医影在线

标题: CT15350 今日复查CT [打印本页]

作者: lihuuuu    时间: 2008-12-2 01:28
标题: CT15350 今日复查CT
(结果公布:http://www.radida.com/bbs/forum.php?mod=viewthread&tid=69831)
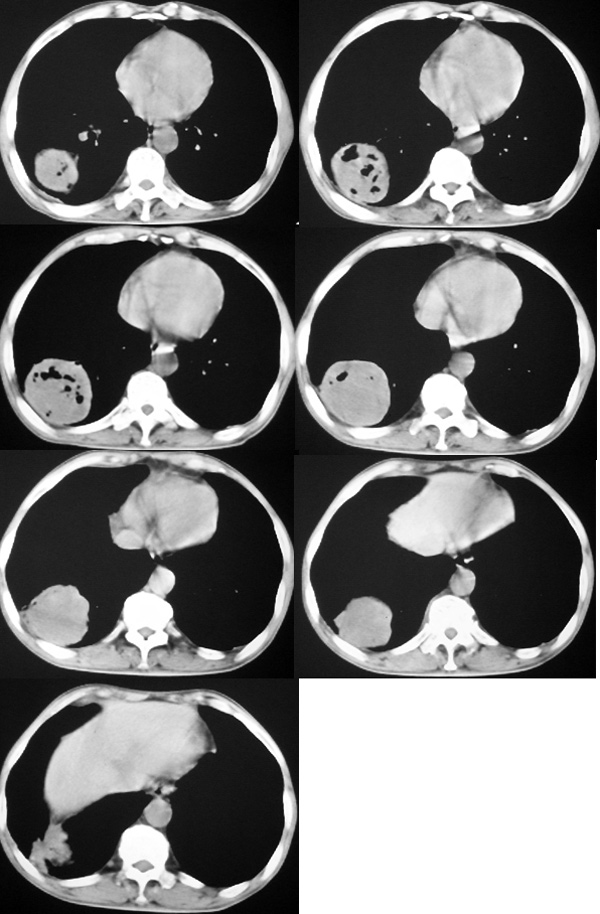
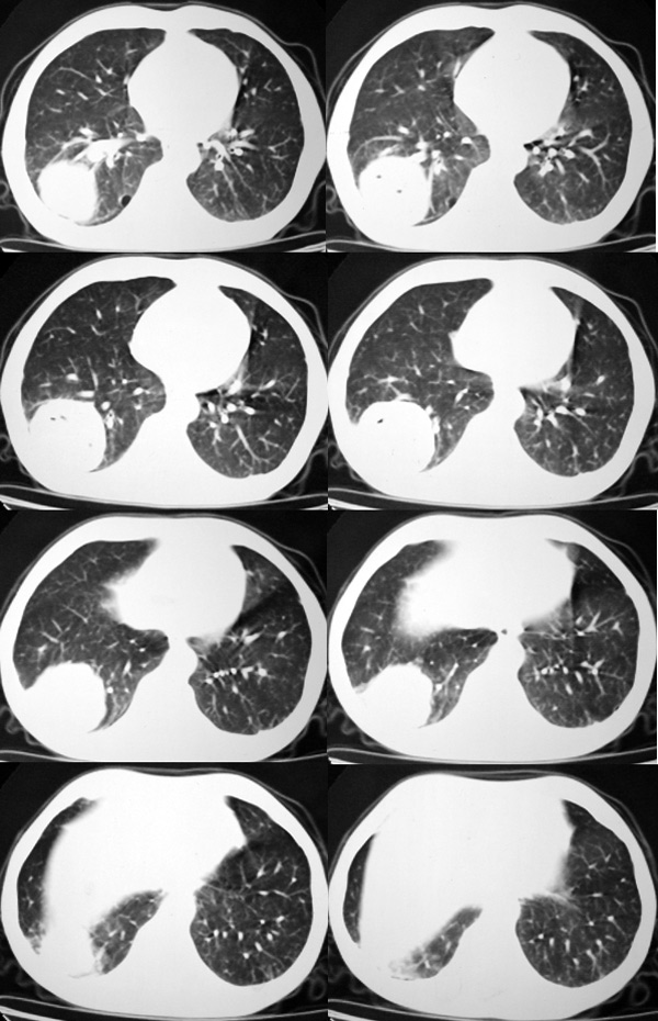
右肺囊实性占位 患者拒绝穿刺活检  近期始终间断性发高烧 使用消炎控制, 左鼻翼部有多发皮肤溃疡
上次cthttp://www.radida.com/bbs/forum.php?mod=viewthread&tid=43531















