医影在线
标题: CT16895:女,35岁,反复咳嗽数月,只传部分图像,是否考虑 [打印本页]
作者: 边生丽 时间: 2008-12-4 01:28
标题: CT16895:女,35岁,反复咳嗽数月,只传部分图像,是否考虑




















[本贴已被 翁志蓬 于 2008-12-3 20:41:15 修改过]
作者: 杀毒软件 时间: 2008-12-4 01:48
标题: 1
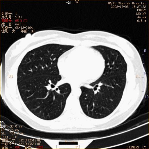
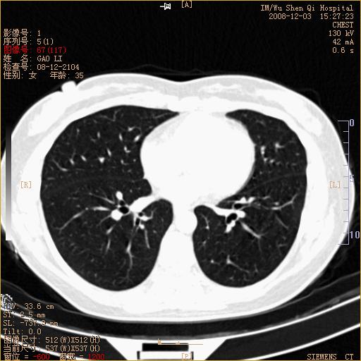
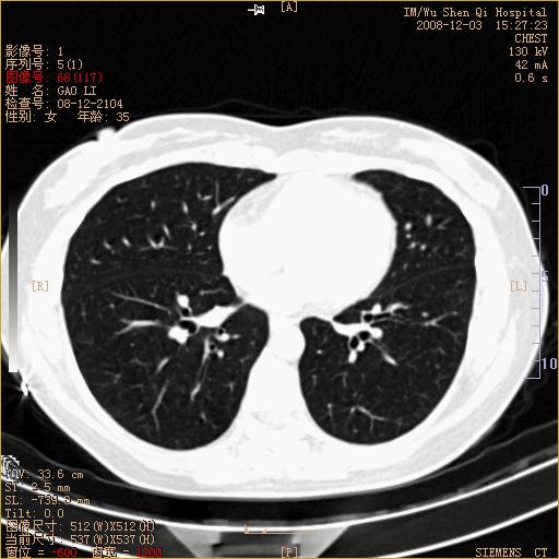
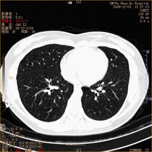
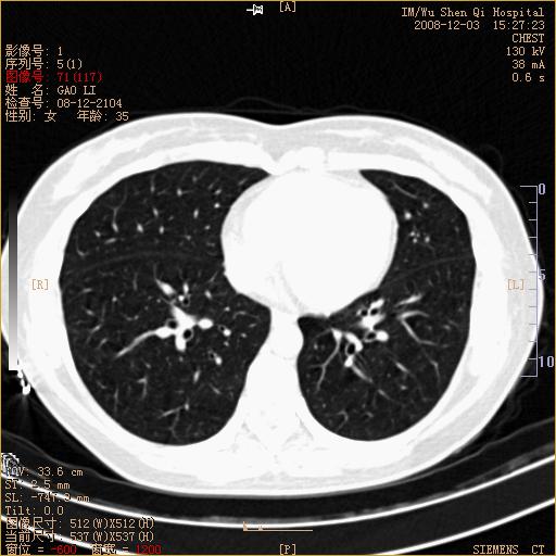
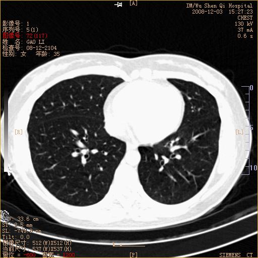
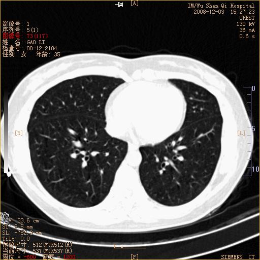
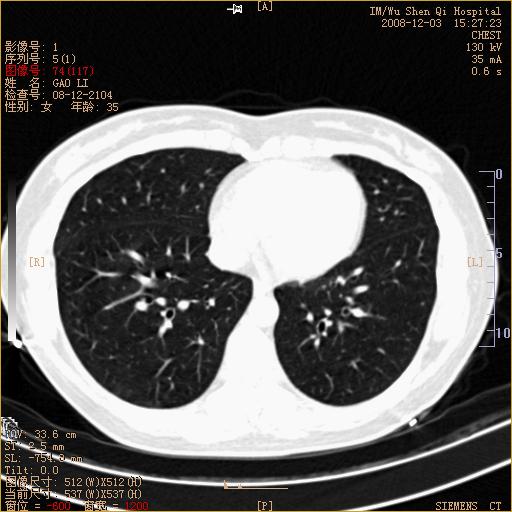
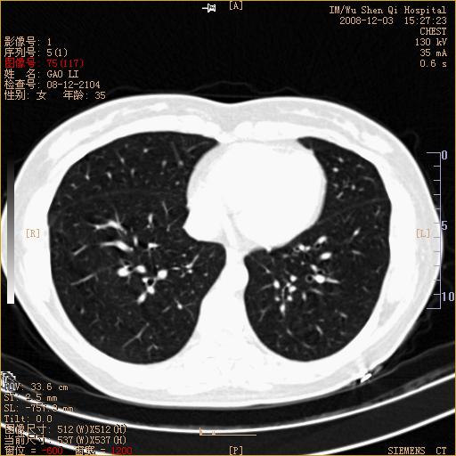
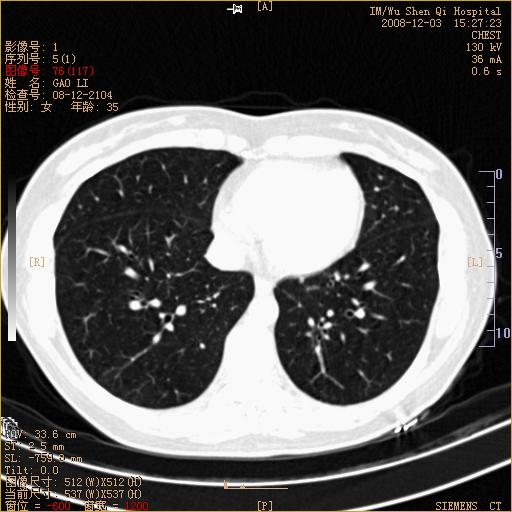
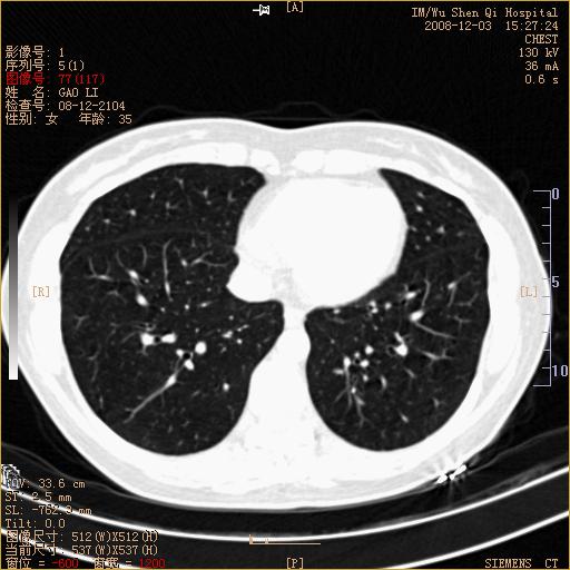
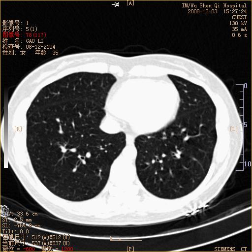
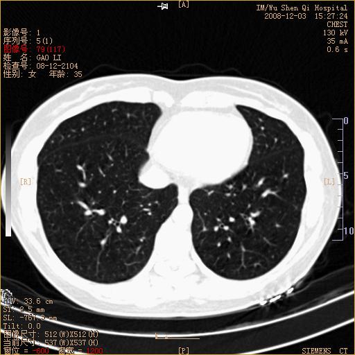
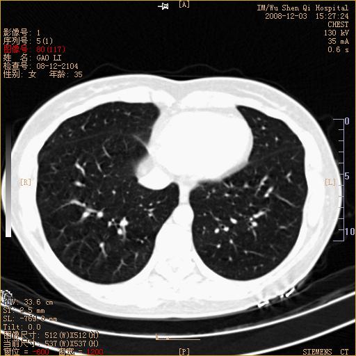
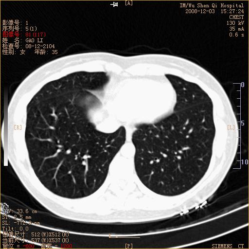
