医影在线

标题: CT16904:M20,发现腹部肿物二月 [打印本页]

作者: lusiaba    时间: 2008-12-4 04:18
标题: CT16904:M20,发现腹部肿物二月
(结果公布:http://www.radida.com/bbs/forum.php?mod=viewthread&tid=47436
m20,发现腹部肿物二月.











[本贴已被 jiajie 于 2008-12-10 10:51:38 修改过]

作者: 余辉    时间: 2008-12-4 04:27
暂考虑肠囊性淋巴瘤或间质瘤囊变伴瘤内出血
作者: 朱亮    时间: 2008-12-4 04:38
腹膜后肿瘤?畸胎瘤?
作者: zjzjr    时间: 2008-12-4 04:39
考虑空肠间质瘤可能性大,不除外肾上腺占或左肾重复畸形伴积水
作者: xulianj    时间: 2008-12-4 04:58
腹膜后肿瘤。恶性可能大。
作者: zsl6918    时间: 2008-12-4 05:06
腹膜后占位性病变,结合病人年龄首先考虑生殖系统肿瘤。不除外血管淋巴管囊肿。
作者: 学医    时间: 2008-12-4 05:15
腹膜后肿瘤
作者: 黑白光影    时间: 2008-12-4 05:59
腹膜后占位性病变,左肾重复畸形伴积水或肾上腺占位不排除。
作者: huangxun4321    时间: 2008-12-4 06:17
无肠梗阻及主动脉受压向前右移位,应该定位于腹膜后肿瘤,囊实性密度,内可见点状钙化影,及出血征象,患者年龄轻,考虑畸胎瘤或生殖细胸胞瘤可能性大.蒙一下.
作者: 拂尘    时间: 2008-12-4 06:49
腹膜后肿瘤
作者: 影像孺子牛    时间: 2008-12-4 06:57
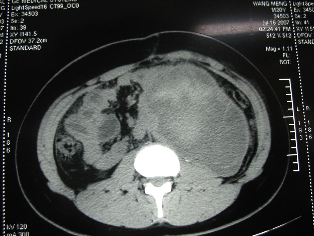
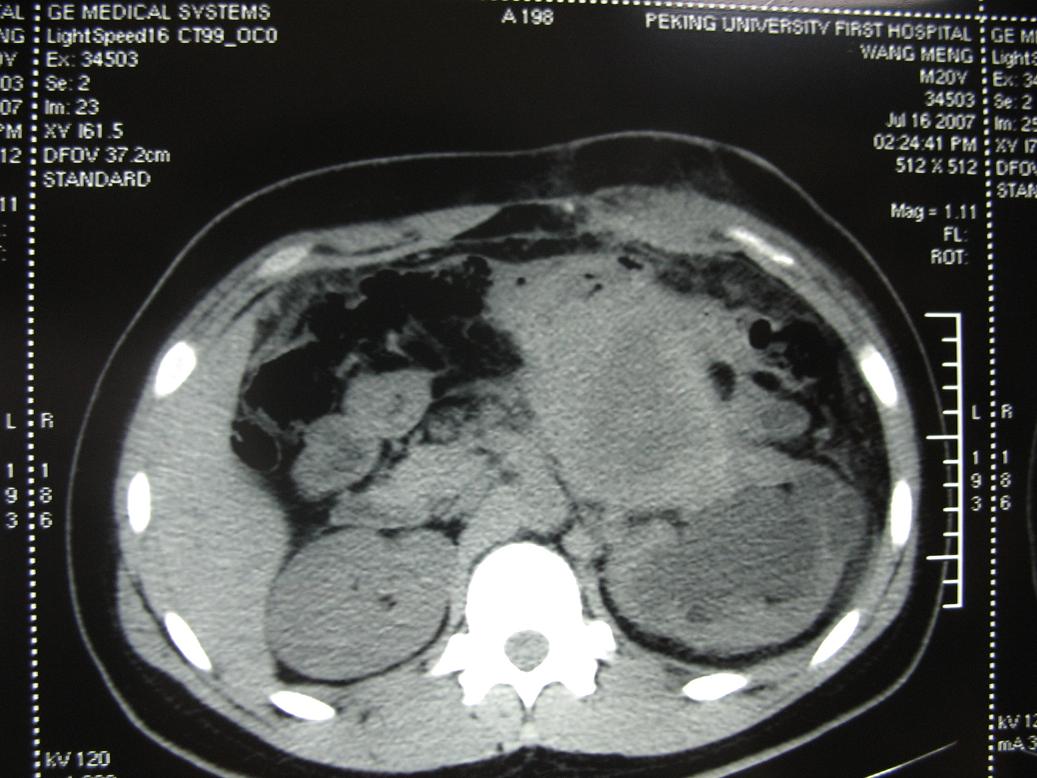
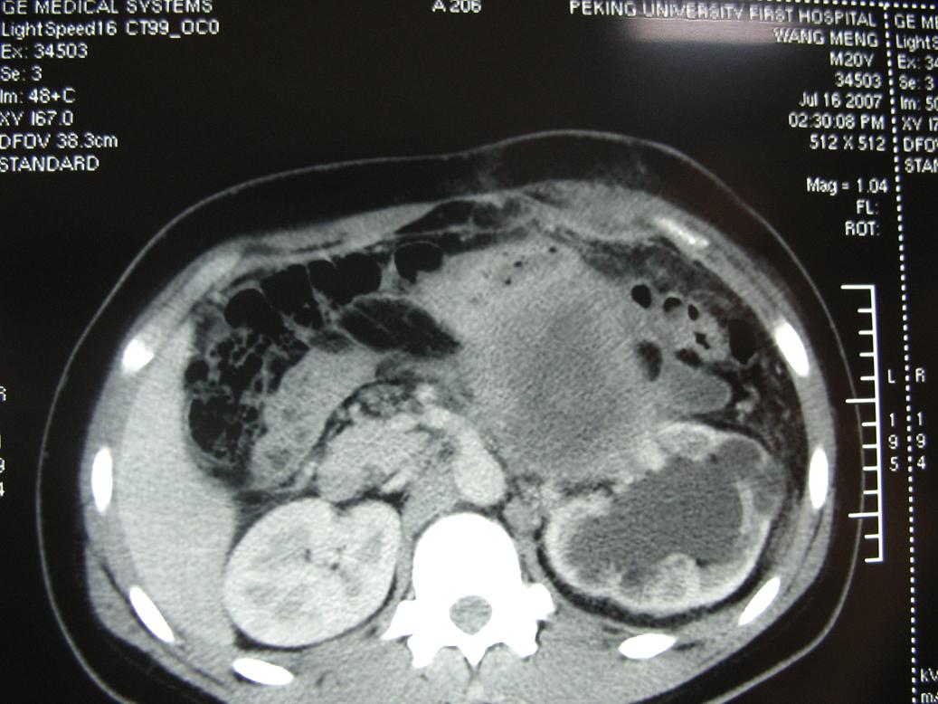
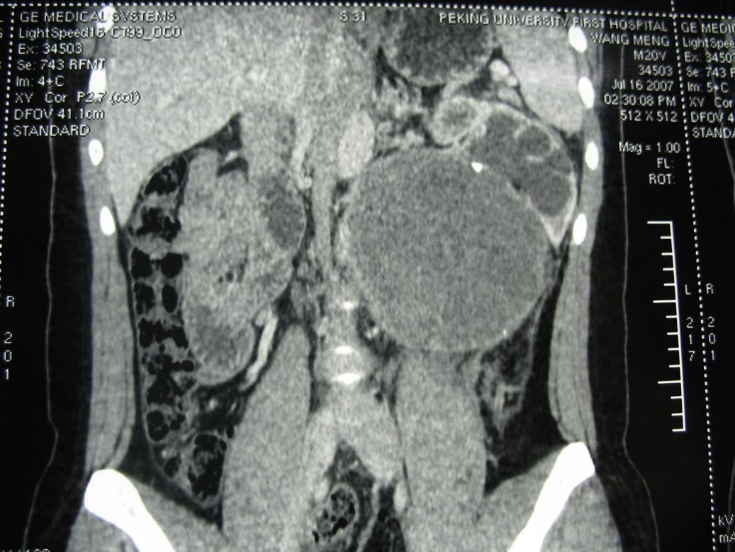
