医影在线

标题: CT16958:肩胛下肌内病变 [打印本页]

作者: zhianxang    时间: 2008-12-7 00:40
标题: CT16958:肩胛下肌内病变
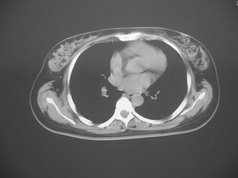
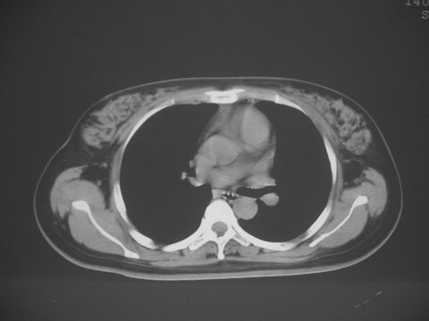
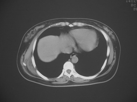
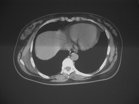
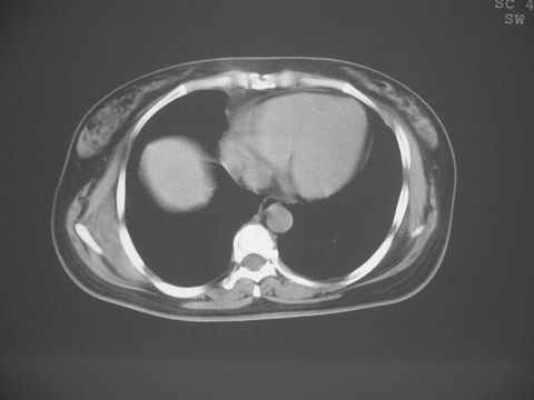
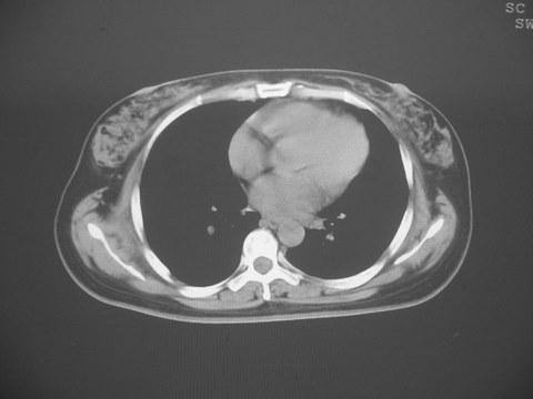
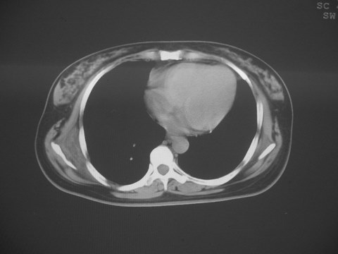
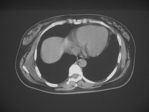
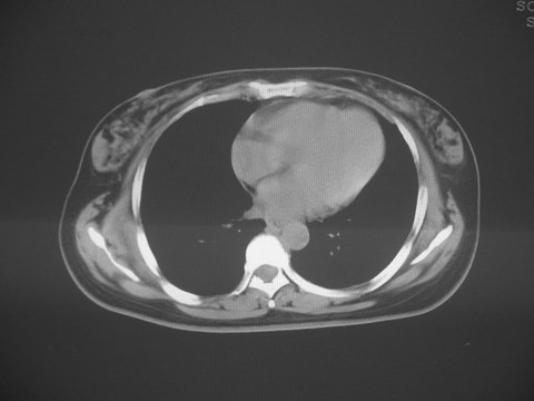
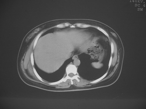
无意中发现右背部肩胛下缘半球状突起,无红,热,痛感觉。拍平片未见异常。ct发现右肩胛下角深层新月型软组织肿胀,ct值-50至15,大家看看是什么性质,来源,初步考虑来源于下后锯肿,考虑下后锯肌肿胀,可是病人无明确外伤史,也不疼痛















[本贴已被 jiajie 于 2008-12-6 19:46:07 修改过]

作者: zsl6918    时间: 2008-12-7 00:43
良性病变,无须管它.
作者: hguox    时间: 2008-12-7 01:09
纤维血管瘤可能性大。
作者: 同    时间: 2008-12-7 01:24
考虑纤维血管瘤可能性大.
作者: 王仕学    时间: 2008-12-7 01:34
支持考虑纤维血管瘤
作者: dsl555    时间: 2008-12-7 02:10
标题: 回复:肩胛下肌内病变
以下是引用同在2008-12-6 17:24:00的发言:[br]考虑纤维血管瘤可能性大.

