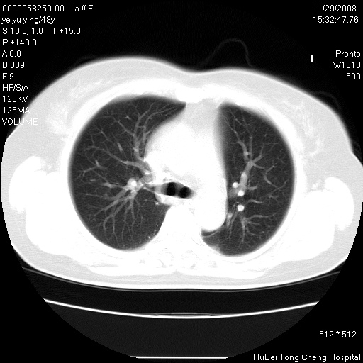
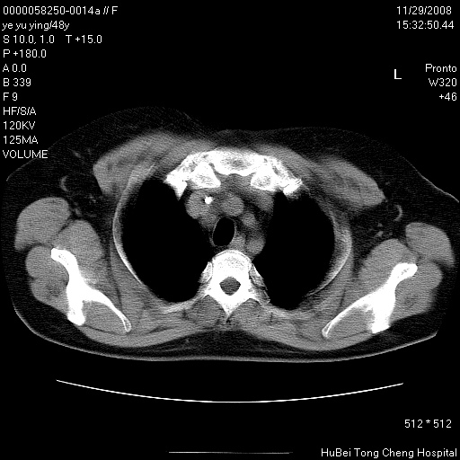
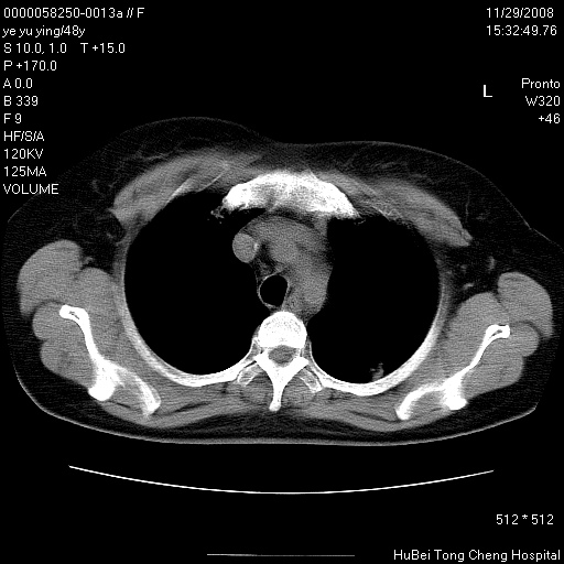
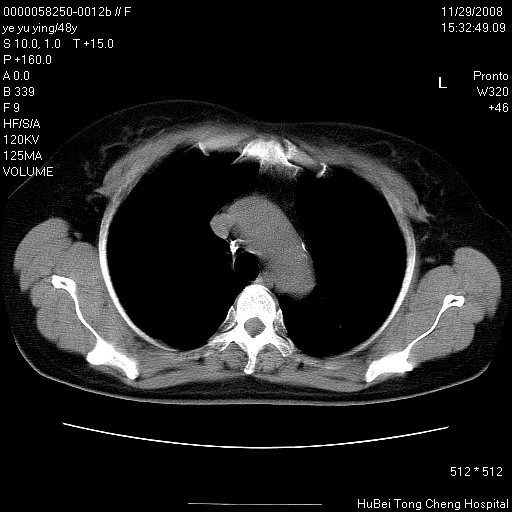
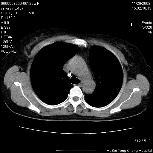
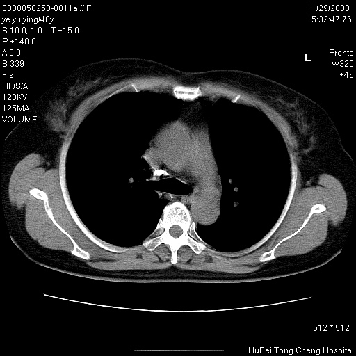
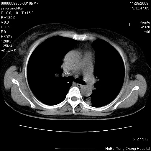
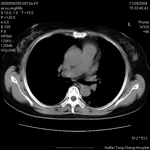
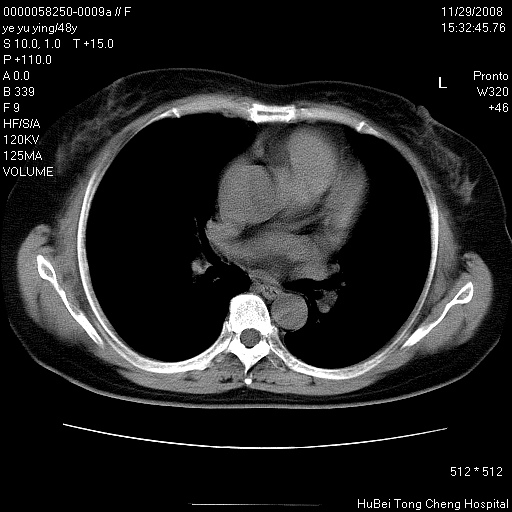
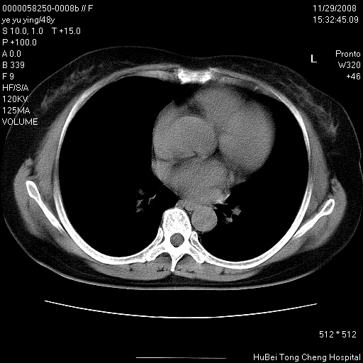
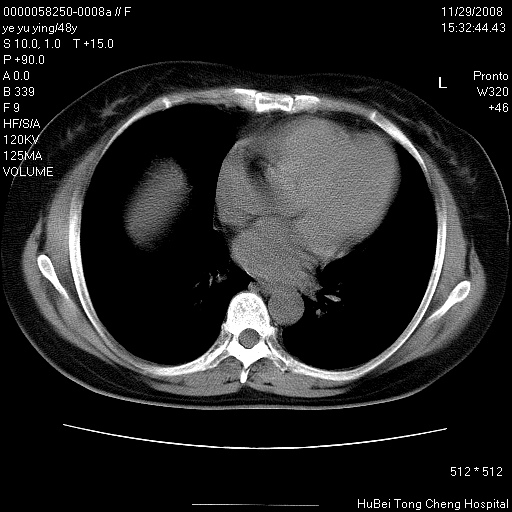
