医影在线

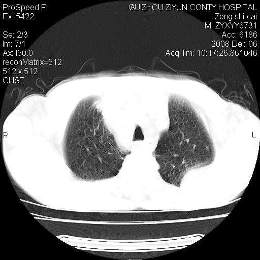
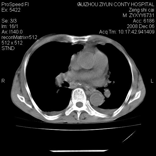
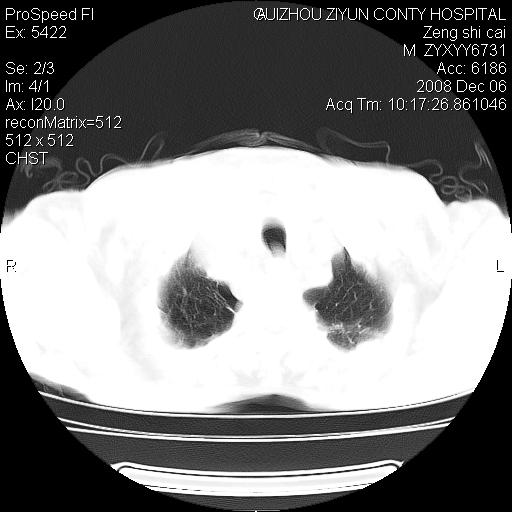
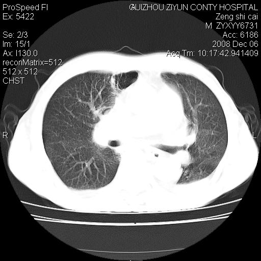
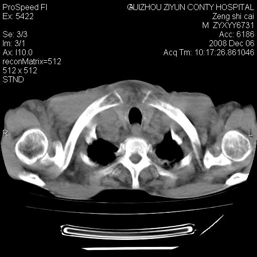
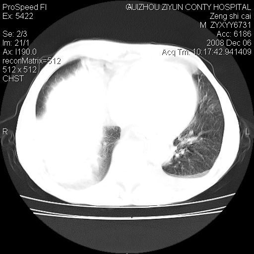
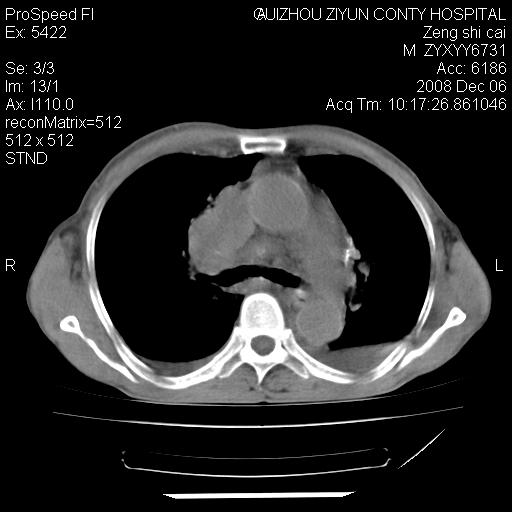
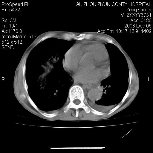
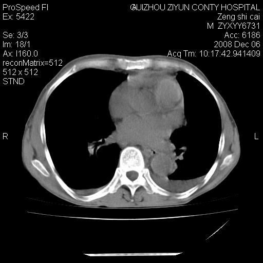
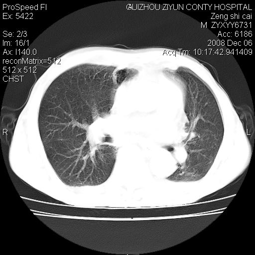
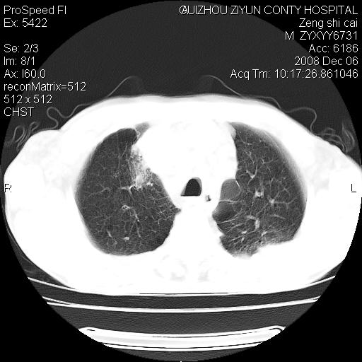
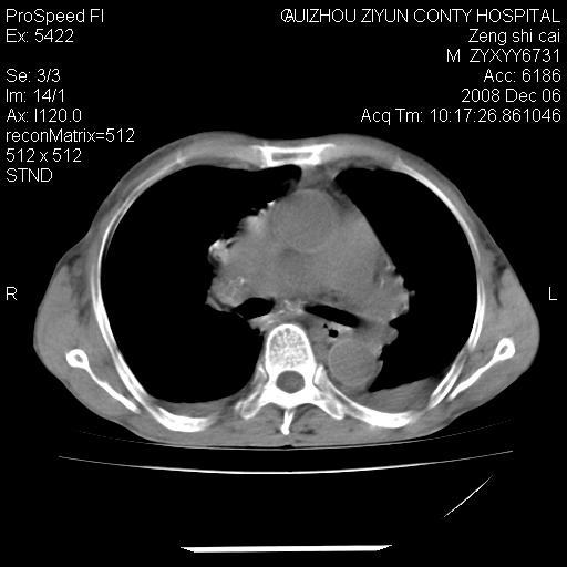
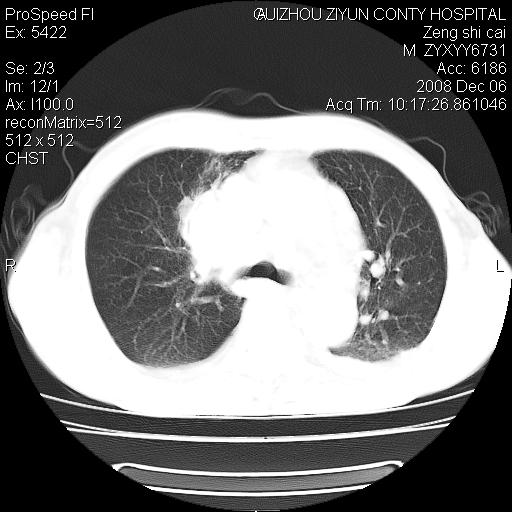
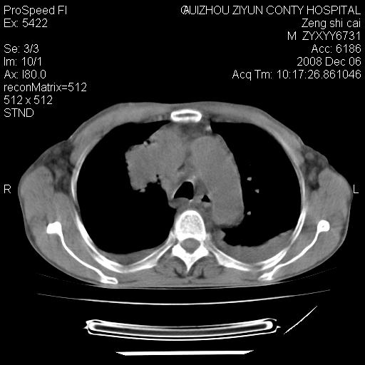
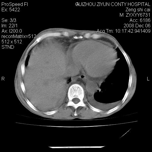
