










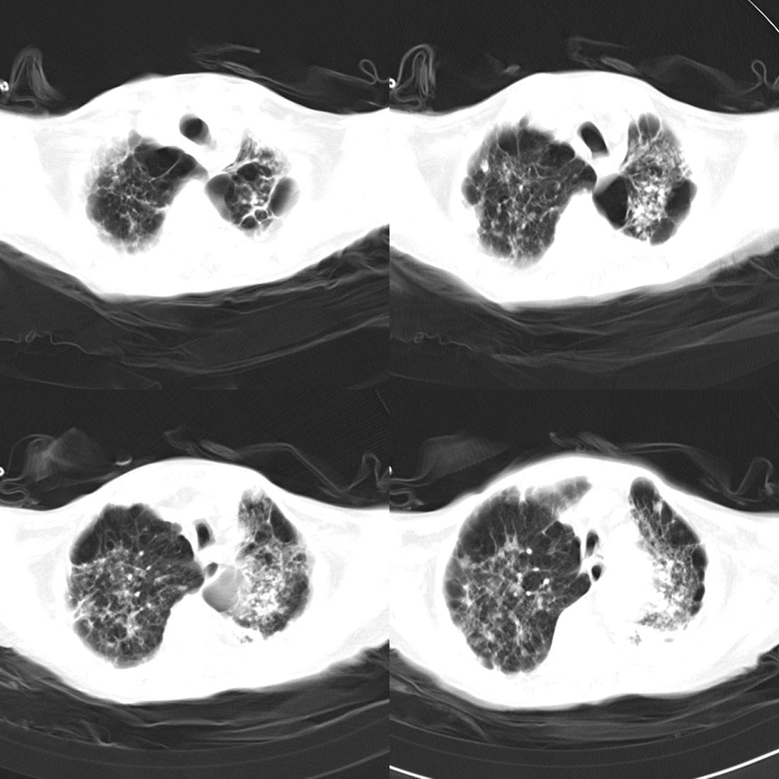
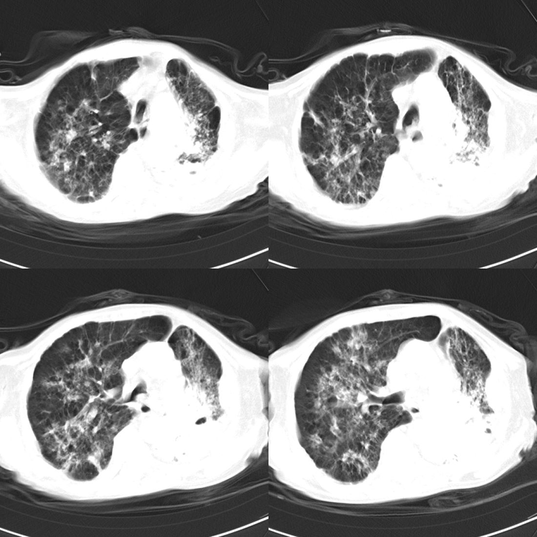
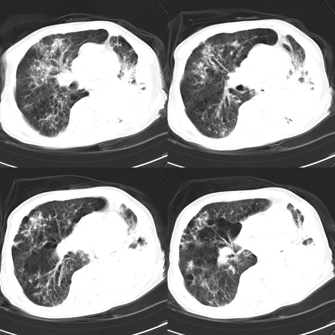
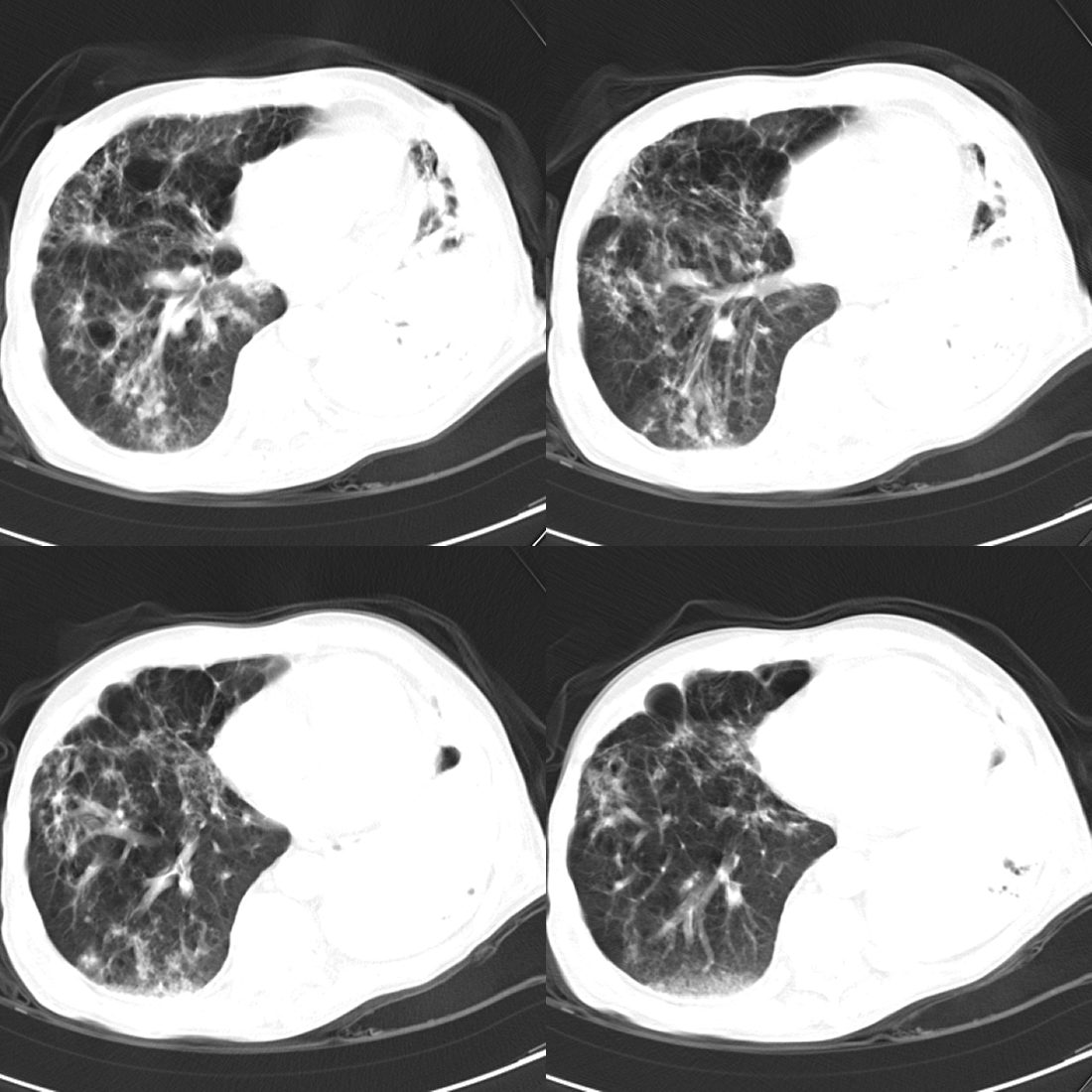