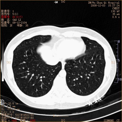
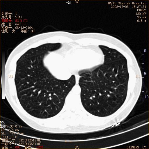
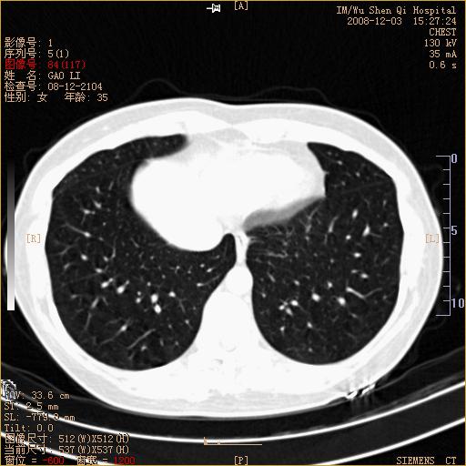
左下肺支扩
[本贴已被 杀毒软件 于 2008-12-3 18:34:39 修改过]
作者: ptxz111 时间: 2008-12-4 02:04
支持支扩
作者: 王仕学 时间: 2008-12-4 02:26
支持支扩
作者: 玉真 时间: 2008-12-4 02:56
典型“印戒征”。
作者: hongtao 时间: 2008-12-4 02:59
支持支扩
作者: yulong 时间: 2008-12-4 03:04
支扩没问题
作者: laolang 时间: 2008-12-4 03:30
印戒征,支持支扩.
作者: wxn112233 时间: 2008-12-4 03:51
感觉不要紧!!
作者: 光线 时间: 2008-12-4 03:53
支扩
作者: adams 时间: 2008-12-4 03:57
左下肺扩支
作者: xulianj 时间: 2008-12-4 04:33
支持支扩
作者: 黑白光影 时间: 2008-12-4 05:25
支持 楼主
作者: zjzjr 时间: 2008-12-4 05:45
支持支扩
作者: zsl6918 时间: 2008-12-4 05:47
不是十分典型。
作者: 随光逐影 时间: 2008-12-4 16:46
未见明确异常。
作者: guoanwei2008 时间: 2008-12-6 03:24
印戒征,支扩
| 欢迎光临 医影在线 (http://bbs.radida.com/bbs/) |
Powered by Discuz! X3.2 |