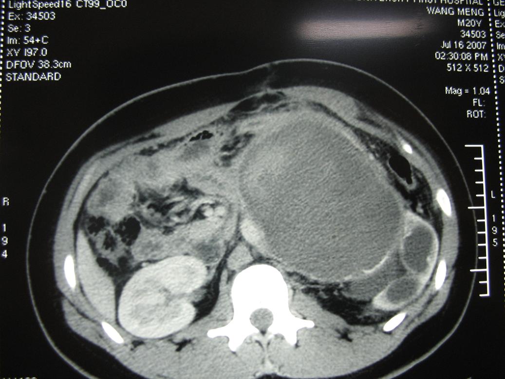
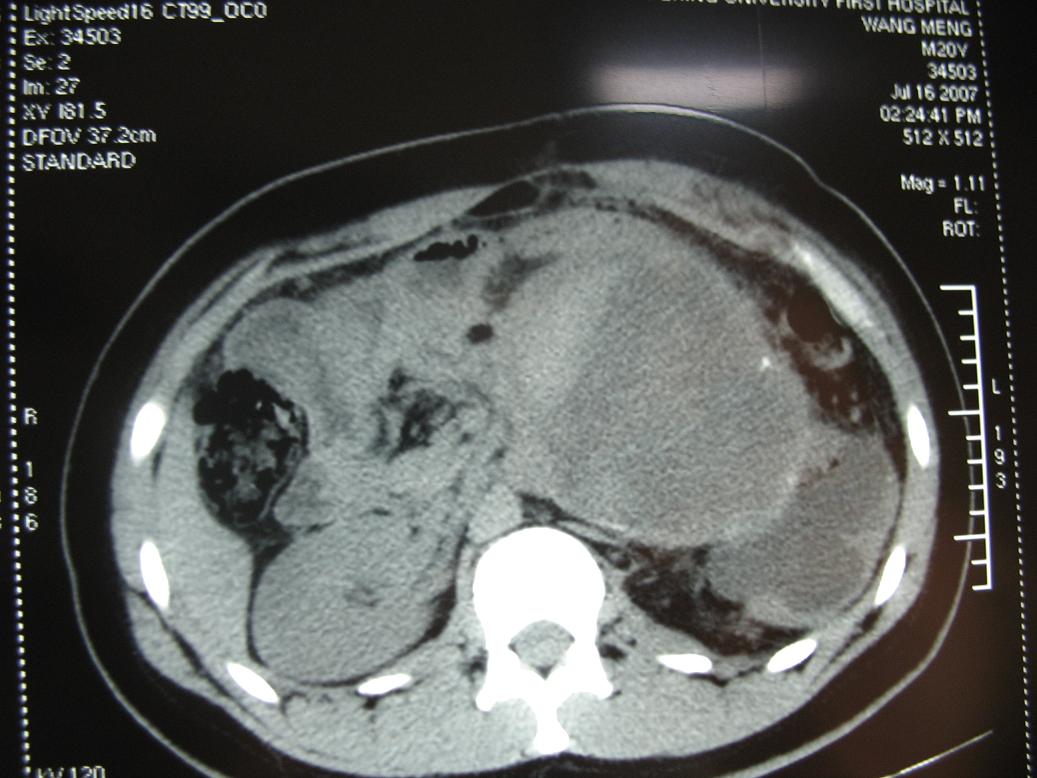
1、m20,发现腹部肿物二月。
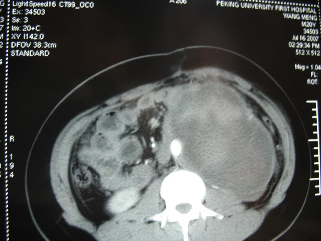
2、左侧腹膜后囊实性占位性病变,有完整包膜,周围脏器及血管呈受压移位改变,左肾积水,肾实质变薄,增强扫描示病变包膜有强化,因图片太少,实性部分是否强化不好判断。
3、诊断:结合病人年龄,左肾改变考肿虑为输尿管受压肾积水时间长,左肾实质萎缩,病变未见明显外侵征象,本人首先考虑为神经源性瘤囊变可能性大。
作者: 悟空    时间: 2008-12-4 07:59
腹膜后来源mt,神经源性可能大
作者: jiangjing    时间: 2008-12-4 08:30
腹膜后占位性病变,结合病人年龄首先肾盂肿瘤。
作者: 卜一    时间: 2008-12-4 14:26
腹膜后占位性病变,左肾重复畸形伴积水或肾上腺占位不排除。  
  
