医影在线
标题: CT16890:男,腰背痛. [打印本页]
作者: lirenxiong 时间: 2008-12-3 22:43
标题: CT16890:男,腰背痛.
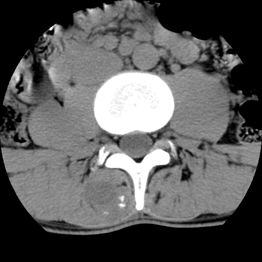
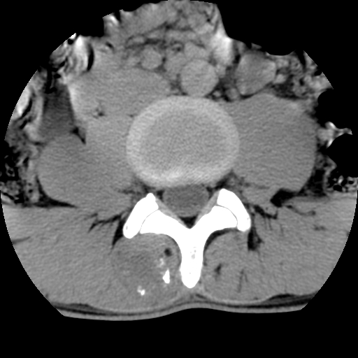
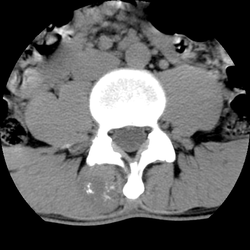
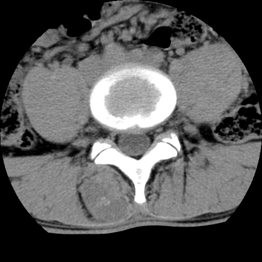
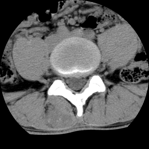
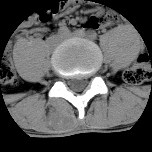
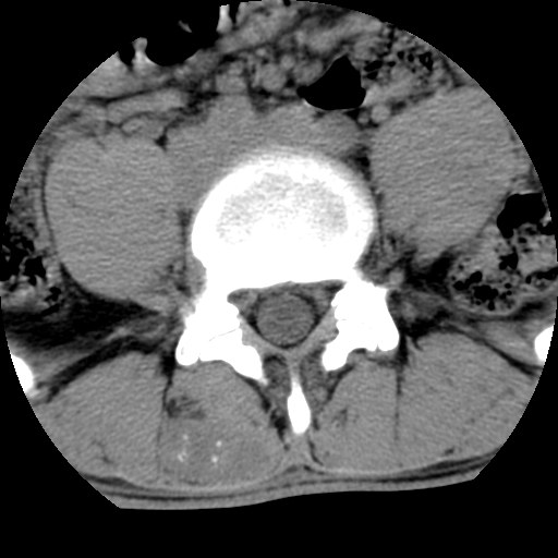
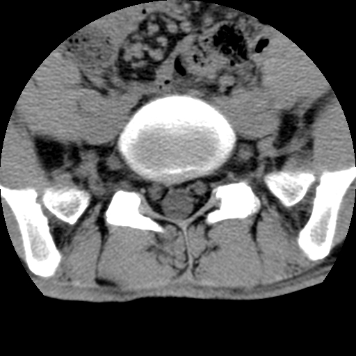
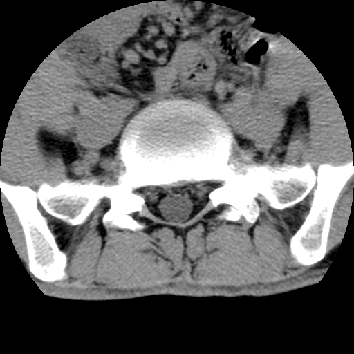
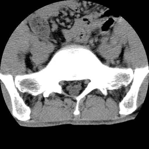
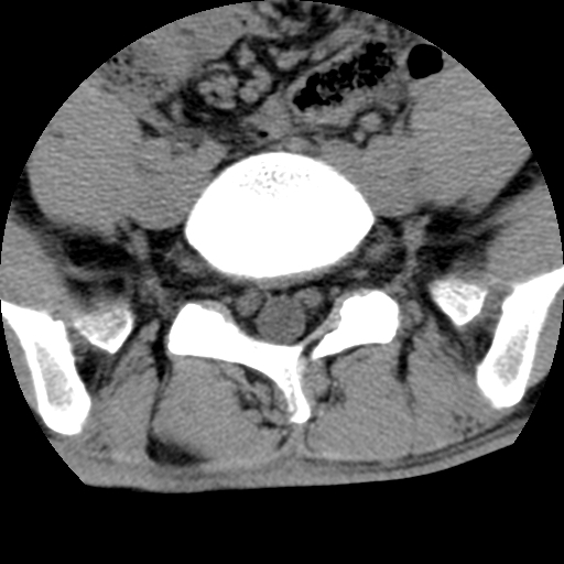
