医影在线
标题: CT17006:M42y,反复胸背痛数月。 [打印本页]
作者: lczeng 时间: 2008-12-10 22:40
标题: CT17006:M42y,反复胸背痛数月。
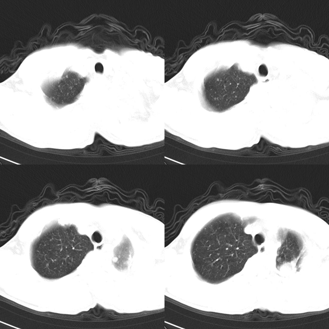
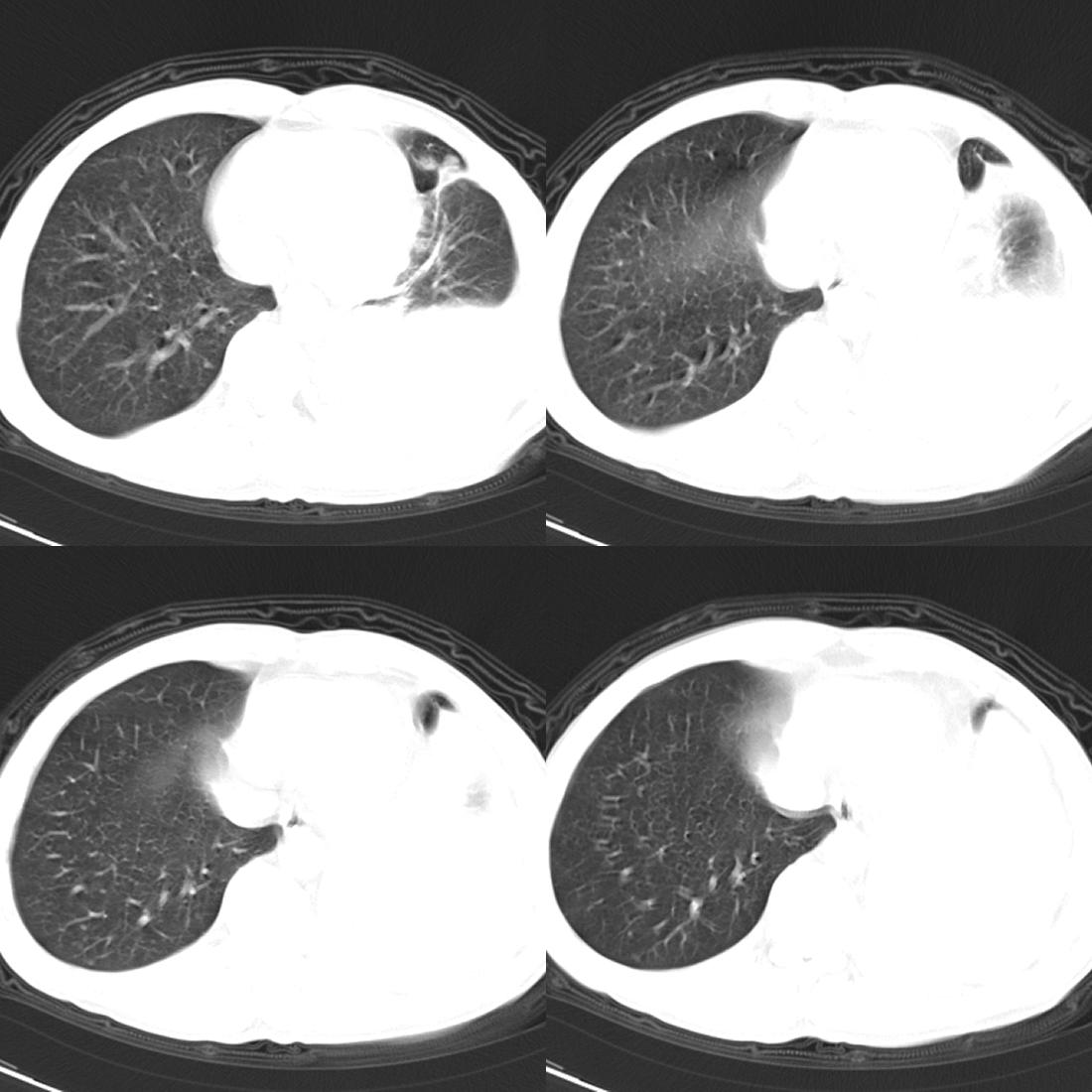
