医影在线

标题: CT17007:女78岁咳嗽咳痰无咳血平片报右上肺不张、慢支、肺 [打印本页]

作者: wmsyy    时间: 2008-12-10 23:43
标题: CT17007:女78岁咳嗽咳痰无咳血平片报右上肺不张、慢支、肺
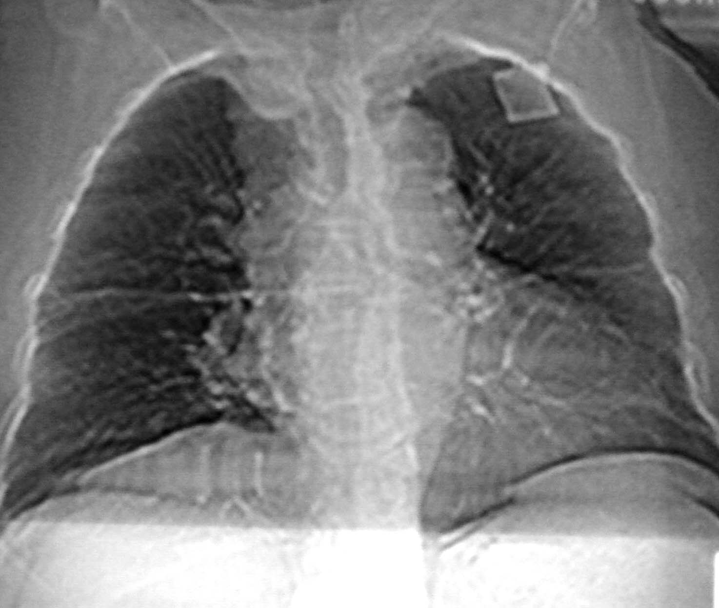
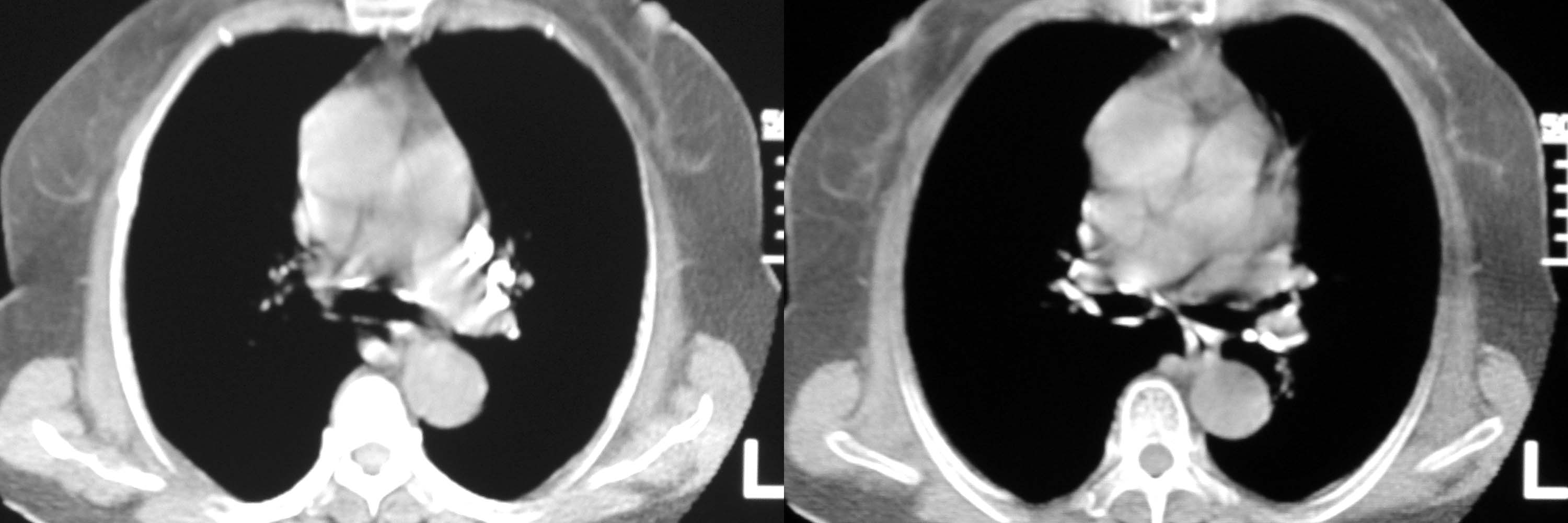
