医影在线
标题: CT16886:骶尾部占位:1.脊索瘤?2.巨细胞瘤? [打印本页]
作者: 52yingxiang    时间: 2008-12-3 16:31
标题: CT16886:骶尾部占位:1.脊索瘤?2.巨细胞瘤?
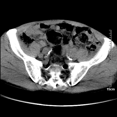
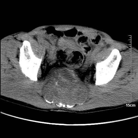
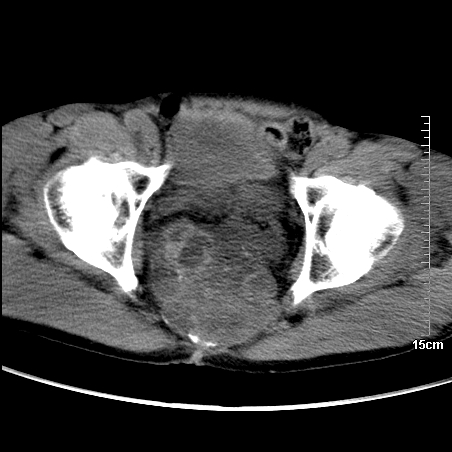
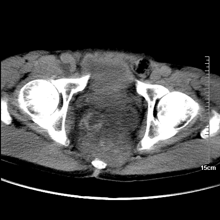
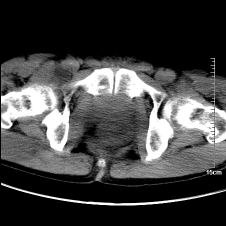
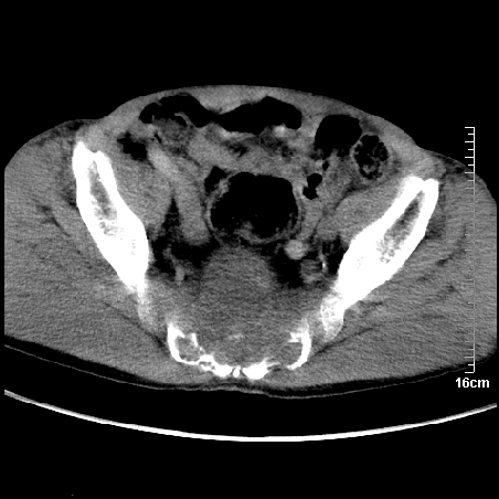
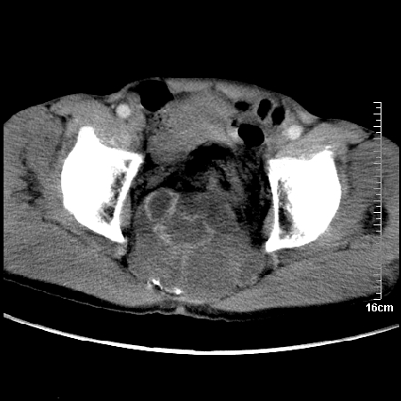
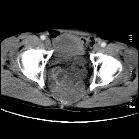
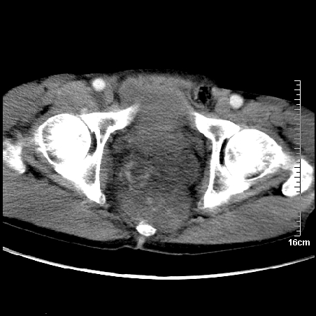
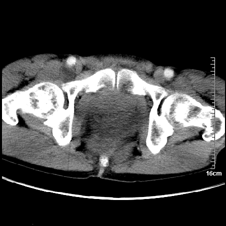
平扫:











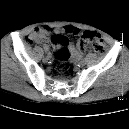
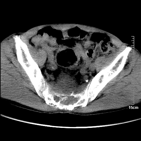
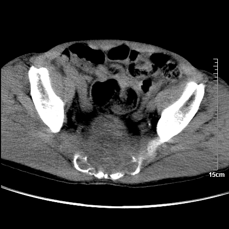
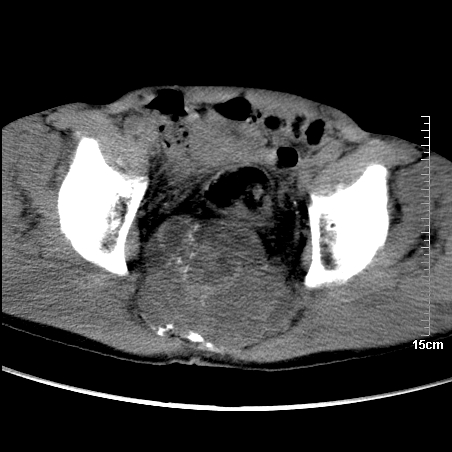
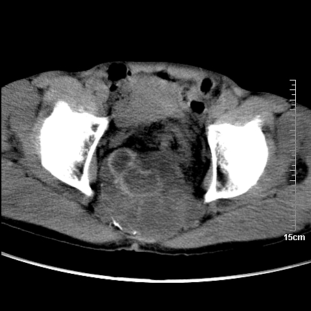
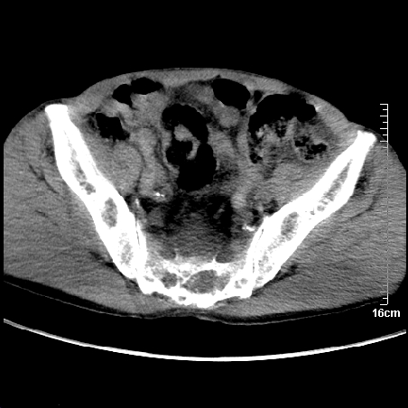
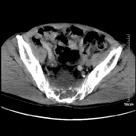
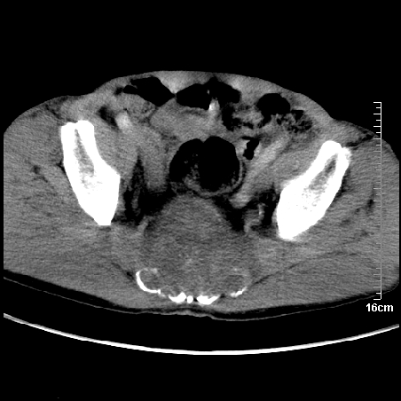
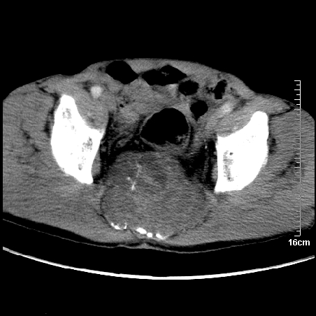
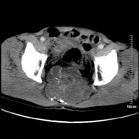
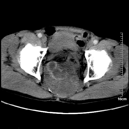
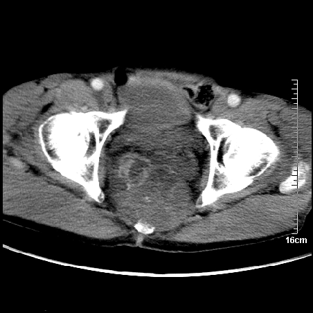
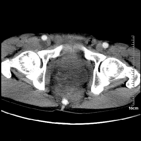
增强:














[本贴已被 52yingxiang 于 2008-12-3 8:32:31 修改过]
[本贴已被 jiajie 于 2008-12-3 13:07:32 修改过]
作者: zjzjr    时间: 2008-12-3 17:42
支持脊索瘤
作者: 朱亮    时间: 2008-12-3 17:54
骶骨恶性骨肿瘤   脊索瘤
作者: 深泽交通    时间: 2008-12-3 18:09
支持楼主
作者: zsl6918    时间: 2008-12-3 18:12
首先考虑脊索瘤,不除外转移瘤。
作者: xinliheng001    时间: 2008-12-3 18:47
部分骶尾骨已被软组织密度的肿瘤所取代,同意“首先考虑脊索瘤,不除外转移瘤”的意见。