[本贴已被 jiajie 于 2010-8-20 19:50:12 修改过]

作者: 杀毒软件    时间: 2008-12-2 01:32
考虑------慢性肺脓肿可能性大,不完全排除------韦氏肉芽肿。
作者: 王仕学    时间: 2008-12-2 01:35
支持慢性肺脓肿
作者: qc80012345    时间: 2008-12-2 01:48
不能排除韦氏肉芽肿可能。
作者: scdlc2008    时间: 2008-12-2 02:29
慢性肺脓肿可能性大
作者: zsl6918    时间: 2008-12-2 02:31
炎性肉芽肿性病变,可选择手术切除.
作者: wzr    时间: 2008-12-2 02:45
考虑------慢性肺脓肿可能性大,不完全排除------韦氏肉芽肿。
作者: liuyue    时间: 2008-12-2 02:57
考虑------慢性肺脓肿可能性大.肺囊肿合并感染不除外.
作者: sunhongyan0520    时间: 2008-12-2 03:17
考虑炎症性病变!
作者: 流浪星    时间: 2008-12-2 03:22
肺脓肿。
作者: 影象小泰斗    时间: 2008-12-2 04:01
支持慢性肺脓肿!!
作者: 一个人    时间: 2008-12-2 04:14
支持慢性肺脓肿
作者: xulianj    时间: 2008-12-2 04:34
慢性肺脓肿可能性大
作者: 向医生    时间: 2008-12-2 04:37
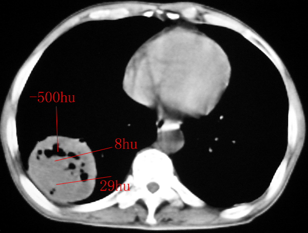
我认为本例肿块内为坏死组织与实性组织混在一起,并夹杂有极低密度气体影,加上肺肿边缘部分呈不规则浅分叶,应该诊断为周围型肺癌。
  患者三个月前的ct增强片也显示肿块壁不规则并有明确的壁结节,也支持周围型肺癌的诊断。
  如果患者仅是单纯的慢性肺脓疡,在经历了三个多月的治疗后,其内的坏死液化组织与气体应该形形一些短的气-液平面,而本例肿块内没有一个典型的气-液平面。
作者: liaizhi    时间: 2008-12-2 04:46
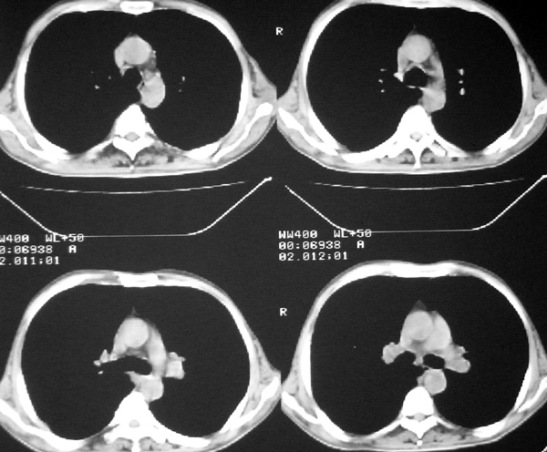
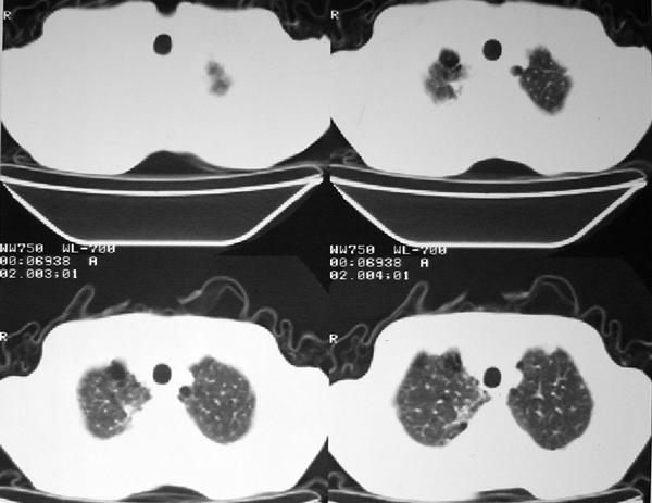
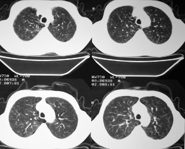
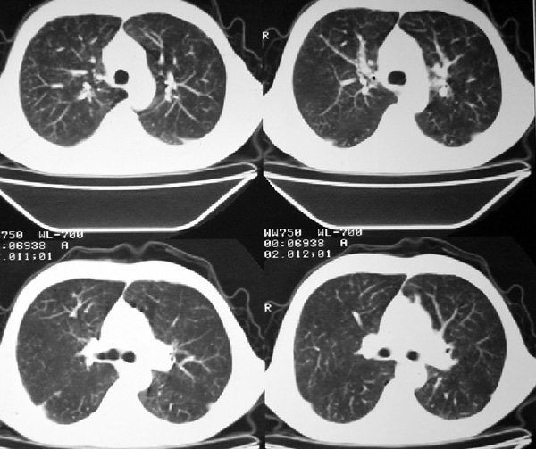
