医影在线

标题: CT16930:女 59 胸痛6个月 胸水脱落细胞学见瘤细胞 [打印本页]

作者: 叶子123    时间: 2008-12-5 18:33
标题: CT16930:女 59 胸痛6个月 胸水脱落细胞学见瘤细胞































































[本贴已被 jiajie 于 2008-12-5 11:04:49 修改过]

作者: 余辉    时间: 2008-12-5 18:51
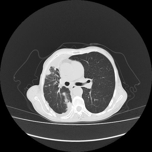
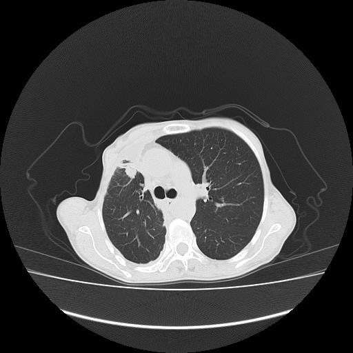
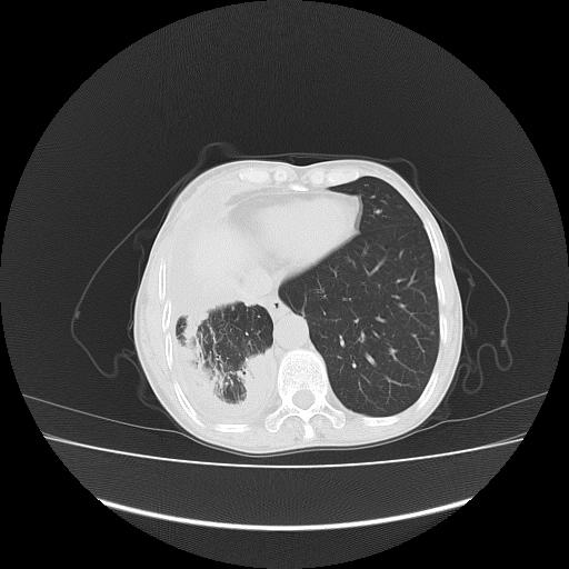
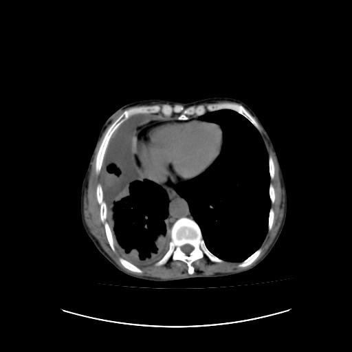
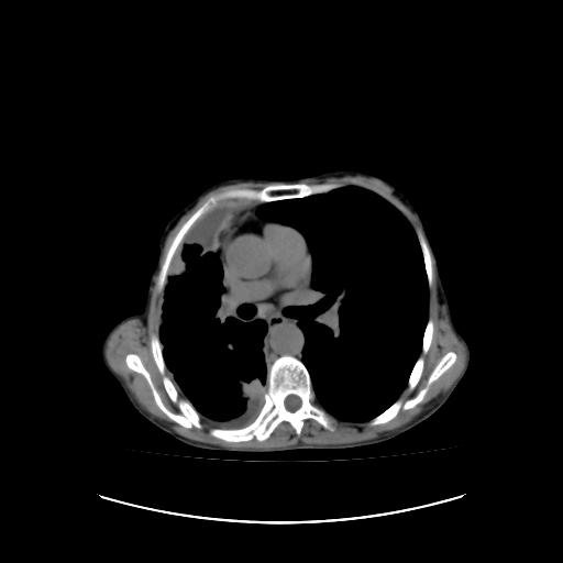
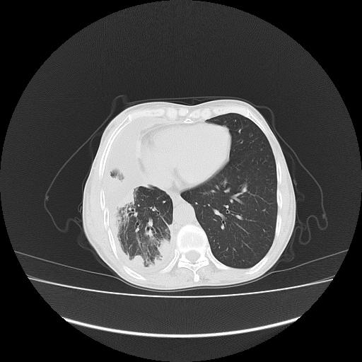
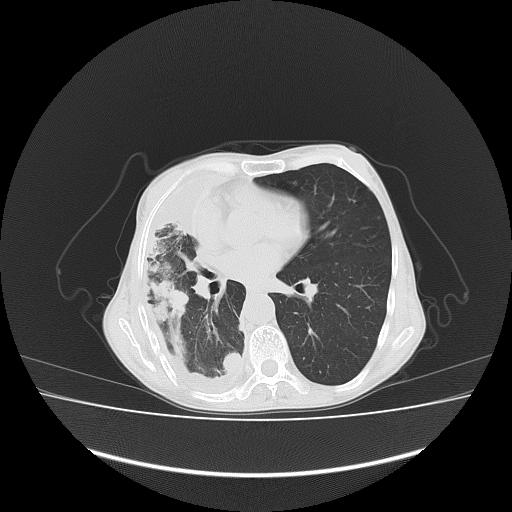
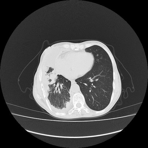
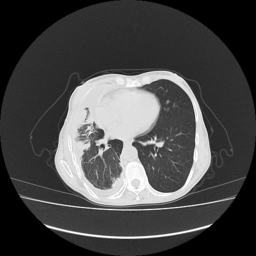
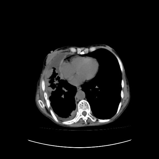