作者: 影象小泰斗    时间: 2008-12-3 19:07
支持脊索瘤诊断!!!
作者: zhangyubin1977    时间: 2008-12-3 19:15
有没有详细的病史,
作者: 平安是福    时间: 2008-12-3 19:20
支持脊索瘤
作者: 随光逐影    时间: 2008-12-3 19:35
考虑脊索瘤可能性大。
作者: sdzyy    时间: 2008-12-3 19:53
支持脊索瘤
作者: zhengjq76    时间: 2008-12-3 20:44
软组织内未见明显钙化或残留骨质,考虑神经源性肿瘤。
作者: DXM    时间: 2008-12-3 21:41
考虑脊索瘤可能性大
作者: 王仕学    时间: 2008-12-3 23:04
支持脊索瘤
作者: wangyong1977    时间: 2008-12-3 23:27
脊索瘤?
作者: 影像孺子牛    时间: 2008-12-3 23:34
1、骶尾部巨大软组织肿块,部分骶尾骨以被软组织肿块代替,呈不规则侵蚀;病变突向盆腔内;增强扫描病变呈不均质强化;首先考虑脊索瘤。不支持的一点就是病变内无钙化。
2、发生于骶尾椎者须与骨巨细胞瘤鉴别,骨巨细胞瘤一般发在上疗骶椎,肿瘤内无钙化,一般无侵袭性生长的表现。
作者: guanaishengming    时间: 2008-12-3 23:51
考虑脊索瘤可能性大。
作者: scdlc2008    时间: 2008-12-4 00:07
考虑脊索瘤可能性大。
作者: dengkai    时间: 2008-12-4 01:05
首先考虑脊索瘤,有没有详细的病史,不除外转移瘤。
作者: xulianj    时间: 2008-12-4 04:04
支持脊索瘤诊断
作者: 黑白光影    时间: 2008-12-4 04:58
首先考虑脊索瘤
作者: 思雪    时间: 2008-12-15 04:08
标题: 回复:ct16886:骶尾部占位:1.脊索瘤?2.巨细胞瘤?
[quote]以下是引用影像孺子牛在2008-12-3 15:34:00的发言:[br]1、骶尾部巨大软组织肿块,部分骶尾骨以被软组织肿块代替,呈不规则侵蚀;病变突向盆腔内;增强扫描病变呈不均质强化;首先考虑脊索瘤。不支持的一点就是病变内无钙化。[br]
作者: pujunzhi    时间: 2008-12-15 04:30
考虑脊素瘤,不除外转移瘤。
作者: dsl555    时间: 2008-12-15 04:30
首先考虑脊索瘤
作者: wsz9999    时间: 2008-12-16 01:55
考虑脊索瘤可能性大
作者: 风中百合    时间: 2008-12-16 04:40
考虑脊索瘤可能性大。
作者: xyh2806    时间: 2008-12-16 04:55
考虑脊索瘤。
作者: 谨言慎行    时间: 2008-12-16 05:00
考虑脊索瘤
作者: dlwcz    时间: 2008-12-19 05:27
还是先考虑脊索瘤吧!
| 欢迎光临 医影在线 (http://bbs.radida.com/bbs/) | Powered by Discuz! X3.2 |