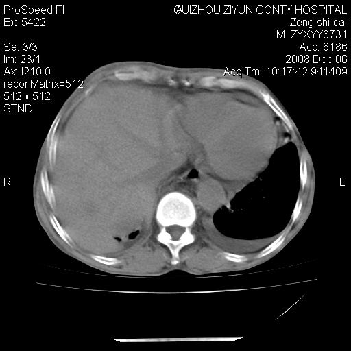
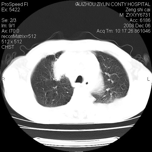
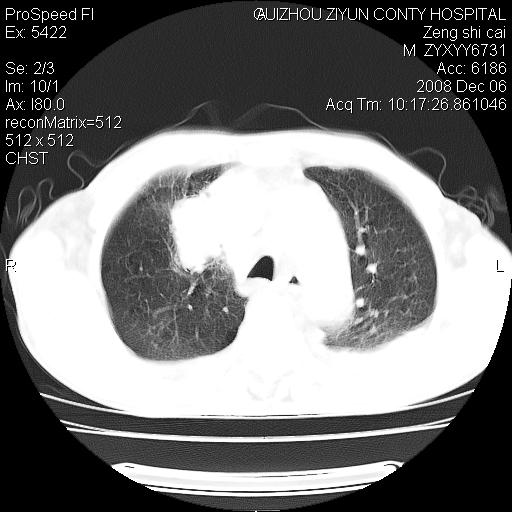
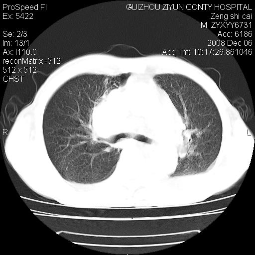
标题: CT16961:M、71岁,咳嗽半年,无血痰;胸片示右肺占位。 [打印本页]

作者: 王仕学    时间: 2008-12-7 01:31
标题: CT16961:M、71岁,咳嗽半年,无血痰;胸片示右肺占位。


























































[本贴已被 jiajie 于 2008-12-6 19:48:12 修改过]

作者: zjb    时间: 2008-12-7 01:51
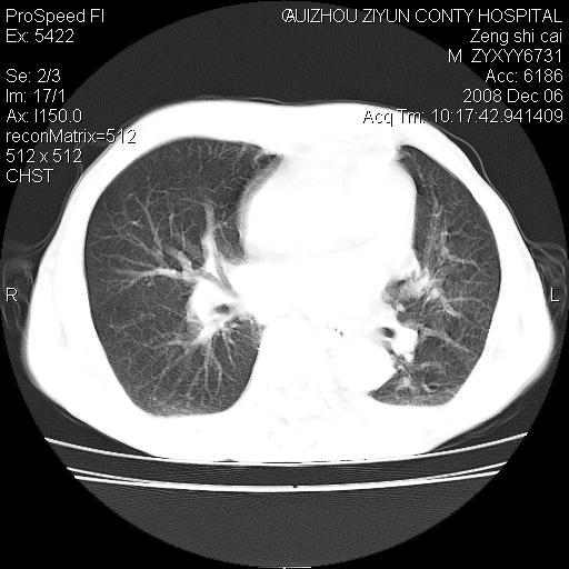
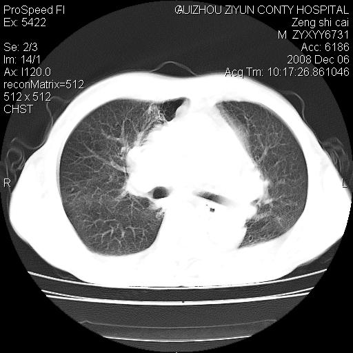
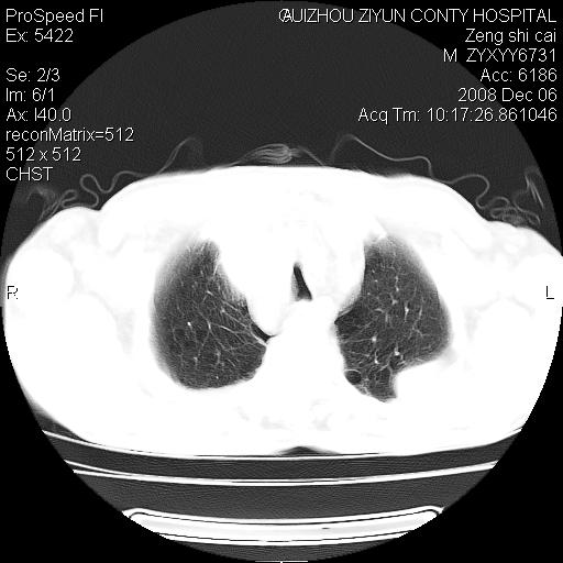
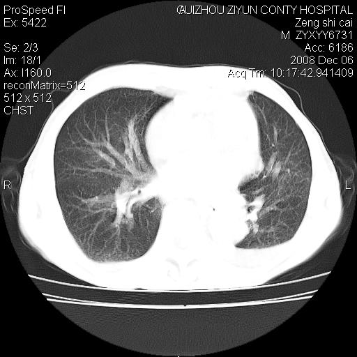