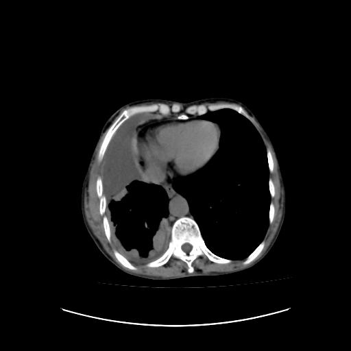
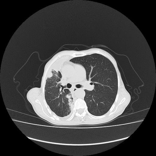
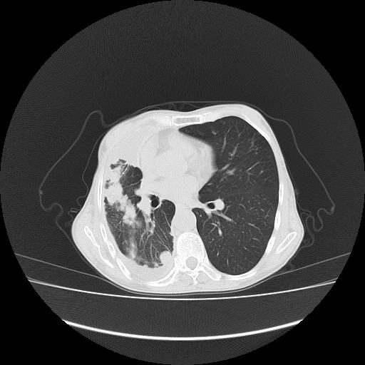
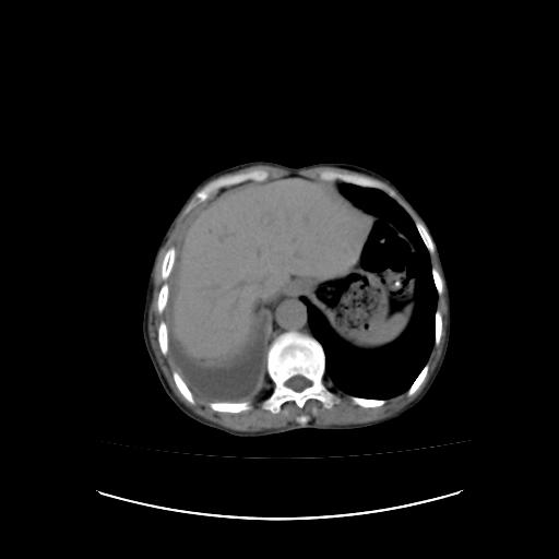
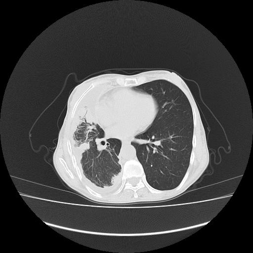
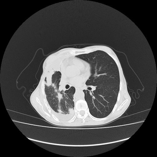
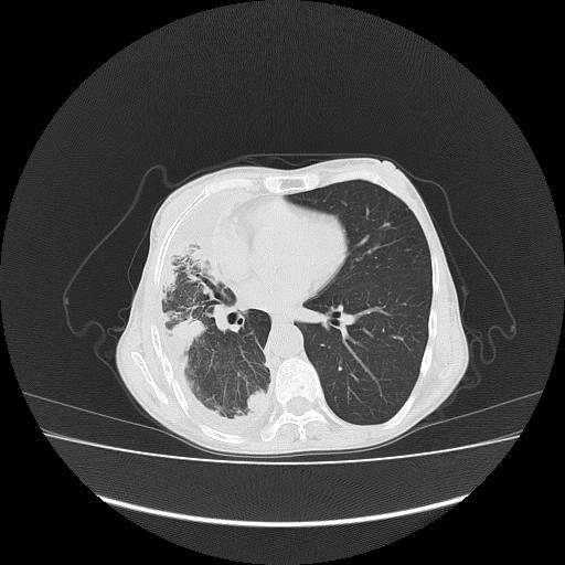
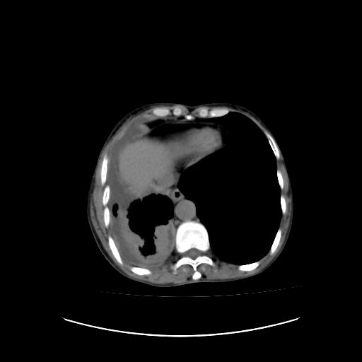
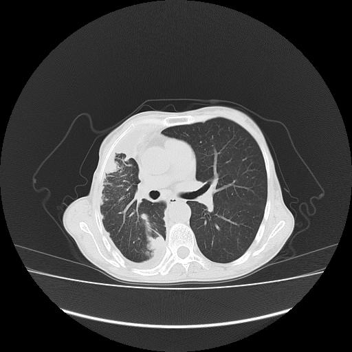
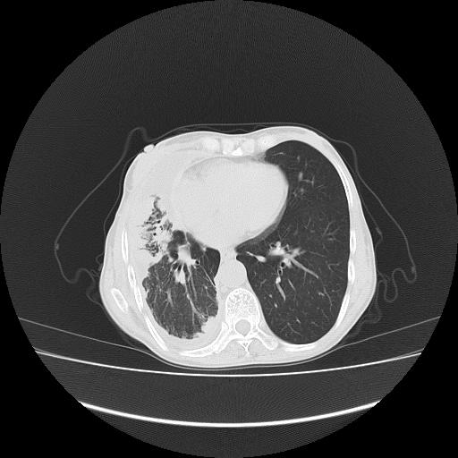
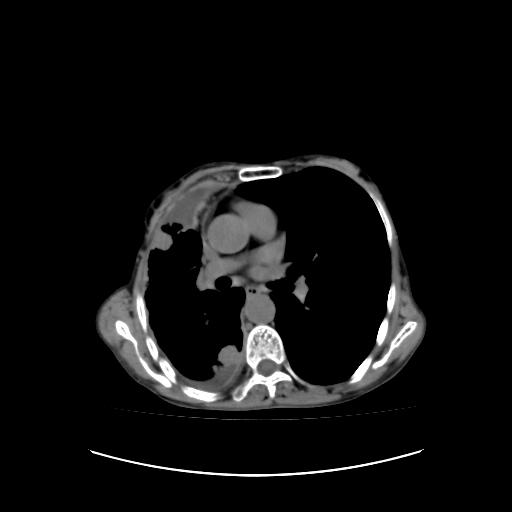
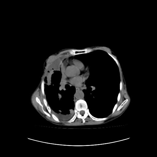
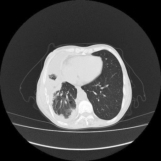
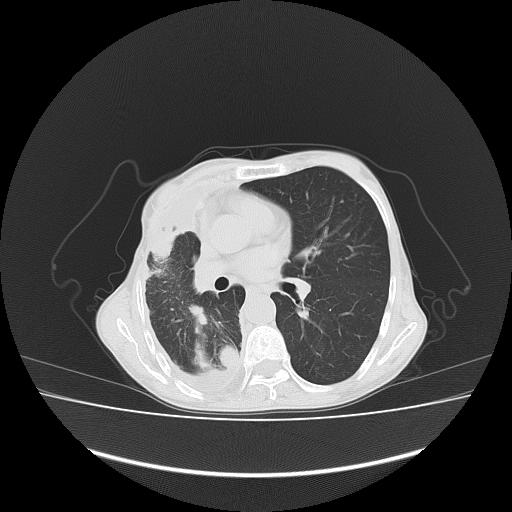
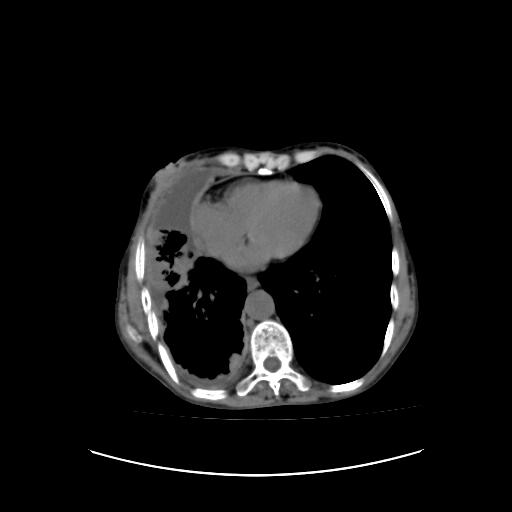
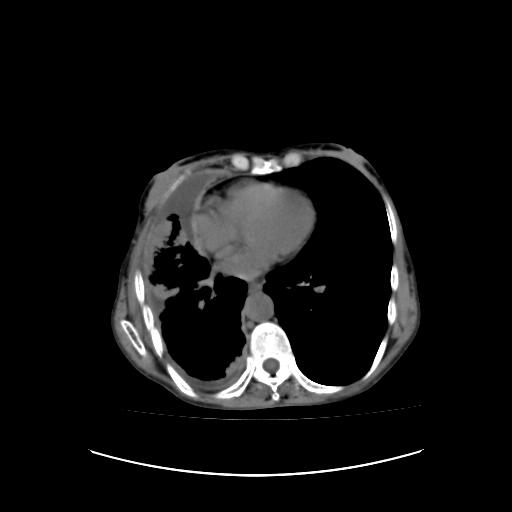