支持!
作者: SOS.LA    时间: 2008-12-4 14:28
输尿管囊肿
作者: 王仕学    时间: 2008-12-4 16:36
腹膜后占位性病变,左肾重复畸形伴积水或肾上腺占位不排除。  
  
支持!
作者: 影象小泰斗    时间: 2008-12-4 17:05
腹膜后肿瘤,考虑间质瘤囊变伴瘤内出血。期待病理结果。
作者: LIAOQIANG    时间: 2008-12-4 17:12
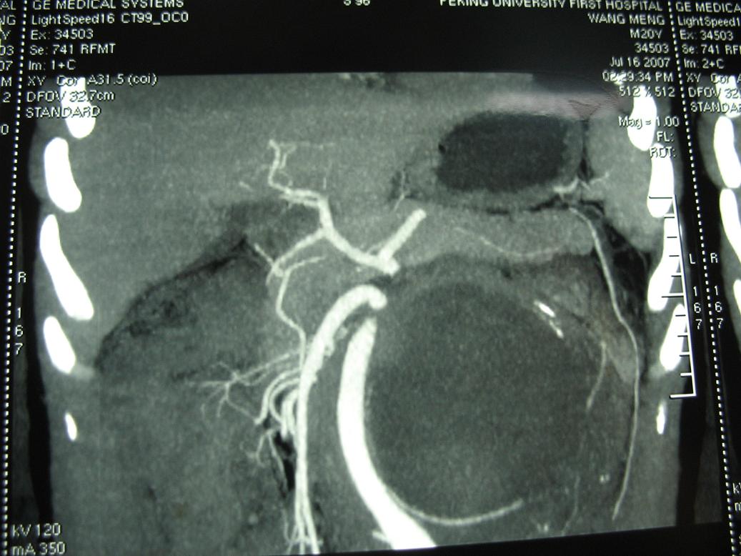
考虑腹后肿瘤,肿瘤前缘与左腹直肌有条状影相连,且左腹直肌和相邻腹膜稍厚,腹主动脉有被包绕改变,提示恶变的可能。
作者: 医影常客    时间: 2008-12-4 17:12
不蒙了,期待结果
作者: xinliheng001    时间: 2008-12-4 18:03
定位肿瘤在腹膜后没问题,包膜完整与左肾门及腹主动脉关系密切。腹膜后未见明确异常增大淋巴结,左肾积水增大,但要考虑肠间质瘤就不是腹膜后的了,手术至少要普外和泌尿外科协作,术前必须把肿瘤血供再搞清楚一点才行,肿瘤性质和组织学来源是病理的事,之后影像再回头学习。
作者: 光影相伴    时间: 2008-12-4 18:21
膜后占位性病变,左肾重复畸形伴积水不排除。支持。
作者: ydx_74    时间: 2008-12-4 19:21
左肾重复畸形伴积水可能大
作者: sdzyy    时间: 2008-12-4 19:28
腹膜后肿瘤,神经源性可能大,肉瘤待排.
作者: guanaishengming    时间: 2008-12-4 20:40
腹膜后占位性病变
作者: huenhao    时间: 2008-12-4 20:43
腹膜后占位性病变,结合病人年龄首先考虑生殖系统肿瘤。不除外血管淋巴管囊肿。支持!
作者: 随光逐影    时间: 2008-12-4 20:44
1)考虑左侧腹膜后恶性肿瘤(肉瘤?)伴瘤体内出血。2)左肾积水。
作者: lisihao    时间: 2008-12-4 20:44
要仔细追问病史,有没有外伤史,排斥尿外渗
作者: 同    时间: 2008-12-4 20:45
考虑 腹膜后恶性肿瘤可能性大.
作者: scdlc2008    时间: 2008-12-4 21:17
左肾重复畸形伴积水可能性大.
作者: 358450m    时间: 2008-12-4 21:35
标题: 回复:ct16904:m20,发现腹部肿物二月
以下是引用zjzjr在2008-12-3 20:39:00的发言:[br]考虑空肠间质瘤可能性大,不除外肾上腺占或左肾重复畸形伴积水

作者: dengkai    时间: 2008-12-5 00:20
考虑空肠间质瘤可能性大,不除外肾上腺占或左肾重复畸形伴积水
作者: lusiaba    时间: 2008-12-10 05:50
标题: 回复:ct16904:m20,发现腹部肿物二月

作者: zsl6918    时间: 2008-12-10 16:11
不典型。
作者: 黑白光影    时间: 2008-12-10 17:14
嗜铬细胞瘤!结果收到。
作者: sn4187189    时间: 2008-12-10 19:55
强化较难支持
作者: 影像孺子牛    时间: 2008-12-10 22:58
嗜铬细胞瘤!结果收到。

不典型。
作者: yixianman001011    时间: 2008-12-11 04:34
定位于腹膜后,首先考虑精原细胞瘤,神经源性肿瘤待排
作者: 拾荒者    时间: 2008-12-11 06:58
结果收到,肿块较大,密度不均,实性部分有强化,包绕腹主动脉推挤左肾,左肾集合系统受压改变,病灶长轴与腹主动脉平行,支持副神经节瘤,但不典型。
作者: sdzyy    时间: 2008-12-11 19:54
谢谢楼主反馈,
作者: scdlc2008    时间: 2008-12-11 21:00
不典型
作者: pujunzhi    时间: 2008-12-12 07:47
谢谢!学习了!
作者: judc    时间: 2008-12-24 01:18
嗜铬细胞瘤?临床上应该有表现啊?问过临床病史了吗?
作者: 放射熊    时间: 2008-12-24 01:40
他的前腹壁脂肪组织内,怎么会有条形的略高密度影,那是什么???
作者: zxczxc    时间: 2010-5-27 00:29
异位嗜铬细胞瘤。
作者: ZHONGXINMR    时间: 2010-5-30 02:13
有手术史,应该再详细问一下相关病史




欢迎光临 医影在线 (http://bbs.radida.com/bbs/) Powered by Discuz! X3.2