医影在线
标题: CT16847:女,48岁,咳嗽,发热两日,平常偶有上腹部不适。 [打印本页]
作者: xupengjie 时间: 2008-11-30 18:04
标题: CT16847:女,48岁,咳嗽,发热两日,平常偶有上腹部不适。
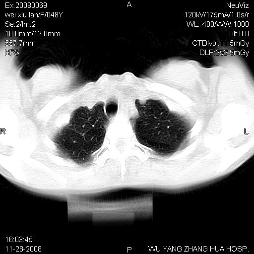
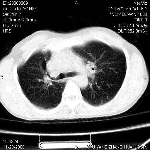
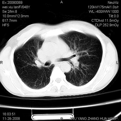
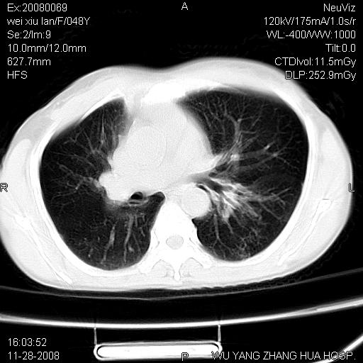
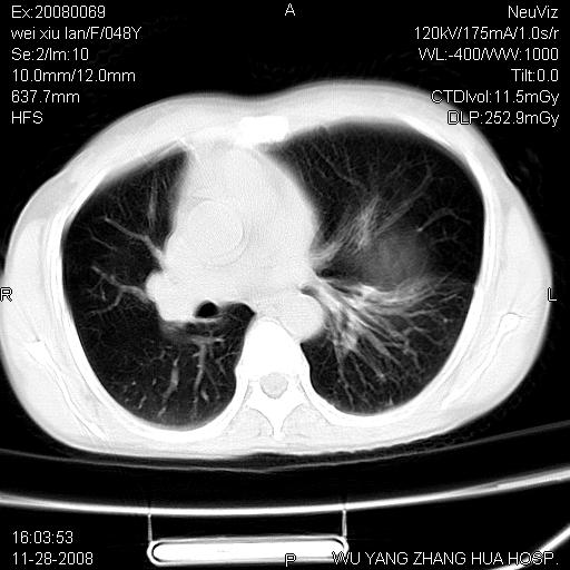
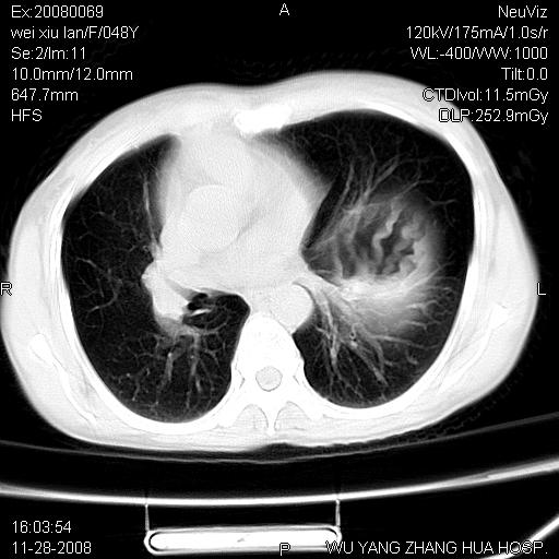
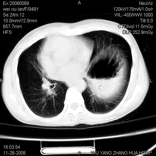
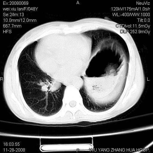
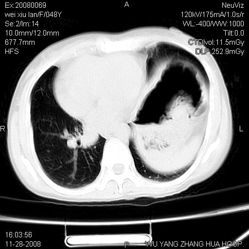
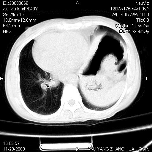
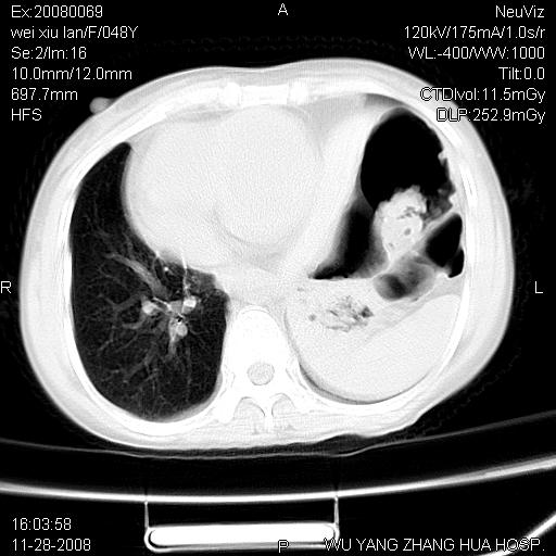
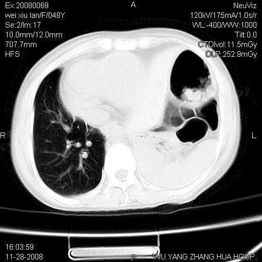
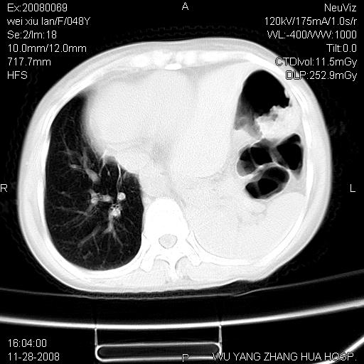
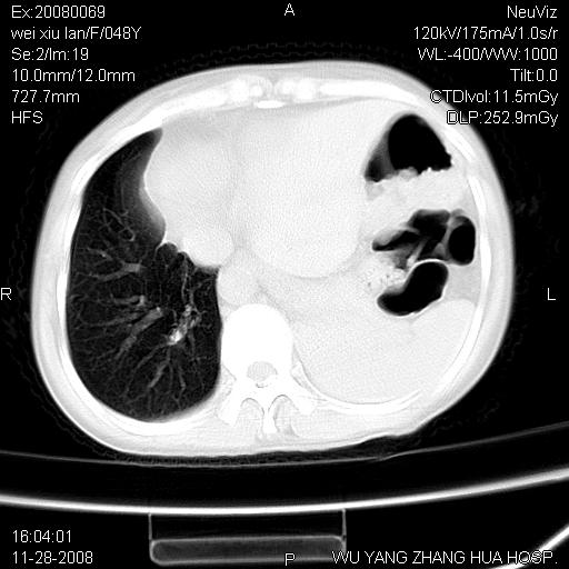
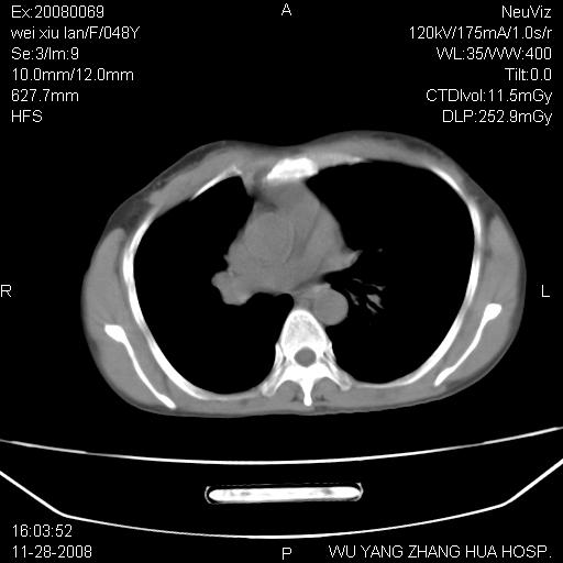
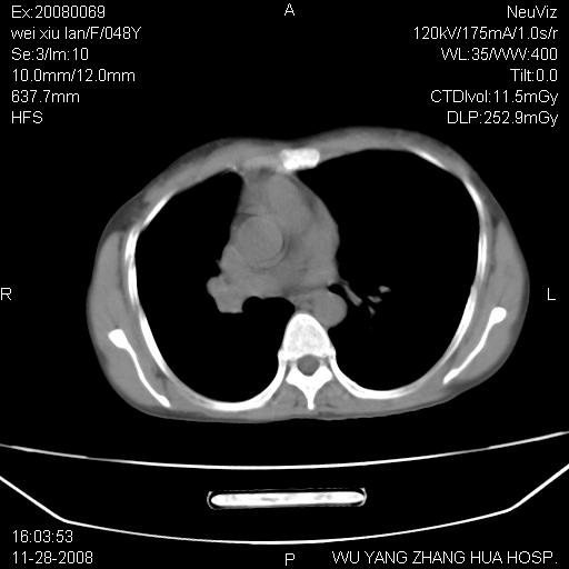
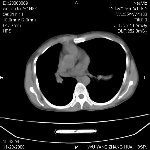