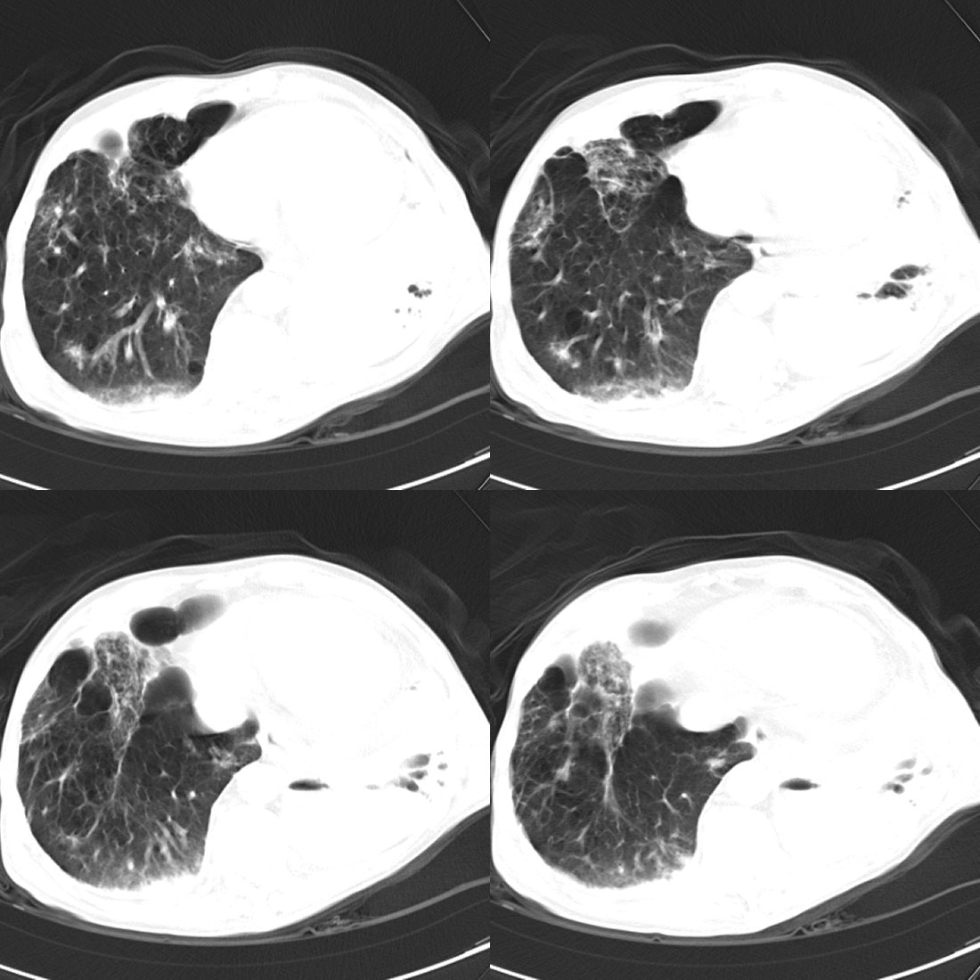
以下是引用zsl6918在2008-11-29 21:51:00的发言:[br]建议追问病史有无粉尘接触史,鉴别是结核还是矽肺。另外,左侧肺门的改变需强化明确,除外占位。
以下是引用zsl6918在2008-11-29 21:51:00的发言:[br]建议追问病史有无粉尘接触史,鉴别是结核还是矽肺。另外,左侧肺门的改变需强化明确,除外占位。