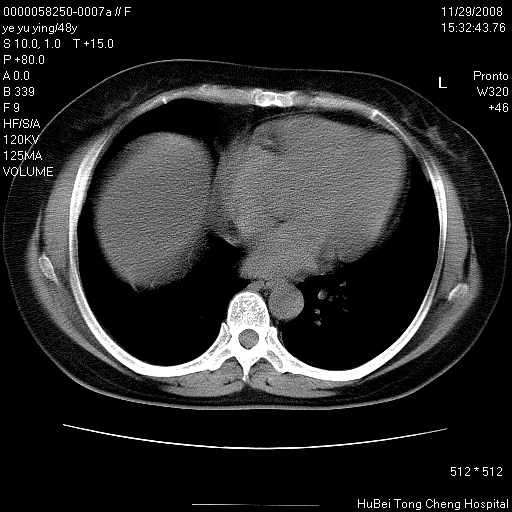
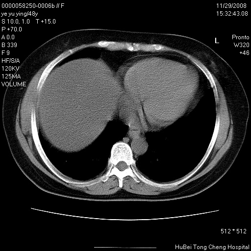
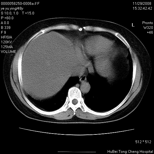
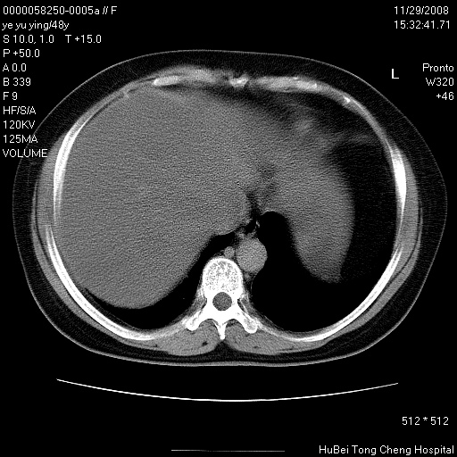
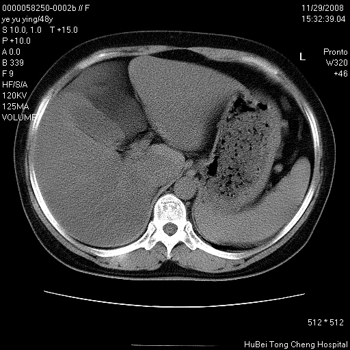
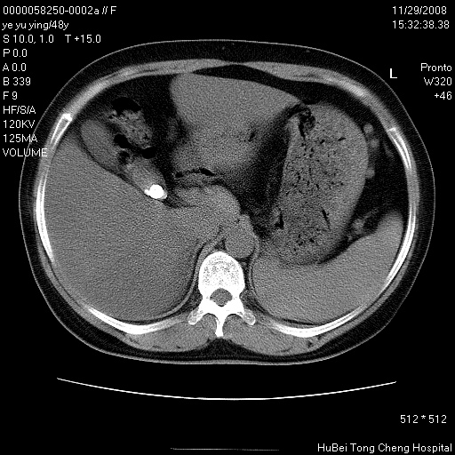
以下是引用liuyue在2008-11-30 5:44:00的发言:[br]1.左肺病变,首先考虑感染性病变,转移待排;建议治疗后复查。[br]2.肝脏密度普遍减低,考虑与化疗有关。[br]3.胆囊结石.
| 欢迎光临 医影在线 (http://bbs.radida.com/bbs/) | Powered by Discuz! X3.2 |