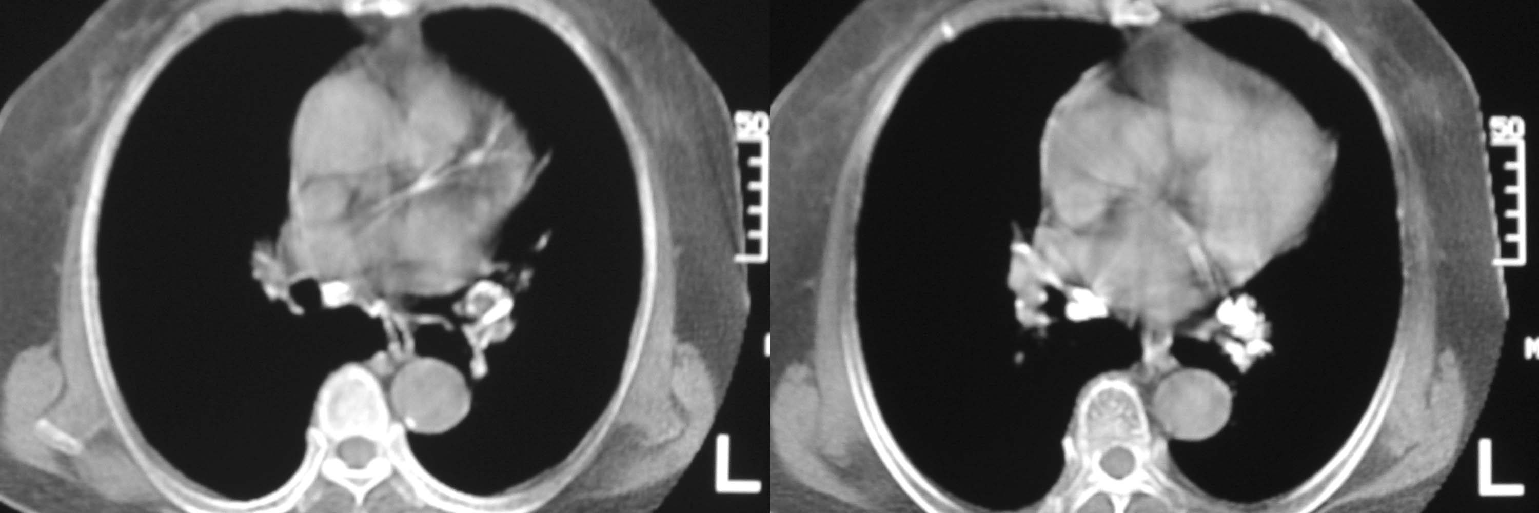
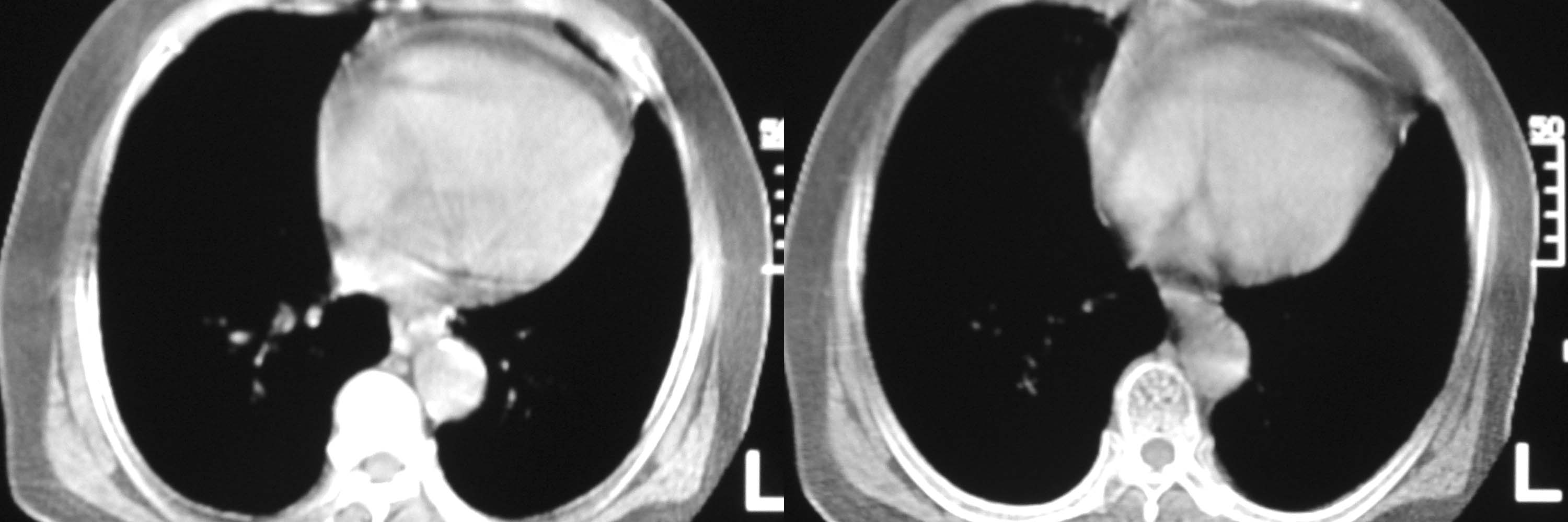
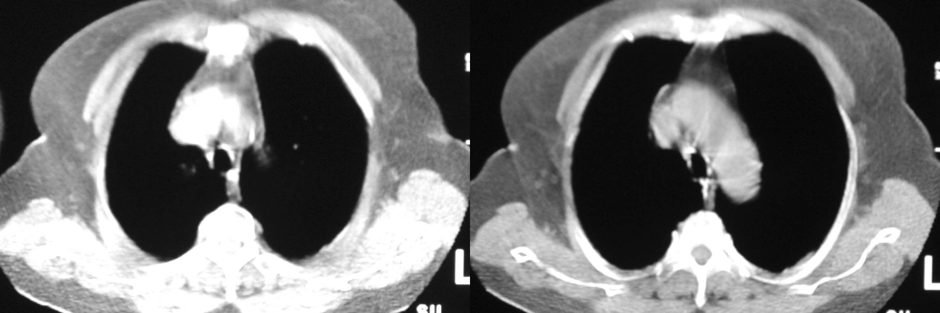
女78岁咳嗽咳痰无咳血平片报右上肺不张、慢支、肺气肿、请老师们帮忙看看,箭头所指是什么?是占位吗?有肺气肿吗?谢谢





