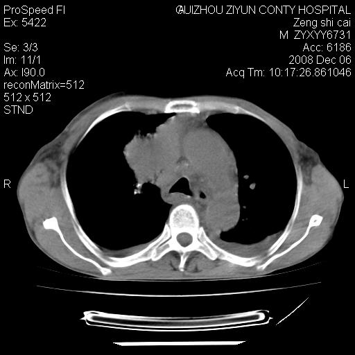
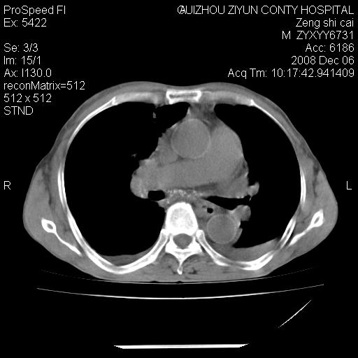
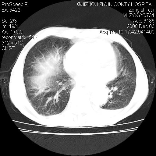
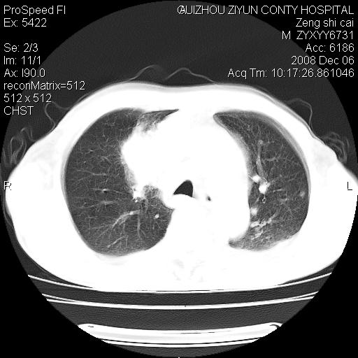
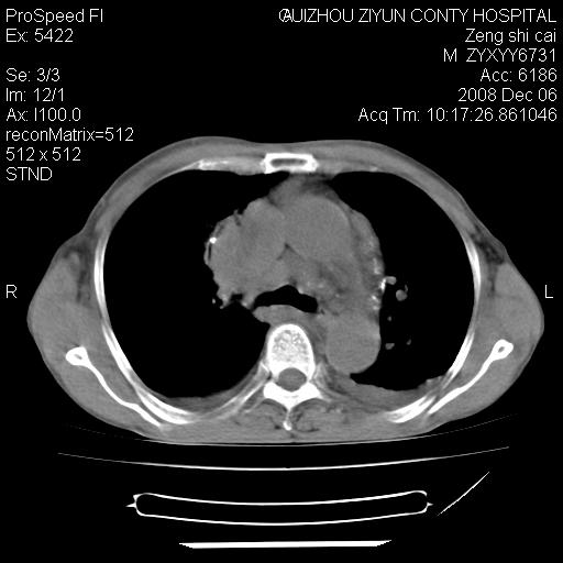
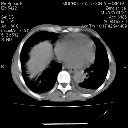
右肺癌并纵隔淋巴结及胸膜转移可能性大
作者: dsl555    时间: 2008-12-7 01:56
右肺癌并纵隔淋巴结及胸膜转移。建议气管镜
作者: 卜一    时间: 2008-12-7 02:28
右肺纵隔型肺癌伴纵隔淋巴结及胸膜转移!
作者: 同    时间: 2008-12-7 03:22
标题: 回复:m、71岁,咳嗽半年,无血痰;胸片示右肺占位。
以下是引用dsl555在2008-12-6 17:56:00的发言:[br]右肺癌并纵隔淋巴结及胸膜转移。建议气管镜

作者: 影象小泰斗    时间: 2008-12-7 03:58
右肺纵隔型肺癌伴纵隔淋巴结转移!双侧胸水!
作者: 医影常客    时间: 2008-12-7 04:17
支持6楼
作者: wangyong1977    时间: 2008-12-7 04:25