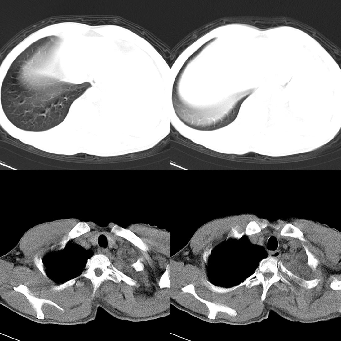
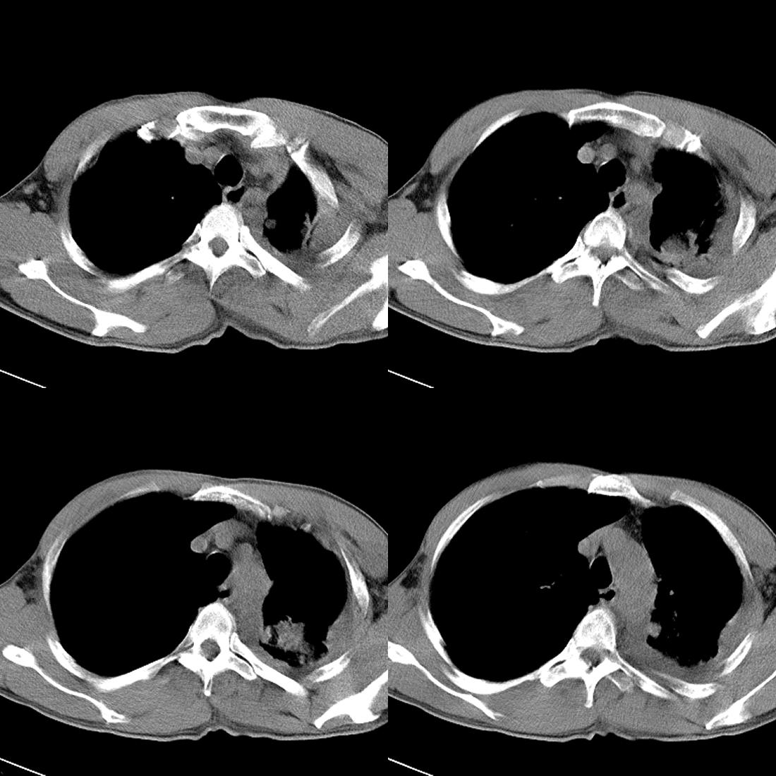
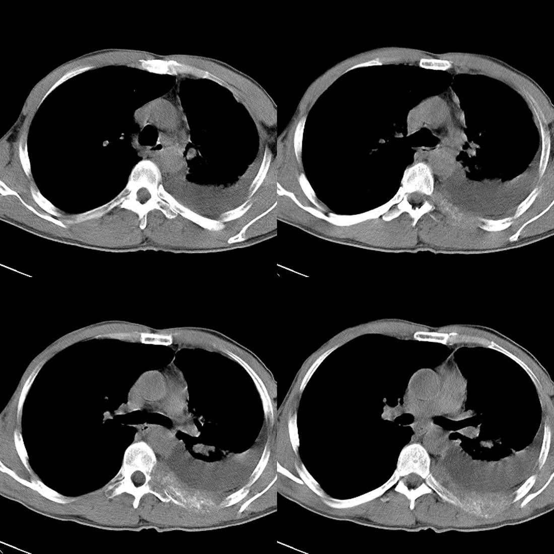
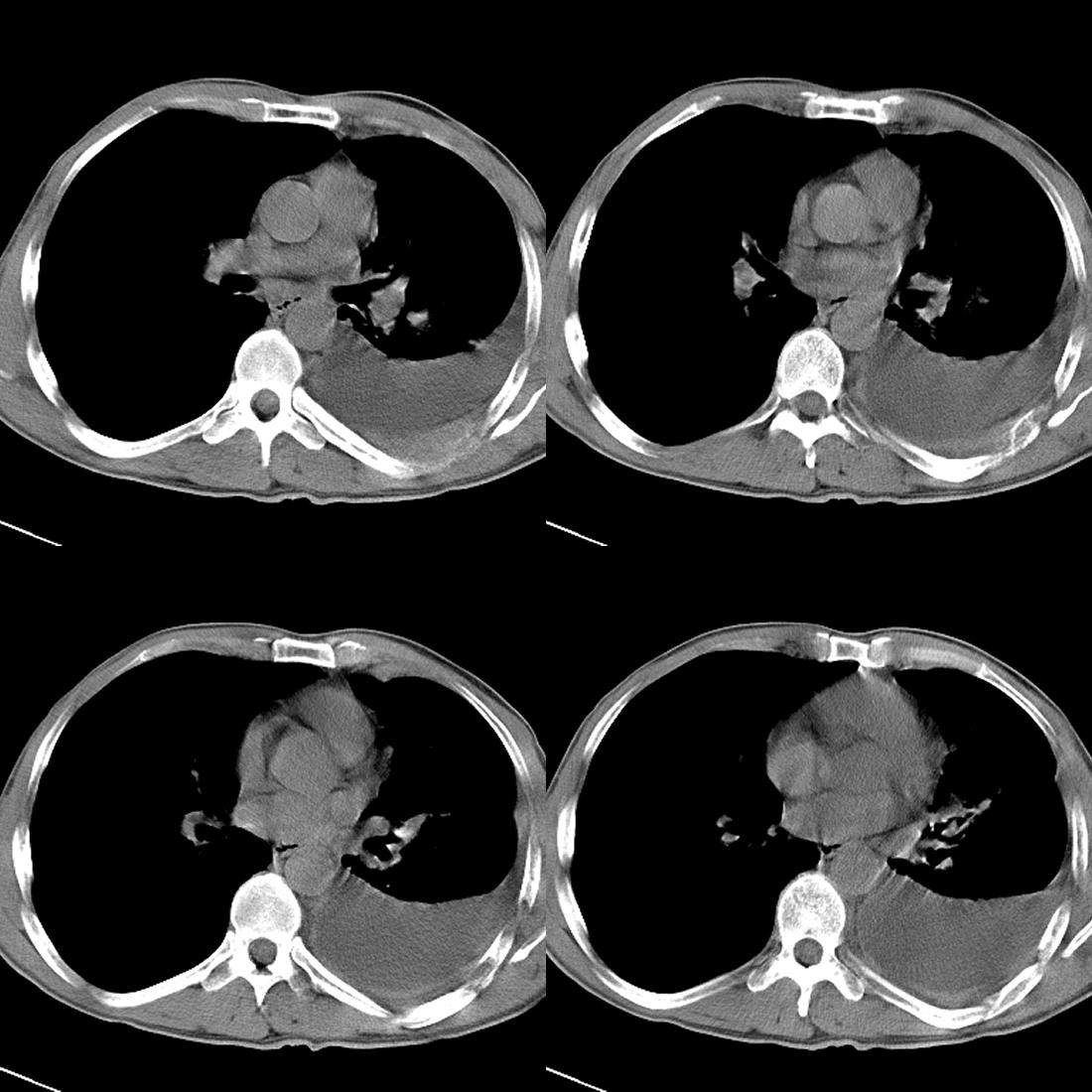