双肺呈毛玻璃状,胸膜旁有多个小囊状气腔。右下囊实性病灶内有园形气体影,边缘光滑,与之相连的胸膜稍增厚,间断发热,抗炎效果不好。考虑机会性感染可能性大。
作者: 影像孺子牛    时间: 2008-12-2 04:53
支持:肺脓肿。
作者: 同    时间: 2008-12-2 05:30
考虑慢性肺脓肿.
作者: caihe    时间: 2008-12-2 06:08
右下肺占位性病变,其边缘较光整无明显分叶,似有包膜,邻近胸膜无凹陷征及牵拉征象,包块内见数个大小不等气液面及不规则透亮影,纵隔未见明显淋巴结肿大。结合上次ct检查,考虑:炎性包块或真菌感染包块可能性大,周围型肺癌可能性小。
作者: x-man    时间: 2008-12-2 07:36
考虑慢性肺脓肿可能性大.肺囊肿合并感染不除外
作者: 随光逐影    时间: 2008-12-2 16:25
考虑右肺下叶慢性肺脓肿;不排除周围型肺癌。
作者: 翁志蓬    时间: 2008-12-3 04:14
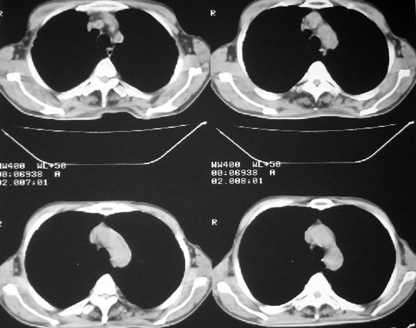
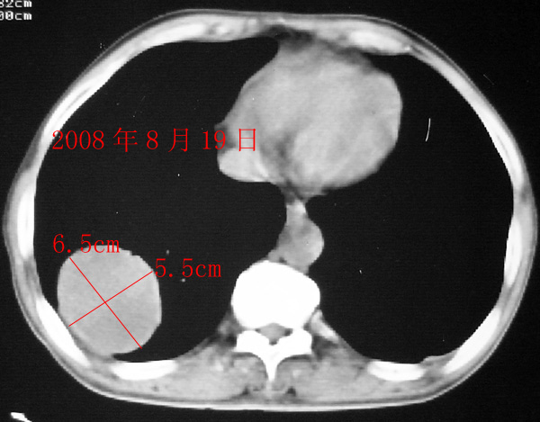
2008年8月19日ct所见为实性肿物,轻度强化,而患者仅有“胸闷、食欲不振”的症状,没有发热病史,因此考虑良性肺肿瘤可能性大。
本次ct检查,在肿块内出现了气体,而且“近期始终间断性发高烧”,考虑肿瘤合并感染可能性。
作者: lihuuuu    时间: 2009-4-15 19:34
电话随访:到上级医院手术结果:肺癌
作者: 拾荒者    时间: 2010-8-21 06:15
感谢楼主反馈结果。囊实性肿块,壁厚薄不均,壁结节有明显强化,均支持肺癌诊断。
作者: 吴医师    时间: 2010-8-21 17:50
谢谢  学习了
作者: zyz8821    时间: 2010-8-21 22:26
汗,影像学本质就是:   什么都皆有可能!!!!!!!
作者: 37度    时间: 2010-8-21 22:34
感谢楼主反馈结果。
作者: wl25383268    时间: 2010-10-6 07:18
很好的病例
作者: yuhongjun    时间: 2010-10-6 14:06
感谢楼主反馈结果。囊实性肿块,壁厚薄不均,壁结节有明显强化,均支持肺癌诊断。




欢迎光临 医影在线 (http://bbs.radida.com/bbs/) Powered by Discuz! X3.2