支持
作者: 随光逐影    时间: 2008-12-7 04:25
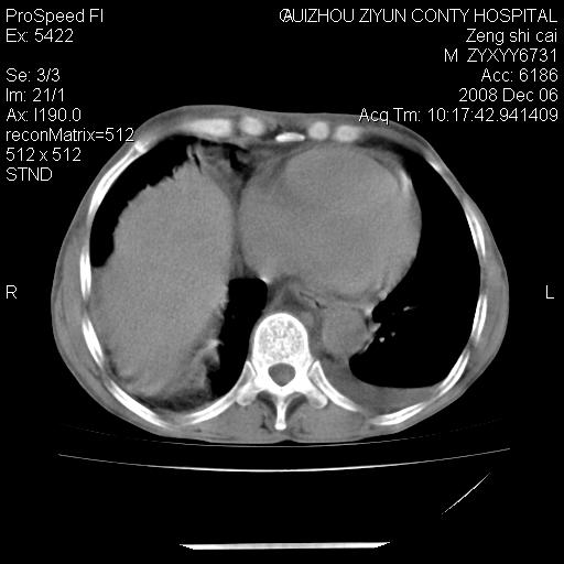
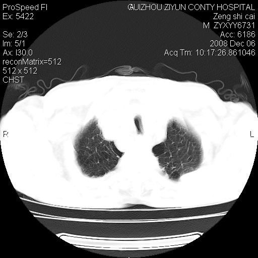
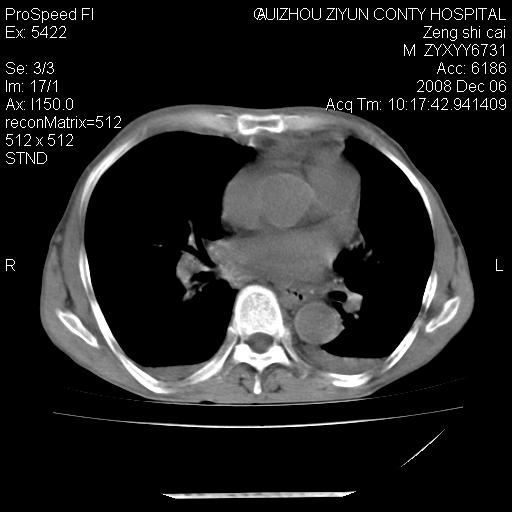
1)考虑右肺上叶纵隔型肺癌伴纵隔淋巴结转移。2)心包积液,双侧胸腔积液。
作者: ydx_74    时间: 2008-12-7 04:26
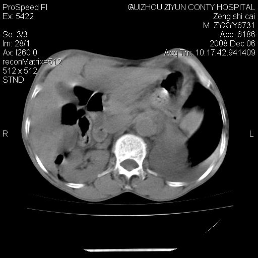
升结肠癌伴腹膜后淋巴结转移
作者: 张XYZ    时间: 2008-12-7 04:30
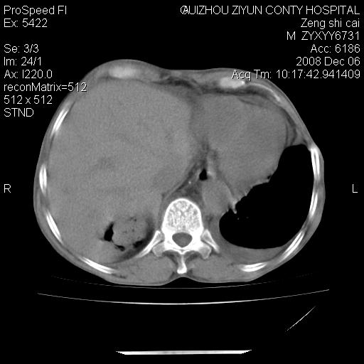
右肺癌并纵隔淋巴转移,腹膜后转移可能性大,两侧胸腔积液
作者: 余辉    时间: 2008-12-7 04:41
右肺癌并纵隔淋巴结及胸膜心包转移,好多团团点点,看得有点想吐
作者: jiangjing    时间: 2008-12-7 04:47
1)考虑右肺上叶纵隔型肺癌伴纵隔淋巴结转移。2)心包积液,双侧胸腔积液。
作者: 黑白光影    时间: 2008-12-7 05:06
右肺上叶纵隔型肺癌伴纵隔淋巴结转移。心包积液,双侧胸腔积液。