[本贴已被 jiajie 于 2008-12-10 18:50:40 修改过]

作者: dengkai    时间: 2008-12-11 00:32
淋巴结钙化!
作者: 杀毒软件    时间: 2008-12-11 01:15
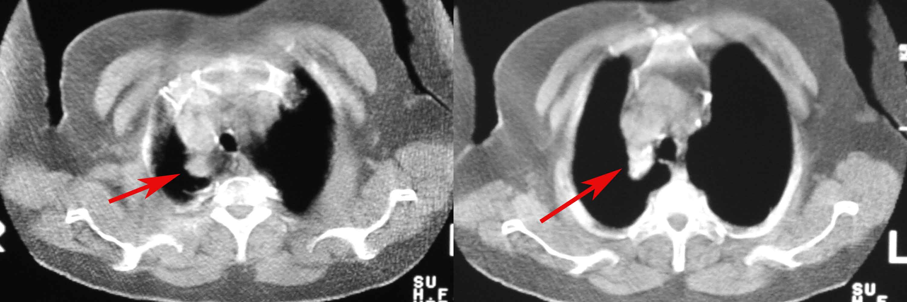
箭头所指----多考虑-----右头臂静脉旁淋巴结钙化
作者: scdlc2008    时间: 2008-12-11 01:31
淋巴结钙化!
作者: 王仕学    时间: 2008-12-11 01:43
支持淋巴结钙化!
作者: sunhongyan0520    时间: 2008-12-11 02:06
可能是逾曲的头臂血管
作者: 随光逐影    时间: 2008-12-11 02:09
可能是纡曲的头臂血管——支持。
作者: zjzjr    时间: 2008-12-11 03:31
可能是纡曲的头臂血管——支持。建议增强
作者: 胡宇    时间: 2008-12-11 03:34
淋巴结钙化!
作者: xulianj    时间: 2008-12-11 04:08
血管。建议增强
作者: zsl6918    时间: 2008-12-11 04:51
箭头所指考虑血管影
作者: 宋定川    时间: 2008-12-11 04:52
学习
作者: 学医    时间: 2008-12-11 05:43
血管。必要时增强
作者: 影象小泰斗    时间: 2008-12-11 05:45
血管影吧!建议强化!
作者: 影像孺子牛    时间: 2008-12-11 06:20
箭头所指考虑血管影;纵隔内及双肺门区多发淋巴结钙化;不支持肺气肿。
作者: 黑白光影    时间: 2008-12-11 07:17
箭头所指考虑血管影(头臂血管);纵隔内及双肺门区多发淋巴结钙化;不支持肺气肿。




欢迎光临 医影在线 (http://bbs.radida.com/bbs/) Powered by Discuz! X3.2