医影在线
标题: CT16999:男,45岁,左侧肢体乏力1周。请会诊 [打印本页]
作者: weijing 时间: 2008-12-10 18:15
标题: CT16999:男,45岁,左侧肢体乏力1周。请会诊
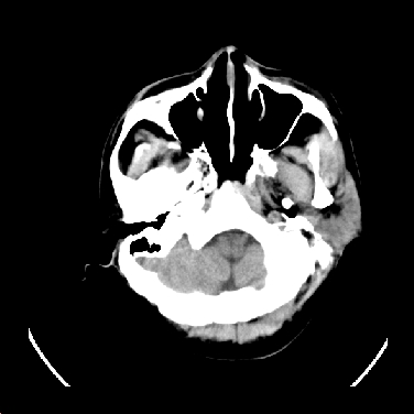
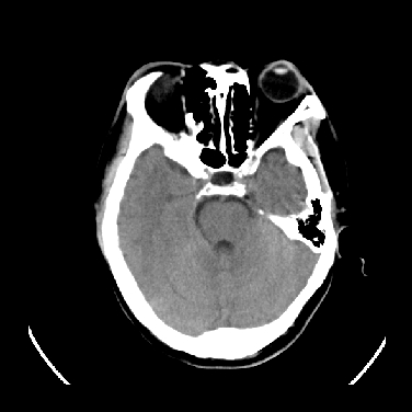
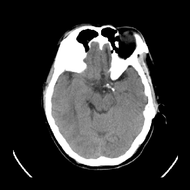
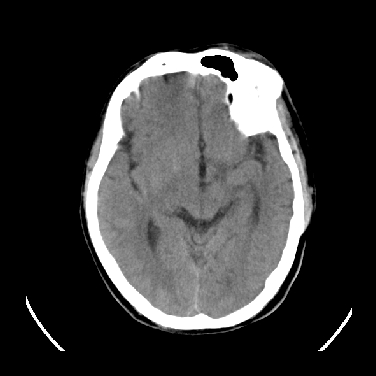
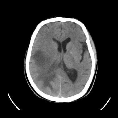
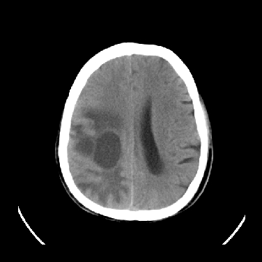
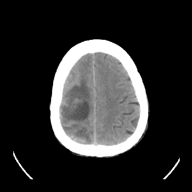
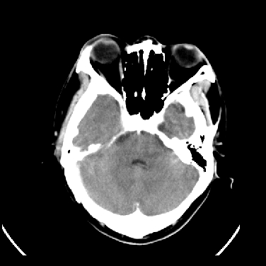
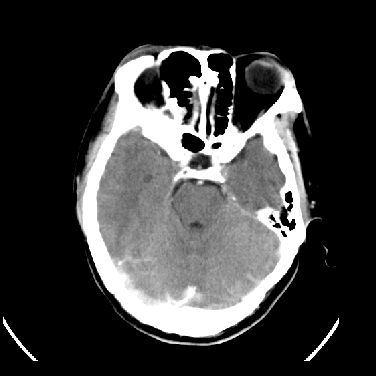
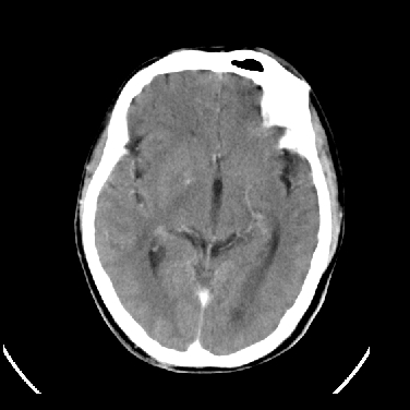
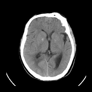
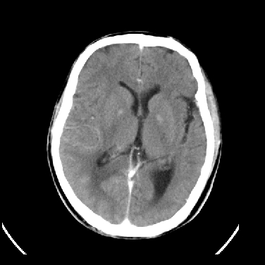
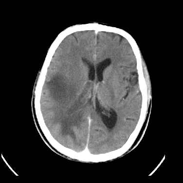
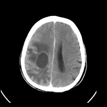
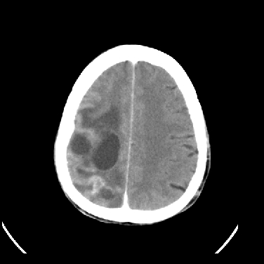
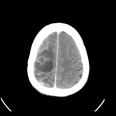
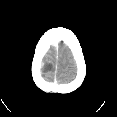
男,45岁,左侧肢体乏力1周。ex:胸片示:两肺团块状、斑片状密度增高影,其内可见小空洞。支纤镜、经皮肺穿示:干酪样物。























[本贴已被 jiajie 于 2008-12-10 10:46:43 修改过]
作者: 余辉 时间: 2008-12-10 18:27
结合病史考虑结核性脑炎脑膜炎,伴脑脓肿形成
作者: 黑白光影 时间: 2008-12-10 18:45
考虑右侧顶叶脑脓肿形成。
作者: lirenxiong 时间: 2008-12-10 19:08
结合病史考虑结核性脑炎脑膜炎,伴脑脓肿形成
作者: 深泽交通 时间: 2008-12-10 19:11
考虑囊变转移瘤
作者: zjzjr 时间: 2008-12-10 19:33
