











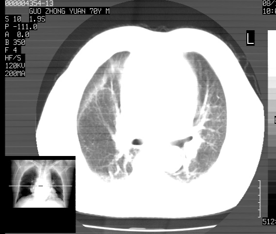
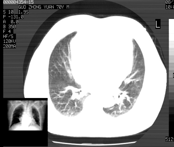
以下是引用sdzyy在2008-12-1 11:49:00的发言:[br]图像不全,请上传,右下肺炎症可能性大,占位待排.
以下是引用sdzyy在2008-12-1 11:49:00的发言:[br]图像不全,请上传,右下肺炎症可能性大,占位待排.
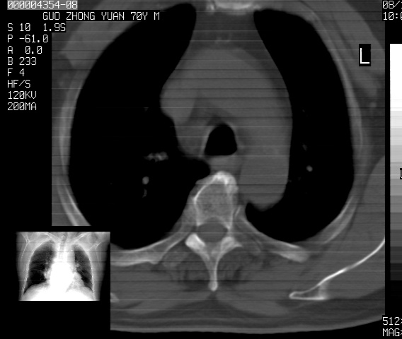
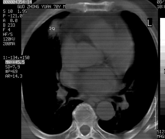
以下是引用zjzjr在2008-12-1 14:53:00的发言:[br]图像不全,请上传,右下肺炎症可能性大,占位待排.心影增大,建议进一步检查.
以下是引用zjzjr在2008-12-1 14:53:00的发言:[br]图像不全,请上传,右下肺炎症可能性大,占位待排.心影增大,建议进一步检查.
以下是引用sdzyy在2008-12-1 11:49:00的发言:[br]图像不全,请上传,右下肺炎症可能性大,占位待排.
| 欢迎光临 医影在线 (http://bbs.radida.com/bbs/) | Powered by Discuz! X3.2 |