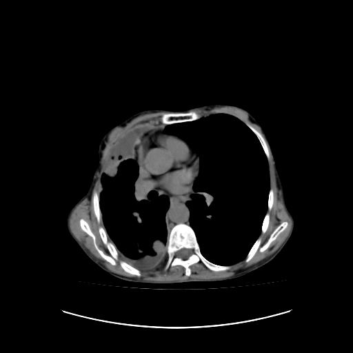
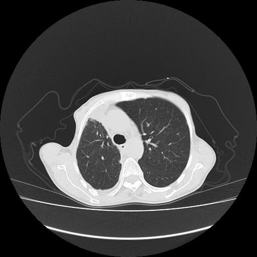
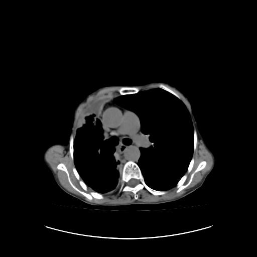
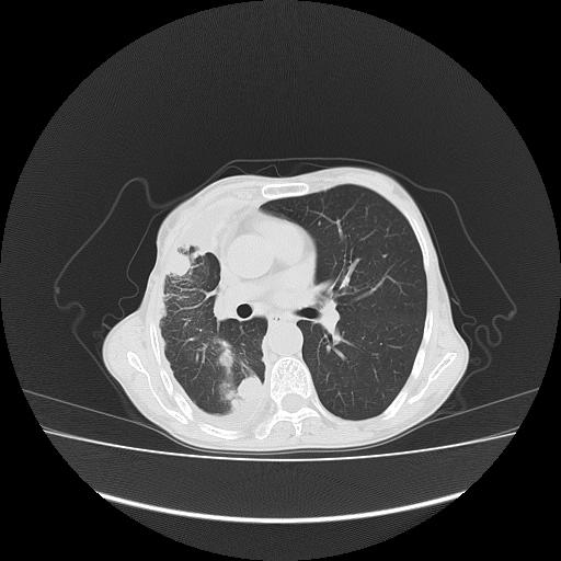
可见多发肺内病灶,且胸膜病灶较多有圆球状而非丘状,多考虑胸膜转移瘤伴胸腔积液,右侧胸廓缩小固定,且部分病灶呈丘状,尚不除外恶性胸膜间皮瘤伴肺内转移
作者: LIAOQIANG    时间: 2008-12-5 18:54
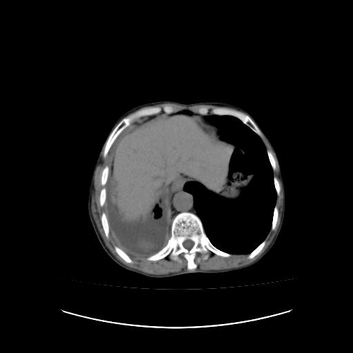
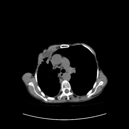
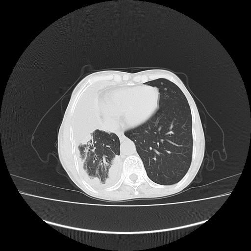
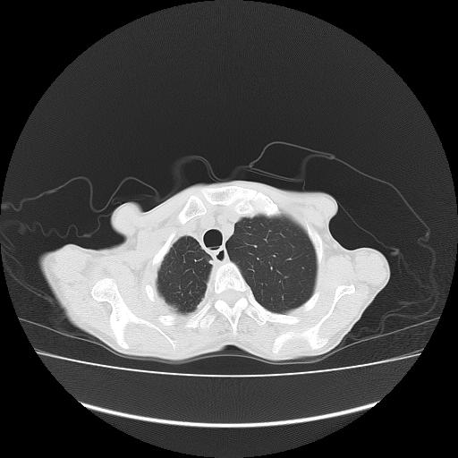
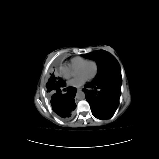
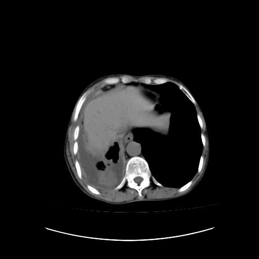
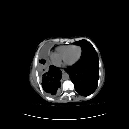
右侧胸膜增厚,局部呈结节状增厚,右侧胸腔少量积液。双肺未见确切肿块影。纵隔未见淋巴结肿大。气管、支气管通畅。考虑右侧胸膜间皮瘤(恶性?)可能性大。不除外癌性胸膜炎。