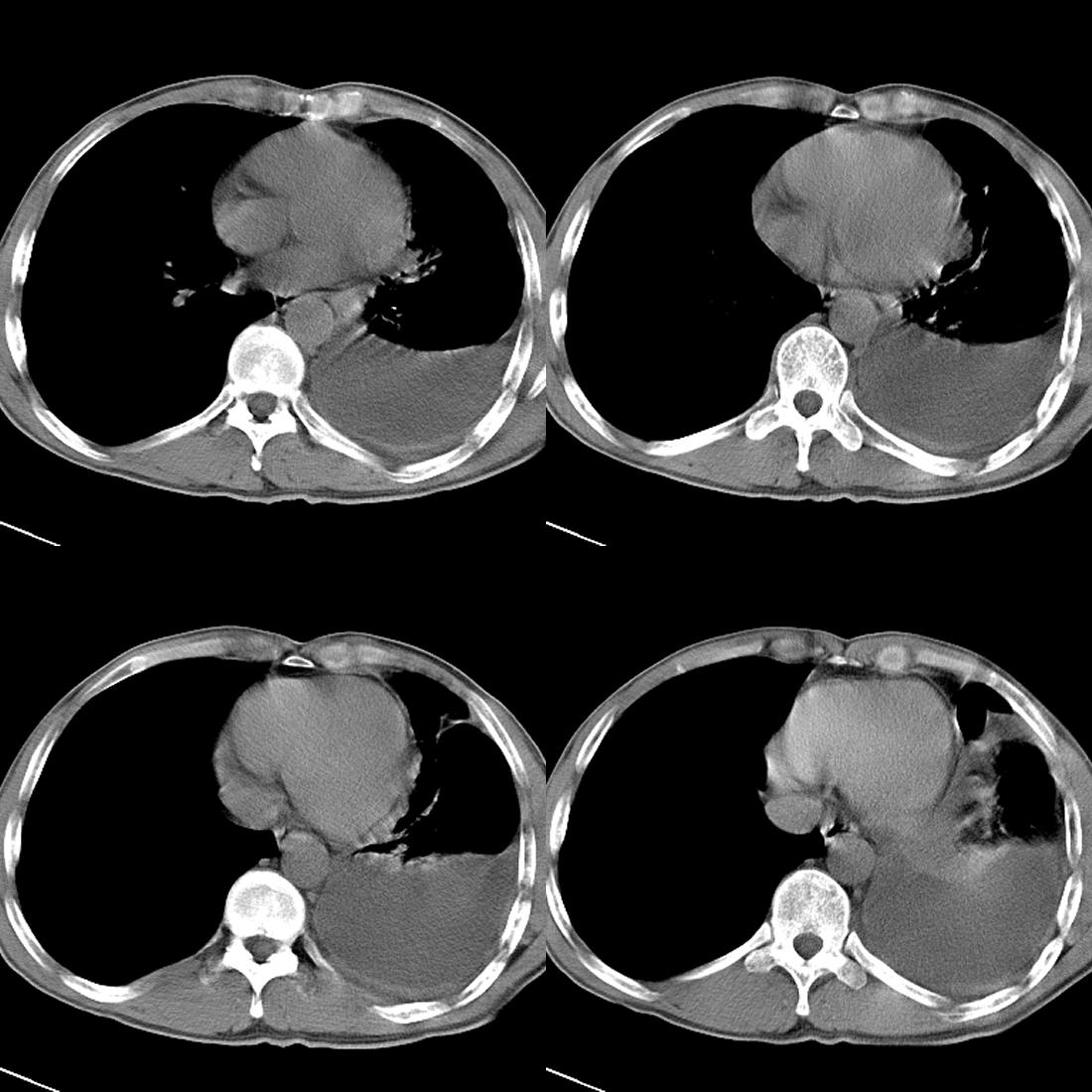
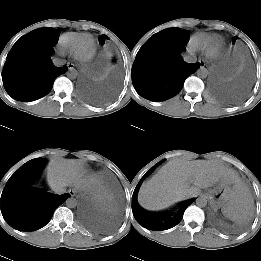
m42y,反复胸背痛数月。无明显的咳嗽、咯痰、咯血症状。











[本贴已被 jiajie 于 2008-12-10 18:49:45 修改过]
作者: wxn112233 时间: 2008-12-10 22:54
左肺不张 并大量胸腔积液.建议气管镜 除外占位..
作者: wangzhengyuan 时间: 2008-12-10 23:55
肋骨骨质破坏,考虑恶性。
作者: zjzjr 时间: 2008-12-10 23:55
左肺上叶周围型肺癌伴肺\\胸膜\\肋骨\\胸椎横突转移,左侧胸腔积液.