标题: 回复:ct16999:男,45岁,左侧肢体乏力1周。请会诊
以下是引用余辉在2008-12-10 10:27:00的发言:[br]结合病史考虑结核性脑炎脑膜炎,伴脑脓肿形成
作者: 37度 时间: 2008-12-10 19:35
标题: 回复:ct16999:男,45岁,左侧肢体乏力1周。请会诊
以下是引用余辉在2008-12-10 10:27:00的发言:[br]结合病史考虑结核性脑炎脑膜炎,伴脑脓肿形成
作者: xinliheng001 时间: 2008-12-10 19:42
同意“考虑结核性脑炎脑膜炎,伴脑脓肿形成”的意见,不轻易怀疑肿瘤。
作者: scdlc2008 时间: 2008-12-10 20:03
考虑右侧顶叶脑脓肿形成
作者: haha215315 时间: 2008-12-10 20:05
考虑结核性脑炎脑膜炎,伴脑脓肿形成。
作者: 王仕学 时间: 2008-12-10 20:43
结合病史考虑结核性脑炎脑膜炎,伴脑脓肿形成
作者: jiangjing 时间: 2008-12-10 20:52
考虑 结脑
作者: dengkai 时间: 2008-12-10 21:31
考虑结核性脑炎脑膜炎,伴脑脓肿形成
作者: pujunzhi 时间: 2008-12-10 21:36
结合病史考虑结核瘤,不除外转移瘤。
作者: 卜一 时间: 2008-12-10 22:40
右侧顶叶脑脓肿!支持!
作者: wansheng 时间: 2008-12-10 22:41
考虑结核性脑炎脑膜炎,伴脑脓肿形成
作者: drzhang8888 时间: 2008-12-10 23:06
请教:影像学象脑脓肿,但和肺部的结核发病有什么联系吗?有老师考虑结脑,怎么鉴别啊?
作者: 文文2008 时间: 2008-12-11 00:23
以下是引用余辉在2008-12-10 10:27:00的发言:
结合病史考虑结核性脑炎脑膜炎,伴脑脓肿形成
作者: 随光逐影 时间: 2008-12-11 01:53
考虑右侧顶叶脑脓肿(结核性?)。
作者: xulianj 时间: 2008-12-11 03:39
结核性脑脓肿可能大
作者: zsl6918 时间: 2008-12-11 05:25
建议上传胸部资料综合分析
作者: 学医 时间: 2008-12-11 05:36
结合病史考虑结核性脑炎脑膜炎,伴脑脓肿形成,囊变转移瘤不除外
作者: 风中百合 时间: 2008-12-11 23:02
结合病史考虑结核性脑炎脑膜炎,伴脑脓肿形成
| 欢迎光临 医影在线 (http://bbs.radida.com/bbs/) |
Powered by Discuz! X3.2 |