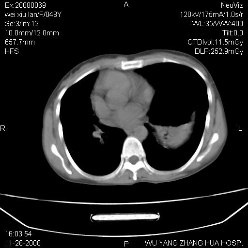
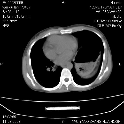
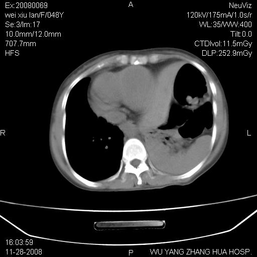
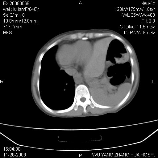
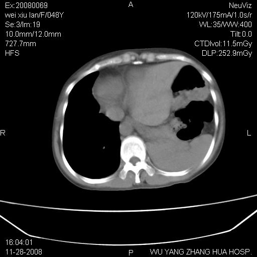
能否考虑食管裂孔疝?请老师们多多指教。







































[本贴已被 jiajie 于 2008-11-30 10:07:50 修改过]
作者: XS 时间: 2008-11-30 18:15
支持食管裂孔疝
作者: 深泽交通 时间: 2008-11-30 18:25
考虑左侧隔膨升
作者: 黑白光影 时间: 2008-11-30 18:35
胸腔胃?
作者: 358450m 时间: 2008-11-30 18:41
标题: 回复:ct16847:女,48岁,咳嗽,发热两日,平常偶有上腹部
以下是引用xs在2008-11-30 10:15:00的发言:[br]支持食管裂孔疝
作者: 王仕学 时间: 2008-11-30 18:43
左侧隔膨升
作者: xinliheng001 时间: 2008-11-30 19:21
这个是左侧膈膨升伴不完全性胃翻转,手术将松弛的左横膈膜折叠缝合即解决问题。
作者: shuqiang1 时间: 2008-11-30 19:32
标题: 回复:ct16847:女,48岁,咳嗽,发热两日,平常偶有上腹部
以下是引用黑白光影在2008-11-30 10:35:00的发言:[br]胸腔胃?
作者: jiangjing 时间: 2008-11-30 19:56