作者: zjzjr    时间: 2008-12-5 19:48
标题: 回复:ct16930:女 59 胸痛6个月 胸水脱落细胞学见瘤细胞
以下是引用余辉在2008-12-5 10:51:00的发言:[br]可见多发肺内病灶,且胸膜病灶较多有圆球状而非丘状,多考虑胸膜转移瘤伴胸腔积液,右侧胸廓缩小固定,且部分病灶呈丘状,尚不除外恶性胸膜间皮瘤伴肺内转移

作者: sdzyy    时间: 2008-12-5 20:08
恶性胸膜间皮瘤伴肺内转移可能性大;或胸膜、肺内均为转移瘤,左肺下叶亦见多发小结节影。
作者: dengkai    时间: 2008-12-5 21:00
右侧胸膜增厚,局部呈结节状增厚,右侧胸腔少量积液。双肺未见确切肿块影。纵隔未见淋巴结肿大。气管、支气管通畅。考虑右侧胸膜间皮瘤(恶性?)可能性大。不除外癌性胸膜炎。
作者: 流浪星    时间: 2008-12-5 21:47
可见多发肺内病灶,且胸膜病灶较多有圆球状而非丘状,多考虑胸膜转移瘤伴胸腔积液,右侧胸廓缩小固定,且部分病灶呈丘状,尚不除外恶性胸膜间皮瘤伴肺内转移
作者: 影像孺子牛    时间: 2008-12-5 21:57
符合:恶性胸水的表现。多考虑恶性胸膜间皮瘤。
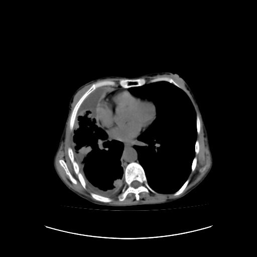
  右侧胸廓塌陷,右侧胸膜广泛增厚并见多发胸膜结节,右侧少量胸腔积液并包裹。
作者: liuyue    时间: 2008-12-5 22:44
先考虑:考虑恶性胸膜间皮瘤.
