医影在线
标题: PED1677:新生儿肺部病变 [打印本页]
作者: huhong1111111 时间: 2008-12-10 18:11
标题: PED1677:新生儿肺部病变
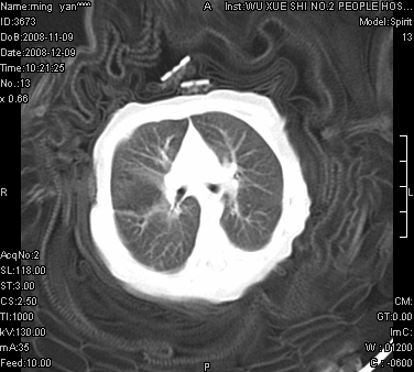
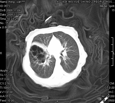
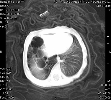
女.30天.咳嗽.喘3天.系三胞胎


















[本贴已被 jiajie 于 2008-12-10 10:48:07 修改过]
作者: 余辉 时间: 2008-12-10 18:22
考虑右肺下叶先天性肺囊肿,不除外合并右中叶肺发育不全
伴双肺感染
作者: 黑白光影 时间: 2008-12-10 18:26
考虑右肺下叶先天性多发性肺囊肿可能。
作者: jiangjing 时间: 2008-12-10 21:32
考虑右肺下叶肺囊肿伴感染,右中叶节段实变或发育不全
作者: zjzjr 时间: 2008-12-10 23:59
考虑右肺下叶肺囊肿伴感染,右中叶节段实变或发育不全
作者: wangyong1977 时间: 2008-12-11 00:33
支持
作者: 杀毒软件 时间: 2008-12-11 01:41
标题: 回复:ped1677:新生儿肺部病变
以下是引用jiangjing在2008-12-10 13:32:00的发言:[br]考虑右肺下叶肺囊肿伴感染,右中叶节段实变或发育不全
支持
作者: hkf506 时间: 2008-12-11 01:42
这是一个先天性囊性腺瘤样畸形(congenital cystic adenomatid malformation,ccam),属于先天性肺发育异常,最近国外文献重新命名为先天性肺气道畸形(congenital pulmonary airway malformation,cpam),根据发生部位和畸形组织与气管、支气管的关系分成五型。本病以1岁以下婴儿多见,男性多于女性。病因为终末呼吸单元的异常增殖,形成多囊状结构。国内根据影响和病理表现分三型:ⅰ型为单个或多个大囊肿,直径大于2cm;ⅱ型为多个小囊肿,直径小于2cm;ⅲ型为大的非囊肿性病变,但显微镜下观察可见肿块由多发小囊组成(直径小于2mm)。本病可发生于肺内任何一部分,单侧肺占95%,中叶病变相对较少。
作者: 王仕学 时间: 2008-12-11 02:04
标题: 回复:ped1677:新生儿肺部病变
以下是引用hkf506在2008-12-10 17:42:00的发言:[br]这是一个先天性囊性腺瘤样畸形(congenital cystic adenomatid malformation,ccam),属于先天性肺发育异常,最近国外文献重新命名为先天性肺气道畸形(congenital pulmonary airway malformation,cpam),根据发生部位和畸形组织与气管、支气管的关系分成五型。本病以1岁以下婴儿多见,男性多于女性。病因为终末呼吸单元的异常增殖,形成多囊状结构。国内根据影响和病理表现分三型:ⅰ型为单个或多个大囊肿,直径大于2cm;ⅱ型为多个小囊肿,直径小于2cm;ⅲ型为大的非囊肿性病变,但显微镜下观察可见肿块由多发小囊组成(直径小于2mm)。本病可发生于肺内任何一部分,单侧肺占95%,中叶病变相对较少。
作者: 随光逐影 时间: 2008-12-11 02:53
考虑右肺下叶先天性肺囊肿;右肺中叶节段性肺不张或发育不全。
作者: zsl6918 时间: 2008-12-11 05:31
先天性肺囊肿。
作者: pysylhj 时间: 2008-12-11 07:44
