医影在线

标题: CT16892:女40Y,急性阑尾住院! [打印本页]

作者: lirenxiong    时间: 2008-12-3 23:01
标题: CT16892:女40Y,急性阑尾住院!
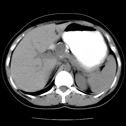
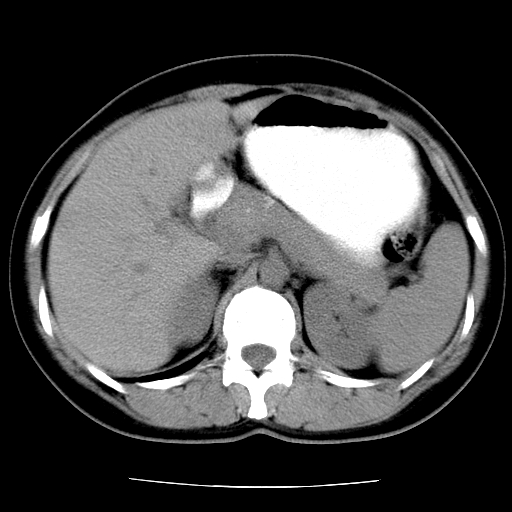
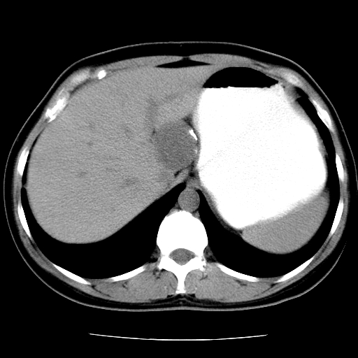
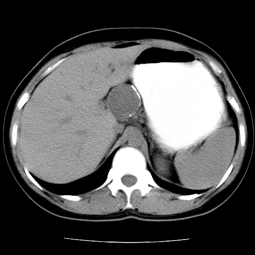
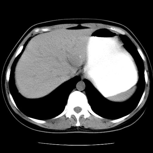
女40y,急性阑尾住院!术前发现请会诊!











[本贴已被 jiajie 于 2008-12-3 15:20:26 修改过]

作者: guanaishengming    时间: 2008-12-3 23:50
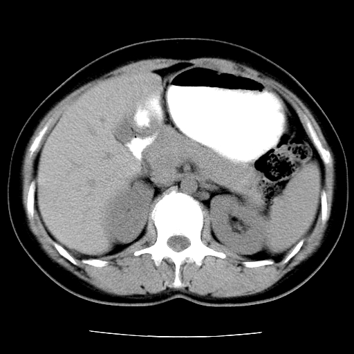
考虑门静脉瘤样扩张可能,建议增强扫描
作者: w_jianhua    时间: 2008-12-3 23:52
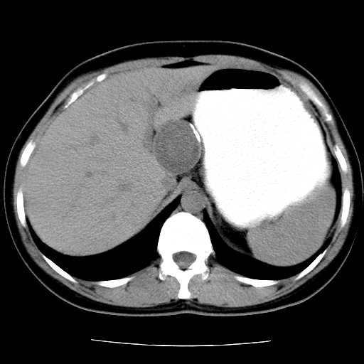
胰头假性囊肿也有可能,建议增强
作者: 朱亮    时间: 2008-12-3 23:54
建议强化扫描   除外胰腺假性囊肿
作者: 王仕学    时间: 2008-12-3 23:58
胰头假性囊肿也有可能,建议增强
作者: 影像孺子牛    时间: 2008-12-4 00:04
首先考虑良性点位,建议增强后再定。
作者: 随光逐影    时间: 2008-12-4 00:08
支持 考虑胰头部假性囊肿。
作者: hanlongjiang    时间: 2008-12-4 00:17
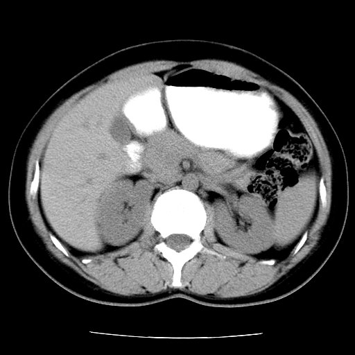
病灶位于门静脉的位置 ,有层面显示血管夹层样改变 ,考虑是门静脉瘤样病变1
作者: liuqiang    时间: 2008-12-4 00:36
病灶位于门静脉的位置 ,有层面显示血管夹层样改变 ,考虑是门静脉瘤样病变,建议进一步增强ct检查。
作者: zjzjr    时间: 2008-12-4 01:16
肝胃间隙良性占位病变,考虑囊肿可能性,不除外神经源性肿瘤,建议增强
作者: 358450m    时间: 2008-12-4 01:20
标题: 回复:ct16892:女40y,急性阑尾住院!
以下是引用guanaishengming在2008-12-3 15:50:00的发言:[br]考虑门静脉瘤样扩张可能,建议增强扫描

作者: scdlc2008    时间: 2008-12-4 01:26
胰头假性囊肿可能性大,囊腺瘤?建议增强
作者: dengkai    时间: 2008-12-4 01:31
病灶位于门静脉的位置 ,有层面显示血管夹层样改变 ,考虑是门静脉瘤样病变,建议进一步增强ct检查。
作者: zjb    时间: 2008-12-4 01:34
肝胃间隙良性占位病变,考虑囊肿可能性,不除外神经源性肿瘤,建议增强
作者: 杀毒软件    时间: 2008-12-4 02:33
大家的考虑都有道理
作者: xulianj    时间: 2008-12-4 04:22
建议增强。考虑良性病变。
作者: 黑白光影    时间: 2008-12-4 05:08
建议增强
作者: zsl6918    时间: 2008-12-4 05:12
肝门区囊性占位,壁有钙化,考虑良性。来源难定。




欢迎光临 医影在线 (http://bbs.radida.com/bbs/) Powered by Discuz! X3.2