考虑 膈疝或食管裂孔疝或膈膨升,建议透视下吞钡观察明确
作者: zjzjr 时间: 2008-11-30 21:12
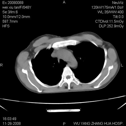
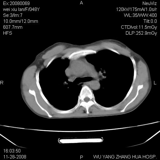
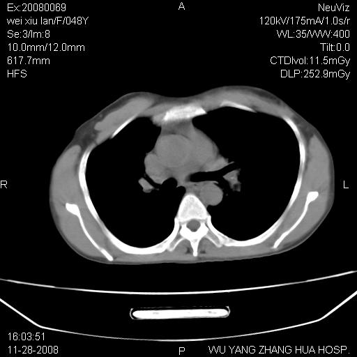
支持左侧膈疝,心脏受压右移.
作者: xiaoqvnmin 时间: 2008-11-30 21:33
标题: 回复:ct16847:女,48岁,咳嗽,发热两日,平常偶有上腹部
以下是引用深泽交通医院在2008-11-30 10:25:00的发言:[br]考虑左侧隔膨升
支持!
作者: zsl6918 时间: 2008-11-30 21:42
应该是膈疝不是食管裂孔疝.
作者: 李兴 时间: 2008-11-30 22:13
胸腔胃
作者: ydx_74 时间: 2008-11-30 22:43
左下肺不张、膈膨升,胸腔胃
作者: 李兴 时间: 2008-11-30 23:22
支持食管裂孔疝,胸腔胃
作者: 业余爱好者 时间: 2008-11-30 23:35
1.左侧隔膨升
2.左下肺炎性改变
作者: dengkai 时间: 2008-12-1 00:01
左侧隔膨升!
作者: 朱亮 时间: 2008-12-1 01:04
隔疝
作者: 拂尘 时间: 2008-12-1 01:59
喝口钡不就一目了然了吗
作者: adams 时间: 2008-12-1 02:44
考虑左侧膈疝,建议作钡餐
作者: fjh 时间: 2008-12-1 02:50
标题: 回复:ct16847:女,48岁,咳嗽,发热两日,平常偶有上腹部
以下是引用zjzjr在2008-11-30 13:12:00的发言:[br]支持左侧膈疝,心脏受压右移.