先天性肺囊肿,先天性囊性腺瘤样畸形也可有类似的表现,
作者: drzhang8888 时间: 2008-12-11 20:45
以下是引用jiangjing在2008-12-10 13:32:00的发言:
考虑右肺下叶肺囊肿伴感染,右中叶节段实变或发育不全
这是一个先天性囊性腺瘤样畸形(congenital cystic adenomatid malformation,ccam),属于先天性肺发育异常,最近国外文献重新命名为先天性肺气道畸形(congenital pulmonary airway malformation,cpam),根据发生部位和畸形组织与气管、支气管的关系分成五型。本病以1岁以下婴儿多见,男性多于女性。病因为终末呼吸单元的异常增殖,形成多囊状结构。国内根据影响和病理表现分三型:ⅰ型为单个或多个大囊肿,直径大于2cm;ⅱ型为多个小囊肿,直径小于2cm;ⅲ型为大的非囊肿性病变,但显微镜下观察可见肿块由多发小囊组成(直径小于2mm)。本病可发生于肺内任何一部分,单侧肺占95%,中叶病变相对较少。学习了
作者: 张XYZ 时间: 2008-12-12 05:38
支持4楼意见
作者: Hexue 时间: 2008-12-12 06:06
考虑右肺下叶肺囊肿伴感染,右中叶节段实变或发育不全
作者: 江广1996 时间: 2008-12-12 06:10
学习了,真少见.
作者: scdlc2008 时间: 2008-12-12 06:19
学习了
作者: clj20 时间: 2008-12-12 17:49
先天性囊性腺瘤样畸形
作者: LIAOQIANG 时间: 2008-12-14 04:19
考虑先天性肺囊肿。
作者: zhangyang66 时间: 2008-12-14 05:59
考虑右肺下叶先天性肺囊肿;右肺中叶节段性肺不张或发育不全
作者: dyqct 时间: 2008-12-16 00:48
标题: 回复:ped1677:新生儿肺部病变
以下是引用zjzjr在2008-12-10 15:59:00的发言:[br]考虑右肺下叶肺囊肿伴感染,右中叶节段实变或发育不全
支持!
作者: shiqingfa 时间: 2008-12-16 04:15
考虑右肺下叶先天性多发性肺囊肿可能。
作者: 卜一 时间: 2008-12-16 17:38
右肺下叶肺囊肿伴感染。支持!
作者: yxrcpa 时间: 2008-12-16 21:26
支持:右肺下叶先天性肺囊肿,右肺中叶节段性肺不张或发育不全。
作者: 图克 时间: 2009-1-14 00:07
先天性肺气囊肿
作者: zhangyang66 时间: 2009-1-17 03:41
标题: 回复:ped1677:新生儿肺部病变
以下是引用hkf506在2008-12-10 17:42:00的发言:[br]这是一个先天性囊性腺瘤样畸形(congenital cystic adenomatid malformation,ccam),属于先天性肺发育异常,最近国外文献重新命名为先天性肺气道畸形(congenital pulmonary airway malformation,cpam),根据发生部位和畸形组织与气管、支气管的关系分成五型。本病以1岁以下婴儿多见,男性多于女性。病因为终末呼吸单元的异常增殖,形成多囊状结构。国内根据影响和病理表现分三型:ⅰ型为单个或多个大囊肿,直径大于2cm;ⅱ型为多个小囊肿,直径小于2cm;ⅲ型为大的非囊肿性病变,但显微镜下观察可见肿块由多发小囊组成(直径小于2mm)。本病可发生于肺内任何一部分,单侧肺占95%,中叶病变相对较少。
| 欢迎光临 医影在线 (http://bbs.radida.com/bbs/) |
Powered by Discuz! X3.2 |