作者: yangyudong333    时间: 2008-12-5 23:01
先考虑:考虑恶性胸膜间皮瘤.
作者: 卜一    时间: 2008-12-5 23:47
右侧广泛胸膜增厚,局部呈结节状增厚,右侧胸腔少量积液。双肺未见确切肿块影。纵隔未见淋巴结肿大。气管、支气管通畅。考虑右侧胸膜间皮瘤(恶性?)可能性大。支持!
作者: zsl6918    时间: 2008-12-6 00:25
右侧胸膜转移瘤,原发灶可能就在在右肺,另外建议检查右侧乳腺.
作者: 随光逐影    时间: 2008-12-6 01:55
右侧恶性胸膜间皮瘤可能性大。
作者: xulianj    时间: 2008-12-6 02:43
支持考虑:考虑恶性胸膜间皮瘤.
作者: 医影常客    时间: 2008-12-6 03:22
考虑恶性胸膜间皮瘤.支持
作者: 朱亮    时间: 2008-12-6 04:01
胸膜转移瘤  包裹性胸腔积液  肺内转移
作者: pujunzhi    时间: 2008-12-6 04:47
胸膜转移瘤或间皮瘤伴胸腔积液 。
作者: panyishengct    时间: 2008-12-6 06:48
右胸腔结节均考虑来自胸膜(部分来源于叶裂),考虑胸膜间皮瘤或转移瘤.
作者: 黑白光影    时间: 2008-12-6 19:36
考虑恶性胸膜间皮瘤




欢迎光临 医影在线 (http://bbs.radida.com/bbs/) Powered by Discuz! X3.2