医影在线

标题: PED1672:女 5岁 足底部局部红肿。请会诊 [打印本页]

作者: fsk_2023    时间: 2008-12-6 20:08
标题: PED1672:女 5岁 足底部局部红肿。请会诊
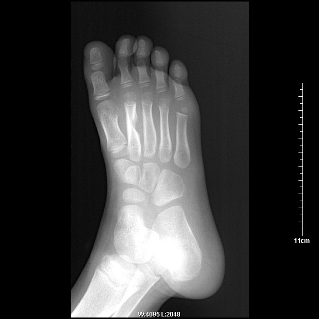
女 5岁  足底部(三、四跖骨处)针刺二月余,现局部红肿。




[本贴已被 jiajie 于 2008-12-6 14:40:21 修改过]

作者: 杀毒软件    时间: 2008-12-6 20:26
考虑-----慢性化脓性骨髓炎可能性大
作者: zsl6918    时间: 2008-12-6 21:50
急性感染
作者: qsbaomingcheng    时间: 2008-12-7 00:29
考虑-----慢性化脓性骨髓炎可能性大
作者: 同    时间: 2008-12-7 01:05
考虑 慢性化脓性骨髓炎可能性大.
作者: dyqct    时间: 2008-12-7 01:16
考虑 .第二跖骨慢性化脓性骨髓炎可能性大.
作者: 王仕学    时间: 2008-12-7 01:45
考虑 慢性化脓性骨髓炎可能性大.
作者: 随光逐影    时间: 2008-12-7 03:48
标题: 回复:ped1672:女 5岁 足底部局部红肿。请会诊
以下是引用dyqct在2008-12-6 17:16:00的发言:[br]考虑 .第二跖骨慢性化脓性骨髓炎可能性大.

作者: jiangjing    时间: 2008-12-7 04:04
考虑 慢性化脓性骨髓炎可能性大
作者: 余辉    时间: 2008-12-7 04:12
标题: 回复:ped1672:女 5岁 足底部局部红肿。请会诊
以下是引用dyqct在2008-12-6 17:16:00的发言:[br]考虑 .第二跖骨慢性化脓性骨髓炎可能性大.

作者: 张XYZ    时间: 2008-12-7 04:53
慢性骨髓炎
作者: zjzjr    时间: 2008-12-8 01:15
考虑 .第二跖骨慢性化脓性骨髓炎可能性大.
作者: hguox    时间: 2008-12-8 02:42
考虑 .第二跖骨慢性化脓性骨髓炎可能性大.
作者: andy_wang    时间: 2008-12-8 03:48
局部骨皮质增厚,密度增高。病史2月以上。应该首先考虑低毒性感染。同意大家意见。
作者: LIAOQIANG    时间: 2008-12-8 22:36
考虑第二跖骨慢性化脓性骨髓炎可能性大。
作者: 郭凯    时间: 2008-12-10 22:26
标题: 回复:ped1672:女 5岁 足底部局部红肿。请会诊
以下是引用dyqct在2008-12-6 17:16:00的发言:[br]考虑 .第二跖骨慢性化脓性骨髓炎可能性大.

作者: scdlc2008    时间: 2008-12-12 05:47
考虑 .第二跖骨慢性化脓性骨髓炎可能性大.
作者: 江广1996    时间: 2008-12-12 06:11
支持.
作者: 战神金刚    时间: 2008-12-12 23:30
慢性化脓性骨髓炎
作者: jinguoji    时间: 2009-4-8 21:16
第二跖骨慢性化脓性骨髓炎可能性大.




欢迎光临 医影在线 (http://bbs.radida.com/bbs/) Powered by Discuz! X3.2