作者: xulianj    时间: 2008-12-7 05:10
右上肺癌并纵隔淋巴结及胸膜转移。
作者: zjzjr    时间: 2008-12-7 05:28
1)考虑右肺上叶纵隔型肺癌伴纵隔淋巴结转移。2)心包积液,双侧胸腔积液。
作者: huangyinshan    时间: 2008-12-7 05:33
右肺纵隔型肺癌伴纵隔淋巴结转移!双侧胸水\\心包积液
作者: dengkai    时间: 2008-12-7 06:40
右上肺癌并纵隔淋巴结及胸膜转移。
作者: x-man    时间: 2008-12-7 08:56
)考虑右肺上叶纵隔型肺癌伴纵隔淋巴结转移。2)心包积液,双侧胸腔积液。
作者: laolang    时间: 2008-12-7 16:28
1)考虑右肺上叶纵隔型肺癌伴纵隔淋巴结转移。2)心包积液,双侧胸腔积液。
作者: zsl6918    时间: 2008-12-7 17:46
建议强化!主要鉴别是淋巴瘤与肺癌淋巴结转移。
作者: 朱亮    时间: 2008-12-7 19:08
右肺癌并纵隔淋巴结及胸膜转移可能性大
作者: jzhang21    时间: 2009-1-12 18:44
右肺纵隔型肺癌伴纵隔淋巴结及胸膜转移




欢迎光临 医影在线 (http://bbs.radida.com/bbs/) Powered by Discuz! X3.2