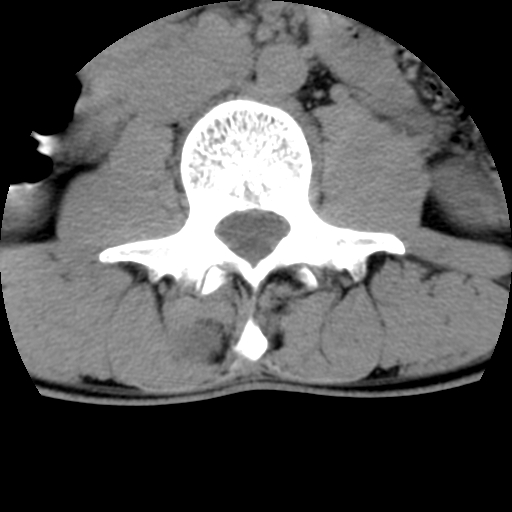
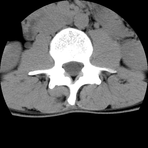
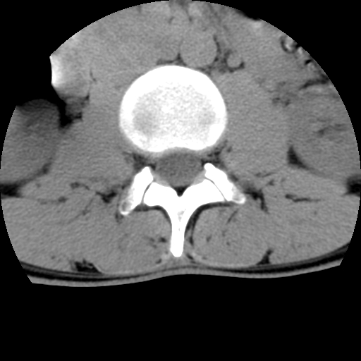
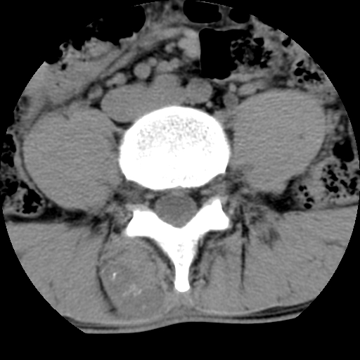
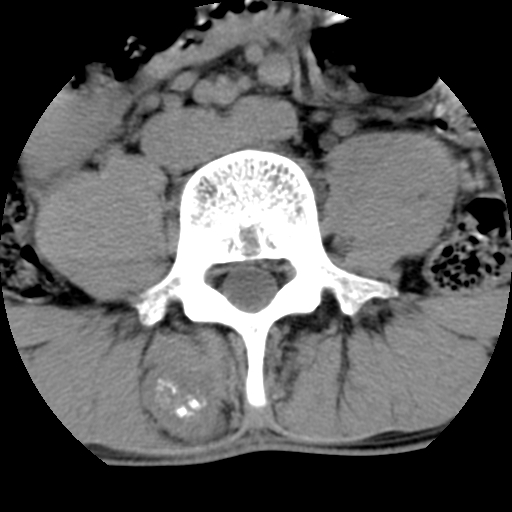
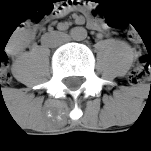
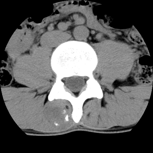
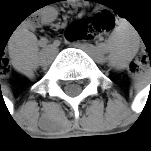
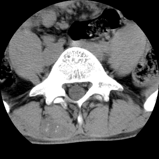
男,腰背痛





















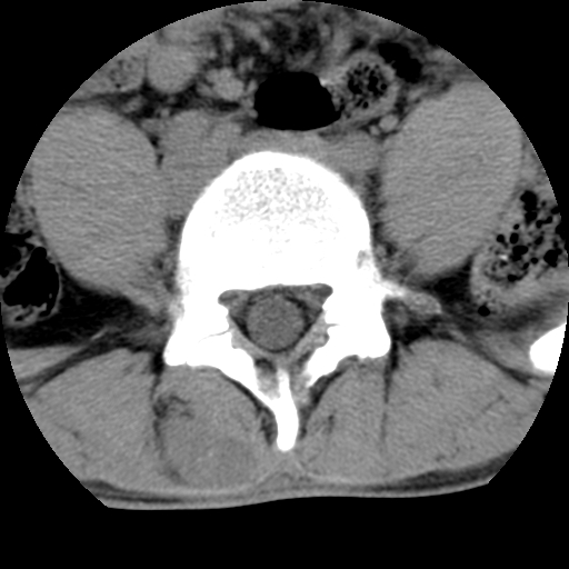
本人诊断1tb2包虫,请会诊
[本贴已被 lirenxiong 于 2008-12-3 14:44:36 修改过]
[本贴已被 jiajie 于 2008-12-3 15:17:16 修改过]
作者: 朱亮 时间: 2008-12-3 23:39
竖脊肌血管瘤?