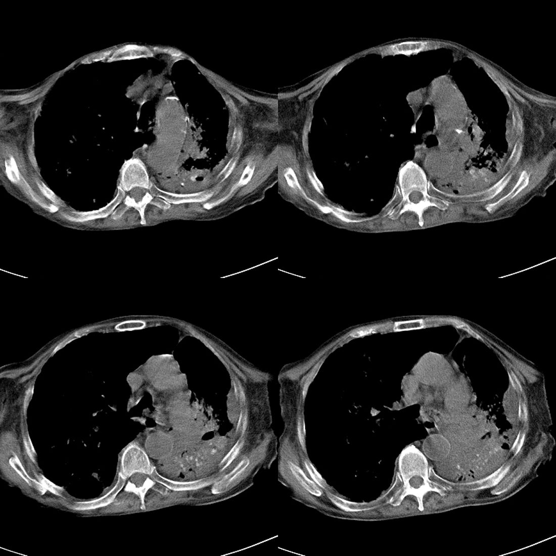
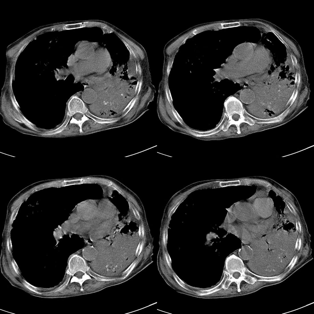
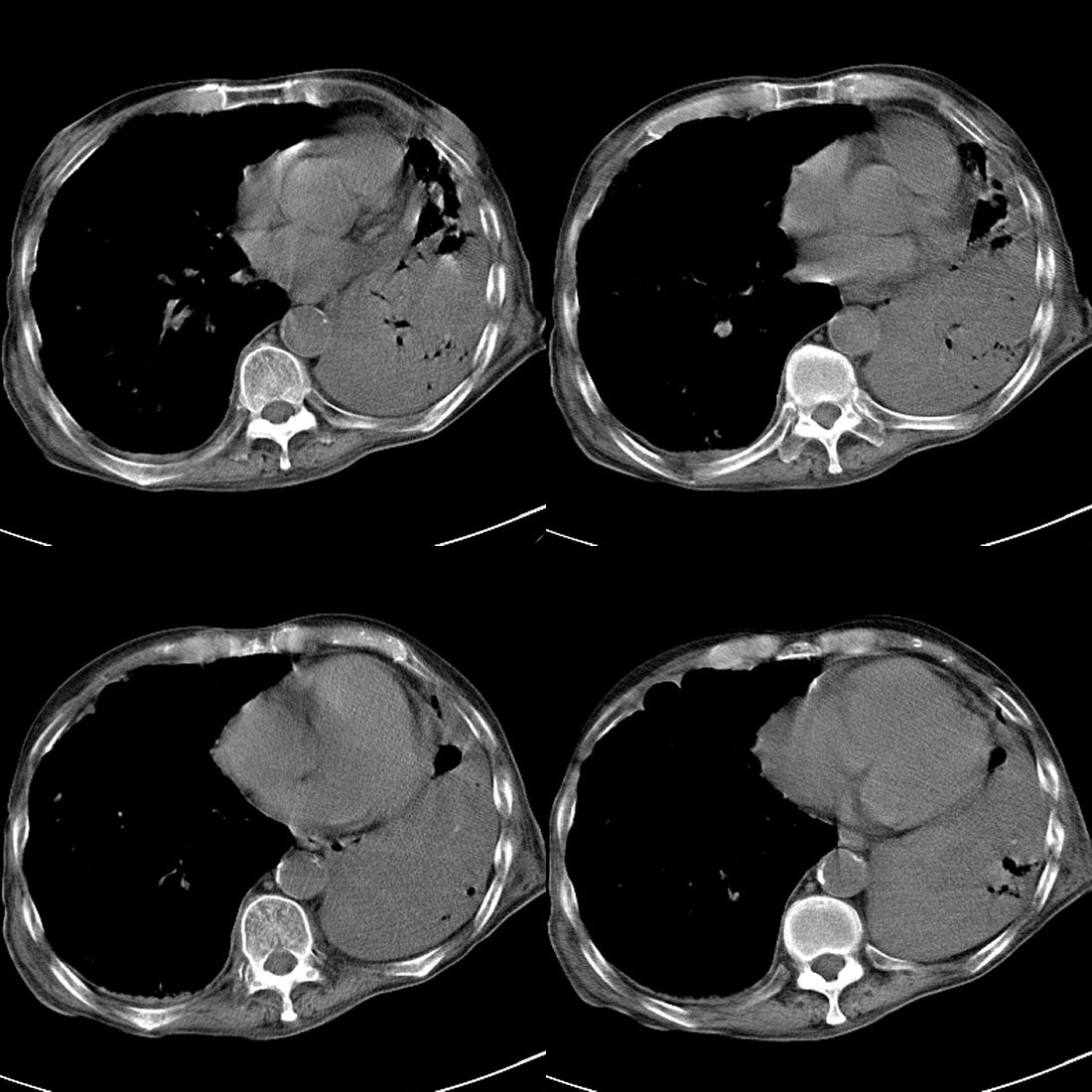
以下是引用liuyue在2008-11-30 6:01:00的发言:[br]双肺继发性肺结核;左侧包裹性积液;建议增强化或支气管镜检查除外左肺占位性病变.
以下是引用吴承学在2008-11-30 8:02:00的发言:[br]双肺继发性肺结核;左侧包裹性积液;建议增强化或支气管镜检查除外左肺占位性病变.[br]
| 欢迎光临 医影在线 (http://bbs.radida.com/bbs/) | Powered by Discuz! X3.2 |