医影在线

标题: CT16957:F56Y,这是先天性肺囊肿,还是支气管扩张??? [打印本页]

作者: 徐中佑    时间: 2008-12-7 00:13
标题: CT16957:F56Y,这是先天性肺囊肿,还是支气管扩张???
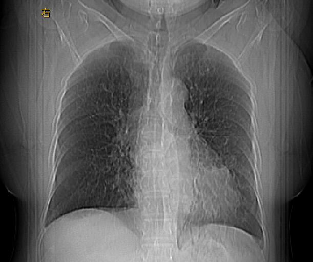
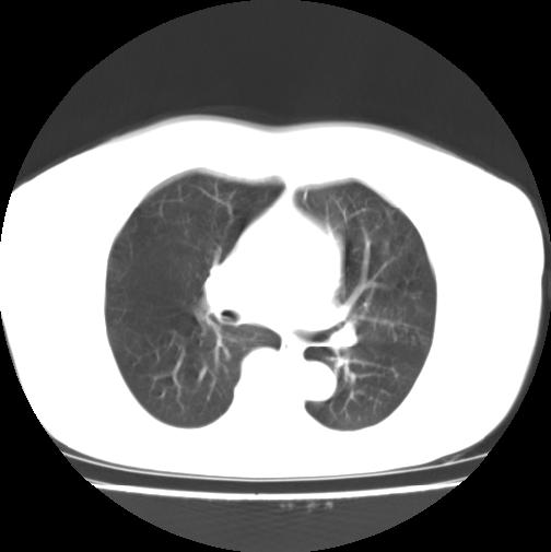
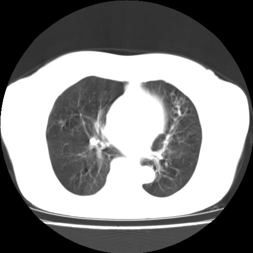
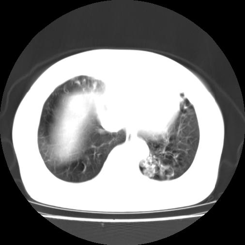
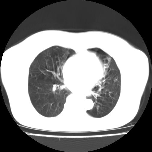
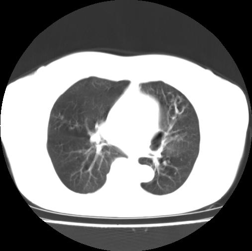
女性病人,56岁,反复咳喘30余年,伴大量脓痰,偶有痰中带血。
此病例在科室里有较大的争议,我认为是先天性肺囊肿(理由是:两者起病年龄都较轻,都有咯血及脓痰的症状,而先天性肺囊肿壁薄;而支扩的囊腔旁一般都能看到伴行的血管影,形成“印戒”征)。以上为个人的意见,请高手们指点一下。















[本贴已被 jiajie 于 2008-12-6 19:45:41 修改过]

作者: zsl6918    时间: 2008-12-7 00:20
应该是支气管扩张并感染的表现
作者: 朱亮    时间: 2008-12-7 00:31
应该是支气管扩张并感染   沿血管分布
作者: hguox    时间: 2008-12-7 01:03
应该是支气管扩张并感染的表现
作者: 宇宙CT    时间: 2008-12-7 01:09
是支气管扩张并感染
作者: zjb    时间: 2008-12-7 01:19
应该是支气管扩张并感染的表现
作者: 同    时间: 2008-12-7 01:23
支气管扩张伴感染可能性大.
作者: 王仕学    时间: 2008-12-7 01:35
支气管扩张伴感染可能性大.
作者: dsl555    时间: 2008-12-7 02:08
囊状支气管扩张伴感染可能性大.
作者: 卜一    时间: 2008-12-7 02:32
支气管扩张并感染!支持!
作者: zhao_bin2008    时间: 2008-12-7 02:35
支持支气管扩张并感染,肺囊肿一般有较完整的囊壁。。。
作者: 老爱克斯    时间: 2008-12-7 02:42
影像符合支气管扩张伴感染,先天肺囊肿壁薄,而后天支扩因反复感染壁多较厚,有慢性支气管炎病史。最后诊断靠病理,先天肺囊肿的囊内无尘埃。
作者: 影象小泰斗    时间: 2008-12-7 03:17
支气管扩张并感染!!!
作者: 随光逐影    时间: 2008-12-7 03:30
支气管扩张并感染。
作者: hyhxn    时间: 2008-12-7 03:39
支扩并感染可能性大.
作者: liuyue    时间: 2008-12-7 03:40
先考虑:支扩.
建议:薄层扫描.
作者: 医影常客    时间: 2008-12-7 03:43
支持支气管扩张并感染        肺囊肿 肺大泡 肺气囊肿及感染性肺气囊肿不像
作者: xulianj    时间: 2008-12-7 04:53
支气管扩张并感染!支持!
作者: jiangjing    时间: 2008-12-7 05:02
支气管扩张并感染!支持!
作者: lkc8963    时间: 2008-12-7 05:14
本例应为支气管扩张并感染,与囊肿区别在于其大小,分布,壁改变,与肺动脉关系,形态等来鉴别,要点大家都说得差不多了,囊肿要大些,分散些,靠外围一些,而支扩靠内一些,聚拢些,小一些且易聚拢呈葡萄状,不能单从囊壁厚度来评价,特别是有粘液栓类的改变更加支持支扩,有时支扩亦与囊肿混在一起并存.个人意见仅供参考.
作者: 黑白光影    时间: 2008-12-7 05:21
支持支气管扩张并感染。
作者: zjzjr    时间: 2008-12-7 05:43
应该是支气管扩张并感染的表现
作者: 徐中佑    时间: 2008-12-10 03:21
看来大家的意见都很一致啊。
还有不同看法的吗?
作者: huangyinshan    时间: 2008-12-10 03:51
应该是支气管扩张并感染的表现
作者: jzhang21    时间: 2009-1-12 19:01
支气管扩张可以合并肺囊肿




欢迎光临 医影在线 (http://bbs.radida.com/bbs/) Powered by Discuz! X3.2