医影在线
标题: PED1665:大家看看 [打印本页]
作者: zhengzhanying 时间: 2008-12-3 00:30
标题: PED1665:大家看看
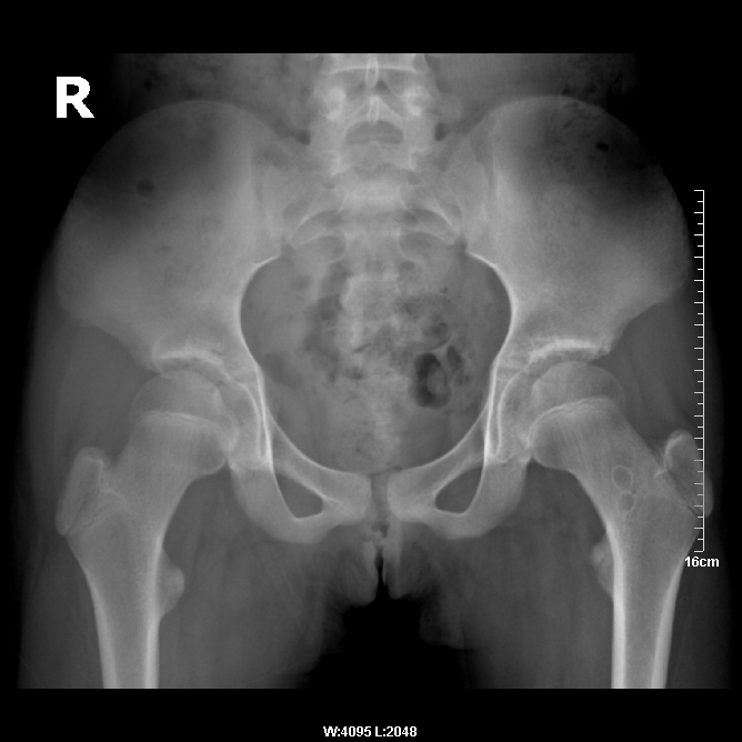
女,10岁,右髋不适3个月。拍片及ct示,股骨颈环状低密度区,边缘硬化,看看是软骨岛或股骨颈疝凹。

[本贴已被 翁志蓬 于 2008-12-2 23:10:54 修改过]

[本贴已被 zhengzhanying 于 2008-12-5 20:16:57 修改过]
作者: 陈正林 时间: 2008-12-3 01:13
股骨颈疝凹。
作者: zsl6918 时间: 2008-12-3 19:08
支持软骨岛表现
作者: 随光逐影 时间: 2008-12-3 19:24
考虑软骨岛。
作者: wangyong1977 时间: 2008-12-3 23:33
软骨岛
作者: 杀毒软件 时间: 2008-12-4 02:26
考虑-----软骨岛
作者: scdlc2008 时间: 2008-12-4 02:48
考虑-----软骨岛
作者: 余辉 时间: 2008-12-4 03:44
单从这两张片子上不能分别二者吧,建议发ct片
作者: xinliheng001 时间: 2008-12-4 07:47
异常低密度囊状影在左股骨颈,而介绍病史说右髋不适......到底哪一侧?
作者: 王仕学 时间: 2008-12-4 17:24
左股骨颈疝凹可能性大.
作者: 医影常客 时间: 2008-12-4 17:37
都有可能左股骨颈疝凹可能性大些
作者: 同 时间: 2008-12-4 21:11
考虑软骨岛.
作者: yangyudong333 时间: 2008-12-5 23:24
左股骨颈疝凹可能性大.
作者: zhengzhanying 时间: 2008-12-6 04:19
翁:ct上传毕。
作者: 153916826hua 时间: 2008-12-6 06:49
到底如何鉴别而子二者,请赐教
作者: 153916826hua 时间: 2008-12-6 07:10
学习
作者: dyqct 时间: 2008-12-6 16:36
左股骨颈疝凹可能性大.
作者: 153916826hua 时间: 2008-12-24 07:45
考虑-----软骨岛
| 欢迎光临 医影在线 (http://bbs.radida.com/bbs/) |
Powered by Discuz! X3.2 |