














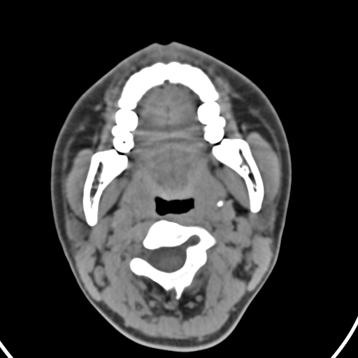
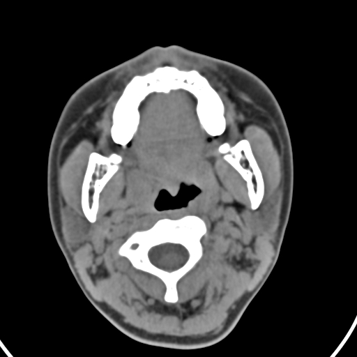
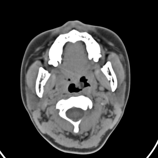
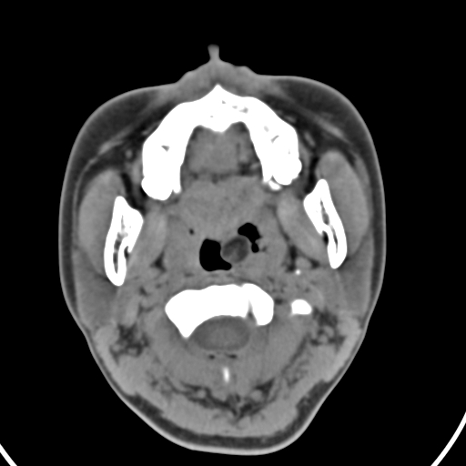
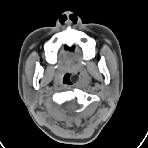
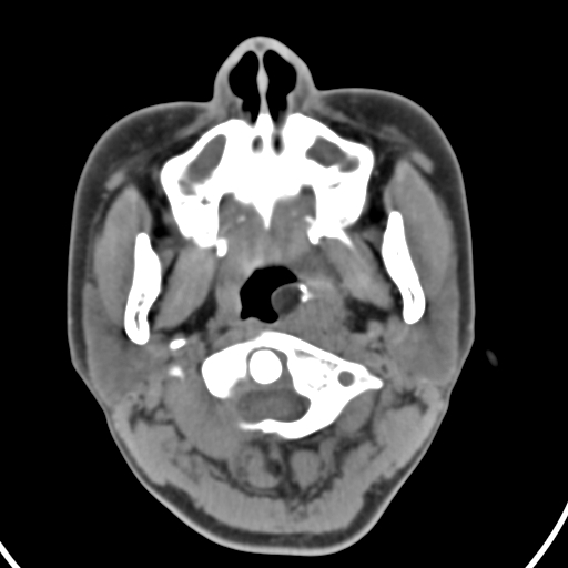
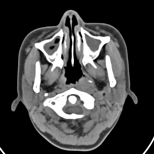
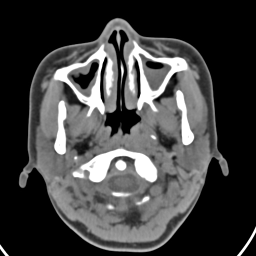
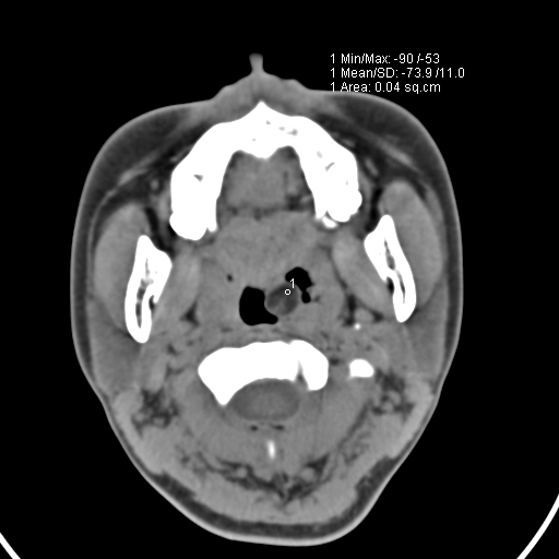
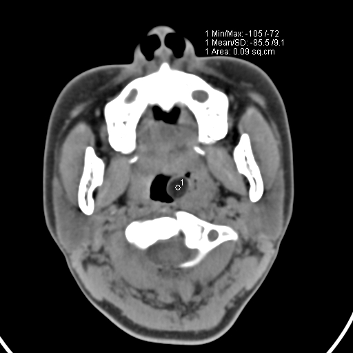
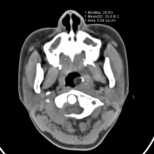
以下是引用zjzjr在2008-12-5 11:46:00的发言:[br]脂肪密度,壁有钙化.考虑口咽部皮样囊肿可能性大.双侧上颌窦炎,双侧下鼻甲粘膜肥厚.增殖腺肥大,扁桃体亦增大,考虑炎性.
以下是引用随光逐影在2008-12-5 18:27:00的发言:[br]1)考虑左侧茎突过长综合征并茎突舌骨韧带囊肿形成突入咽部;左侧咽部慢性炎症。2)鼻咽腺样体肥大。3)双侧扁桃体肿大。4)双侧上颌窦炎。5)双侧下鼻甲粘膜肥厚。
| 欢迎光临 医影在线 (http://bbs.radida.com/bbs/) | Powered by Discuz! X3.2 |