作者: zjzjr 时间: 2008-12-3 23:41
考虑血管瘤可能性,不除外结核,建议增强.椎间盘突出
作者: 王仕学 时间: 2008-12-4 00:01
标题: 回复:ct16890:男,腰背痛.
以下是引用zjzjr在2008-12-3 15:41:00的发言:[br]考虑血管瘤可能性,不除外结核,建议增强.椎间盘突出
作者: 随光逐影 时间: 2008-12-4 00:05
1)右侧竖脊肌稍低密度肿块伴钙化(性质待定),不排除肿瘤可能;建议行进一步检查。2)腰椎间盘突出。
作者: scdlc2008 时间: 2008-12-4 00:23
考虑血管瘤可能性,不除外结核,建议增强.椎间盘突出
作者: 影像孺子牛 时间: 2008-12-4 00:27
标题: 回复:ct16890:男,腰背痛.
以下是引用随光逐影在2008-12-3 16:05:00的发言:[br]1)右侧竖脊肌稍低密度肿块伴钙化(性质待定),不排除肿瘤可能;建议行进一步检查。2)腰椎间盘突出。
作者: liuqiang 时间: 2008-12-4 00:40
考神经源性肿瘤可能性,不除外结核,建议增强.椎间盘突出
作者: 358450m 时间: 2008-12-4 01:17
标题: 回复:ct16890:男,腰背痛.
以下是引用zjzjr在2008-12-3 15:41:00的发言:[br]考虑血管瘤可能性,不除外结核,建议增强.椎间盘突出
作者: dengkai 时间: 2008-12-4 01:23
考虑血管瘤可能性,不除外结核,建议增强.椎间盘突出
作者: zjb 时间: 2008-12-4 01:37
标题: 回复:ct16890:男,腰背痛.
以下是引用dengkai在2008-12-3 17:23:00的发言:[br]考虑血管瘤可能性,不除外结核,建议增强.椎间盘突出
支持
作者: 不学无术 时间: 2008-12-4 04:10
右侧竖脊肌稍低密度肿块伴钙化(性质待定),
作者: xulianj 时间: 2008-12-4 04:48
考虑血管瘤可能,建议增强。
作者: 黑白光影 时间: 2008-12-4 05:05
1)右侧竖脊肌稍低密度肿块伴钙化(性质待定),不排除肿瘤可能;建议行进一步检查。2)腰椎间盘突出。
作者: zsl6918 时间: 2008-12-4 05:08
考虑血管瘤可能性大
作者: arven 时间: 2008-12-4 05:15
良性可能大,考虑血管瘤
作者: 学医 时间: 2008-12-4 05:24
血肿机化?
作者: yugongyishan 时间: 2008-12-5 04:08
1.右侧竖脊肌软组织肿块伴团块状钙化,首先考虑血管瘤可能性大;建议行进一步检查;2。腰椎间盘突出。
作者: wanghuiyellf 时间: 2008-12-5 18:03
软骨肉瘤可能性大
| 欢迎光临 医影在线 (http://bbs.radida.com/bbs/) |
Powered by Discuz! X3.2 |