作者: 医影常客    时间: 2008-12-7 03:48
无症状,观察。积极一点,取病理或??各位战友指点!!
作者: 随光逐影    时间: 2008-12-7 04:09
考虑纤维瘤可能。
作者: wxy7406    时间: 2008-12-7 04:33
做增强mri检查,很有用的,ct平扫价值不大。
作者: jiangjing    时间: 2008-12-7 05:00
考虑纤维瘤可能。
作者: lkc8963    时间: 2008-12-7 05:02
典型的弹性纤维瘤,从部位\\形态\\密度来看均极典型.现引用lzdyjg老师的点评:
一、弹性纤维瘤临床
是一种罕见的良性结缔组织病变,大多数学者认为是肩胛下角和胸壁之间的机械摩擦引起,是异常弹性组织发生的反应性的肿瘤样增生.82-99%的弹性纤维瘤位于肩胛骨下角附近的深部软组织内,也可发生于胸壁,肘部\\颈部\\髋部大腿\\足部\\坐骨结节\\股骨大转子附近.
本病几乎均为55岁以上老年人,女性显著多于男性,以从事繁重的手工劳动者为多见,1/3有家族史,病变多发于右侧.
二、弹性纤维瘤病理
常常呈边界不清橡胶样的灰白色纤维组织其间有小区域的黄色脂肪。肿块大小在2cm至15cm不等。由含有细胞数少的胶原组织和大量弹性纤维及少量粘液样基质和其间成熟的脂肪细胞构成。弹性纤维粗大、强嗜碱性、散在呈线形排列成小球形状成锯齿盘状,后者似串珠。弹性染色大分支或无分支纤维见致密的核及不规则锯齿样边缘。虽然弹性蛋白样物质可由胰弹性蛋白酶预先处理,但较皮肤控制的更难以消化。
三、弹性纤维瘤影像
典型位于背部,在肩胛下角和胸壁软组织之间,肿瘤表面为菱形肌和背阔肌所被覆深部,紧邻肋骨和肋间肌,呈半圆形或扁豆状,宽基底与胸壁相交,边界比较清楚,相邻的肌肉和肋骨无侵蚀,部分病变与其表面的临近肌肉之间可受压呈弧形的脂肪界面,肿瘤周围软组织无水肿。
在se序列上,可呈不均匀性改变,典型病变主要由浓密的结缔组织组成,t1wi、t2wi均与骨骼肌肉信号相似,病变内有散在的脂肪组织,呈线形或曲线形,信号为脂肪信号改变,stir可抑制。病变内可有囊变,t1wi呈低信号,t2wi呈高信号。
从mr表现可以推断ct影像,即肿块呈软组织密度,病灶内可出现脂肪密度的低密度影。

本站有一例请参阅:http://www.radida.com/radinet/read.php?tid=21220
作者: 黑白光影    时间: 2008-12-7 05:16
考虑纤维瘤可能。建议做增强mri检查。
作者: xulianj    时间: 2008-12-7 05:27
支持考虑纤维血管瘤
作者: zjzjr    时间: 2008-12-7 05:40
弹性纤维瘤
作者: 朱亮    时间: 2008-12-7 19:19
考虑纤维瘤可能,建议强化,或穿刺活检
作者: zhianxang    时间: 2008-12-8 00:02
标题: 回复:ct16958:肩胛下肌内病变
11楼 谢谢了 学习了,不管是不是觉得你说的有道理,病人我会随访,有结果我会上传
作者: zhianxang    时间: 2008-12-8 00:24
大家注意下 这个病人有乳腺增生,和肩胛下病变没什么关系,但ct下发现乳腺增生的好象不多,因为她有乳腺增生病史,所以才有所注意
作者: 不学无术    时间: 2008-12-8 01:49
边界清,良性,考虑肌纤维瘤可能。
作者: 987654zwf    时间: 2008-12-8 02:52
考虑纤维瘤可能。
作者: jzhang21    时间: 2009-1-12 18:55
lkc8963坛主分析的好




欢迎光临 医影在线 (http://bbs.radida.com/bbs/) Powered by Discuz! X3.2