作者: 流浪星 时间: 2008-12-1 02:54
支持左侧膈疝,心脏受压右移.
作者: 张XYZ 时间: 2008-12-1 02:54
胸腔胃是否手术?
作者: liuyue 时间: 2008-12-1 02:55
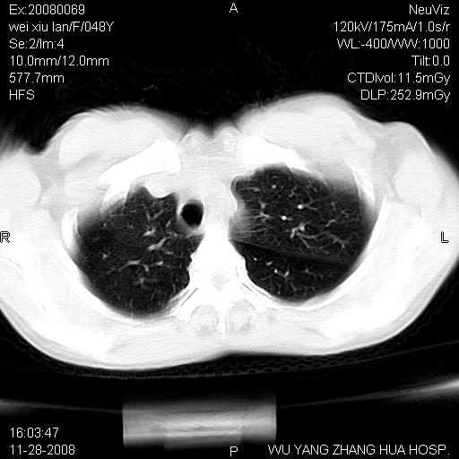
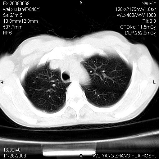
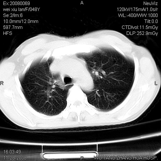
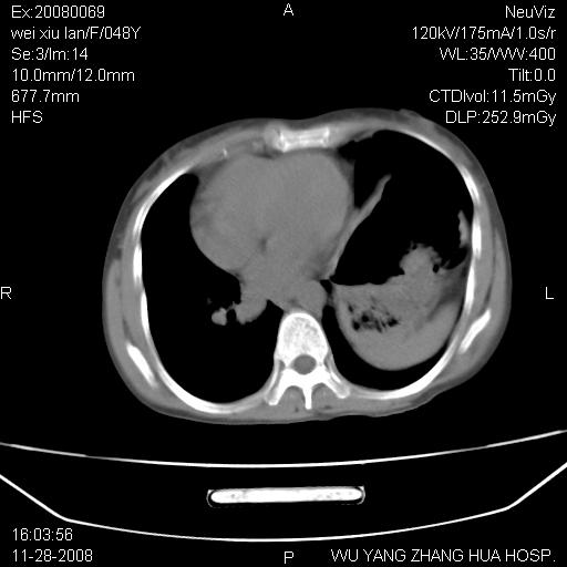
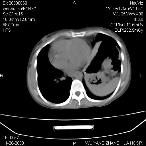
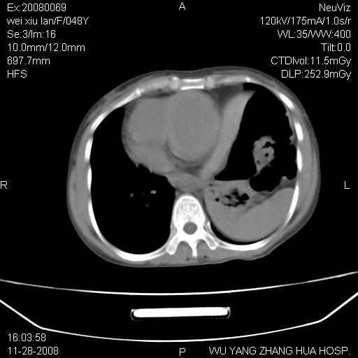
胃、脾脏及部分肠管明显升高,并压迫心脏移位,
首先考虑:左侧膈疝。
作者: 随光逐影 时间: 2008-12-1 03:16
支持 左侧膈疝。
作者: xulianj 时间: 2008-12-1 03:45
考虑膈疝不是食管裂孔疝.
作者: zhangling 时间: 2008-12-1 04:20
左侧胸腔内见胃肠及脾脏影
支持膈疝
作者: zimiu 时间: 2008-12-1 04:28
膈疝或食管裂孔疝或膈膨升,建议透视下吞钡观察以进一步明确。
作者: 同 时间: 2008-12-1 04:29
考虑食管裂孔疝.
作者: 宋定川 时间: 2008-12-1 04:43
学习·
作者: 杀毒软件 时间: 2008-12-1 05:03
左侧隔膨升
作者: wangyong1977 时间: 2008-12-1 06:57
支持食管裂孔疝
作者: 吴承学 时间: 2008-12-1 14:33
标题: 回复:ct16847:女,48岁,咳嗽,发热两日,平常偶有上腹部
考虑左侧隔膨升
作者: wj2039 时间: 2008-12-1 17:21
考虑左侧膈疝,建议作钡餐
作者: zhangjixiang 时间: 2008-12-2 03:19
左膈顶及肋膈角均上移,膈面光滑,考虑左膈肌麻痹
| 欢迎光临 医影在线 (http://bbs.radida.com/bbs/) |
Powered by Discuz! X3.2 |