作者: yanliang 时间: 2008-12-11 00:00
左侧椎体、横突、肋骨呈溶骨性破坏,半左侧胸腔中等量积液;左肺尖部可见一肿块影,边界欠清;多考虑恶性骨肿瘤,不除外肺尖部转移性表现可能。
作者: zhao_bin2008 时间: 2008-12-11 00:11
左肺除有肺不张,胸腔积液,尚有斑点、斑片、结节及兔耳征,纤维化等病灶,除考虑除外占位,还应考虑结核所致。。。现在结核病又有泛发趋势。。
作者: zhao_bin2008 时间: 2008-12-11 00:16
左后部肋骨有破坏,应考虑肺癌并转移。。。。
作者: dengkai 时间: 2008-12-11 00:25
左侧椎体、横突、肋骨呈溶骨性破坏,半左侧胸腔中等量积液;左肺尖部可见一肿块影,边界欠清;多考虑恶性骨肿瘤,不除外肺尖部转移性表现可能。
作者: wangyong1977 时间: 2008-12-11 00:30
左侧椎体、横突、肋骨呈溶骨性破坏,半左侧胸腔中等量积液;左肺尖部可见一肿块影,边界欠清;多考虑恶性骨肿瘤,不除外肺尖部转移性表现可能。
作者: 杀毒软件 时间: 2008-12-11 01:21
标题: 回复:m42y,反复胸背痛数月。
以下是引用zjzjr在2008-12-10 15:55:00的发言:[br]左肺上叶周围型肺癌伴肺\\胸膜\\肋骨\\胸椎横突转移,左侧胸腔积液.
支持
作者: scdlc2008 时间: 2008-12-11 01:28
左肺上叶周围型肺癌伴肺\\胸膜\\肋骨\\胸椎横突转移,左侧胸腔积液.
作者: 王仕学 时间: 2008-12-11 01:46
标题: 回复:m42y,反复胸背痛数月。
以下是引用zjzjr在2008-12-10 15:55:00的发言:[br]左肺上叶周围型肺癌伴肺\\胸膜\\肋骨\\胸椎横突转移,左侧胸腔积液.
作者: sunhongyan0520 时间: 2008-12-11 02:04
左肺没见明显占位病变,但左肺门增大,不除外肿大淋巴结,左侧肋骨、胸椎融骨性破坏,考虑左侧胸膜恶性病变
作者: 随光逐影 时间: 2008-12-11 02:40
以下是引用zjzjr在2008-12-10 15:55:00的发言:
左肺上叶周围型肺癌伴肺\\胸膜\\肋骨\\胸椎横突转移,左侧胸腔积液。
作者: zhangling 时间: 2008-12-11 03:33
左肺上叶周围型肺癌伴双肺\\胸膜\\肋骨\\胸椎横突转移,左侧胸腔积液.
作者: hongtao 时间: 2008-12-11 03:43
左侧椎体、横突、肋骨呈溶骨性破坏,半左侧胸腔中等量积液;左肺尖部可见一肿块影,边界欠清;多考虑恶性骨肿瘤,不除外肺尖部转移性表现可能。
作者: 胡宇 时间: 2008-12-11 04:04
左肺上叶周围型肺癌伴肺\\胸膜\\肋骨\\胸椎横突转移,左侧胸腔积液.
作者: lclaiwa 时间: 2008-12-11 04:18
关注中 左上肺应该有个包快吧,还有左肺是部分不张
作者: zsl6918 时间: 2008-12-11 04:45
标题: 回复:ct17006:m42y,反复胸背痛数月。
左肺上叶周围型肺癌伴肺\\胸膜\\肋骨\\胸椎转移。
作者: 宋定川 时间: 2008-12-11 04:56
左侧椎体、横突、肋骨呈溶骨性破坏,半左侧胸腔中等量积液;左肺尖部可见一肿块影,边界欠清;多考虑恶性骨肿瘤,不除外肺尖部转移性表现可能。
作者: 摘星空竹子 时间: 2008-12-11 05:02
标题: 回复:ct17006:m42y,反复胸背痛数月。
以下是引用zjzjr在2008-12-10 15:55:00的发言:[br]左肺上叶周围型肺癌伴肺\\胸膜\\肋骨\\胸椎横突转移,左侧胸腔积液.
作者: 不学无术 时间: 2008-12-11 06:33
左肺上叶周围型肺癌伴肺\\胸膜\\肋骨\\胸椎转移。
作者: pujunzhi 时间: 2008-12-11 06:52
以下是引用zjzjr在2008-12-10 15:55:00的发言:
左肺上叶周围型肺癌伴肺\\胸膜\\肋骨\\胸椎横突转移,左侧胸腔积液.
作者: 黑白光影 时间: 2008-12-11 07:10
左肺上叶周围型肺癌伴肺胸膜肋骨胸椎横突转移,左侧胸腔积液。
| 欢迎光临 医影在线 (http://bbs.radida.com/bbs/) |
Powered by Discuz! X3.2 |