医影在线

标题: CT17002:M48Y,血管畸形,血管瘤,请鉴赏! [打印本页]

作者: lirenxiong    时间: 2008-12-10 19:14
标题: CT17002:M48Y,血管畸形,血管瘤,请鉴赏!
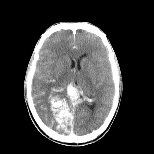
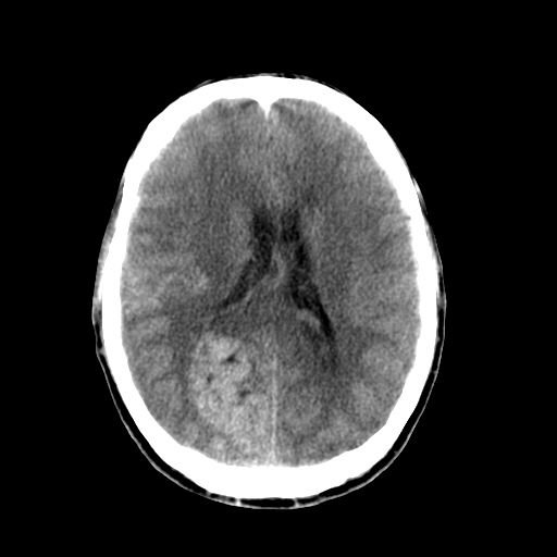
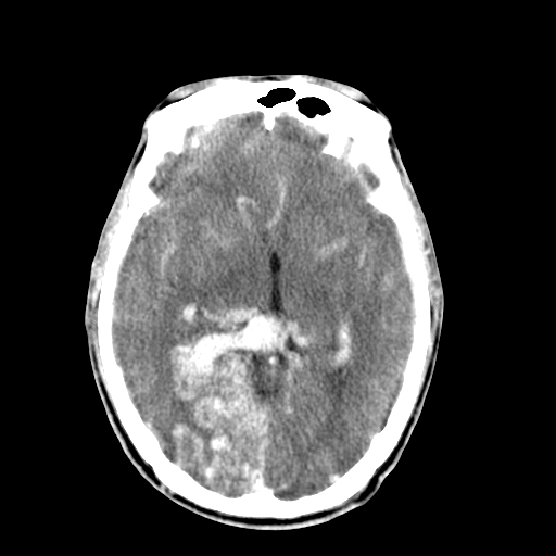
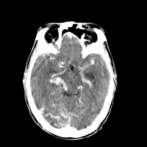
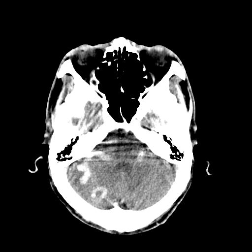
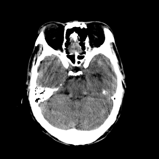
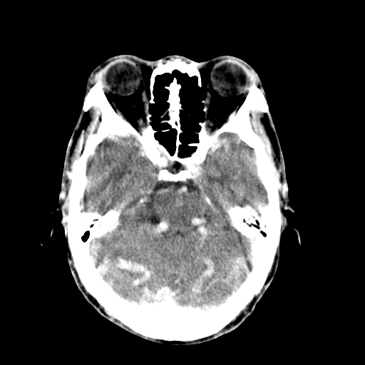
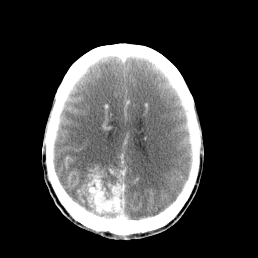
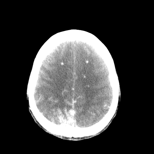
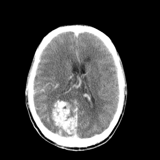
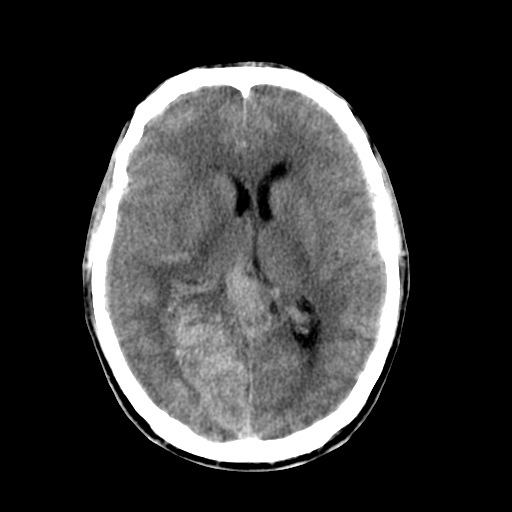
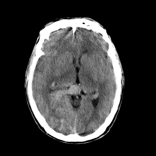
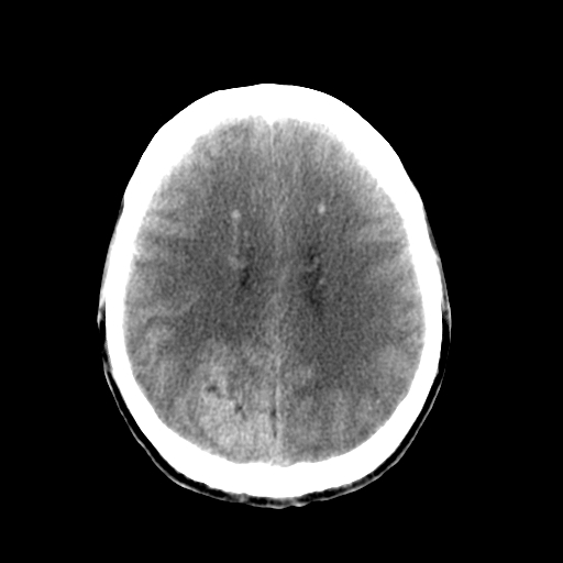
男48y,头痛多年,加重一天!

















[本贴已被 jiajie 于 2008-12-10 11:24:37 修改过]

作者: 黑白光影    时间: 2008-12-10 19:16
谢分享!
作者: xinliheng001    时间: 2008-12-10 19:21
做出立体效果。三维重建。彩色的。
作者: 37度    时间: 2008-12-10 19:26
好漂亮!
作者: zjzjr    时间: 2008-12-10 19:41
典型.
作者: 道哥    时间: 2008-12-10 19:47
avm典型,支持!
作者: 深泽交通    时间: 2008-12-10 19:50
血管畸形
作者: jiangjing    时间: 2008-12-10 20:36
典型的血管畸形---avm  -----右侧枕顶叶及侧脑室三角区等高混杂密度影夹杂少许低密影显示,无明显水肿,增强可见明显的供血动脉与引流静脉显示
作者: 王仕学    时间: 2008-12-10 20:48
典型的血管畸形
作者: dengkai    时间: 2008-12-10 21:36
典型的血管畸形
作者: pujunzhi    时间: 2008-12-10 21:38
支持 动静脉畸形。
作者: 文文2008    时间: 2008-12-10 21:59
典型血管畸形,支持!
作者: wansheng    时间: 2008-12-10 22:34
典型的血管畸形,支持!
作者: 卜一    时间: 2008-12-10 22:44
avm典型,支持!
作者: 影像孺子牛    时间: 2008-12-10 23:09
典型病例,感谢分享!
作者: 影象小泰斗    时间: 2008-12-10 23:52
动静脉畸形!!!
作者: wangyong1977    时间: 2008-12-11 00:05
avm畸形
作者: scdlc2008    时间: 2008-12-11 00:56
典型的血管畸形
作者: 杀毒软件    时间: 2008-12-11 01:37
谢分享!
作者: 随光逐影    时间: 2008-12-11 02:06
典型——avm。
作者: xulianj    时间: 2008-12-11 03:44
血管畸形
作者: zsl6918    时间: 2008-12-11 05:13
好病例,血管畸形。说明一下血管瘤也属于血管畸形的一种。
作者: 学医    时间: 2008-12-11 05:38
血管畸形
作者: arven    时间: 2008-12-11 06:06
学习了
作者: 风中百合    时间: 2008-12-11 23:04
好片




欢迎光临 医影在线 (http://bbs.radida.com/bbs/) Powered by Discuz! X3.2